Neumotórax
El neumotórax es la acumulación de aire en la cavidad pleural, conformada como un espacio hallado entre los pulmones y el tórax.[2][5][6] Los síntomas suelen comenzar con dolor agudo y punzante localizado en el pecho y disnea.[1] En una minoría de casos, se forma una válvula unidireccional producida por el tejido dañado que provoca un aumento patológico del espacio pleural. Esto se conoce como neumotórax a tensión, una causa de choque obstructivo debido al bloqueo de la circulación sanguínea. Esta situación puede conllevar una disminución gradual de la cantidad de oxígeno en sangre y de la presión sanguínea que, de no ser tratado, puede resultar mortal.[2] Con rara frecuencia, el neumotórax puede darse en ambos pulmones en lo que se conoce como neumotórax bilateral.[7]
| Neumotórax | ||
|---|---|---|
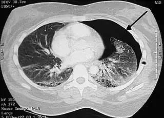
![]() Radiografía de tórax de un neumotórax izquierdo a tensión | ||
| Especialidad | Neumología | |
| Síntomas | Dolor torácico, disnea, fatiga[1][2] | |
| Causas | Desconocidas, traumáticas[2] | |
| Factores de riesgo | EPOC, tuberculosis, tabaco[3][2] | |
| Diagnóstico | Radiografía, ultrasonido, TAC[3] | |
| Diagnóstico diferencial | Enfisema bulloso, hemotórax[2][1] | |
| Prevención | Abandono del hábito de fumar[2] | |
| Tratamiento | Tratamiento conservador, drenaje, cirugía torácica | |
| Frecuencia | Incidencia aproximada de 20 casos por cada 100 000 personas al año[2][4] | |
Se denomina neumotórax espontáneo primario cuando este ocurre sin causa aparente y en ausencia de enfermedades del aparato respiratorio concomitantes.[2] Cuando sí existen, se habla de un neumotórax espontáneo secundario.[8][2] El tabaco aumenta el riesgo de desarrollar neumotórax espontáneo primario, mientras que las causas más comunes del espontáneo secundario son la enfermedad pulmonar obstructiva crónica, el asma y la tuberculosis.[2][1] También existe el neumotórax traumático, que se desarrolla a partir de un traumatismo en el tórax o a consecuencia de una complicación en una intervención médica.[9][10] Además, el neumotórax puede ser de origen externo (perforación en la caja torácica) o interno (perforación en un pulmón).[11][12]
Se diagnostica a través de radiografía, tomografía axial computarizada o ultrasonido y teniendo en cuenta la sintomatología del paciente. Otras enfermedades que pueden manifestarse con síntomas similares son el hemotórax (presencia de sangre en la cavidad pleural), el tromboembolismo pulmonar y el infarto agudo de miocardio.[1][13]
Un neumotórax espontáneo de pequeño tamaño suele resolverse sin necesidad de tratamiento y solo requiere de vigilancia médica, especialmente en pacientes sin enfermedades respiratorias de base.[2] Cuando el tamaño del neumotórax es mayor, o si existe dificultad para respirar, el aire de la cavidad pleural puede eliminarse a través de un dispositivo de drenaje. Si este no consigue resolverlo es común recurrir a cirugía, que también se emplea como medida preventiva si se dan neumotórax de repetición.[2] Entre los tratamientos quirúrgicos más comunes se hallan la pleurodesis (que consiste en unir artificialmente las capas de la pleura entre sí) y la pleurectomía (la resección de las membranas pleurales).[2] El neumotórax ocurre con una incidencia de entre 17 y 23 casos por cada 100 000 personas al año, y es más común en hombres que en mujeres.[2][4]
«Neumotórax» es una palabra compuesta formada al combinar las dos voces del griego clásico πνεύμα (pneuma-, aire) y θώραξ (zórax-, tórax).[14]
Historia

Una descripción del neumotórax traumático a partir de fracturas costales aparece en la obra Cirugía Imperial del cirujano turco Şerafeddin Sabuncuoğlu (1385–1468), en la que recomienda tratarlo con drenaje simple.[15][16]
El concepto de neumotórax se describió en el año 1803 por Jean Itard, alumno de René Laënnec,[17] quien también proporcionó una amplia descripción de las características clínicas en 1819.[14][18][19] Aunque Itard y Laennec reconocían que algunos casos no eran provocados por tuberculosis —que, por aquel entonces, era la causa principal de neumotórax—, el concepto de neumotórax espontáneo en ausencia de esa enfermedad no se introduciría hasta 1932 por el doctor danés Hans Kjærgaard.[20][21][22]
Antes de que se introdujesen las terapias de tratamiento para la tuberculosis, los propios profesionales de la salud inducían el neumotórax con intencionalidad terapéutica con el objetivo de hacer colapsar un lóbulo pulmonar en pacientes con cavitaciones pulmonares. Este proceso se hacía bajo el razonamiento clínico de que realizándolo se «deja descansar» al pulmón y fue introducido por el cirujano italiano Carlo Forlanini en 1888 y publicado por el cirujano estadounidense John Benjamin Murphy a principios del siglo XX. Murphy hacía uso de la entonces reciente tecnología radiográfica para producir neumotórax del tamaño adecuado.[23]
Epidemiología
El neumotórax espontáneo primario ocurre, sobre todo, entre los 20 y los 30 años de edad. La tasa de incidencia de este es de 7,4 casos por cada 100 000 personas en hombres y de 1,2 por cada 100 000 en mujeres en países industrializados.[24] Los individuos con estatura significativamente superior a la media también son más propensos a padecerlo: en sujetos que miden 1,93 metros de alto o más la tasa aumenta a 200 casos por cada 100 000 al año. Asimismo, el neumotórax aparece con mayor frecuencia en personas de complexión delgada.[24]
El riesgo de desarrollar neumotórax aumenta entre los fumadores, siendo este 22 y 9 veces mayor en hombres y mujeres fumadores, respectivamente, y en comparación con los no fumadores. También influye la cantidad de cigarrillos consumidos: un hombre que fuma 10 cigarrillos al día posee un riesgo 20 veces mayor de desarrollarlo respecto a los no fumadores, mientras que para uno que fuma 20 cigarrillos al día este es 102 veces mayor.[24][25]
El neumotórax secundario, sin embargo, es más común en pacientes de mayor edad (60-65 años), con una frecuencia de diagnóstico anual de 6,3 casos por cada 100 000 personas en hombres y 2 casos por cada 100 000 personas en mujeres.[25] En pacientes de EPOC es de 26 casos por cada 100 000 pacientes.[26] La mayor causa de neumotórax secundario de origen iatrogénico es a través de la realización de una punción transtorácica (a menudo con el objetivo de tomar una muestra de tejido a través de una biopsia), seguida de la intervención realizada para introducir un catéter venoso central. El neumotórax iatrogénico ocurre con más frecuencia que el neumotórax espontáneo, con una incidencia hospitalaria de 5 casos por cada 10 000 altas de hospital.[25]
La mayoría de los casos de recidiva ocurren en el primer año, con porcentajes que varían entre el 25 % y el 50 %; y esta es mayor en los 30 años posteriores al primer neumotórax.[25] La letalidad entre pacientes de neumotórax es muy baja (excepto en los casos de neumotórax a tensión), con una tasa de letalidad de 1,26 y 0,62 muertes por cada millón de personas al año en hombres y mujeres, respectivamente.[20] El riesgo es ligeramente mayor en personas de mayor edad y en aquellas con neumotórax secundario.[27]
Causas
Neumotórax espontáneo
Este tipo de neumotórax se subdivide en dos subtipos: primario, que se da cuando ocurre en ausencia de patología base; y secundario, que ocurre en caso contrario. La causa del neumotórax espontáneo primario es desconocida, aunque se han identificado varios factores de riesgo como la presencia de la enfermedad en la familia, el sexo masculino o el tabaco (tanto cigarrillos como cannabis).[28][29][2]
El neumotórax espontáneo secundario se da en presencia de una enfermedad de las vías respiratorias en el paciente. De entre estas, la más común es la enfermedad pulmonar obstructiva crónica (EPOC), que implica a aproximadamente un 70 % de los casos.[29] Otras enfermedades que pueden aumentar significativamente el riesgo de padecer neumotórax son:
| Tipo | Causa |
|---|---|
| Enfermedad de las vías respiratorias[27] | EPOC (especialmente si existen enfisema y bullas), asma agudo, fibrosis quística |
| Infecciones del pulmón[27] | Neumonía por Pneumocystis, tuberculosis, neumonía necrotizante |
| Enfermedad pulmonar intersticial[27] | Sarcoidosis, fibrosis pulmonar idiopática, histiocitosis de células de Langerhans, linfangioleiomiomatosis |
| Enfermedades del tejido conjuntivo[27] | Artritis reumatoide, espondilitis anquilosante, polimiositis y dermatomiositis, esclerosis sistémica, síndrome de Marfan y síndrome de Ehlers–Danlos |
| Cáncer[27] | Cáncer de pulmón, sarcoma pulmonar |
| Misceláneo[30] | Neumotórax catamenial (asociado a la menstruación y relacionado con la endometriosis del tórax) |
Existen patologías que no provocan neumotórax en adultos que sí pueden provocarlo en niños como sarampión, hidatidosis, inhalación de un cuerpo extraño, así como ciertas malformaciones congénitas.[31]
El 11,5 % de las personas con un neumotórax espontáneo primario poseen un miembro de la familia que ha sufrido la enfermedad previamente. Ciertas patologías hereditarias (síndrome de Marfan, homocistinuria, síndrome de Ehlers-Danlos, deficiencia de alfa-1 antitripsina y síndrome de Birt-Hogg-Dubé) se han vinculado a una mayor propensión a padecerlo.[32] Por regla general, las patologías mencionadas causan otros síntomas más allá del neumotórax, por lo que este no suele manifestarse como complicación inicial en estos sujetos.[32] El síndrome de Birt-Hogg-Dubé está causado por mutaciones del gen FNCL (localizado en el cromosoma 17p11.2) que codifica una proteína llamada foliculina.[31][32] Este tipo de mutaciones se han identificado en casos familiares de neumotórax cuando el síndrome de Birt-Hogg-Dubé no está presente.[31]
Neumotórax traumático
Este tipo posee como origen un traumatismo que provoca la entrada de aire entre las dos capas de la pleura. Los neumotórax traumáticos pueden, a su vez, clasificarse en iatrogénicos —cuando estos ocurren a través de un traumatismo realizado durante un procedimiento médico— y no iatrogénicos; así como en abiertos o cerrados, dependiendo de si existe daño torácico (con solución de continuidad) o no.[33] El mecanismo traumático más común por el cual aparece un neumotórax de este tipo es a través de la fractura de una costilla, que a su vez daña el tejido pulmonar.[29] También se ha observado una mayor incidencia de este tipo de neumotórax en personas que han sufrido lesiones por onda expansiva.[10]
Algunos procedimientos médicos, como la introducción de un catéter venoso central en una de las venas torácicas o la toma de muestras de biopsia del tejido pulmonar pueden provocarlo. La administración de ventilación mecánica —tanto de forma invasiva como no invasiva— puede conllevar la aparición de un barotraumatismo (lesión relacionada con la presión) que puede, a su vez, provocar un neumotórax.[30]
Los buceadores utilizan bombonas que proporcionan oxígeno a presión ambiente, lo cual conlleva la administración de un gas a una presión más alta que la presión atmosférica. Aquellos que utilizan bombonas de aire comprimido pueden sufrir un neumotórax como resultado de un barotrauma tras ascender un metro mientras mantienen sus pulmones en inspiración, por lo que a menudo reciben instrucciones para evitar realizar este gesto.[34]
Mecanismo patológico

La caja torácica es el espacio dentro del tórax que contiene los pulmones, el corazón y una gran cantidad de vasos sanguíneos. En cada lado de la caja, una membrana pleural recubre la superficie del pulmón (pleura visceral) y la parte interior de la caja torácica (pleura parietal). Normalmente, ambas capas se hallan separadas por una cantidad mínima de líquido seroso que actúa como lubricante. En condiciones normales, la presión de las vías respiratorias es mayor que la presión hallada en el espacio pleural, permitiendo la expansión completa de los pulmones durante la inspiración. A pesar de la baja presión del espacio pleural, el aire no llega hasta él porque no existe continuidad natural entre él y otros tejidos que contienen aire; y la presión de los gases de la sangre es demasiado baja como para que estos se adentren en el espacio pleural. Por tanto, el neumotórax solo se desarrollará si se permite la entrada de aire en este de forma patológica, sea a través de un traumatismo de la caja torácica o del propio pulmón, o porque se dé la presencia de microorganismos en el espacio pleural que producen gases.[30]
En los casos en los que se ha producido daño evidente de la caja torácica (por ejemplo, a través de una herida de bala o de un apuñalamiento) se infiere con mayor facilidad que puede existir un daño del tejido pleural (neumotórax abierto). En el neumotórax secundario, la vulnerabilidad del tejido pulmonar puede ser causada por multitud de enfermedades, particularmente a través de la ruptura de bullas pulmonares en casos de enfisema severo. También puede ser causado por áreas de tejido necrótico, aunque el mecanismo fisiológico por el que ocurre esto se desconoce.[27] Durante mucho tiempo, se presuponía que el neumotórax espontáneo primario se producía por «ampollas» (pequeñas cámaras de aire situadas inferiormente al espacio pleural) que eran más comunes en el paciente típico que desarrollaba esta enfermedad (hombres altos de complexión delgada).[21] Sin embargo, ya que no todos los sujetos sanos que las presentan acaban desarrollando neumotórax, y porque se ha observado que la resección de las «ampollas» no consigue evitar una recidiva de neumotórax, se considera que la hipótesis es insuficiente para justificar este mecanismo patológico.[30] Se cree también que este es más común en gente joven y de complexión alta porque las fuerzas de cizallamiento y la presión negativa son mayores en el ápice (parte más superior) del pulmón de estos sujetos.[25] Otra hipótesis es que el neumotórax se da por la presencia de áreas de mayor porosidad en la superficie pleural que son más propensas a sufrir daño.[30][27][21] Los fumadores tienden a padecerlo con más frecuencia respecto a los sujetos sanos porque poseen un número más elevado de células inflamatorias en las vías respiratorias de menor calibre.[25] Una vez el aire ha dejado de entrar en la cavidad pleural, este es lentamente reabsorbido por el organismo.[20]
El neumotórax a tensión ocurre cuando la apertura que da pie a la entrada de aire en el espacio pleural funciona como una válvula de una sola dirección, aumentando la cantidad de aire presente en el espacio pleural sin que este pueda salir del territorio. Como compensación fisiológica, aumenta la frecuencia respiratoria y el volumen corriente, lo cual provoca un agravamiento de la situación. La presencia de neumotórax a tensión necesita de una actuación clínica de emergencia, a riesgo de que el paciente entre en hipoxia o se produzca una insuficiencia respiratoria.[35]
Cuadro clínico

El neumotórax espontáneo primario suele darse en pacientes de edad joven sin antecedentes respiratorios. Su comienzo tiende a producirse en personas que se encuentran en reposo, sin factores específicos desencadenantes. En la mayoría de los casos los síntomas son leves, dándose disnea y dolor torácico persistente de intensidades variables (cuando el neumotórax alcanza una superficie menor al 15 % del hemitórax, es frecuente no presentar sintomatología).[25][30] También es común la presencia de taquicardia, y un neumotórax de mayor tamaño puede manifestarse con una limitación de la movilidad de la pared torácica. Los factores desencadenantes no están bien definidos, pero se sospecha que los cambios en la presión atmosférica pueden tener cierta implicación en su desarrollo, lo cual explica parcialmente por qué se han dado casos de neumotórax en clúster en ciertas zonas geográficas con cambios frecuentes de este tipo. El neumotórax espontáneo primario raramente desencadena un neumotórax a tensión.[20][30][27]
El neumotórax espontáneo secundario aparece a consecuencia de la existencia de otra enfermedad (primaria). Por lo general, lo síntomas son más intensos en comparación con el neumotórax espontáneo primario, ya que a menudo el pulmón no afectado es incapaz de compensar la disfuncionalidad del otro. En este tipo de neumotórax, además de poder manifestarse con los síntomas descritos para el neumotórax espontáneo primario, es frecuente hallar un nivel de oxígeno en sangre reducido (hipoxemia), que puede ir acompañado de coloración violácea (cianosis) en los labios y la piel. Asimismo, es posible hallar un incremento de los niveles de CO2 en sangre (hipercapnia) que puede manifestarse con alteración de la conciencia y confusión, y que puede llegar a provocar el coma en los casos más severos. Según la patología primaria presente en el momento de aparición del neumotórax, pueden llegarse a dar una gran variedad de signos y síntomas que lo acompañen, como distensión de la vena yugular o pulso paradójico, entre otros. Un comienzo repentino de disnea en pacientes de EPOC o fibrosis quística puede suponer una sospecha clínica de la presencia de neumotórax secundario espontáneo en el paciente.[3][25][20][27]
El neumotórax traumático ocurre cuando existe una perforación de la caja torácica, a través de, por ejemplo, una herida por apuñalamiento o por arma de fuego que permite la entrada de aire en la cavidad pleural, o porque se dan otras lesiones mecánicas en el pulmón que comprometen la integridad de las estructuras de la zona. El neumotórax traumático es común en pacientes que han sufrido un traumatismo del tórax, dándose en hasta un 50 % de ellos, y es aún más común en los casos en los que se producen fracturas costales. En estos casos, los síntomas pueden ser enmascarados por los propios del traumatismo en cuestión.[36][30]
La correlación entre la intensidad de los síntomas experimentados por el sujeto y el tamaño del neumotórax no siempre es exacta. En el caso de los neumotórax más pequeños puede darse una ausencia perceptible de síntomas.[20][30]
Neumotórax a tensión
Se considera que existe neumotórax a tensión cuando un neumotórax (espontáneo primario, espontáneo secundario, o traumático) conlleva una disfunción significativa de la capacidad para respirar o afecta de manera importante la circulación sanguínea.[35] Este tiende a ocurrir en situaciones clínicas específicas como la administración de ventilación mecánica, durante una RCP, tras un proceso traumático grave o en personas con enfermedades de las vías respiratorias.[20] Se trata de una emergencia médica que puede requerir de tratamiento inmediato sin la búsqueda de un diagnóstico más exhaustivo.[20][35]
Las manifestaciones más comunes en personas con neumotórax a tensión son el dolor torácico agudo y la insuficiencia respiratoria, que a menudo se presenta inicialmente a través de un pulso cardíaco elevado (taquicardia) o un aumento de la frecuencia respiratoria (taquipnea). Constantes hemodinámicas como el oxígeno en sangre o la presión sanguínea pueden hallarse igualmente disminuidas (propiciando una situación de hipoxia e hipotensión, respectivamente). Estas son las manifestaciones del choque obstructivo. En ciertos casos es posible observar una desviación de la tráquea hacia el lado no afecto. Durante la auscultación, uno de los pulmones puede presentar una disminución de los ruidos respiratorios respecto al otro. Con menor frecuencia puede darse cianosis (coloración azul de la piel por la falta de oxígeno), alteración del nivel de conciencia, hiperresonancia a la percusión en el lado afectado o dolor en el epigastrio.[35][37]
Cuando el neumotórax aparece en personas a las que se les administra ventilación mecánica, sus síntomas pueden verse disminuidos o enmascarados si esta se encuentra en un estado de sedación.[35]
Diagnóstico
El diagnóstico en la evaluación física puede ser poco concluyente, ya que los síntomas hallados en pacientes con neumotórax pueden variar de intensidad sin poseer necesariamente una relación con la gravedad de la lesión. Además, al tratarse de síntomas muy comunes en otras patologías del aparato respiratorio, como el derrame pleural o el hemotórax, es complejo llegar a un diagnóstico definitivo exclusivamente a través de la exploración física. Existen ciertas características de la auscultación del paciente con neumotórax que pueden servir como guía en el diagnóstico, como la disminución del murmullo vesicular del lado afecto (silencio auscultatorio) o, en raras ocasiones, la presencia de soplo anfórico. En la percusión puede hallarse hipersonoridad o timpanismo.[29][20]
El diagnóstico definitivo lo aportan pruebas radiológicas como la radiografía de tórax simple (postero-anterior), el TAC o el ultrasonido. El neumotórax a tensión es asumido como urgencia médica y a menudo es tratado sin necesidad de diagnóstico por imagen, sobre todo si se da hipoxia severa, caída de la tensión arterial o pérdida del nivel de conciencia, aunque ocasionalmente se requiere de una radiografía para determinar la localización exacta.[20][35]
Radiografía
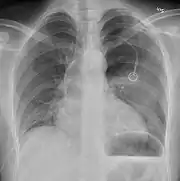
Una radiografía realizada en proyección postero-anterior (de atrás hacia delante) y durante la inspiración máxima constituye la forma de diagnóstico más frecuente.[38] Las imágenes realizadas en espiración, al contrario, no poseen valor diagnóstico significativo,[20] aunque pueden resultar útiles cuando existe una alta sospecha de neumotórax pero la radiografía en inspiración aparece normal.[39] Si este es el caso, también pueden realizarse radiografías de proyección lateral, aunque esta práctica no se realiza con frecuencia.[20][31]
radiografía anteroposterior que muestra un neumotórax de reducido tamaño en el pulmón izquierdo, causado por una punción
Radiografía lateral en inspiración, que muestra el neumotórax en la parte posterior
Radiografía anteroposterior en espiración en la que también puede observarse el neumotórax
A veces puede darse una desviación del mediastino hacia el lado contrario en el que se halla el neumotórax debido a las diferencias de presión que crea esta patología. La presencia de esta desviación no implica la existencia de un neumotórax a tensión, que habitualmente se diagnostica a través de signos de gravedad como hipoxia severa y choque obstructivo.[30]
El tamaño del neumotórax (es decir, la cantidad que este ocupa en la cavidad pleural) puede determinarse midiendo la distancia entre la caja torácica y el borde del pulmón. Esto es de relevancia para el tratamiento, ya que los neumotórax de menor tamaño a menudo poseen un enfoque terapéutico distinto. Una distancia de dos centímetros significa que el neumotórax ocupa un 50 % del hemitórax.[20] Las guías de práctica clínica afirman que esta medida debe darse a partir del hilio pulmonar, con un umbral de referencia de dos centímetros para indicar la presencia de un neumotórax de menor o mayor tamaño. La medida también puede realizarse a partir del ápice pulmonar, y en este caso el umbral es de tres centímetros,[40] aunque esta forma de medición puede hacer pensar que el tamaño del neumotórax es mayor si este se encuentra concentrado en la parte superior de la caja torácica.[20][31] Aun teniendo en cuenta esto, estos métodos de medida no poseen una correlación perfecta con el tamaño del neumotórax y, aunque el TAC ofrece imágenes más precisas en este sentido, se desaconseja su uso en estas situaciones clínicas.[20]
No todos los neumotórax son uniformes; algunos ocupan solamente un pequeño espacio en un espacio particular de la cavidad pleural.[20] A veces, pueden hallarse pequeñas cantidades de líquido en la radiografía (hidroneumotórax), que puede estar constituido por sangre (hemoneumotórax).[30] En algunos casos la única manifestación de estos que se da en la radiografía es el signo del surco profundo, por el cual se da un aumento del espacio entre la caja torácica y el diafragma por la presencia de líquido.[35]
Tomografía axial computarizada

Aunque el TAC supone el gold standard en la detección de neumotórax, superando en sensibilidad y especificidad a la radiografía,[41] generalmente este no se necesita para establecer el diagnóstico de neumotórax, pero puede resultar de utilidad en situaciones particulares. En algunas patologías de las vías respiratorias, y especialmente en presencia de enfisema, es posible que ciertas estructuras pulmonares (como las cavitaciones) tengan la misma apariencia que un neumotórax en la radiografía, en cuyo caso el tratamiento específico de neumotórax no está indicado.[20] En ciertos casos de traumatismo el paciente es incapaz de permanecer en posición vertical durante la realización de la radiografía, lo cual dificulta la identificación del neumotórax en la imagen. Para estas situaciones, el TAC puede indicarse al poseer una mayor fiabilidad.[29]
Otro uso del TAC es para la identificación de lesiones concomitantes, ayudando a detectar bullas o lesiones quísticas en casos de neumotórax primario, y como herramienta de búsqueda de la causa de origen en el neumotórax secundario.[20][31]
Ultrasonido
Del mismo modo, el ultrasonido se usa habitualmente para la evaluación en pacientes que han sufrido un traumatismo físico. Su eficacia a la hora de detectar neumotórax varía ampliamente según la habilidad del profesional que realiza el examen: en profesionales con experiencia, la sensibilidad y la especificidad pueden alcanzar hasta un 94 % y un 100 % respectivamente, por encima de la radiografía y similar al TAC.[42][43][3] Ciertos rasgos clínicos hallados en la exploración por ultrasonido pueden utilizarse para confirmar o descartar un diagnóstico de neumotórax.[44][45]
Tratamiento

El tratamiento depende de la situación clínica, y puede variar desde un alta inmediata con seguimiento estrecho hasta la utilización de una aguja de aspiración o la inserción de una sonda pleural con el objetivo de evacuar el aire en la cavidad pleural. Esta decisión está determinada, en gran parte, por factores como la severidad de los síntomas y otros indicadores de enfermedad aguda, la presencia de una enfermedad de las vías respiratorias concomitante o el tamaño estimado del neumotórax en la radiografía.[20] En pacientes que muestran signos de inestabilidad, el tratamiento más común es la punción y drenaje del neumotórax. Esto a menudo se realiza con un catéter que se inserta en el segundo espacio intercostal a la altura del punto medio clavicular y que se conecta a un sistema de drenaje.[3]
En el caso del neumotórax traumático el tratamiento más frecuente implica la colocación de un drenaje torácico. Si el paciente requiere de ventilación mecánica para poder respirar, el riesgo de desarrollar un neumotórax a tensión aumenta significativamente, por lo que la inserción del drenaje resulta determinante a la hora de evitar esta complicación.[30][48] Asimismo, en estos casos las heridas abiertas en la zona torácica se sellan para evitar la aparición de un neumotórax a tensión. A menudo estas se cubren con un parche oclusivo torácico que puede poseer una válvula para permitir escapar el aire. Según una revisión sistemática publicada en 2021, los parches oclusivos con salida de aire permiten prevenir con mayor eficacia el desarrollo de un neumotórax a tensión respecto a los que no la poseen.[49]
El neumotórax a tensión es una emergencia grave, pues el aire entra de forma continua pero, por acción valvular, este no sale.[50] Este requiere de una punción cutánea con drenaje atravesando la pleura que deberá retirarse cuando cese la fuga aérea. Esto puede realizarse de forma urgente por un profesional médico de emergencias u otros profesionales formados.[51]
El oxígeno no solo mejora la hipoxemia que se deriva de la alteración en la relación ventilación-perfusión, sino que favorece la reabsorción del aire pleural. La administración de oxígeno en cánula nasal a 3 L por minuto o mediante mascarillas de alto flujo provoca un gradiente de presión gaseosa entre el espacio pleural y los capilares circundantes que incrementa tres o cuatro veces la reabsorción del aire pleural.[52]
Conservador
Los neumotórax espontáneos primarios de tamaño reducido no siempre requieren de tratamiento, ya que es poco probable que estos conduzcan a una insuficiencia respiratoria o a un neumotórax a tensión, y suelen resolverse por sí solos. Este enfoque es el más habitual cuando el neumotórax es menor al 50 % del volumen del hemitórax, no existe dificultad para respirar y no hay una enfermedad de las vías respiratorias de base.[31][40] En los casos en los que el neumotórax es de mayor tamaño y no existen síntomas o estos son muy leves, también puede aplicarse el tratamiento conservador.[20] Cuando ocurre esto, no se suele requerir de una hospitalización para su tratamiento, pero es común prevenir al paciente sobre la posibilidad de que los síntomas empeoren y esta sea necesaria. Ciertas pruebas de diagnóstico —como las radiografías— pueden realizarse de forma ambulatoria con el objetivo de establecer un seguimiento de la evolución del neumotórax. El porcentaje de absorción diario se estima que se encuentra entre un 1,25 % y un 2,2 % del volumen de la cavidad al día. No existen, sin embargo, estudios que hayan realizado una comparación sobre la eficacia de un enfoque conservador respecto al resto de técnicas de tratamiento.[53]
Si el neumotórax es secundario, estos solo reciben tratamiento conservador si el tamaño es muy reducido y los síntomas son limitados. Al haber una relación entre la patología de base y el neumotórax, es frecuente que se dé el alta hospitalaria. Algunos estudios sugieren que la administración de oxigenoterapia permite una reabsorción cuatro veces más rápida del neumotórax.[20][54]
Aspiración
En neumotórax espontáneos primarios de mayor tamaño (>50 % del espacio), o en aquellos asociados a una dificultad para respirar, algunas guías de práctica clínica recomiendan reducir el tamaño del neumotórax a través de la punción con aspiración, afirmando que este tratamiento es tan eficaz como el drenaje pleural. La aspiración se realiza mediante la aplicación de anestesia local y la inserción de una aguja aspirativa con el objetivo de eliminar hasta 2,5 litros de aire (en adultos). Si se da una reducción significativa del tamaño del neumotórax en la radiografía de seguimiento, el resto del tratamiento suele enfocarse de forma conservadora. Esta forma de tratamiento resulta efectiva en más de la mitad de los casos.[27][20][31] Respecto al tratamiento por drenaje pleural, la aspiración permite reducir el número de pacientes que requieren de un alta hospitalaria para el tratamiento de neumotórax, sin darse un incremento en el riesgo de desarrollar complicaciones.[55]
La aspiración puede también considerarse como una forma de tratamiento en neumotórax secundarios de tamaño moderado (de uno a dos centímetros en la radiografía) sin presencia de disnea, con la diferencia de que se requiere una vigilancia terapéutica en hospital incluso tras una intervención exitosa.[20] Sin embargo, la mayoría de guías de práctica clínicas americanas recomiendan tratar el neumotórax a través de drenaje pleural.[40] El neumotórax de tamaño moderado de origen iatrogénico puede ser tratado inicialmente a través de la aspiración.[30]
Drenaje pleural

El drenaje pleural o drenaje torácico es el tratamiento estándar para el neumotórax. Normalmente, este se inserta bajo la axila —bajo anestesia local— en lo que se conoce como el «triángulo de seguridad», lo cual evita posible daño a tejido de órganos. Este triángulo está delimitado por una línea horizontal imaginaria a nivel del pezón y dos músculos de la caja torácica (dorsal ancho y pectoral mayor). Habitualmente se usan dos tipos de tubo para el drenaje: para el neumotórax espontáneo se utiliza uno de menor tamaño (de 4,7 mm de diámetro) insertado a través de la técnica de Seldinger,[20][56] mientras que caso de neumotórax traumático se utiliza un tubo de mayor tamaño (9,3 mm de diámetro).[51] Cuando se colocan drenajes como resultado de un accidente traumático penetrante o por contusión a menudo se administran antibióticos de amplio espectro con el objetivo de prevenir posibles infecciones.[57]
El drenaje es necesario en neumotórax espontáneos que no han respondido adecuadamente al tratamiento por aspiración, cuando estos son de gran tamaño o cuando existe un neumotórax a tensión. El drenaje se conecta a un sistema de válvula unidireccional que permite que el aire salga de la cavidad pleural pero que no vuelva a entrar. Este sistema puede incluir una botella con agua que actúa como sello, lo que se conoce como válvula de Heimlich. Estas válvulas no están habitualmente conectadas a un circuito de presión negativa, lo que provocaría una expansión rápida del pulmón y el posible desarrollo de un edema agudo de pulmón. El drenaje permanece conectado al paciente hasta que no se observan burbujas de aire salir por el tubo durante cierto tiempo y, llegado este punto, es común realizar radiografías de seguimiento.[20][31][40]
Si tras varios días aún se da la salida de aire a través del tubo, existen varias opciones terapéuticas que se aplican con frecuencia: la aplicación de una presión negativa baja (a -10 o -20 cmH2O) a flujo alto. Si este enfoque no funciona, por lo general se orienta el tratamiento hacia uno quirúrgico, especialmente en casos de neumotórax espontáneo secundario.[20]
El drenaje torácico es el tratamiento de primera línea en neumotórax que desarrollan pacientes con sida, debido a que en estos es habitual la presencia de una neumonía por pneumocystis, ya que esta patología está asociada a una fuga de aire más prolongada y de peor pronóstico. Es común, asimismo, encontrar neumotórax bilateral en este tipo de pacientes, lo cual puede requerir de una intervención quirúrgica.[20]
Una persona a la que se le ha administrado tratamiento por drenaje pleural puede recibir atención sanitaria en régimen ambulatorio a través de una válvula de Heimlich, aunque la evidencia sobre su efectividad en comparación con un tratamiento intrahospitalario todavía es limitada.[58]
Pleurodesis y cirugía
La pleurodesis es un procedimiento que intenta adherir las dos capas, visceral y parietal, de la pleura. Aunque existe evidencia limitada respecto a la eficacia de su uso, una revisión sistemática realizada en 2017 la estableció como un método efectivo si se realiza a través de pleurodesis química o vía toracoscopia, aunque no existen estudios que hayan evaluado su efectividad a largo plazo (20 años o más tras la operación).[59] Por lo general, se realiza una toracotomía y se identifica cualquier fuente de salida de aire, seguida de una fijación de las cavitaciones a través de una pleurectomía (eliminación) de la membrana pleural externa y una abrasión pleural de la interna. Durante el proceso de cicatrización, el pulmón de adhiere a la caja torácica, obliterando el espacio pleural. Aunque el dolor tras la operación es relativamente común, la operación obtiene porcentajes de recurrencia muy bajos según algunos estudios.[20][30]
Un enfoque menos invasivo es a través de la toracoscopia, a menudo a través de un procedimiento conocido como toracoscopia videoasistida (VATS, por sus siglas en inglés). Los resultados de la abrasión pleural a través de VATS pueden no ser tan efectivos como a través de la toracotomía, pero causan menor daño en la piel.[27][20] En comparación a la toracotomía abierta, el VATS permite estancias hospitalarias más reducidas, menor necesidad de control del dolor en el postoperatorio y menor riesgo de complicaciones del pulmón tras la operación.[20] Esta técnica también puede utilizarse para realizar una pleurodesis química, que implica la administración de talco en la zona, el cual causa una reacción inflamatoria en el pulmón que lo hace adherirse a la pared torácica.[27][20]
En los casos en los que ya existe un drenaje pleural colocado, se puede conseguir una pleurodesis a través de la administración de ciertos agentes químicos por medio del tubo de drenaje, como talco, tetraciclina, minociclina o doxiciclina. Un metanálisis publicado en 2020 sugiere que los resultados de este tipo de pleurodesis química pueden ser más positivos respecto a los de la pleurodesis mecánica (quirúrgica), aunque se requiere de más seguimiento a largo plazo para certificar sus beneficios.[60] Aunque a finales del siglo XX se publicaron algunos estudios que sugerían que la pleurodesis por talco puede causar efectos negativos a largo plazo en pacientes jóvenes, a fecha de enero de 2021 no existían ensayos protocolizados que constatasen que esta información es cierta, y un análisis de la literatura científica publicado en 2007 sugirió que los efectos a largo plazo en este grupo poblacional son mínimos.[61]
Seguimiento
Si el neumotórax se da en personas fumadoras, es habitual realizar un ejercicio de educación terapéutica que enfatice la concienciación sobre el riesgo de aumento de recidiva en pacientes que consumen tabaco regularmente, así como los amplios beneficios derivados del abandono del hábito de fumar.[20] Algunas guías de práctica clínica recomiendan bajas laborales de una duración de entre una o tres semanas tras padecerlo, dependiendo del enfoque terapéutico utilizado (un enfoque quirúrgico requiere una baja mayor respecto a un enfoque conservador) y la naturaleza de la profesión del paciente (profesiones con una carga física importante requieren de un tiempo mayor).[62]
Además, algunas guías de práctica clínica desaconsejan viajar en avión hasta siete días tras la resolución del neumotórax si no se ha dado recidiva.[20] También se desaconseja la práctica de buceo tras un episodio de neumotórax si no se ha llevado a cabo una terapia preventiva (como pleurodesis).[20][40] Asimismo, los pilotos de avión a menudo se evalúan para un tratamiento quirúrgico.[20]
Período neonatal
Para los bebés recién nacidos que desarrollan neumotórax existen varias estrategias habituales entre las cuales se incluyen la observación terapéutica, la aspiración, o el drenaje.[63] La aspiración puede evitar requerir a un drenaje para la resolución del neumotórax, aunque la efectividad y la seguridad de ambos tratamientos invasivos no se ha estudiado a fondo.[63]
Pronóstico
El neumotórax espontáneo primario tiene un carácter frecuentemente benigno y, en la mayoría de las ocasiones, se da una resolución completa sin necesidad de una intervención invasiva. Los casos de recurrencia son más frecuentes en los tres años posteriores al padecimiento de la enfermedad, con unos porcentajes de recidiva de 30 % para el espontáneo primario y de 43 % para el espontáneo secundario. El riesgo de recidiva aumenta tras cada reaparición después del primero, siendo de 30 % tras el primero, 40 % después del segundo, y más del 50 % posteriormente a la tercera ocasión. Aunque frecuentemente no se observan amenazas importantes a la salud ante la ocurrencia de un neumotórax espontáneo primario, se han notificado algunos casos de fallecimientos a consecuencia de este. Respecto al secundario, su letalidad depende en gran parte de la patología de base del paciente, el nivel de inmunodepresión y del tamaño del mismo: algunos estudios han hallado que los pacientes con EPOC y VIH sufren de una tasa de mortalidad más elevada. La mortalidad ligada a la aparición de un neumotórax a tensión es significativamente mayor y, en la mayoría de los casos, este requiere de una intervención de urgencia para evitar la muerte del paciente.[3]
Prevención
A los pacientes que han sufrido un neumotórax espontáneo se les puede advertir de que algunas actividades que suponen cambios en la presión atmosférica, como el buceo o el vuelo en avión, comportan un riesgo de recidiva de la enfermedad.[3][25]
Se ha hallado una asociación entre el consumo de tabaco y el riesgo de desarrollar neumotórax primario.[64] Un estudio que evaluó los hábitos de vida de 138 pacientes suecos que habían sido ingresados en hospital a causa de un neumotórax concluyó que el tabaco aumenta el riesgo relativo de desarrollar esta patología, siendo este nueve veces mayor en mujeres y 22 veces mayor en hombres dentro de la población fumadora.[65] El riesgo de volver a desarrollar la enfermedad después de haberla sufrido también es mayor en sujetos que no consiguen dejar el hábito.[66] Un artículo posterior, publicado en 2017, halló que el riesgo es aún mayor en aquellos que consumen cannabis además de tabaco en comparación con individuos que no fuman o que sólo consumen cigarrillos.[67][68] Asimismo, varios estudios han hipotetizado que el uso del cigarrillo electrónico o vaping podría constituir otro factor de riesgo para su desarrollo.[69][70][71]
Respecto a las intervenciones quirúrgicas en pacientes que ya han sufrido un neumotórax, una revisión sistemática publicada en 2020 sugería que una operación a través de pleurodesis mecánica en combinación con una pleurodesis química era más eficaz a la hora de prevenir la recidiva respecto a un abordaje en el que solo se aplica la mecánica.[72]
Referencias
- «Pleural Disorders». NHLBI, NIH (en inglés). Consultado el 14 de junio de 2021.
- Bintcliffe, O.; Maskell, N. (8 de mayo de 2014). «Spontaneous pneumothorax». BMJ (en inglés) 348 (may08 1): g2928-g2928. ISSN 1756-1833. doi:10.1136/bmj.g2928. Consultado el 14 de junio de 2021.
- Costumbrado, John; Ghassemzadeh, Sassan (2021). Spontaneous Pneumothorax (en inglés). StatPearls Publishing. PMID 29083723. Consultado el 14 de junio de 2021.
- Chen, Lin; Zhang, Zhongheng (2015-08). «Bedside ultrasonography for diagnosis of pneumothorax». Quantitative Imaging in Medicine and Surgery (en inglés) 5 (4): 618-623. ISSN 2223-4292. PMC 4559988. PMID 26435925. doi:10.3978/j.issn.2223-4292.2015.05.04. Consultado el 14 de junio de 2021.
- Bassano, Nicolás (2009). «Guía clínica de neumotórax simple en el primer episodio (NSPE)». Hospital Provincial Neuquén. Archivado desde el original el 11 de julio de 2015. Consultado el 23 de mayo de 2015.
- Peñalver Mellado, C.; Lorenzo Cruz, M.; Sánchez Gascón, F. «Neumotórax». Archivado desde el original el 5 de marzo de 2016. Consultado el 23 de mayo de 2015.
- «Neumotórax: Síntomas, diagnóstico y tratamiento. Clínica Universidad de Navarra». www.cun.es. Consultado el 21 de julio de 2021.
- Weinberger, Steven E.; Mandel, Jess; Preceded by : Weinberger, Steven E. (2019). Principles of pulmonary medicine (en inglés). ISBN 978-0-323-52373-8. OCLC 1020498796. Consultado el 14 de junio de 2021.
- Slade, Mark (2 de diciembre de 2014). «Management of Pneumothorax and Prolonged Air Leak». Seminars in Respiratory and Critical Care Medicine (en inglés) 35 (06): 706-714. ISSN 1069-3424. doi:10.1055/s-0034-1395502. Consultado el 14 de junio de 2021.
- Wolf, Stephen J; Bebarta, Vikhyat S; Bonnett, Carl J; Pons, Peter T; Cantrill, Stephen V (2009-08). «Blast injuries». The Lancet (en inglés) 374 (9687): 405-415. doi:10.1016/S0140-6736(09)60257-9. Consultado el 14 de junio de 2021.
- Enciclopedia ilustrada Cumbre, Editorial Cumbre. México 1958
- Ossés, Juan M.; Gaitán, Cristina (2003). «Neumotórax». REVISTA MEDICINA RESPIRATORIA / Año 3 - Número I / Mayo de 2003. Revista Argentina de Medicina Respiratoria. Archivado desde el original el 10 de julio de 2015. Consultado el 23 de mayo de 2015.
- Mick, Nathan W.; Egan, Daniel, MD; Nadel, Eric S.; Mick, Nathan W. (2006). Blueprints emergency medicine (en inglés). Blackwell Pub. ISBN 1-4051-0461-9. OCLC 58534274. Consultado el 14 de junio de 2021.
- Papagiannis, Antonios; Lazaridis, George; Zarogoulidis, Konstantinos; Papaiwannou, Antonis; Karavergou, Anastasia; Lampaki, Sofia; Baka, Sofia; Mpoukovinas, Ioannis et al. (2015/03). «Pneumothorax: an up to date “introduction”». Annals of Translational Medicine (en inglés) 3 (4): 9-9. ISSN 2305-5847. PMC 4381472. PMID 25861608. doi:10.3978/j.issn.2305-5839.2015.03.23. Consultado el 17 de junio de 2021.
- Hasan F Batırel, M. D.; Mustafa Yüksel, M. D. (1 de febrero de 1997). «Thoracic Surgery Techniques of Şerefeddi̇n Sabuncuoğlu in the Fifteenth Century». The Annals of Thoracic Surgery (en inglés) 63 (2): 575-577. ISSN 0003-4975. doi:10.1016/S0003-4975(96)01234-9. Consultado el 21 de julio de 2021.
- Kaya, Seyda Ors; Karatepe, Mustafa; Tok, Turgut; Onem, Gokhan; Dursunoglu, Nese; Goksin, Ibrahim (2009). «Were Pneumothorax and Its Management Known in 15th-Century Anatolia?». Texas Heart Institute Journal 36 (2): 152-153. ISSN 0730-2347. PMC 2676596. PMID 19436812. Consultado el 21 de julio de 2021.
- ITARD, Jean Marc Gaspard (1803). Dissertation sur le pneumothorax, ou les congestions gazeuses qui se forment dans la poitrine (en francés). De l'imprimerie des Sourds-Muets. Consultado el 17 de junio de 2021.
- Roguin, A. (1 de septiembre de 2006). «Rene Theophile Hyacinthe Laennec (1781-1826): The Man Behind the Stethoscope». Clinical Medicine & Research (en inglés) 4 (3): 230-235. ISSN 1539-4182. PMC 1570491. PMID 17048358. doi:10.3121/cmr.4.3.230. Consultado el 17 de junio de 2021.
- RTH, Laennec (1819). De L'Auscultation Médiate; ou Traité du Diagnostic des Maladies des Poumons et du Cœur, fondé principalement sur ce Nouveau Moyen d'Exploration (en francés) 18 (72). pp. 447-474. ISSN 0963-4932. PMC 5828859. PMID 30332039. Consultado el 17 de junio de 2021.
- MacDuff, A.; Arnold, A.; Harvey, J.; on behalf of the BTS Pleural Disease Guideline Group (1 de agosto de 2010). «Management of spontaneous pneumothorax: British Thoracic Society pleural disease guideline 2010». Thorax (en inglés) 65 (Suppl 2): ii18-ii31. ISSN 0040-6376. doi:10.1136/thx.2010.136986. Consultado el 15 de junio de 2021.
- Grundy, Seamus; Bentley, Andrew; Tschopp, Jean-Marie (2012). «Primary Spontaneous Pneumothorax: A Diffuse Disease of the Pleura». Respiration (en inglés) 83 (3): 185-189. ISSN 1423-0356. doi:10.1159/000335993. Consultado el 17 de junio de 2021.
- «CASE RECORDS». Acta Medica Scandinavica (en inglés) 77 (S43): 1-93. 24 de abril de 2009. doi:10.1111/j.0954-6820.1932.tb05982.x. Consultado el 17 de junio de 2021.
- Herzog, Basel, H. (1998). «History of Tuberculosis». Respiration (en inglés) 65 (1): 5-15. ISSN 0025-7931. doi:10.1159/000029220. Consultado el 17 de junio de 2021.
- Fishman, Alfred P.; Elias, Jack A. (2008). Fishman's pulmonary diseases and disorders (en inglés). McGraw-Hill Medical. ISBN 978-0-07-145739-2. OCLC 71233132. Consultado el 15 de junio de 2021.
- McKnight, Catherine L.; Burns, Bracken (2021). Pneumothorax (en inglés). StatPearls Publishing. PMID 28722915. Consultado el 15 de junio de 2021.
- Gupta, D. (1 de agosto de 2000). «Epidemiology of pneumothorax in England». Thorax (en inglés) 55 (8): 666-671. PMC 1745823. PMID 10899243. doi:10.1136/thorax.55.8.666. Consultado el 15 de junio de 2021.
- Tschopp, J-M.; Rami-Porta, R.; Noppen, M.; Astoul, P. (1 de septiembre de 2006). «Management of spontaneous pneumothorax: state of the art». European Respiratory Journal (en inglés) 28 (3): 637-650. ISSN 0903-1936. doi:10.1183/09031936.06.00014206. Consultado el 14 de junio de 2021.
- Lyra, Roberto de Menezes (2016-06). «Etiology of primary spontaneous pneumothorax». Jornal Brasileiro de Pneumologia (en inglés) 42 (3): 222-226. ISSN 1806-3713. PMC 5569604. PMID 27383937. doi:10.1590/S1806-37562015000000230. Consultado el 14 de junio de 2021.
- Marx, John A.; Hockberger, Robert S.; Walls, Ron M.; Adams, James, May 8-; Rosen, Peter (2010). Rosen's emergency medicine : concepts and clinical practice (en inglés). Mosby/Elsevier. ISBN 978-0-323-05472-0. OCLC 244567182. Consultado el 14 de junio de 2021.
- Noppen, Marc; De Keukeleire, Tom (2008). «Pneumothorax». Respiration (en inglés) 76 (2): 121-127. ISSN 1423-0356. doi:10.1159/000135932. Consultado el 14 de junio de 2021.
- Robinson, Paul D.; Cooper, Peter; Ranganathan, Sarath C. (2009-09). «Evidence-based management of paediatric primary spontaneous pneumothorax». Paediatric Respiratory Reviews (en inglés) 10 (3): 110-117. doi:10.1016/j.prrv.2008.12.003. Consultado el 14 de junio de 2021.
- Chiu, Hsienchang Thomas; Garcia, Christine Kim (2006-07). «Familial spontaneous pneumothorax:». Current Opinion in Pulmonary Medicine (en inglés) 12 (4): 268-272. ISSN 1070-5287. doi:10.1097/01.mcp.0000230630.73139.f0. Consultado el 14 de junio de 2021.
- Treating Sucking Chest Wounds and Other Traumatic Chest Injuries - Journal of Emergency Medical Services (en inglés). 8 de abril de 2015. Archivado desde el original el 8 de abril de 2015. Consultado el 14 de junio de 2021.
- Brubakk, Alf O.; Neuman, Tom S.; Elliott, David H.; Bennett, Peter B. (2003). Bennett and Elliott's physiology and medicine of diving. (en inglés). Saunders. ISBN 978-0-7020-2571-6. OCLC 51607923. Consultado el 14 de junio de 2021.
- Leigh-Smith, S.; Harris, T. (1 de enero de 2005). «Tension pneumothorax--time for a re-think?». Emergency Medicine Journal (en inglés) 22 (1): 8-16. ISSN 1472-0205. PMC 1726546. PMID 15611534. doi:10.1136/emj.2003.010421. Consultado el 16 de junio de 2021.
- Sharma, Anita; Jindal, Parul (2008). «Principles of diagnosis and management of traumatic pneumothorax». Journal of Emergencies, Trauma and Shock (en inglés) 1 (1): 34-41. ISSN 0974-2700. PMC 2700561. PMID 19561940. doi:10.4103/0974-2700.41789. Consultado el 19 de junio de 2021.
- Jalota, Ruchi; Sayad, Edouard (2021). Tension Pneumothorax (en inglés). StatPearls Publishing. PMID 32644516. Consultado el 24 de junio de 2021.
- Seow, A; Kazerooni, E A; Pernicano, P G; Neary, M (1996-02). «Comparison of upright inspiratory and expiratory chest radiographs for detecting pneumothoraces.». American Journal of Roentgenology (en inglés) 166 (2): 313-316. ISSN 0361-803X. doi:10.2214/ajr.166.2.8553937. Consultado el 19 de junio de 2021.
- O'Connor, A R; Morgan, W E (25 de junio de 2005). «Radiological review of pneumothorax». BMJ (en inglés) 330 (7506): 1493-1497. ISSN 0959-8138. PMC 558461. PMID 15976424. doi:10.1136/bmj.330.7506.1493. Consultado el 19 de junio de 2021.
- Baumann, Michael H.; Strange, Charlie; Heffner, John E.; Light, Richard; Kirby, Thomas J.; Klein, Jeffrey; Luketich, James D.; Panacek, Edward A. et al. (2001-02). «Management of Spontaneous Pneumothorax». Chest (en inglés) 119 (2): 590-602. doi:10.1378/chest.119.2.590. Consultado el 26 de junio de 2021.
- Healy, Donagh A; Hegarty, Aidan; Feeley, Iain; Clarke-Moloney, Mary; Grace, Pierce A; Walsh, Stewart R (2014-02). «Systematic review and meta-analysis of routine total body CT compared with selective CT in trauma patients». Emergency Medicine Journal (en inglés) 31 (2): 101-108. ISSN 1472-0205. doi:10.1136/emermed-2012-201892. Consultado el 20 de junio de 2021.
- Bertolaccini, Luca; Congedo, Maria Teresa; Bertani, Alessandro; Solli, Piergiorgio; Nosotti, Mario (1 de noviembre de 2018). «A project to assess the quality of the published guidelines for managing primary spontaneous pneumothorax from the Italian Society of Thoracic Surgeons». European Journal of Cardio-Thoracic Surgery (en inglés) 54 (5): 920-925. ISSN 1010-7940. doi:10.1093/ejcts/ezy199. Consultado el 20 de junio de 2021.
- Wong, Amy; Galiabovitch, Elena; Bhagwat, Krishna (2019-04). «Management of primary spontaneous pneumothorax: a review». ANZ Journal of Surgery (en inglés) 89 (4): 303-308. ISSN 1445-1433. doi:10.1111/ans.14713. Consultado el 20 de junio de 2021.
- Staub, Leonardo Jönck; Biscaro, Roberta Rodolfo Mazzali; Kaszubowski, Erikson; Maurici, Rosemeri (2018-03). «Chest ultrasonography for the emergency diagnosis of traumatic pneumothorax and haemothorax: A systematic review and meta-analysis». Injury (en inglés) 49 (3): 457-466. doi:10.1016/j.injury.2018.01.033. Consultado el 20 de junio de 2021.
- Volpicelli, Giovanni (2011-02). «Sonographic diagnosis of pneumothorax». Intensive Care Medicine (en inglés) 37 (2): 224-232. ISSN 0342-4642. doi:10.1007/s00134-010-2079-y. Consultado el 20 de junio de 2021.
- «UOTW #6 – Ultrasound of the Week». Ultrasound of the Week (en inglés). 24 de junio de 2014. Archivado desde el original el 8 de septiembre de 2017. Consultado el 27 de mayo de 2017.
- «UOTW #62 – Ultrasound of the Week». Ultrasound of the Week (en inglés). 25 de octubre de 2015. Archivado desde el original el 9 de mayo de 2017.
- Keel, Marius; Meier, Christoph (2007-12). «Chest injuries - what is new?». Current Opinion in Critical Care (en inglés) 13 (6): 674-679. ISSN 1070-5295. PMID 17975389. doi:10.1097/MCC.0b013e3282f1fe71. Consultado el 22 de junio de 2021.
- Kuhlwilm, Valentin (2021). «The Use of Chest Seals in Treating Sucking Chest Wounds: A Comparison of Existing Evidence and Guideline Recommendations». Journal of special operations medicine: a peer reviewed journal for SOF medical professionals (en inglés) 21 (1): 94-101. ISSN 1553-9768. PMID 33721314. Consultado el 22 de junio de 2021.
- Rivas de Andrés, Juan; Jiménez López, Marcelo (2008). «Normativa sobre el diagnóstico y tratamiento del neumotórax espontáneo». Arch Bronconeumol, 2008, 44. Consultado el 23 de mayo de 2015.
- Lee, C.; Revell, M.; Porter, K.; Steyn, R. (1 de marzo de 2007). «The prehospital management of chest injuries: a consensus statement. Faculty of Pre-hospital Care, Royal College of Surgeons of Edinburgh». Emergency Medicine Journal (en inglés) 24 (3): 220-224. ISSN 1472-0205. PMC 2660039. PMID 17351237. doi:10.1136/emj.2006.043687. Consultado el 27 de junio de 2021.
- JM, Porcel,. «Neumotórax espontáneo». Medicina Integral. ISSN 0210-9433. Consultado el 15 de diciembre de 2016.
- Ashby, Michael; Haug, Greg; Mulcahy, Pete; Ogden, Kathryn J; Jensen, Oliver; Walters, Julia AE (18 de diciembre de 2014). «Conservative versus interventional management for primary spontaneous pneumothorax in adults». En Cochrane Emergency and Critical Care Group, ed. Cochrane Database of Systematic Reviews (en inglés). PMC 6516953. PMID 25519778. doi:10.1002/14651858.CD010565.pub2. Consultado el 26 de junio de 2021.
- Light, Richard W. (2007). Pleural diseases. Lippincott Williams & Wilkins. ISBN 978-0-7817-6957-0. OCLC 80180526. Consultado el 26 de junio de 2021.
- Carson-Chahhoud, Kristin V; Wakai, Abel; van Agteren, Joep EM; Smith, Brian J; McCabe, Grainne; Brinn, Malcolm P; O'Sullivan, Ronan (7 de septiembre de 2017). «Simple aspiration versus intercostal tube drainage for primary spontaneous pneumothorax in adults». En Cochrane Emergency and Critical Care Group, ed. Cochrane Database of Systematic Reviews (en inglés). PMC 6483783. PMID 28881006. doi:10.1002/14651858.CD004479.pub3. Consultado el 27 de junio de 2021.
- Chang, Su-Huan; Kang, Yi-No; Chiu, Hsin-Yi; Chiu, Yu-Han (2018-05). «A Systematic Review and Meta-Analysis Comparing Pigtail Catheter and Chest Tube as the Initial Treatment for Pneumothorax». Chest (en inglés) 153 (5): 1201-1212. doi:10.1016/j.chest.2018.01.048. Consultado el 27 de junio de 2021.
- Ayoub, Firas; Quirke, Michael; Frith, Daniel (2019-02). «Use of prophylactic antibiotic in preventing complications for blunt and penetrating chest trauma requiring chest drain insertion: a systematic review and meta-analysis». Trauma Surgery & Acute Care Open (en inglés) 4 (1): e000246. ISSN 2397-5776. PMC 6407548. PMID 30899791. doi:10.1136/tsaco-2018-000246. Consultado el 27 de junio de 2021.
- Brims, Fraser John H; Maskell, Nick A (2013-07). «Ambulatory treatment in the management of pneumothorax: a systematic review of the literature». Thorax (en inglés) 68 (7): 664-669. ISSN 0040-6376. doi:10.1136/thoraxjnl-2012-202875. Consultado el 27 de junio de 2021.
- Hallifax, R. J.; Yousuf, A.; Jones, H. E.; Corcoran, J. P.; Psallidas, I.; Rahman, N. M. (2017-12). «Effectiveness of chemical pleurodesis in spontaneous pneumothorax recurrence prevention: a systematic review». Thorax (en inglés) 72 (12): 1121-1131. ISSN 1468-3296. PMC 5738542. PMID 27803156. doi:10.1136/thoraxjnl-2015-207967. Consultado el 28 de junio de 2021.
- Sim, Sarah Kher Ru; Nah, Shireen Anne; Loh, Amos Hong Pheng; Ong, Lin Yin; Chen, Yong (2020-12). «Mechanical versus Chemical Pleurodesis after Bullectomy for Primary Spontaneous Pneumothorax: A Systemic Review and Meta-Analysis». European Journal of Pediatric Surgery (en inglés) 30 (06): 490-496. ISSN 0939-7248. doi:10.1055/s-0039-1697959. Consultado el 28 de junio de 2021.
- Hunt, I.; Barber, B.; Southon, R.; Treasure, T. (27 de octubre de 2006). «Is talc pleurodesis safe for young patients following primary spontaneous pneumothorax?». Interactive CardioVascular and Thoracic Surgery (en inglés) 6 (1): 117-120. ISSN 1569-9293. doi:10.1510/icvts.2006.147546. Consultado el 28 de junio de 2021.
- Palmer, K. T.; Cox, R. A. F.; Brown, Ian (2007). Fitness for work : the medical aspects (en inglés). Oxford University Press. ISBN 978-0-19-856822-3. OCLC 77573085. Consultado el 1 de julio de 2021.
- Bruschettini, Matteo; Romantsik, Olga; Zappettini, Simona; O'Donnell, Colm PF; Calevo, Maria Grazia (1 de febrero de 2019). «Needle aspiration versus intercostal tube drainage for pneumothorax in the newborn». En Cochrane Neonatal Group, ed. Cochrane Database of Systematic Reviews (en inglés). PMC 6357997. PMID 30707441. doi:10.1002/14651858.CD011724.pub3. Consultado el 1 de julio de 2021.
- Guo, Yubiao; Xie, Canmao; Rodriguez, R. Michael; Light, Richard W. (2005-06). «Factors related to recurrence of spontaneous pneumothorax». Respirology (en inglés) 10 (3): 378-384. ISSN 1323-7799. doi:10.1111/j.1440-1843.2005.00715.x. Consultado el 13 de marzo de 2022.
- Bense, László; Eklund, Gunnar; Wiman, Lars-Gösta (1987-12). «Smoking and the Increased Risk of Contracting Spontaneous Pneumothorax». Chest (en inglés) 92 (6): 1009-1012. doi:10.1378/chest.92.6.1009. Consultado el 13 de marzo de 2022.
- Wong, Amy; Galiabovitch, Elena; Bhagwat, Krishna (2019-04). «Management of primary spontaneous pneumothorax: a review». ANZ Journal of Surgery (en inglés) 89 (4): 303-308. ISSN 1445-1433. doi:10.1111/ans.14713. Consultado el 13 de marzo de 2022.
- Hedevang Olesen, Winnie; Katballe, Niels; Sindby, Jesper Eske; Titlestad, Ingrid Louise; Andersen, Poul Erik; Ekholm, Ola; Lindahl-Jacobsen, Rune; Licht, Peter Bjørn (1 de octubre de 2017). «Cannabis increased the risk of primary spontaneous pneumothorax in tobacco smokers: a case–control study». European Journal of Cardio-Thoracic Surgery (en inglés) 52 (4): 679-685. ISSN 1010-7940. doi:10.1093/ejcts/ezx160. Consultado el 13 de marzo de 2022.
- Hancox, R. J.; Poulton, R.; Ely, M.; Welch, D.; Taylor, D. R.; McLachlan, C. R.; Greene, J. M.; Moffitt, T. E. et al. (1 de enero de 2010). «Effects of cannabis on lung function: a population-based cohort study». European Respiratory Journal (en inglés) 35 (1): 42-47. ISSN 0903-1936. PMC 3805041. PMID 19679602. doi:10.1183/09031936.00065009. Consultado el 13 de marzo de 2022.
- Bonilla, Alex; Blair, Alexander J.; Alamro, Suliman M.; Ward, Rebecca A.; Feldman, Michael B.; Dutko, Richard A.; Karagounis, Theodora K.; Johnson, Adam L. et al. (2019-12). «Recurrent spontaneous pneumothoraces and vaping in an 18-year-old man: a case report and review of the literature». Journal of Medical Case Reports (en inglés) 13 (1): 283. ISSN 1752-1947. PMC 6732835. PMID 31495337. doi:10.1186/s13256-019-2215-4. Consultado el 13 de marzo de 2022.
- Wieckowska, Joanna; Assaad, Usama; Aboudan, Muhammad (1 de enero de 2021). «Pneumothorax secondary to vaping». Respiratory Medicine Case Reports (en inglés) 33: 101421. ISSN 2213-0071. doi:10.1016/j.rmcr.2021.101421. Consultado el 13 de marzo de 2022.
- Skertich, Nicholas J.; Sullivan, Gwyneth A.; Madonna, Mary Beth; Shah, Ami N. (1 de noviembre de 2019). «Vaping is a risk factor for spontaneous pneumothorax: Two cases». Journal of Pediatric Surgery Case Reports (en inglés) 50: 101305. ISSN 2213-5766. doi:10.1016/j.epsc.2019.101305. Consultado el 13 de marzo de 2022.
- Asban, Ammar; Raza, Syed Sikandar; McLeod, Chandler; Donahue, James; Wei, Benjamin (1 de octubre de 2020). «Mechanical or chemical and mechanical pleurodesis for spontaneous pneumothorax: what is the most effective approach in preventing recurrence? A systematic review and meta-analysis». European Journal of Cardio-Thoracic Surgery: Official Journal of the European Association for Cardio-Thoracic Surgery 58 (4): 682-691. ISSN 1873-734X. PMID 32463893. doi:10.1093/ejcts/ezaa130. Consultado el 12 de marzo de 2022.
