Derrame pleural
El derrame pleural es una acumulación patológica de líquido en el espacio pleural. Se trata de una enfermedad frecuente con multitud de causas reconocidas incluyendo enfermedades locales de la pleura, del pulmón subyacente, enfermedades sistémicas, disfunción de órganos o fármacos;[3] siendo la más común la insuficiencia cardíaca.[4] El concepto está frecuentemente relacionado con la manifestación de una inflamación de la pleura (pleuresía).
| Derrame pleural | ||
|---|---|---|
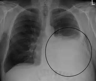
![]() Radiografía de tórax que muestra un derrame pleural en el pulmón izquierdo (señalado con un círculo) | ||
| Especialidad | Neumología | |
| Síntomas | Disnea, tos, fiebre, dolor punzante y localizado[1] | |
| Causas | Diversas[1] | |
| Diagnóstico | Radiografía, auscultación, toracocentesis[1] | |
| Tratamiento | Antibióticos, drenaje por toracocentesis, fisioterapia respiratoria[1][2] | |
| Frecuencia | Incidencia anual de 0,4% en países industrializados[1] | |
| Sinónimos | ||
|
Pleuresía Síndrome de Interposición Líquida. | ||
La pleura es una membrana que envuelve al pulmón y que, en condiciones normales, contiene una pequeña cantidad de líquido (entre 10 y 20 ml en adultos sanos). Este líquido actúa como lubricante y tiene como objetivo facilitar el movimiento del pulmón en la respiración. La cantidad adecuada del mismo se mantiene a través de un equilibrio de presiones hidrostáticas y oncóticas que puede romperse por diversas razones y conllevar una acumulación excesiva en la zona.[5]
El síntoma más común es la disnea, que suele agravarse al esfuerzo, aunque el derrame puede presentarse junto a una amplia variedad de síntomas dependiendo de la enfermedad de origen. En la evaluación física frecuentemente se percibe una disminución de los ruidos respiratorios, y entre los métodos de diagnóstico más frecuentes se hallan la radiografía y la toracocentesis. Esta última también se utiliza como tratamiento de drenaje del líquido en los casos más severos. Asimismo, es común la administración de antibióticos cuando existe una causa infecciosa subyacente. El tratamiento puede ir seguido de rehabilitación respiratoria, a menudo realizada a través de ejercicios de fisioterapia respiratoria.[1][2]
Fisiopatología
En condiciones anatómicas y fisiológicas, existe una escasa cantidad de líquido pleural de no más 10-15 ml en cada hemitórax, que lubrica y facilita el desplazamiento de las dos hojas pleurales que delimitan la cavidad pleural. Existe un trasiego fisiológico de líquido que se filtra, pero cuando hay un desequilibrio entre la formación y la reabsorción se produce el derrame pleural. Tanto la pleural visceral como la parietal tienen irrigación sanguínea dependiente de la circulación sistémica, pero difieren en el retorno venoso. Los capilares de la pleura visceral drenan en las venas pulmonares mientras que los de la parietal lo hacen en la vena cava.
Epidemiología
El derrame pleural es la enfermedad de la cavidad pleural más común con una incidencia anual del 0,4% en países industrializados.[1] Un estudio observacional de gran escala publicado en 2020 halló una prevalencia del 7,7% en pacientes admitidos en Unidad de cuidados intensivos (UCI),[6] otro publicado el mismo año la situó en el 25,5% de los pacientes que ingresan en esta unidad.[7]
Se estima que la incidencia anual en Alemania es de entre 400 000 y 500 000 casos al año.[4]
Causas
El líquido puede tener dos orígenes distintos, puede ser el resultado de un exudado o de un trasudado.[8]
El trasudado se da en casos de insuficiencia cardíaca congestiva (ICC) en un 40-72%, mientras que el exudado es más frecuente en cuadros paraneumónicos (50-70%), neoplasias (42-60%) y tuberculosis (23,5%).[9]
Hidrotórax (trasudados)
Se dan principalmente en la Insuficiencia cardíaca ICC, el 80% son derrames bilaterales. Otras causas son la cirrosis hepática, la insuficiencia renal crónica, el síndrome nefrótico, la diálisis peritoneal.
El líquido del hidrotórax tiene un pH neutro, se caracteriza por tener menor densidad y menor concentración de proteínas < 3gr/dl), mientras que aumentan las LDH.[10]
Las efusiones trasudativas y exudativas de la pleura se diferencian comparando la bioquímica del líquido pleural de aquellos de la sangre. De acuerdo al meta-análisis, dichas efusiones exudativas pleurales necesitan al menos uno de los siguientes criterios:[11]
- Proteína en el fluido pleural >2,9 g/dL (29 g/L)
- Colesterol en el fluido pleural >45 mg/dL (1,16 mmol/L)
- LDH en el fluido pleural >60 % del límite superior del suero
Su clínica dependerá en gran medida de la enfermedad de base. Habitualmente cursan con disnea, ortopnea, nicturia y edemas maleolares. Sus signos más característicos son la matidez hídrica a la percusión y la disminución tanto del murmullo vesicular como de las vibraciones vocales.
Exudados
| Trasudado vs. exudado | ||
|---|---|---|
| Trasudado | Exudado | |
| Principales causas | *Aumento de la presión hidrostática, * Disminución de la Presión oncótica |
Inflamación |
| Apariencia | Claro[12] | Turbio[12] |
| Densidad | < 1.012 | > 1.020 |
| Proteínas contenido | < 25 g/L | > 35 g/L[13] |
| Proteína líquido Proteína suero | < 0.5 | > 0.5[14] |
| Diferencia de contenido de albúmina con albúmina del suero | > 1.2 g/dL | < 1.2 g/dL[15] |
| Líquido pleural LDH LDH suero | < 0.6 | > 0.6[13][14] |
| Contenido de colesterol | < 45 mg/dL | > 45 mg/dL[13] |
Las causas que producen el exudado pueden tener diversos orígenes:
- Pulmonar: carcinoma, inflamación, linfoma, metástasis, infarto, traumatismo, Neumonía, embolismo pulmonar, empiema, tuberculosis, infecciones por virus, hongos, rickettsias o parásitos y enfermedades del tejido conectivo[16]
- Extrapulmonar: idiopático, cirrosis, LES, pancreatitis, absceso subfrénico, embarazo, uremia, exposición a asbestos, síndrome de Meigs, quilotórax, sarcoidosis, reacción a fármacos y postinfarto del miocardio[17]
En su clínica, predominan dolor, tos, disnea, cianosis, fiebre y arritmias. Sus signos son similares a los del hidrotórax, disminución de las vibraciones vocales y del murmullo vesicular y matidez.
Signos y síntomas
Los pacientes con derrame pleural pueden no presentar síntomas. El síntoma más común es la disnea,[8] que suele agravarse al esfuerzo, dependiendo del tamaño y localización del área afectada por el derrame. Aunque este síntoma es el más representativo de la presencia de derrame, la correlación entre el grado de disnea y la severidad de la enfermedad es mínima. Otros síntomas están en gran medida determinados por la enfermedad base que provoca el derrame, siendo la más común la insuficiencia cardíaca.[4] En los casos en los que existe una inflamación activa de la pleura (pleuresía), esta puede manifestarse con dolor localizado punzante y agudo que aumenta durante la respiración o la tos. Cuando el derrame pleural se desarrolla, el dolor puede llegar a reducirse, propiciando la falsa idea de que se está produciendo una recuperación. Dependiendo de la causa del derrame, pueden darse síntomas como fiebre, tos o malestar general.[1]
Diagnóstico
La historia clínica y el examen físico presentan indicios sugestivos como disminución de los movimientos respiratorios del lado afectado, disminución de vibraciones vocales, matidez a la percusión, así como disminución o ausencia de los ruidos respiratorios; y a menudo existen síntomas relacionados con las enfermedades de base que pueden estar causando el derrame: por ejemplo, en el caso de una insuficiencia cardíaca puede existir distensión de la vena yugular o edema en las piernas; en el caso de producirse a partir de una cirrosis hepática, puede darse ascitis. Es de gran relevancia también la toracocentesis, que permite analizar el líquido, realizando citología, antibiogramas y la bioquímica. La broncoscopia, puede aportar también información. Si el diagnóstico no es concluyente, se puede recurrir a la realización de una biopsia transparietal o por toracoscopía, e incluso la toracotomía.[1][8]
Toracocentesis
Se indica en derrames pleurales de etiología desconocida y con más de 1 cm hasta la pared. Su realización nos permite analizar el líquido:
- Parámetros bioquímicos: proteínas, LDH, albúmina, pH, glucosa y ADA.
- Recuento y la fórmula: hematíes, linfocitos y neutrófilos.
- Cultivos anaerobios y aerobios: en neumonías nosocomiales aparecerán estafilococos, Gram negativos; mientras que en las adquiridas serán aerobios Gram positivos.
- Citología, cuya sensibilidad es del 40-87%.
Diagnóstico por imagen
El derrame se hace visible en la radiografía cuando es mayor de 75 ml, puede aparecer libre o loculado. En caso de que existan dudas, es recomendable la realización de una radiografía en decúbito lateral del lado afecto. El derrame pleural puede presentar imágenes radiológicas atípicas como:
- Acumulación interlobar del líquido que puede simular una masa.
- Colección subpulmonar que se confunda con el hemidiafragma elevado (en derrames inferiores a 75 ml).
- En posición supina, la distribución posterior del líquido libre puede producir una opacidad homogénea del hemitórax afecto que podría atribuirse erróneamente a una enfermedad parenquimatosa pulmonar.
- La imagen de la radiografía de tórax en el derrame pleural es usualmente característica a 200 ml de líquido pleural (LP) producen borramiento de los ángulos cardiofrénico y costodiafragmático. 50 a 75 ml de LP producen borramiento del ángulo costodiafragmático posterior en la radiografía lateral, observándose el denominado “signo del menisco”. La sensibilidad de la radiografía de tórax para detectar DP es 24-100% con especificidad 85-100% y la sensibilidad para detección del DP por utrasonido es 93% con especificidad 96%.
En algunos casos la ecografía de tórax puede proporcionar más información, siendo su mayor utilidad la detección de anormalidades subpulmonares y subfrénicas. También se utiliza para guiar la toracocentesis en derrames pequeños o loculados. No obstante no es práctico recomendar esta exploración a todos los pacientes.
La TAC se utilizará en caso de que exista patología pulmonar asociada o cuando se requiera definir mejor la localización anterior o posterior del proceso. También será útil para diferenciar una lesión pleural de una lesión en el parénquima pulmonar.
En casos de derrame masivo, el mediastino puede ser empujado por la presión ejercida por el líquido, pero si el mediastino está centrado hay que sospechar de obstrucción bronquial proximal. Las técnicas de diagnóstico por imagen ayudan a determinar este desplazamiento.[8]
Masivo derrame pleural izquierdo (zona blanca) en un paciente con cáncer de pulmón.
TAC TAC de tórax con derrame pleural izquierdo.- Expansión pulmón en un área de derrame pleural visto por ultrasonidos

Tratamiento
El tratamiento debe abordar la enfermedad causante y al derrame en sí. El trasudado generalmente responden al tratamiento de la causa subyacente, y la toracentesis terapéutica solo se indica cuando exista un derrame masivo que cause disnea severa.
Los casos de derrame pleural causado por enfermedad maligna deben ser tratados con quimioterapia o radioterapia. Se puede intentar una pleurodesis química instalando algunos compuestos dentro del espacio pleural para producir una reacción fibrosa que oblitere el espacio en algunos pacientes seleccionados que tienen derrame maligno persistente a pesar de quimio o radioterapia.
El derrame paraneumónico no complicado por lo general responde a la terapia con antibióticos sistémicos. En los casos complicados se requiere del drenaje por un tubo de toracostomía en los casos de empiema, cuando la glucosa de líquido sea menor de 40 mg/dL o el pH sea menor de 7.2.
La mayoría de los hemotórax se drenan con un sello de tórax. Se requiere de toracotomía cuando no pueda controlarse el sangrado, para remover una cantidad de coágulos, o para tratar otras complicaciones del traumatismo torácico. Por el contrario los hemotórax pequeños y estables pueden resolverse de manera conservadora.
Véase también
Referencias
- Krishna, Rachana; Rudrappa, Mohan (2021). «Pleural Effusion». StatPearls (StatPearls Publishing). PMID 28846252. Consultado el 12 de junio de 2021.
- Valenza-Demet, G; Valenza, MC; Cabrera-Martos, I; Torres-Sánchez, I; Revelles-Moyano, F (1 de noviembre de 2014). «The effects of a physiotherapy programme on patients with a pleural effusion: a randomized controlled trial». Clinical Rehabilitation (en inglés) 28 (11): 1087-1095. ISSN 0269-2155. doi:10.1177/0269215514530579. Consultado el 12 de junio de 2021.
- Sahn SA, Heffner JE. Pleural fluid analysis. In: Light RW, Lee YCG, eds. Texbook of pleural diseases 2nd edn.London: Arnold Press, 2008:209-26
- Jany, Berthold; Welte, Tobias (2019-5). «Pleural Effusion in Adults—Etiology, Diagnosis, and Treatment». Deutsches Ärzteblatt International 116 (21): 377-386. ISSN 1866-0452. PMC 6647819. PMID 31315808. doi:10.3238/arztebl.2019.0377. Consultado el 12 de junio de 2021.
- D'Agostino, Horacio P.; Edens, Mary Ann (2021). Physiology, Pleural Fluid. StatPearls Publishing. PMID 30020725. Consultado el 12 de junio de 2021.
- Bateman, Marjorie; Alkhatib, Ala; John, Thomas; Parikh, Malhar; Kheir, Fayez (2020-01). «Pleural Effusion Outcomes in Intensive Care: Analysis of a Large Clinical Database». Journal of Intensive Care Medicine (en inglés) 35 (1): 48-54. ISSN 0885-0666. doi:10.1177/0885066619872449. Consultado el 12 de junio de 2021.
- Fysh, Edward T. H.; Smallbone, Portia; Mattock, Nicholas; McCloskey, Cassandra; Litton, Edward; Wibrow, Bradley; Ho, Kwok M.; Lee, Y. C. Gary (2020-01). «Clinically Significant Pleural Effusion in Intensive Care: A Prospective Multicenter Cohort Study». Critical Care Explorations (en inglés) 2 (1): e0070. ISSN 2639-8028. PMC 7063904. PMID 32166290. doi:10.1097/CCE.0000000000000070. Consultado el 12 de junio de 2021.
- Villena Garrido, Victoria; Cases Viedma, Enrique; Fernández Villar, Alberto; de Pablo Gafas, Alicia; Pérez Rodríguez, Esteban; Porcel Pérez, José Manuel; Rodríguez Panadero, Francisco; Ruiz Martínez, Carlos et al. (1 de junio de 2014). «Normativa sobre el diagnóstico y tratamiento del derrame pleural. Actualización». Archivos de Bronconeumología 50 (6): 235-249. ISSN 0300-2896. doi:10.1016/j.arbres.2014.01.016. Consultado el 29 de agosto de 2021.
- Light Richard W, "Capítulo 257. Disorders of the Pleura and Mediastinum" (capítulo). Fauci AS, Braunwald E, Kasper DL, Hauser SL, Longo DL, Jameson JL, Loscalzo J: Harrison's Principles of Internal Medicine, 17ª ed.
- Light R, Macgregor M, Luchsinger P, Ball W (1972). «Pleural effusions: the diagnostic separation of transudates and exudates». Ann Intern Med 77 (4): 507-13. PMID 4642731.
- Heffner J, Brown L, Barbieri C (1997). «Diagnostic value of tests that discriminate between exudative and transudative pleural effusions. Primary Study Investigators». Chest 111 (4): 970-80. PMID 9106577. doi:10.1378/chest.111.4.970.
- The University of Utah • Spencer S. Eccles Health Sciences Library > WebPath images > «Inflammation».
- Heffner J, Brown L, Barbieri C (1997). «Diagnostic value of tests that discriminate between exudative and transudative pleural effusions. Primary Study Investigators». Chest 111 (4): 970-80. PMID 9106577. doi:10.1378/chest.111.4.970.
- Light R, Macgregor M, Luchsinger P, Ball W (1972). «Pleural effusions: the diagnostic separation of transudates and exudates». Ann Intern Med 77 (4): 507-13. PMID 4642731.
- Roth BJ, O'Meara TF, Gragun WH (1990). «The serum-effusion albumin gradient in the evaluation of pleural effusions». Chest 98 (3): 546-9. PMID 2152757. doi:10.1378/chest.98.3.546.
- Porcel et al. Current Opinion in Pulmonary Medicine. 2008; 14:337–42. PMID 18520269
- A modified outer cannula can help thoracentesis after pleural biopsy. de Menezes Lyra R. Chest. 1997 Jul;112(1):296. (enlace roto disponible en Internet Archive; véase el historial, la primera versión y la última).
