Toracocentesis
La toracocentesis (del griego thōrāko- "tórax" + kentēsis "perforación") es la punción quirúrgica de la pared torácica para evacuar por aspiración el líquido acumulado en la cavidad pleural.[1] También se denomina: "toracentesis", "paracentesis pleural", "paracentesis torácica" o "pleurocentesis". Este procedimiento quirúrgico fue descrito por primera vez en 1852.
| Toracocentesis | ||
|---|---|---|
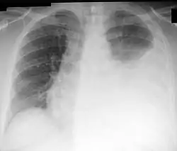
![]() Radiografía de tórax que muestra un derrame pleural izquierdo, susceptible de ser tratado con toracocentesis. | ||
| Clasificación y recursos externos | ||
| CIE-9-MC | 34.91 | |
| Otros códigos: | OPCS-4.2T12.3 | |
| MedlinePlus | 003420 | |
Es una técnica que aporta ventajas terapéuticas (permite eliminar el líquido de la cavidad pleural) y diagnósticas (posteriormente se analiza dicho líquido).
Técnica quirúrgica

La toracocentesis es un procedimiento invasivo para extraer líquido o aire del espacio pleural con fines diagnósticos o terapéuticos. Se realiza mediante una cánula, o aguja hueca, introducida cuidadosamente en el tórax a través de la piel, generalmente después de la administración de anestesia local. Cuando el estado cardiopulmonar se ve comprometido (es decir, cuando el líquido o el aire tienen repercusión en la función del corazón y los pulmones), debido al aire (neumotórax significativo), líquido (derrame pleural) o sangre (hemotórax) fuera del pulmón, a continuación, este procedimiento suele ser reemplazado con tubo de toracotomía (la colocación de un tubo más grande en el espacio pleural para facilitar el drenaje).[2]
La ubicación recomendada de la punción varía dependiendo de la localización del líquido o aire acumulado, generalmente se realiza en la línea axilar media entre el sexto y el octavo espacio intercostal, debido a que se corre el riesgo de lesionar vísceras. Es crítico que el paciente mantenga su respiración, para evitar la perforación del pulmón.[3]
Indicaciones
Este procedimiento está indicado cuando se acumula inexplicablemente un fluido en la cavidad pleural, por fuera de los pulmones. En más de 90% de los casos el análisis del líquido pleural produce información clínicamente útil. Si una gran cantidad de líquido está presente, entonces este procedimiento también se puede utilizar terapéuticamente para eliminar el fluido y mejorar el estado del paciente y su función pulmonar.
Las causas más frecuentes de los derrames pleurales son neumonía, insuficiencia cardíaca congestiva, cirugía reciente y cáncer. En los países donde la tuberculosis es endémica, también es una causa común de derrame pleural.
Contraindicaciones
La aspiración de líquido pleural no debe exceder de un litro, ya que existe un riesgo de desarrollo de edema pulmonar.
- Contraindicaciones absolutas: paciente que no coopera, o con alteración de la coagulación que no se pueda corregir.
- Contraindicaciones relativas:
- - enfisema en la zona de punción
- - ventilación mecánica a presiones elevadas.
- - Cantidad mínima de derrame o neumotórax sin repercusión respiratoria.
- - Diátesis hemorrágica.
- - Sangrado..
- - Insuficiencia cardíaca conocida.
- - Enfermedad cutánea en el punto de punción.
- - Empiema tuberculoso[4]
Complicaciones
El uso de la ecografía para guiar aguja puede reducir al mínimo la tasa de complicaciones.
- Las complicaciones más frecuentes son neumotórax (3-30%), hemoneumotórax, hemotórax ( hemorragia), hipotensión (presión arterial baja debido a una respuesta vasovagal) y reexpansión edema pulmonar.
Toracocentesis diagnóstica
Su finalidad es establecer un diagnóstico mediante la obtención de una muestra de líquido pleural para su análisis bioquímico y microbiológico. Su realización permite analizar varios parámetros del líquido pleural:
- Bioquímicos: proteínas, LDH, albúmina, pH, glucosa y ADA.
- Recuento y fórmula: monocitos, linfocitos y neutrófilos.
- Cultivos anaerobios y aerobios: en neumonías nosocomiales aparecerán estafilococos, Gram negativos; mientras que en las adquiridas serán aerobios Gram positivos.
- Citología.
Toracocentesis terapéutica
La toracentesis terapéutica sólo está indicada cuando exista un derrame masivo o un neumotórax a tensión que cause disnea severa. En este caso es un procedimiento de emergencia ya que existe compromiso vital.
Véase también
Referencias
- Real Academia Nacional de Medicina. Diccionario de términos médicos. Madrid: Ed. Panamericana; 2012.
- Dimov V, Altaqi B. Thoracentesis: A Step-by-Step Procedure Guide with Photos. Clinical Notes. 2012.
- Weinhaus AJ. Thoracic Wall, Pleura and Lungs. Human Gross Anatomy & Embryology. 2004.
- Jiménez Rumí MT. Toracocentesis. Tratado de Enfermería en Cuidados Críticos Pediátricos y Neonatales. 2012. Archivado el 25 de agosto de 2012 en Wayback Machine. ISSN 1885-7124
