Signo del surco profundo
En radiología, el Signo del surco profundo en una radiografía de tórax supina es un indicador indirecto de neumotórax.[1][2]

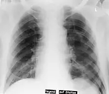
Neumotórax a la izquierda
En una radiografía supina, este signo se ve como un luminoso y profundo ángulo costofrénico ipsilateral,[3] dentro de las porciones no dependientes del espacio pleural en oposición al ápice (del pulmón) cuando el paciente está en posición vertical. El ángulo costofrénico es anormalmente profundo cuando el aire pleural se acumula lateralmente, produciendo el signo del surco profundo.[4]
Los pacientes con enfermedad pulmonar obstructiva crónica (EPOC) pueden mostrar ángulos costofrénicos profundos laterales debido a una hiperaireación de los pulmones y provocar un falso positivo para este signo.
Referencias
- Gordon R (julio de 1980). «The deep sulcus sign». Radiology 136 (1): 25-7. PMID 7384513. doi:10.1148/radiology.136.1.7384513. (enlace roto disponible en Internet Archive; véase el historial, la primera versión y la última).
- Kong A (agosto de 2003). «The deep sulcus sign». Radiology 228 (2): 415-6. PMID 12893899. doi:10.1148/radiol.2282020524.
- Sabbar, Saweera; Nilles, Eric James (2012). «Deep Sulcus Sign». New England Journal of Medicine 366: 552. doi:10.1056/NEJMicm1105315. Consultado el 21 de febrero de 2017.
- «Deep sulcus sign». Radiopaedia. 2011.
Este artículo ha sido escrito por Wikipedia. El texto está disponible bajo la licencia Creative Commons - Atribución - CompartirIgual. Pueden aplicarse cláusulas adicionales a los archivos multimedia.