Sarampión
El sarampión es una enfermedad infecciosa exantemática como la rubeola o la varicela, bastante frecuente, especialmente en niños, causada por un virus, específicamente de la familia paramyxoviridae del género Morbillivirus. Como enfermedad pandémica mató a más de 200 millones de personas. Entre las personas desplazadas, la cifra de muertes por sarampión puede alcanzar el 30%.[3]
| Sarampión | ||
|---|---|---|
![]() Piel con signos de sarampión. | ||
| Especialidad | infectología | |
| Síntomas | Fiebre, tos, secreción nasal, ojos inflamados, sarpullido | |
| Complicaciones | Neumonía, convulsiones, encefalitis, panencefalitis esclerosante subaguda, inmunosupresión , pérdida de audición, ceguera.[1] | |
| Prevención | Vacuna contra el sarampión[2] | |
Se caracteriza por las típicas manchas en la piel de color rojo (exantema), así como la fiebre y un estado general debilitado. La tos siempre está presente debido a la inflamación de las mucosas de las vías respiratorias altas y respondiendo a un clásico de la Infectología: "no hay sarampión sin tos". Si se presentan complicaciones, el sarampión puede causar inflamación en los pulmones y en el cerebro que amenazan la vida del paciente.
El período de incubación del sarampión suele durar de 4 a 12 días, durante los cuales no hay síntomas. Las personas infectadas siguen siendo contagiosas desde la aparición de los primeros síntomas hasta los 3 a 5 días posteriores a la aparición del sarpullido.
El diagnóstico se hace a través del cuadro clínico y la detección de anticuerpos en la sangre. No existe terapia específica para el tratamiento de la enfermedad; sin embargo, se puede prevenir mediante la administración de la vacuna contra el sarampión. En el pasado, la vacuna triple vírica (también conocida como SPR) ha reducido el número de infecciones. En la mayoría de los países, la enfermedad es de declaración obligatoria a las autoridades de salud social.
En 1998, la Asamblea Mundial de la Salud estableció el objetivo de la eliminación del sarampión endémico en Europa para el 2007, para poder certificar su eliminación antes del 2010.[4]
Causa
| Sarampión | ||
|---|---|---|
![]() Virus del sarampión | ||
| Taxonomía | ||
| Dominio: | Riboviria | |
| Reino: | Orthornavirae | |
| Filo: | Negarnaviricota | |
| Subfilo: | Haploviricotina | |
| Clase: | Monjiviricetes | |
| Orden: | Mononegavirales | |
| Familia: | Paramyxoviridae | |
| Subfamilia: | Orthoparamyxovirinae | |
| Género: | Morbillivirus | |
| Especie: | Virus del sarampión | |
| Clasificación de Baltimore | ||
| Grupo: | V (Virus ARN monocatenario negativo) | |
El ser humano es el único huésped del virus del sarampión, un virus de alrededor de 120-140 nanómetros con un ARN monocatenario, miembro de la familia de los paramixovirus (género Morbillivirus). En la superficie del virus del sarampión se encuentran dos glicoproteínas: la hemaglutinina o proteína H y la proteína de fusión o proteína F, formando una matriz de proteínas superficiales. Las proteínas H y F son las proteínas responsables de la fusión del virus con la célula huésped y la inclusión dentro de este. Los receptores de la célula humana son el CD150 o SLAM y en menor medida el CD46. La vacuna produce en el individuo anticuerpos dirigidos contra las proteínas de la superficie del virus del sarampión, en particular, contra la proteína H.[5]
La OMS ha notificado 23 genotipos o variantes genéticas, agrupados en ocho serotipos (A-H).[6] La tasa de mutación de los genomas es comparativamente baja, por lo que las zonas geográficas de origen viral de la infección pueden ser reconstruidas con relativa facilidad.[7] En Europa Central, por ejemplo, se han localizado los genotipos C2, D6 y D7. Los brotes de sarampión en Suiza y Baviera 2006/2007, por su parte, fueron causadas por el genotipo D5 proveniente de Tailandia o Camboya.[8] Esto permitió la detección de una infección en cadena, de Suiza a Baviera y de allí a Austria y Hannover. Además, por razón que en determinadas regiones geográficas solo hay un serotipo estable, la combinación de elementos provenientes de la superficie del patógeno, permite la fabricación de una buena vacuna para la región en donde se encuentre.
El virus es muy sensible a factores externos tales como temperaturas elevadas, la radiación ultravioleta (luz) y, debido a su envoltura vírica, a muchos desinfectantes como, por ejemplo, los que contienen 1% de hipoclorito de sodio, 70% de etanol, glutaraldehído y formaldehído.[9] En el medio ambiente, puede ser infeccioso durante periodos de hasta dos horas.[10]
Patogenia
La transmisión del virus del sarampión ocurre por contacto, toser, o por gotitas infectadas provenientes de alguien enfermo, quien permanece infeccioso tres a cinco días antes de la aparición de las erupciones hasta cuatro días después. El virus penetra en las células epiteliales de la mucosa de las vías respiratorias altas, como la orofaringe o, con menos frecuencia en la conjuntiva de los ojos. El virus llega al tejido linfoide y reticuloendotelial local en menos de 48 horas: amígdalas, adenoides, timo, bazo, etcétera y al resto de las vías respiratorias altas, donde se reproduce originando una viremia inicial asintomática durante los primeros 4 días del contagio. Esto es por lo general acompañada de una breve aparición del virus en la sangre. Después de unos 5-7 días hay una segunda viremia, con la consiguiente infección de la piel y las vías respiratorias. Al décimo día del contagio se inicia la respuesta inmune del huésped y la producción del interferón, que disminuyen progresivamente la viremia, y aparece la erupción con el exantema característico y otros síntomas, como tos y bronquitis aguda, que definen el período exantemático de la enfermedad.[11]
A través de la invasión del virus en los linfocitos T y un aumento de los niveles de sustancias mensajeras como las citoquinas, en particular, interleucina-4, se instala una debilidad inmune temporal del cuerpo. Durante esa fase, de aproximadamente cuatro a seis semanas, pueden aparecer infecciones secundarias.[cita requerida]
El organismo se defiende sobre todo con una inmunidad de tipo celular: los linfocitos T citotóxicos y las células asesinas naturales. Los pacientes con inmunidad reducida, sobre la base de un debilitamiento de esta parte del sistema inmune, tienen un alto riesgo de infección por sarampión grave. Sin embargo, se ha demostrado que un sistema inmune debilitado, que abarca el área del sistema inmune humoral y no el celular, no conduce a un mayor riesgo de enfermedad. Con el inicio de las erupciones, aparecen anticuerpos, primero de la clase IgM y posteriormente de la clase IgG.[cita requerida]
Cuadro clínico

El periodo de incubación es de aproximadamente 4-12 días (durante los cuales no hay síntomas). El primer síntoma suele ser la aparición de fiebre alta, por lo menos tres días, tos, coriza (nariz moqueante) y conjuntivitis (ojos rojos). La fiebre puede alcanzar los 40 °C (104 °F). Las manchas de Koplik que aparecen dentro de la boca son patognomónicas (su aparición diagnostica la enfermedad), pero son efímeras: desaparecen en unas 24 horas.[cita requerida]
Otro síntoma es el exantema, que aparece tres o cuatro días después de comenzar la fiebre. Se trata de una erupción cutánea de color rojizo que desaparece al presionar con el dedo. El característico exantema del sarampión se describe como una erupción generalizada, maculopapular, que comienza 2-3 días después de la aparición de la fiebre y de la sintomatología catarral. Aparece primero detrás de las orejas, se extiende luego progresivamente a la frente, mejillas, cuello, pecho, espalda, extremidades superiores, abdomen y, por último, a las extremidades inferiores, por lo que se dice que el brote sigue una dirección de cabeza a pies, con discreto picor. Al tercer día, el brote palidece; al cuarto, se vuelve de color pardusco, ya no se borra con la presión y la piel tiende a descamarse; desaparece en el mismo orden que apareció. Por esa razón, se suele decir que el sarpullido se "mancha", cambiando de color de rojo a café oscuro, antes de desaparecer.[12]
La tos siempre está presente debido a la inflamación de las mucosas (mucositis) de las vías respiratorias superiores (nariz, faringe, laringe). De esta apreciación surge un elemento de diagnóstico diferencial con otros exantemas, respondiendo a un clásico de la Infectología: "no hay sarampión sin tos".
La erupción y la fiebre desaparecen gradualmente durante el séptimo y décimo día, desapareciendo los últimos rastros de las erupciones generalmente a los 14 días, con descamación ostensible.[12]
Diagnóstico y tratamiento
El diagnóstico clínico del sarampión requiere una historia de fiebre de por lo menos tres días consecutivos con al menos uno de los otros tres síntomas. La observación de las manchas de Koplik es también diagnóstica del sarampión.[13]
Alternativamente, el diagnóstico del sarampión por medio del laboratorio se puede hacer mediante la confirmación de anticuerpos IgM frente al sarampión, o el aislamiento del ARN del virus del sarampión en especímenes respiratorios. En casos de infección de sarampión después de una falla de la vacuna secundaria, los anticuerpos IgM podrían no estar presentes. En tales casos, la confirmación serológica puede establecerse mediante la detección de un aumento de los anticuerpos IgG por la técnica de inmunoanálisis ELISA o fijación del complemento.[cita requerida]
El contacto con otros pacientes que presentan sarampión aumenta la evidencia epidemiológica al diagnóstico.[cita requerida]
No hay un tratamiento específico o terapia antiviral para el sarampión. La mayor parte de los pacientes se recuperarán sin complicaciones con descanso y tratamiento de ayuda.[cita requerida]
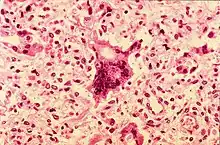
Algunos pacientes desarrollarán neumonía como una secuela del sarampión. Histológicamente, una sola célula puede encontrarse en la región paracortical de los ganglios linfáticos hiperplásicos de pacientes afectados por este cuadro. Esta célula, conocida como la célula Warthin-Finkeldey, es una gigante multinucleótica con citoplasma eosinofílico e inclusiones nucleares. Aquellas personas que hayan padecido una infección activa de sarampión o que hayan recibido la vacuna frente al mismo adquieren inmunidad permanente contra dicha afección.[cita requerida]
Se debe establecer el diagnóstico diferencial entre el sarampión y la fiebre de Zika.[14]
Transmisión
El sarampión es un virus de transmisión aérea altamente contagioso, el cual se propaga primordialmente a través del sistema respiratorio. El virus es transmitido en secreciones respiratorias, y puede ser pasado de persona a persona vía gotitas de saliva (gotas de Flügge)[15] que contienen partículas del virus, como las producidas por un paciente con tos. Una vez que la transmisión ocurre, el virus infecta las células epiteliales de su nuevo huésped, y pueden replicarse en el tracto urinario, el sistema linfático, la conjuntiva, los vasos sanguíneos y el sistema nervioso central.[16]
Complicaciones

Las complicaciones con el sarampión son relativamente comunes, que van desde la habitual y poco grave diarrea, a la neumonía, encefalitis, ulceración córnea que llevan a abrasión córnea.[17] Las complicaciones son generalmente más severas en los adultos que se contagian por el virus.
El porcentaje de casos mortales es de aproximadamente una muerte por cada mil casos. En los países en desarrollo con altos grados de malnutrición y servicios sanitarios pobres, donde el sarampión es más común, la cantidad de fallecimientos es de un 10 por ciento, aproximadamente. En pacientes immunodeprimidos, el porcentaje aumenta hasta aproximadamente un 30 por ciento.[cita requerida]
Una complicación rara, pero de extrema gravedad es la denominada panencefalitis esclerosante subaguda (PEES) cuya incidencia es de 7/1000 casos de sarampión. Aunque en países desarrollados es mínima y se diagnostican muy pocos casos al año, suele aparecer unos 7 años después del sarampión y es más prevalente en niños que se afectaron por primera vez antes de los 2 años. Ocurre cuando un virus defectivo, es decir cuya síntesis de proteína M está disminuida, sobrevive en las células del cerebro y actúa como virus lento. Sus síntomas son, cambios de personalidad, cambios del comportamiento y la memoria, seguidos de contracciones bruscas fasciculadas, así como ceguera. Usualmente, es fatal.[18]
Inmunización y salud pública
El sarampión es una enfermedad infecciosa significativa porque, aunque la tasa de complicaciones no es alta, la enfermedad en sí misma es tan infecciosa que el gran número de personas que sufrirían complicaciones en un brote entre las personas no-inmunes saturaría rápidamente los recursos hospitalarios disponibles. Si las tasas de vacunación caen, el número de personas no-inmunes en una comunidad aumentan, por tanto, el riesgo de un brote de sarampión aumenta.[19]
En los países desarrollados, la mayor parte de los niños están inmunizados contra el sarampión a la edad de 12 meses, generalmente como parte de la vacuna triplevírica SPR (sarampión, paperas y rubéola). La vacunación no se aplica antes ya que los niños menores de 12 meses retienen inmunoglobulinas anti-sarampiónicas (anticuerpos) trasmitidos de la madre durante el embarazo. Un refuerzo de la vacuna se debe recibir entre los cuatro y los cinco años. Las tasas de vacunación han sido suficientemente altas para hacer al sarampión relativamente poco común. Incluso un solo caso en un dormitorio universitario, o escenario similar, genera un programa local de vacunación, en caso de que cualquiera de las personas expuestas no sean inmunes.[cita requerida]
Las poblaciones no vacunadas enfrentan el riesgo constante de la enfermedad. Después de que las tasas de vacunación bajaron en el norte de Nigeria a principios de los años 2000 debido a objeciones políticas y religiosas, el número de casos aumentó significativamente, y cientos de niños murieron.[20] En el 2005, un brote de sarampión en Indiana fue atribuido a niños cuyos padres se negaron a la vacunación.[21] A principio de los años 2000, la controversia de la vacuna SPR en el Reino Unido con referencia a un lazo potencial entre la vacuna combinada SPR y el autismo provocó un regreso de las "fiestas de sarampión", en las que los padres infectan a los niños con sarampión de manera deliberada para reforzar la inmunidad del niño sin una inyección. Esta práctica presenta muchos riesgos a la salud del niño, y ha sido desaconsejado por las autoridades de salud pública.[22] La evidencia científica no provee apoyo para la hipótesis de que la SPR sea una causa del autismo.[23] Las tasas decayentes de inmunización en el Reino Unido son la causa probable de un aumento significativo en los casos de sarampión, presentando un aumento constante en el número de casos.[24]
De acuerdo con la Organización Mundial de la Salud (OMS), el sarampión es una de las principales causas de muerte entre los niños pequeños.[25]
A nivel mundial, la tasa de mortalidad ha sido significativamente reducida por los signatarios de la Iniciativa Sarampión: la Cruz Roja Americana, los Centros para el Control y Prevención de Enfermedades de los Estados Unidos (CDC), la Fundación de las Naciones Unidas, Unicef y la Organización Mundial de la Salud (OMS). Globalmente, las muertes por sarampión han bajado en 60%, desde aproximadamente 873 000 muertes en 1999 hasta 345 000 en el 2005. África es la región que ha mostrado el mayor avance, con una reducción de las muertes anuales por sarampión del 75 por ciento en solo cinco años, desde unas 506 000 hasta unas 126 000.[26]
El comunicado de prensa lanzado en conjunto por la Iniciativa Sarampión arroja luz sobre otro beneficio de la lucha contra el sarampión: "Las campañas de vacunación contra el sarampión están contribuyendo a la reducción de las muertes infantiles por otras causas. Se han convertido un canal para la entrega de otros implementos salvavidas, tales como redes para las camas para proteger contra la malaria o paludismo, medicina desparasitante y suplementos de vitamina A. Combinar la inmunización contra el sarampión con otros suplementos de salud es una contribución al logro del Objetivo del Milenio #4: una reducción de dos tercios en las muertes infantiles entre 1990 y 2015."[26]
Una vez contraída y curada la enfermedad, el cuerpo adquiere inmunidad permanente.[cita requerida]
Erradicación mundial y resurgimiento
En 2007, Japón se convirtió en un nido para el sarampión. Japón sufrió de un número récord de casos, y un número de universidades y otras instituciones en el país cerraron en un intento de contener el brote.[27]
En la década de 1990, los gobiernos americanos, junto con la Organización Panamericana de la Salud, lanzaron un plan para erradicar las tres enfermedades para los que sirve la SPR —sarampión, paperas y rubéola— de la región.[cita requerida]
El sarampión endémico ha sido eliminado de Norte, Centro y Sudamérica; el último caso endémico en la región se notificó el 12 de noviembre del 2002.[28] En el 2016, el continente americano fue el primero —y el único, hasta ahora— del mundo que había eliminado la enfermedad.[29]
De cualquier manera, los brotes siguen ocurriendo tras la importación de virus de sarampión de otras regiones mundiales. Por ejemplo, en junio del 2006, hubo un brote en Boston que resultó de un residente[29] que había viajado a la India.[30] En el 2005, hubo otro brote en una población no inmunizada de Indiana e Illinois, transmitida por una niña de Indiana que visitó Rumania sin haber sido vacunada. En Míchigan, en el otoño del 2007, un caso confirmado de sarampión ocurrió en una niña que había sido vacunada y que aparentemente lo contrajo en el exterior. Hubo por lo menos otros seis casos en los que se sospechó su presencia, todos entre niños que habían sido vacunados.{cr}}
En agosto del año 2010, se notificaron casos de sarampión en Argentina, en la provincia de Buenos Aires y en la Ciudad Autónoma de Buenos Aires, los cuales se presume que se contagiaron por personas que asistieron a la Copa Mundial de Fútbol de Sudáfrica 2010.[cita requerida]
Durante el 2018, reapareció el sarampión en Argentina, tras 18 años de erradicada la enfermedad, en el 2000: el primero fue un caso autóctono en el país, en la ciudad de Buenos Aires,[31] y se extendió a la provincia homónima.[32]
En agosto del 2018, en Ecuador, tras más de ocho años de haber erradicado el sarampión vernáculo en el país, reapareció con 19 casos, todos ellos importados por inmigrantes.[33]
En agosto y septiembre del 2011, se confirmaron siete casos en Barranquilla, Colombia, luego de muchos años sin aparecer brotes de la enfermedad. El gobierno colombiano inició un plan de vacunación de ocho millones de dosis en las principales ciudades de la costa y en Bogotá. Según declaraciones del gobierno, se debió al tránsito de extranjeros, a raíz de la Copa Mundial Sub-20 de la FIFA Colombia 2011.[cita requerida]
Aunque las organizaciones más pequeñas han propuesto una erradicación global del sarampión, de las paperas y de la rubéola,[34] aún no hay planes serios, al menos, hasta la erradicación mundial de la poliomielitis.[cita requerida]
A fines de diciembre del 2014, comenzó un brote de sarampión en los Estados Unidos; se estima que tuvo lugar cuando cinco personas enfermaron después de visitar el parque Disneyland. La empresa Disney informó que al menos cinco empleados enfermaron de sarampión.[35] Esta epidemia es la peor que ha ocurrido en 15 años[36] y, según los medios, parece empeorar.[37] Si bien la enfermedad había sido erradicada de los Estados Unidos en el 2000 según el Centro de Control y Prevención de Enfermedades de los Estados Unidos, desde el brote ocurrido en Disneylandia en diciembre del 2014 se diagnosticaron 644 casos en 27 estados de ese país, lo que provocó que el entonces presidente, Barack Obama, solicitara a la población que vacunara a sus hijos.[38] Se notificaron dos casos en Argentina en el 2018, los cuales aún están bajo investigación.[29]
Controversia con grupos antivacunas
Desde que la vacunación empezó a practicarse a finales del siglo XVIII, sus oponentes han afirmado que las vacunas no funcionan, que son o pueden ser peligrosas, que en su lugar debería hacerse énfasis en la higiene personal o que las vacunaciones obligatorias violan derechos individuales o principios religiosos.[cita requerida]
Es difícil asegurarlo, pero la reaparición de casos de sarampión en países desarrollados como los Estados Unidos, Italia, Reino Unido e Irlanda hacen sospechar que la falta de vacunación impulsada en los años 2000 por los grupos antivacunas[39] ha favorecido esta situación.
El sarampión volvió a aparecer en el 2019 en los Estados Unidos. Desde enero, 22 estados en el país sumaron un total de 695 casos de sarampión, una enfermedad que se creía erradicada hace casi más de dos décadas, cuando surgió un brote de más de 30 000 casos. A partir de ahí, se impulsó la vacunación a todas las personas.[40]
La aparición del sarampión ha sido atribuida, a que las personas no se vacunaban. La enfermedad se está propagando en los Estados Unidos y alrededores. Los datos del brote de sarampión se han recogido en: Nueva York, Washington, Nueva Jersey, California, Míchigan.[cita requerida]
La gente que no admite la vacunación de esta enfermedad pone en riesgo su salud y la de todos los que les rodean, pues según Unicef, el sarampión es más contagioso que el ébola, que la tuberculosis o que la gripe. El contagio de esta enfermedad es muy feroz, pues puede aparecer hasta dos horas después de mantener el contacto con una persona infectada. Además, esta enfermedad es tan contagiosa que se propaga por el aire e infecta el sistema respiratorio. Si el sarampión se suma a otros daños de la salud humana, como la desnutrición, puede acabar con la vida de estos o de bebés sin vacunar. Al producirse el contagio, no hay un tratamiento específico para la cura, por lo que la vacunación es esencial para salvar a las persona de esta enfermedad, sobre todo a los niños.[41]
Los cinco países con más casos en contra de la vacunación del sarampión entre el 2010 y el 2017 han sido: Estados Unidos, con una cifra de 2 593 000 personas; 608 000, en Francia; Reino Unido, con 527 000 personas; Argentina, con 438 000, e Italia, con 435 000 personas.[42]
En el 2019, la Organización Mundial de la Salud catalogó a estos grupos radicalizados como una de las principales amenazas a la salud mundial.[43]
En el 2020, surgieron brotes de sarampión en México.[44]
Referencias
- «Pinkbook: Measles | CDC». www.cdc.gov (en inglés estadounidense). 21 de septiembre de 2022. Consultado el 22 de noviembre de 2022.
- «Measles». www.who.int (en inglés). Consultado el 22 de noviembre de 2022.
- Revilla, Fernando. «OPS/OMS | Datos básicos de sarampión». Pan American Health Organization / World Health Organization. Consultado el 19 de agosto de 2022.
- De Ory, F. et al. Comparación de los procedimientos serológicos de los laboratorios del Plan para la Eliminación del Sarampión en el diagnóstico de exantemas víricos. Enferm Infecc Microbiol Clin 2004;22(6):319-22.
- Yanagi, Yusuke; Takeda, Makoto; Ohno, Shinji (octubre de 2006). «Measles virus: cellular receptors, tropism and pathogenesis». J Gen Virol (en inglés) 87 (10): 2767-2779. doi:10.1099/vir.0.82221-0. Archivado desde el original el 26 de noviembre de 2013. Consultado el 5 de agosto de 2013.
- WHO: Nomenclature for describing the genetic characteristics of wild-type measles viruses (update). WER 2001; 32: 242–247 and 33: 249–251 PMID 11515240 PDF, 137 kB
- Bellini WJ, Rota PA.: Genetic diversity of wild-type measles viruses: implications for global measles elimination programs. Emerg Infect Dis. 1998 4(1):29-35. PMID 9452396
- Robert Koch-Institut: Epidemiologisches Bulletin 37/2007
- Measles virus - Material Safety Data Sheets (MSDS). Measles virus (en inglés). Citado por la Agencia de Salud Pública de Canadá. Consultado 14 de marzo de 2009.
- «Sarampión». www.who.int. Consultado el 19 de mayo de 2020.
- «CONICET | Buscador de Institutos y Recursos Humanos». www.clonicet.gov.ar. Consultado el 19 de mayo de 2020.
- «Sarampión». www.fesemi.org. Consultado el 26 de mayo de 2020.
- Teglia,, Osvaldo F. (2019). «Sarampión y rubeola: dos enfermedades que resisten a su ocaso». Sarampión y rubeola:: dos enfermedades que resisten a su ocaso. Consultado el 16 de junio de 2023.
- «For Health Care Providers: Clinical Evaluation & Disease | Zika virus | CDC». www.cdc.gov. Archivado desde el original el 25 de diciembre de 2015. Consultado el 24 de diciembre de 2015.
- Guillermo Murillo-Godínez, Las gotitas de Flügge (Rev Med Inst Mex Seguro Soc 2009; 47 (3): 290). «Las gotitas de Flügge». Revista Médica del Instituto Mexicano del Seguro Social (Rev Med Inst Mex Seguro Soc). publicación oficial de la Dirección de Prestaciones Médicas. Publicación bimestral editada por la Coordinación de Educación en Salud. Oficinas Administrativas: Centro Médico Nacional Siglo XXI,. Consultado el 5 de febrero de 2015.
- Flint SJ, Enquist LW, Racaniello VR, & AM Skalka. Principles of Virology, 2nd edition: Molecular Biology, Pathogenesis, and Control of Animal Viruses. Texto «2004» ignorado (ayuda)
- «Copia archivada». Archivado desde el original el 27 de febrero de 2008. Consultado el 26 de febrero de 2008.
- "NINDS Subacute Sclerosing Panencephalitis Information Page"
- Is early measles vaccination better than later measles vaccination?. Trans R Soc Trop Med Hyg. Jan;109(1):16-28.
- Measles kills more than 500 children so far in 2005. IRIN. 21 de marzo de 2005. Consultado el 13 de agosto de 2007.
- Parker A, Staggs W, Dayan G et al. (2006). «Implications of a 2005 measles outbreak in Indiana for sustained elimination of measles in the United States». N Engl J Med 355 (5): 447-55. PMID 16885548.
- Dillner L (26 de julio de 2001). «The return of the measles party». Guardian.
- Rutter M (2005). «Incidence of autism spectrum disorders: changes over time and their meaning». Acta Paediatr 94 (1): 2-15. PMID 15858952.
- Telegraph article on increasing cases of measles
- Organización Mundial de la Salud (5 de diciembre de 2019). «Sarampión». Consultado el 1 de noviembre de 2020.
- «UNICEF Joint Press Release». Archivado desde el original el 4 de febrero de 2015. Consultado el 27 de febrero de 2008.
- «paho.org». Consultado el 5 de diciembre de 2007.
- «Dos nuevos casos de sarampión en la Ciudad encendieron la alarma: ¿Argentina puede perder su estatus de "libre de enfermedad"?». Infobae. Consultado el 20 de julio de 2018.
- «Measles outbreak shows a global threat - The Boston Globe». Consultado el 5 de diciembre de 2007.
- [Volvió el sarampión a la Argentina luego de 18 años Desde el 2000 que no se registraba un caso autóctono en nuestro país. «Volvió el sarampión a la Argentina luego de 18 años»]
|url=incorrecta (ayuda). El Ancasti. 30 de marzo de 2018. - Nota en www.ellitoral.com
- «Autoridades sanitarias de Ecuador confirman 19 casos de sarampión importado.».
- «The Viral Eradication Trinity». Archivado desde el original el 11 de diciembre de 2007. Consultado el 5 de diciembre de 2007.
- Ralph Ellis (25 de enero de 2015). «Brote de sarampión en California aumenta a 68 casos». Sitio CNN en español. Cable News Network. Turner Broadcasting System, Inc. Consultado el 4 de febrero de 2015.
- gak, Epidemia de sarampión en California es la peor en 15 años (21 de enero de 2015). «Epidemia de sarampión en California es la peor en 15 años». Sitio WEB Excelsior de México. InventMX. Consultado el 5 de febrero de 2015.
- Redacción de Tiempo de México, ¡Alertan! Epidemia de sarampión en Disney podría empeorar (23 de enero de 2015). «¡Alertan! Epidemia de sarampión en Disney podría empeorar». Portal Tiempo de México. Archivado desde el original el 26 de enero de 2015. Consultado el 5 de febrero de 2014.
- Redacción de Infonews, Obama pide a los padres que vacunen a sus hijos tras un fuerte brote de sarampión (2 de febrero de 2015). «Obama pide a los padres que vacunen a sus hijos tras un fuerte brote de sarampión». Portal Infonews. INFONEWS. Propietario: Manfla SA. Consultado el 5 de febrero de 2015.
- «Historia de los movimientos en contra de la vacunación La Historia de las Vacunas». www.historyofvaccines.org. Consultado el 20 de julio de 2018.
- «CDC Media Statement: Measles cases in the U.S. are highest since measles was eliminated in 2000». Centers for Disease Control and Prevention (CDC). 26 de abril de 2019.
- «La alarmante oleada mundial de casos de sarampión es una amenaza creciente para la infancia». www.unicef.org. Consultado el 19 de mayo de 2020.
- «Los brotes sarampión han aumentado en todo el mundo debido a que más de 20 millones de niños no han recibido la vacuna en los últimos ocho años». www.unicef.org. Consultado el 19 de mayo de 2020.
- «Diez amenazas a la salud global». www.who.int (en inglés). Consultado el 22 de febrero de 2019.
- La Secretaría de Salud de la Ciudad de México confirmó 25 casos de sarampión (Consultado jueves, 26 de marzo del 2020)

