Timo
El timo es un órgano linfoide primario y especializado del sistema inmunitario. Dentro del timo maduran las células T. Las células T son imprescindibles para el sistema inmunitario adaptativo, que es el lugar en donde el cuerpo se adapta específicamente a los invasores externos.
| Glándula timo | ||
|---|---|---|
![]() Timo de un feto, en su etapa final. | ||
| Nombre y clasificación | ||
| Latín | [TA]: thymus | |
| TA | A13.1.02.001 | |
| TH | H3.10.02.0.02001 | |
| Gray | pág.1273 | |
| Información anatómica | ||
| Región | cavidad torácica | |
| Sistema | linfático | |
|
| ||
El timo está compuesto de dos lóbulos idénticos, ubicados anatómicamente en el mediastino superior anterior, enfrente del corazón y detrás del esternón. Histológicamente, cada lóbulo del timo puede dividirse en una médula central y en una corteza periférica, que está rodeada por una cápsula externa. La corteza y la médula desempeñan diferentes papeles en el desarrollo de las células T. Las células del timo pueden dividirse en células estromales tímicas y en células de origen hematopoyético (derivadas de las células madre hematopoyéticas originadas en la médula ósea). Las células T en desarrollo se denominan timocitos y son de origen hematopoyético. Las células estromales incluyen a las células epiteliales de la corteza y de la médula tímica, así como a células dendríticas.
El timo brinda un entorno inductivo para el desarrollo de las células T, procedentes de las células progenitoras hematopoyéticas. Además, las células estromales tímicas permiten la selección de un repertorio de células T funcionales y auto-tolerantes. Por lo tanto, uno de los objetivos más importantes del timo es la inducción de la tolerancia central.
Cuando el timo se muestra mayormente activo y con mayor tamaño es durante los periodos neonatales y preadolescentes. A principios de la adolescencia, el timo empieza a atrofiarse y el estroma tímico es reemplazado por tejido adiposo. No obstante, la linfopoyesis T residual continúa durante toda la vida adulta.
Estructura

La corteza es la ubicación de la principal puesta a punto para el desarrollo de los timocitos, donde se lleva a cabo el reordenamiento y la positiva selección del gen receptor de células T. En los niños, el timo es de un color gris rosáceo, dúctil y lobulado por sus superficies. En el nacimiento es de unos 5 cm de largo, 4 cm de ancho y unos 6 mm de espesor. El órgano se agranda durante la infancia y se atrofia en la pubertad. El timo alcanza un peso máximo (de 20 a 37 gramos) en el momento de la pubertad. El timo de las personas mayores es apenas distinguible por el tejido adiposo circundante. Conforme se va envejeciendo, el timo se encoge lentamente, degenerando con el transcurso del tiempo en pequeñas islas de tejido adiposo. A la edad de 75 años, el timo pesa solamente unos 6 gramos. En los niños, el timo es de un color gris rosáceo y en los adultos de color amarillo.

Si es examinado cuando su crecimiento es más activo, podrá hallarse que consiste de dos lóbulos laterales, situados en estrecho contacto a lo largo de la línea media, ubicado parcialmente en el tórax, en parte del cuello, y extendiéndose desde el cuarto cartílago costal hacia arriba, tan elevado como el borde inferior de la glándula tiroides. Está cubierto por el esternón y por los orígenes de los músculos esternotiroideo y esternocleidohioideo. Está apoyado en el pericardio, estando separado desde el arco aórtico y de los grandes vasos por una capa de fascia. En el cuello, el timo se encuentra en la parte frontal y en los lados de la tráquea, detrás del esternotiroideo y el esternocleidohioideo. Los dos lóbulos difieren ligeramente en tamaño y pueden estar unidos o separados.
Cada lóbulo lateral está compuesto de numerosos lóbulos unidos por delicado tejido areolar; todo el órgano está encerrado en una cápsula de inversión de una estructura similar, pero más densa. Los lóbulos primarios varían en tamaño desde el de la cabeza de un alfiler hasta el de un pequeño guisante, y están compuestos de un número de pequeños nódulos o folículos.
Los folículos son irregulares en cuanto a su forma y están más o menos fusionados, especialmente hacia el interior del órgano. Cada folículo es de 1 a 2 mm de diámetro y consiste de una porción medular y cortical, y estos difieren en muchos detalles esenciales el uno del otro.
Corteza

La porción cortical está compuesta principalmente de linfocitos T, apoyados por una red de células epiteliales regulares finamente ramificadas, que continúa con una red similar en la porción medular. Esta red forma una adventicia hasta los vasos sanguíneos.
La corteza es la ubicación de la principal puesta a punto para el desarrollo de los timocitos, donde se lleva a cabo el reordenamiento y la positiva selección del gen receptor de células T.
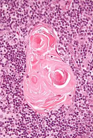
Médula
En la porción medular, la red de células reticulares es más gruesa que en la corteza, las células linfoides son relativamente menores en número y son concéntricas, así; son cuerpos con aspecto de nido o madriguera, llamados corpúsculos de Hassall. Estos corpúsculos concéntricos están compuestos de una masa central, que consisten de una o más células granulares y de una cápsula formada por células epiteliales. Son los restos de los tubos epiteliales, que crecen hacia afuera de las terceras bolsas faríngeas del embrión para formar el timo. Cada folículo está rodeado por un plexo vascular, del cual pasan los vasos hacia el interior e irradian desde la periferia hacia el centro, formando una segunda zona justo dentro del margen de la porción medular. En el centro de la porción medular hay muy pocos vasos que son de tamaño diminuto.
La médula es la ubicación de los últimos eventos en el desarrollo de los timocitos. Los timocitos que llegan a la médula ya han pasado con éxito el reordenamiento y la selección positiva del gen receptor de células T, y han sido expuestos a un grado limitado de selección negativa. La médula está especializada para permitir que los timocitos se sometan a rondas adicionales de selección negativa para eliminar las células T autorreactivas del repertorio maduro. El gen AIRE se expresa en el epitelio medular del timo, e impulsa la transcripción de genes específicos de órganos como la insulina para permitir la maduración de los timocitos para estar expuestos a un conjunto más complejo de antígenos propios que está presente en la corteza.
Suministro de sangre
Las arterias que irrigan el timo derivan de la arteria torácica interna, y de la arteria tiroidea superior y tiroides inferiores.
Las venas finalizan en la vena braquiocefálica izquierda (vena innominada) y en las venas tiroideas.
Los nervios son sumamente diminutos; que derivan del nervio vago y el sistema nervioso simpático. Ramificaciones del nervio hipogloso y frénico alcanzan la cápsula de inversión, pero no penetran en la sustancia del órgano.
Historia
El timo era conocido por los antiguos griegos, y su nombre proviene de la palabra griega θύμος (thymos), que significa corazón, alma, deseo, vida —posiblemente a causa de su ubicación en el pecho, cerca de donde se sienten en forma subjetiva las emociones; o en forma alternativa su nombre proviene de la hierba thymus (tomillo) (en griego θυμάρι), posiblemente por su parecido con un manojo de tomillo—.[1][2]
Galeno fue el primero en darse cuenta de que el tamaño del órgano cambiaba a lo largo de la vida de una persona.[3]
A causa de la gran cantidad de linfocitos apoptóticos, inicialmente el timo era considerado una "tumba de linfocitos", sin una importancia funcional. La importancia del timo en el sistema inmunitario fue descubierta en 1961 por Jacques Miller, al extraer mediante una cirugía el timo de un ratón que tenía tres días de edad, y observar la deficiencia que sufrió posteriormente su contaje de linfocitos, que luego fueron denominados células T, en referencias al órgano de donde provenían.[4][5] Recientemente, estudios en la immunología han permitido comprender en detalle cual es la función que cumple el timo en la maduración de las células.
Véase también
Referencias
- Online Etymology Dictionary.
- Liddell Scott Greek-English Lexicon
- Nishino M, Ashiku SK, Kocher ON, Thurer RL, Boiselle PM, Hatabu H (2006). «The thymus: a comprehensive review». Radiographics 26 (2): 335-48. PMID 16549602. doi:10.1148/rg.262045213.
- Miller JF (2002). «The discovery of thymus function and of thymus-derived lymphocytes». Immunol. Rev. 185: 7-14. PMID 12190917. doi:10.1034/j.1600-065X.2002.18502.x.
- Miller JF (2004). «Events that led to the discovery of T-cell development and function--a personal recollection». Tissue Antigens 63 (6): 509-17. PMID 15140026. doi:10.1111/j.0001-2815.2004.00255.x.
Enlaces externos
Wikcionario tiene definiciones y otra información sobre timo.
Wikimedia Commons alberga una categoría multimedia sobre Timo.
