Trapezoid fracture
| Trapezoid fracture | |
|---|---|
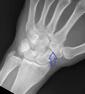
![]() | |
| Nondisplaced fracture through the lateral trapezoid bone | |
| Specialty | Hand surgery |
| Symptoms | Wrist pain inline with the index finger[1] |
| Types | Dorsal rim, body[1] |
| Causes | Trauma, direct blow, excessive forced bending of wrist[1] |
| Diagnostic method | X-rays, CT scan[1] |
| Treatment | Casting, surgery[1] |
| Prognosis | Generally good[1] |
| Frequency | Less than 1% of wrist fractures[1] |
Trapezoid fracture is a break of the trapezoid bone of the wrist. Symptoms generally include wrist pain inline with the index finger.[1] They are often associated with other wrist fractures or dislocations.[1] Complications may include arthritis.[1]
Causes may include trauma, a direct blow, or excessive forced bending of the wrist.[1] Types are dorsal rim and body.[1] Diagnosis is typical by X-rays or CT scan.[1]
Treatment of fractures that are well aligned is by orthopedic casting for 4 to 6 weeks.[1] Otherwise surgery is generally indicated.[1] Outcomes appear to be generally good.[1] Trapezoid fractures represent less than 1% of wrist bone fractures.[1] It is the rarest broken wrist bone along with the pisiform.[2]
References
- 1 2 3 4 5 6 7 8 9 10 11 12 13 14 15 16 17 Suh, N; Ek, ET; Wolfe, SW (April 2014). "Carpal fractures". The Journal of hand surgery. 39 (4): 785–91, quiz 791. doi:10.1016/j.jhsa.2013.10.030. PMID 24679911.
- ↑ Doral, Mahmut Nedim; Karlsson, Jón; Nyland, John; Benedetto, Karl Peter (15 May 2019). Intraarticular Fractures: Minimally Invasive Surgery, Arthroscopy. Springer. p. 200. ISBN 978-3-319-97602-0. Archived from the original on 27 September 2022. Retrieved 24 September 2022.
{{cite book}}: More than one of|accessdate=and|access-date=specified (help); More than one of|archivedate=and|archive-date=specified (help); More than one of|archiveurl=and|archive-url=specified (help)
External links
This article is issued from Wmcloud. The text is licensed under Creative Commons - Attribution - Sharealike. Additional terms may apply for the media files.
