Wagstaffe–Le Fort avulsion fracture
| Wagstaffe–Le Fort avulsion fracture | |
|---|---|
![]() | |
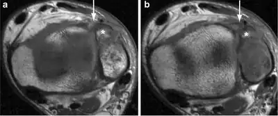
| a, b)Image demonstrates the avulsion fracture of the anterior aspect of the fibula (Wagstaffe–Lefort, asterisk), with a discontinuous aspect of the anterior distal tibiofibular ligament | |
| Frequency | Lua error in Module:PrevalenceData at line 5: attempt to index field 'wikibase' (a nil value). |
Le Fort's fracture of the ankle is a vertical fracture of the antero-medial part of the distal fibula with avulsion of the anterior tibiofibular ligament,[1] opposite to a Tillaux-Chaput avulsion fracture
The injury was described by Léon Clément Le Fort in 1886.[2]
See also
References
- ↑ Tim B Hunter; Leonard F Peltier; Pamela J Lund (2000). "Musculoskeletal Eponyms: Who Are Those Guys?". RadioGraphics. 20: 829. doi:10.1148/radiographics.20.3.g00ma20819. PMID 10835130.
- ↑ Le Fort, LC (1886). "Note sur une variete non-decrite de fracture verticale de la malleole externe par arrachement" [Note on an undescribed variety of vertical fracture of the lateral malleolus by avulsion.]. Bull Gen Ther. 110: 193–199.
| Classification | |
|---|---|
| External resources |
This article is issued from Wmcloud. The text is licensed under Creative Commons - Attribution - Sharealike. Additional terms may apply for the media files.
