Barton fracture
| Barton fracture | |
|---|---|
![]() | |
| A palmar Barton's fracture of the right wrist, as shown on a 3D-rendered CT scan | |
| Specialty | Orthopedic |
| Frequency | Lua error in Module:PrevalenceData at line 5: attempt to index field 'wikibase' (a nil value). |
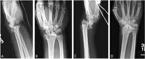
A Barton fracture is a type of wrist injury where there is a break of the front or back of the radius nearest the hand, resulting in the wrist being pushed out of place.[1] It typically occurs after falling on on top of a bent wrist.[2]
There exist two types of Barton's fracture – dorsal[3] and palmar, the latter being more common. The Barton's fracture is caused by a fall on an extended and pronated wrist increasing carpal compression force on the dorsal rim. Intra-articular component distinguishes this fracture from a Smith's or a Colles' fracture.
Treatment of this fracture is usually done by open reduction and internal fixation with a plate and screws, but occasionally the fracture can be treated conservatively.
It is named after John Rhea Barton (1794–1871), an American surgeon who first described this in 1838.[4][5]
Additional images
Lateral projectional radiograph of the same fracture
Barton's and reverse Barton's
References
- ↑ Martel, José; Bueno, Angel (2008). "Fractures with names". In Pope, Thomas; Bloem, Hans L.; Beltran, Javier; Morrison, William B.; John, David (eds.). Musculoskeletal Imaging (2nd ed.). Philadelphia: Elsevier. p. 1232.e2. ISBN 978-1-4557-0813-0. Archived from the original on 2022-09-20. Retrieved 2022-09-11.
- ↑ "Barton Fracture: Symptoms, Causes & Treatment". Cleveland Clinic. 27 December 2021. Archived from the original on 20 September 2022. Retrieved 12 September 2022.
- ↑ "Dorsal Barton's Fracture / Dorsal Shearing Frx – Wheeless' Textbook of Orthopaedics". Archived from the original on 2020-11-26. Retrieved 2021-08-30.
- ↑ Hunter, Tim B.; Peltier, Leonard F.; Lund, Pamela J. (1 May 2000). "Radiologic History Exhibit". RadioGraphics. pp. 819–836. doi:10.1148/radiographics.20.3.g00ma20819. Archived from the original on 16 September 2022. Retrieved 16 September 2022.
- ↑ J. R. Barton. Views and treatment of an important injury of the wrist. Medical Examiner, Philadelphia, 1838, 1: 365–368.
External links
| Classification | |
|---|---|
| External resources |
