Spiradenoma
| Spiradenoma | |
|---|---|
![]() | |
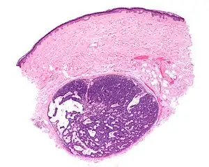
| Micrograph of a spiradenoma (bottom-center of image). H&E stain. | |
Spiradenoma, also spiroma[1][2] or eccrine spiradenoma,[3] is a cutaneous condition that is typically characterized, clinically, as a solitary, deep-seated dermal nodule around 1 cm, occurring on the ventral surface of the body.[4]: 666 [5] Spiradenoma lesions are benign sudoriferous tumors,[6] and have also been described as cystic epitheliomas of the sweat glands.[7]
The histological origin is controversial.[3][6]
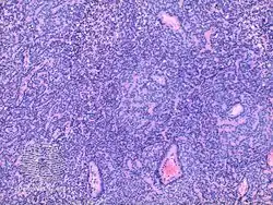
pathology-Eccrine spiradenoma
pathology-Eccrine spiradenoma
pathology-Eccrine spiradenoma
See also
References
- ↑ Paul Gerson Unna (1896). The Histopathology of the diseases of the skin. Macmillan. pp. 805–. Archived from the original on 25 January 2020. Retrieved 11 September 2012.
- ↑ Smith Ely Jelliffe & Caroline Wormeley Latimer (1916). Appleton's medical dictionary. D. Appleton and company. pp. 771. Retrieved 11 September 2012.
spiroma spiradenoma.
- 1 2 article/1062079 at eMedicine
- ↑ James, William D.; Berger, Timothy G.; et al. (2006). Andrews' Diseases of the Skin: clinical Dermatology. Saunders Elsevier. ISBN 0-7216-2921-0.
- ↑ Rapini, Ronald P.; Bolognia, Jean L.; Jorizzo, Joseph L. (2007). Dermatology: 2-Volume Set. St. Louis: Mosby. ISBN 1-4160-2999-0.
- 1 2 Reinhard Dummer (29 October 2010). Skin Cancer - a World-wide Perspective. Springer. pp. 135–. ISBN 978-3-642-05071-8. Archived from the original on 25 January 2020. Retrieved 3 May 2011.
- ↑ Taber's Cyclopedic Medical Dictionary. F.A. Davis Company. 18 February 2009. p. 2176.
External links
| Classification | |
|---|---|
| External resources |
Template:Epidermal-growth-stub
This article is issued from Wmcloud. The text is licensed under Creative Commons - Attribution - Sharealike. Additional terms may apply for the media files.
