Perifollicular fibroma
| Perifollicular fibroma | |
|---|---|
![]() | |
| Perifollicular fibroma | |
| Specialty | Dermatology |
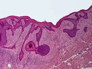
Perifollicular fibroma is a cutaneous condition, a benign tumor usually skin colored, most often affecting the face and upper trunk.[1]: 674 [2]
.png.webp)
Concentric layers of cellular fibrous tissue around hair follicles representing perifollicular fibroma
See also
References
Template:Epidermal-growth-stub
This article is issued from Wmcloud. The text is licensed under Creative Commons - Attribution - Sharealike. Additional terms may apply for the media files.
