Papillary hidradenoma
| Papillary hidradenoma | |
|---|---|
| Other names: Hidradenoma papilliferum | |
![]() | |
| Papillary hidradenoma on vulva | |
| Specialty | Gynecology, dermatology |
A papillary hidradenoma, also hidradenoma papilliferum, is a sharply circumscribed nodule or benign tumor of the apocrine gland usually found on the labia majora or the interlabial folds. It is benign tissue (not cancerous) but is often confused clinically with carcinoma of the vulva because of its tendency to ulcerate.[1]
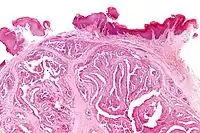
Micrograph of a papillary hidradenoma with the characteristic papillary structures and epithelium with apocrine snouts. A fragmented overlying epidermis is seen at the top of the image. H&E stain.
a,b) Cells of lumina showed decapitation secretion similar to apocrine gland
Intermed. mag.
Very high mag.
See also
References
- ↑ Robbins and Cotran Pathologic Basis of Disease, 7th edition. The Female Genital Tract chapter 22, pg. 1067.
External links
| Classification |
|
|---|
Template:Oncology-stub
This article is issued from Wmcloud. The text is licensed under Creative Commons - Attribution - Sharealike. Additional terms may apply for the media files.
.png.webp)