Megacariocito

Megacariocito

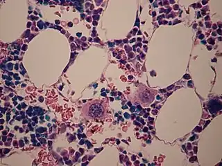
Se observan dos megacariocitos (un poco por debajo del centro) en una muestra de médula ósea.
Nombre y clasificación
Latín Megakaryocytus
TH H2.00.04.3.05003
TH H2.00.04.3.05003
Información anatómica
Región médula ósea

Los megacariocitos (del griego μεγας (megas = grande) + καριον (carion = núcleo) + κυτος (cytos = célula) (célula gigante multilobulada) son unas células muy conspicuas que forman parte del tejido hematopoyético de la médula ósea y de otros tejidos hematopoyéticos. Se trata de una célula muy grande (mide unos 30 μm de diámetro), poliploide y polinucleadas, con numerosas ramificaciones.[1]

La participación del megacariocito en la hematopoyesis (formación de los elementos formes de la sangre) se limita a la producción de las plaquetas o trombocitos.[2] Para formar las plaquetas, los megacariocitos liberan fragmentos de su citoplasma directamente a un vaso sinusoide (vaso poroso), pasando así a la circulación sanguínea.

El proceso madurativo desde la célula madre hasta megacariocito, posteriormente a trombocitos se denomina trombopoyesis

Referencias

  1. Departamento de Biología Celular. Facultad de Medicina. Universidad Nacional Autónoma de México. Ciudad de México, México; González Villalva, Adriana; Bizarro-Nevares, Patricia; a Departamento de Biología Celular. Facultad de Medicina. Universidad Nacional Autónoma de México. Ciudad de México, México; Rojas-Lemus, Marcela; a Departamento de Biología Celular. Facultad de Medicina. Universidad Nacional Autónoma de México. Ciudad de México, México; López-Valdés, Nelly; a Departamento de Biología Celular. Facultad de Medicina. Universidad Nacional Autónoma de México. Ciudad de México, México et al. (1 de enero de 2019). «The megakaryocyte: a very original cell». Revista de la Facultad de Medicina 62 (1): 6-18. doi:10.22201/fm.24484865e.2019.62.1.02. Consultado el 1 de mayo de 2024.
  2. Miale, John B. (1985). Hematologia : medicina de laboratorio. Reverte. ISBN 978-84-291-5550-1. Consultado el 20 de febrero de 2023.
Este artículo ha sido escrito por Wikipedia. El texto está disponible bajo la licencia Creative Commons - Atribución - CompartirIgual. Pueden aplicarse cláusulas adicionales a los archivos multimedia.