Hematopoyesis

Hematopoyesis humana.
* Las características morfológicas de las células hematopoyéticas se muestran como se observa en la tinción de Wright, tinción de May-Giemsa o tinción de May-Grünwald-Giemsa. Los nombres alternativos de ciertas células se indican entre paréntesis. células pueden tener más de una apariencia característica. En estos casos, se ha incluido más de una representación de la misma célula. * Juntos, los monocitos y los linfocitos comprenden los agranulocitos, a diferencia de los granulocitos (basófilos, neutrófilos y eosinófilos) que se producen durante la granulopoyesis. * b., n. y e. representan basofílico, neutrofílico y eosinofílico, respectivamente - como en promielocito basofílico. [1] El eritrocito policromático (reticulocito) de la derecha muestra su aspecto característico cuando se tiñe con azul de metileno o Azure B.
[2] El eritrocito de la derecha es una representación más precisa de su apariencia en la realidad cuando se ve a través de un microscopio.
[3] Otras células que surgen del monocito: osteoclastos, microglia (sistema nervioso central), células de Langerhans (epidermis), células de Kupffer (hígado).
[4] Para mayor claridad, los linfocitos T y B se dividen para indicar mejor que la célula plasmática surge de la célula B. Tenga en cuenta que no hay diferencia en la apariencia de las células B y T, a menos que se aplique una tinción específica.

La hematopoyesis o hemopoyesis (del griego αἷμα, -ατος-, 'sangre' y ποίησις, 'creación') es el proceso de formación, desarrollo y maduración de los elementos de la sangre (eritrocitos, leucocitos y trombocitos (plaquetas)) a partir de un precursor celular común e indiferenciado conocido como célula madre hematopoyética multipotente, unidad formadora de clones, hemocitoblasto o stem cell.[1]

Las células madre que en el adulto se encuentran en la médula ósea, son las responsables de formar todas las células y derivados celulares que circulan por la sangre.

Las células sanguíneas son degradadas por el bazo y los macrófagos del hígado. También es conocida por su distribución en la sangre.

Tejido hematopoyético

La hematopoyesis del tejido hematopoyético aporta la celularidad y el microambiente tisular necesario para generar los diferentes constituyentes de la sangre. En el adulto, el tejido hematopoyético forma parte de la médula ósea y allí es donde ocurre la hematopoyesis normal.

Durante la ontogénesis, varía el sitio donde ocurre la hematopoyesis, por diferente anidación del tejido hematopoyético. Así se constatan tres fases secuenciales según los sitios hematopoyéticos:

  • Fase mesoblástica o megaloblastia: Fase inicial, en el pedúnculo del tronco y saco vitelino. Ambas estructuras tienen pocos milímetros de longitud, ocurre en la tercera semana de vida embrionaria.
  • Fase hepática: Hacia el tercer mes de vida embrionaria, el hígado es sembrado por células madre del saco vitelino.
  • Fase medular o mieloide: El bazo y la médula ósea fetal presentan siembras de células madre hepáticas.

Concepto

Los histólogos del siglo XIX y principios del XX clasificaban las células de la sangre en dos categorías o linajes según su supuesto lugar de origen: de la médula ósea, o de los órganos linfoides (ganglios linfáticos, bazo o timo).

Con algunas correcciones —pues no se considera válida la suposición de un origen dual de las células sanguíneas y se entiende actualmente que todas tienen un origen único y común en la médula ósea—, tal clasificación sigue vigente:

  • La "estirpe mieloide", comprende a los eritrocitos, plaquetas, leucocitos granulares (neutrófilos, basófilos y eosinófilos) y monocitos-macrófagos. El desarrollo de tales elementos se conoce como mielopoyesis y parte de una célula madre precursora común.
  • La "estirpe linfoide", comprende únicamente a los linfocitos, que pueden ser de dos tipos: linfocitos B y linfocitos T (hay un tercer tipo, los linfocitos NK). El desarrollo de estas células se denomina linfopoyesis.

Mielopoyesis

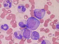
Glóbulos blancos inmaduros en médula ósea, pertenecientes a los estadios de la granulopoyesis.

La mielopoyesis es el proceso que da lugar a la generación, desarrollo y maduración del componente mieloide de la sangre: eritrocitos, plaquetas, neutrófilos, basófilos, eosinófilos y monocitos. A cada tipo mieloide le corresponde respectivamente un proceso generativo diferente.

Eritropoyesis

La vida finita de los eritrocitos, con una media de 120 días, requiere su renovación ininterrumpida para sostener una población circulante constante. La eritropoyesis es el proceso generativo de los eritrocitos.

Trombopoyesis

La trombopoyesis importa los procesos que terminan en la formación de las plaquetas de la sangre.

Granulopoyesis

La granulopoyesis es el proceso que permite la generación de los granulocitos polimorfonucleares de la sangre: neutrófilos, basófilos y eosinófilos. Se genera a partir de la línea mieloide, el primer estadio en su diferenciación es el mieloblasto, este se diferencia a promielocito que genera las granulaciones azurofilas primarias de los polimorfonucleares, este a su vez se diferencia a mielocito que genera granulaciones secundarias específicas para cada uno así dependiendo de los gránulos secundarios generados se convertirá en metamielocito basófilo, ácido filo o neutrófilo. En el desarrollo del neutrófilo el núcleo adopta una conformación en banda para luego convertirse en Neutrófilo maduro segmentado. La granulopoyesis se caracteriza por aumento en la relación núcleo citoplasma, desaparición de los nucleolos y condensación cromatínica.

Monopoyesis

La monopoyesis es la formación de los monocitos.

Serie monocítica:

Los monocitos tienen un origen medular, siendo el elemento más joven el monoblasto. Esta célula origina el promonocito, reconocible en la médula ósea, que en su paso hemoperiférico se transforma en monocito y finalmente migra a los tejidos originando los histiocitos y macrófagos.

Linfopoyesis

La linfopoyesis es el proceso del desarrollo hematopoyético, en el que se forman los Linfocitos y células Natural Killer (Célula NK), a partir de una célula madre hematopoyética. Cada una de las células que se forman (Linfocitos B, Linfocitos T y células NK), tiene una génesis y proceso de maduración independiente, que culmina en distintos órganos.

La diferenciación de las células linfocíticas se desarrolla en la médula ósea (órgano hematopoyético principal), aunque la maduración de los linfocitos T y B, se produce en distintos órganos: Linfocitos B en la médula ósea (Bone marrow en inglés), y Linfocitos T en el Timo.

Plasma sanguíneo

Los elementos que componen el plasma sanguíneo se originan en diferentes partes del organismo:

El plasma contiene además sustancias inorgánicas como gases (Oxígeno, Dióxido de carbono y Nitrógeno), sales, minerales, vitaminas y desechos metabólicos.

Véase también

Referencias

  1. «Hematopoyesis». Laboratorio de Hematopoyesis y Células Troncales, Unidad de Investigación Médica en Enfermedades Oncológicas. Centro Médico Nacional Siglo XXI, IMSS. 2007. Archivado desde el original el 25 de enero de 2022.
Este artículo ha sido escrito por Wikipedia. El texto está disponible bajo la licencia Creative Commons - Atribución - CompartirIgual. Pueden aplicarse cláusulas adicionales a los archivos multimedia.