Sistema tegumentario
El sistema tegumentario es el conjunto de órganos que forman la capa más externa del cuerpo de un animal.[1] Comprende la piel y sus apéndices, actuando como una barrera física entre el ambiente externo y el ambiente interno que sirve para proteger y mantener el cuerpo del animal.
| Sistema tegumentario | ||
|---|---|---|
![]() | ||
| Nombre y clasificación | ||
| Latín | [TA]: integumentum commune | |
| TA | A16.0.00.001 | |
| TH | H3.12.00.0.00001 | |
| TH | H3.12.00.0.00001 | |
| Estructuras principales | ||
| Piel (dermis, epidermis e hipodermis), glándulas exocrinas, faneras (pelo y uñas) y sudor | ||
|
| ||
El sistema tegumentario incluye pelo, escamas, plumas, pezuñas y uñas. Tiene una variedad de funciones adicionales; puede servir para mantener el equilibrio hídrico, proteger los tejidos más profundos, excretar desechos y regular la temperatura corporal, y es el sitio de unión de los receptores sensoriales para detectar el dolor, la sensación, la presión y la temperatura.[2]
Estructura
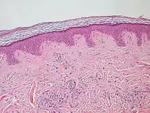
Piel
La piel es uno de los órganos más grandes del cuerpo. En los seres humanos, representa entre el 12 y el 15 por ciento del peso corporal total y cubre 1,5-2 m2 de superficie.[3]

La piel (tegumento) es un órgano compuesto, formado por al menos dos capas principales de tejido: la epidermis y la dermis.[4] La epidermis es la capa más externa y proporciona la barrera inicial al entorno externo. Está separado de la dermis por la membrana basal (lámina basal y lámina reticular). La epidermis contiene melanocitos y da color a la piel. La capa más profunda de la epidermis también contiene terminaciones nerviosas. Debajo de esto, la dermis comprende dos secciones, las capas papilar y reticular, y contiene tejidos conectivos, vasos, glándulas, folículos, raíces pilosas, terminaciones nerviosas sensoriales y tejido muscular.[5]
Entre el tegumento y la musculatura corporal profunda existe una zona subcutánea de transición formada por tejido conjuntivo y adiposo muy laxo, la hipodermis. Haces sustanciales de colágeno anclan la dermis a la hipodermis de una manera que permite que la mayoría de las áreas de la piel se muevan libremente sobre las capas de tejido más profundas.[6]
Epidermis

La epidermis es la capa superficial fuerte que sirve como primera línea de protección contra el ambiente exterior. La epidermis humana está compuesta por células epiteliales escamosas estratificadas, que se descomponen en cuatro o cinco capas: el estrato córneo, el estrato granuloso, el estrato espinoso y el estrato basal. Donde la piel es más gruesa, como en las palmas de las manos y las plantas de los pies, hay una capa extra de piel entre el estrato córneo y el estrato granuloso, llamado estrato lúcido. La epidermis se regenera a partir de las células madre que se encuentran en la capa basal que se desarrollan en la córnea. La epidermis en sí está desprovista de suministro de sangre y extrae su nutrición de su dermis subyacente.[7]
Sus principales funciones son la protección, la absorción de nutrientes y la homeostasis. En estructura, consiste en un epitelio escamoso estratificado queratinizado; cuatro tipos de células: queratinocitos, melanocitos, células de Merkel y células de Langerhans.
El tipo de célula predominante de la epidermis es el queratinocito, que produce queratina, una proteína fibrosa que ayuda en la protección de la piel y es responsable de la formación de la barrera de agua epidérmica al producir y secretar lípidos.[8] La mayor parte de la piel del cuerpo humano está queratinizada, con la excepción del revestimiento de las membranas mucosas, como el interior de la boca. Las células no queratinizadas permiten que el agua "permanezca" encima de la estructura.
La proteína queratina endurece el tejido epidérmico para formar las uñas. Las uñas crecen desde un área delgada llamada matriz ungueal a un promedio de 1 mm por semana. La lúnula es el área en forma de media luna en la base de la uña, de color más claro al mezclarse con las células de la matriz. Solo los primates tienen uñas. En otros vertebrados, el sistema de queratinización en el extremo de cada dedo produce garras o pezuñas.[4]
La epidermis de los vertebrados está rodeada por dos tipos de cubiertas, que son producidas por la propia epidermis. En peces y anfibios acuáticos, es una fina capa de moco que se renueva constantemente. En los vertebrados terrestres, es el estrato córneo (células muertas queratinizadas). La epidermis es, hasta cierto punto, glandular en todos los vertebrados, pero más aún en peces y anfibios. Las glándulas epidérmicas multicelulares penetran en la dermis, donde están rodeadas de capilares sanguíneos que aportan nutrientes y, en el caso de las glándulas endocrinas, transportan sus productos.[9]
Dermis
La dermis es la capa de tejido conectivo subyacente que soporta la epidermis. Se compone de tejido conjuntivo irregular denso y tejido conjuntivo areolar, como un colágeno con elastina dispuestos en un patrón tejido y en haz difuso.
La dermis tiene dos capas: la dermis papilar y la capa reticular. La capa papilar es la capa superficial que forma proyecciones en forma de dedos en la epidermis (papilas dérmicas),[7] y consiste en tejido conectivo laxo altamente vascularizado. La capa reticular es la capa profunda de la dermis y consiste en el tejido conectivo irregular denso. Estas capas sirven para dar elasticidad al tegumento, permitiendo que se estire y confiriendo flexibilidad, al mismo tiempo que resiste las distorsiones, las arrugas y la flacidez.[5] La capa dérmica proporciona un sitio para las terminaciones de los vasos sanguíneos y los nervios. Muchos cromatóforos también se almacenan en esta capa, al igual que las bases de las estructuras tegumentarias, como el cabello, las plumas y las glándulas.[10]
Hipodermis
La hipodermis, también conocida como capa subcutánea, es una capa debajo de la piel. Se invagina en la dermis y se une a esta, inmediatamente por encima de ella, mediante fibras de colágeno y elastina. Está compuesto esencialmente por un tipo de células conocidas como adipocitos, que están especializadas en acumular y almacenar grasas. Estas células se agrupan en lóbulos separados por tejido conectivo.[11]
La hipodermis actúa como reserva de energía. Las grasas contenidas en los adipocitos pueden ser puestas de nuevo en circulación, por vía venosa, durante un esfuerzo intenso o cuando hay carencia de sustancias aportadoras de energía, y luego se transforman en energía. La hipodermis participa, al menos pasivamente, en la termorregulación, ya que la grasa es un aislante térmico.
Funciones
El sistema tegumentario tiene múltiples funciones para mantener el equilibrio del cuerpo. Todos los sistemas del cuerpo funcionan de manera interconectada para mantener las condiciones internas esenciales para el funcionamiento del cuerpo. La piel tiene un trabajo importante de protección del cuerpo y actúa como la primera línea de defensa del cuerpo contra infecciones, cambios de temperatura y otros desafíos a la homeostasis.[12][13]
Sus funciones principales incluyen:
- Proteger los tejidos y órganos vivos internos del cuerpo.
- Proteger contra la invasión de organismos infecciosos.
- Proteger el cuerpo de la deshidratación.
- Proteger el cuerpo contra los cambios bruscos de temperatura, mantener la homeostasis.
- Ayudar a excretar materiales de desecho a través de la transpiración.
- Actuar como receptor del tacto, la presión, el dolor, el calor y el frío (ver Sistema somatosensorial).
- Protege el cuerpo contra las quemaduras solares secretando melanina.
- Generar vitamina D a través de la exposición a la luz ultravioleta.
- Almacenar agua, grasa, glucosa, vitamina D.
- Mantenimiento de la forma del cuerpo.
- Formación de nuevas células a partir del estrato germinativo para reparar lesiones menores.
- Proteger de los rayos UV.
- Regula la temperatura corporal
- Distingue, separa y protege al organismo de su entorno.
Los invertebrados de cuerpo pequeño de hábitats acuáticos o continuamente húmedos respiran utilizando la capa exterior (tegumento). Este sistema de intercambio de gases, donde los gases simplemente se difunden dentro y fuera del líquido intersticial, se denomina intercambio tegumentario.
Sistema apendicular en los animales
Estas estructuras crecen a partir de la epidermis (y son continuas con ella) y constan de folículos pilosos, glándulas sebáceas y sudoríparas, y estructuras especializadas (por ejemplo, garra, pezuña).[14] Los folículos pilosos de los caballos y los bovinos son simples, es decir, los folículos tienen un pelo que sale de cada poro. Los folículos pilosos de perros, gatos, ovejas y cabras son compuestos, es decir, tienen un pelo central rodeado de entre 3 y 15 pelos más pequeños que salen de un poro común. Los animales con folículos pilosos compuestos nacen con folículos pilosos simples que se convierten en folículos pilosos compuestos.[15][16]
El crecimiento del pelo está controlado por varios factores, como la nutrición, las hormonas y el fotoperiodo. La fase de crecimiento del pelo se denomina anágena y la fase de reposo (pelo maduro), telógena. La fase de transición entre la anágena y la telógena es la catágena. Normalmente, los animales mudan su capa de pelo en respuesta a los cambios de temperatura y fotoperiodo; la mayoría de los animales mudan el pelo a principios de primavera y principios de otoño.[16][17]
El tamaño, la forma y la longitud del pelo están controlados por factores genéticos, pero pueden verse influidos por enfermedades, fármacos exógenos, deficiencias nutricionales y el medio ambiente. Las hormonas tienen un efecto significativo en el crecimiento del pelo.[16] La tiroxina inicia el crecimiento del pelo y los glucocorticoides lo inhiben.
Las principales funciones de la capa de pelo son proporcionar una barrera mecánica, proteger al huésped de los daños actínicos y proporcionar termorregulación. En la mayoría de las especies, atrapar el espacio de aire muerto entre los pelos secundarios conserva el calor. Esto requiere que los pelos estén secos y sean impermeables; el pelaje de muchos animales para el clima frío suele ser más largo y fino para facilitar la conservación del calor. El pelo también puede ayudar a enfriar la piel. El pelaje de los animales de clima cálido, sobre todo los grandes, está formado por pelos más cortos y gruesos y menos pelos secundarios. Este cambio anatómico permite que el aire se mueva fácilmente a través del pelaje, lo que facilita el enfriamiento. El pelaje también ayuda a ocultar o camuflar al animal.[14]
Las glándulas sebáceas son glándulas alveolares, holocrinas, simples o ramificadas, que segregan sebo en los folículos pilosos y sobre la superficie epidérmica. Están presentes en gran número cerca de la unión mucocutánea, los espacios interdigitales, la zona dorsal del cuello, la grupa, la barbilla y la zona de la cola; en algunas especies, forman parte del sistema de marcaje olfativo. Por ejemplo, en los gatos, las glándulas sebáceas están presentes en la cara, el dorso y la cola en alta concentración; los gatos marcan territorios frotando su cara contra objetos y depositando una capa de sebo impregnada de feromonas faciales felinas. El sebo es un material lipídico complejo que contiene colesterol, ésteres de colesterol, triglicéridos, ceras diéster y ácidos grasos. El sebo es importante para mantener la piel suave y flexible y para mantener una hidratación adecuada; da brillo al pelo y tiene propiedades antimicrobianas.[16]
Las glándulas sudoríparas (epitriciales y atriquiales) forman parte del sistema termorregulador. Las glándulas atriquiales sólo están presentes en las almohadillas de los pies.Las glándulas epicrinas no están presentes en las almohadillas plantares ni en el planum nasale.La evaporación del sudor de la piel es el principal mecanismo de refrigeración corporal de caballos y primates y, en menor medida, de cerdos, ovejas y cabras.Hay algunas pruebas clínicas que sugieren que la sudoración es limitada en perros y gatos, y que puede tener un papel menor en la refrigeración del cuerpo. Los perros y los gatos se termorregulan principalmente jadeando, babeando y esparciendo saliva por el pelaje (gatos). Los gatos también sudan a través de las patas, sobre todo cuando están excitados; esto se ve más comúnmente en forma de huellas de patas mojadas en superficies como, por ejemplo, las mesas de exploración.[14][16]
Significación clínica
Las posibles enfermedades y lesiones del sistema tegumentario humano incluyen:
- Sarpullido
- Levadura
- Pie de atleta
- Infección
- Quemadura de sol
- Cáncer de piel
- Albinismo
- Acné
- Herpes
- Herpes labialis, comúnmente llamado herpes labial
- Impétigo
- Rubéola
- Cáncer
- Soriasis
- Rabia
- Rosácea
- Dermatitis atópica
- Eccema
Referencias
- Camargo, Luis Antonio Pacora (19 de diciembre de 2016). Cáncer el enemigo oculto. Luis Antonio Pacora Camargo. ISBN 978-612-4200-94-6. Consultado el 4 de julio de 2023.
- C. M. Chuong, B. J. Nickoloff, P. M. Elias, L. A. Goldsmith, E. Macher, P. A. Maderson, J. P. Sundberg, H. Tagami, P. M. Plonka, K. Thestrup-Pederson, B. A. Bernard, SchröJ. M. der, P. Dotto, C. M. Chang, M. L. Williams, K. R. Feingold, L. E. King, A. M. Kligman, J. L. Rees, E. Christophers: What is the 'true' function of skin? In: Experimental Dermatology, 2002; 11: 159–187. doi 10.1034/j.1600-0625.2002.00112.x
- Martini, Frederic; Nath, Judi L. (2009). Fundamentals of anatomy & physiology (8th edición). San Francisco: Pearson/Benjamin Cummings. p. 158. ISBN 978-0321505897.
- Kardong, Kenneth V. (2019). Vertebrates : comparative anatomy, function, evolution (Eighth edición). New York, NY. pp. 212–214. ISBN 978-1-259-70091-0.
- «The Ageing Skin – Part 1 – Structure of Skin». pharmaxchange.info.
- Pratt, Rebecca. «Integument». AnatomyOne. Amirsys, Inc. Archivado desde el original el 20 de octubre de 2013. Consultado el 28 de septiembre de 2012.
- Kim, Joyce Y.; Dao, Harry. «Physiology, Integument». StatPearls. StatPearls Publishing.
- Yousef, Hani; Alhajj, Mandy; Sharma, Sandeep. «Anatomy, Skin (Integument), Epidermis». StatPearls. StatPearls Publishing.
- Quay, Wilbur B. (1 de febrero de 1972). «Integument and the Environment Glandular Composition, Function, and Evolution». Integrative and Comparative Biology 12 (1): 95-108.
- Rene Fester Kratz; Donna Rae Siegfried. Biologie für Dummies. Gasaustausch über das Integument, S. 268f. Weinheim 2011
- McGrath, J.A.; Eady, R.A.; Pope, F.M. (2004). Rook's Textbook of Dermatology (7th edición). Blackwell Publishing. pp. 3.1-3.6. ISBN 978-0-632-06429-8.
- MeSH: Integumentary+System (en inglés)
- Marieb, Elaine; Hoehn, Katja (2007). Human Anatomy & Physiology (7th edición). Pearson Benjamin Cummings. p. 142.
- Dyce, K.M., Sack, W.O. and Wensing, C.J.G. (2002) Textbook of Veterinary Anatomy. 3rd ed. Philadelphia: Saunders.
- Rose E. Raskin, Francisco O. Conrado, Rose E. Raskin, Denny J. Meyer, Katie M. Boes, Canine and Feline Cytopathology-Chapter 3 - Integumentary system, (2023) pag. 35-123, ISBN 9780323683685
- Susan E. Aiello (Author), Michael A. Moses. The Merck Veterinary Manual (2016) 3325 pag. ISBN 9780911910612, ISBN 978-0911910612
- Tortora G.J & Grabowsky S.R (1994). Le système tégumentaire. Principes d'anatomie et de physiologie. Éditions de Boeck université, Paris, 2e édition française
