Células de Merkel
Las células epiteliales táctiles, células de Merkel[1][2] o células de Merkel-Ranvier son células especializadas de la piel, localizadas en la capa basal de la epidermis. Se las puede encontrar aisladas, en acúmulos y en estructuras llamadas domos táctiles. Las funciones de las células de Merkel tienen que ver con la mecanosensación, y con la secreción neuroendocrina. La células se asocian e interactúan con dendritas de fibras somatosensoriales, en un complejo celular llamado disco de Merkel o "disco táctil" que es un órgano mecanosensorial terminal de la piel.[3][4]

Embriología
Las células de Merkel (MC) en desarrollo, se detectan en el ectodermo embrionario del ratón por primera vez en el día E15. El desarrollo de las células de Merkel, se asocia en espacio y tiempo con el desarrollo, de los folículos pilosos primarios.[5]
Durante años se creyó que las células epiteliales táctiles o "de Merkel" derivaban embriológicamente de la cresta neural, investigaciones en el año 2000, sugirieron que podrían tratarse de queratinocitos especializados debido a las similitudes que tienen con estos.[6]
Anatomía microscópica


Las células de Merkel se han descrito en muchas especies, incluidos reptiles, peces y mamíferos, en los cuales se encuentran en la capa basal de la piel vellosa, la piel glabra y algunas mucosas.[7]
- Microscopía óptica
Las células táctiles (tastzellen) de Merkel con la tinción habitual son difíciles de distinguir por su citoplasma claro. Estas células con una longitud de 15-20 μm, son más grandes que las otras epiteliales que la circundan. Muestran un núcleo grande, vesiculoso y paralelo a la superficie del epitelio.[8]
Se ven sobre todo cerca del estrato basal epidérmico y cercanas a los folículos pilosos.[9]
Debajo de la célula de Merkel existe un "menisco táctil", un disco cóncavo-convexo, continuado con una fibrilla nerviosa. La mielina de la fibrilla cesa antes de su arribo a la hilera epidérmica más inferior.[10]
Son fácilmente distinguibles mediante inmunohistoquímica y microscopía confocal.
- Microscopía electrónica


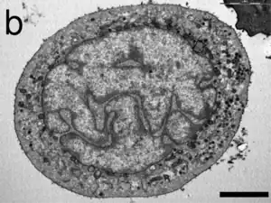
En la ultraestructura el citoplasma aparece claro, pero contiene gránulos de centro oscuro (electrón-densos) pequeños de 80-120 nm y esféricos. También muestra filamentos oscuros, cortos y paralelos. El retículo endoplásmatico es grande al igual que el Golgi, lo que demuestra síntesis y secreción.
El núcleo es lobulado con indentaciones profundas y paralelo a la superficie del epitelio.
La cromatina se muestra poco condensada, lo que implica tasas de transcripción elevada. Se ven uno o dos nucléolos.
El citoplasma emite prolongaciones con forma de dedo o espiga hacia la epidermis, que se interdigitan con los queratinocitos circundantes mediante desmosomas.[9] Aquí son numerosos las uniones estrechas tipo desmosomas.
En el sector basal, las células de Merkel presentan una especialización, de forma discoidal que contacta directamente con dendritas pertenecientes a neuronas aferentes.[11][3]
Sinapsis de Merkel:
Este contacto directo de la célula de Merkel, tiene las características de una sinapsis, muestra: un espacio intercelular inferior a 300 nm, un engrosamiento de la membrana plasmática de los dos lados de la sinapsis, una actividad celular considerable (mitocondrias, retículo endoplásmico) en el lado de las células y unos gránulos secretores en la terminación nerviosa.[12][13]
Los "discos de Merkel" son sinapsis sensoriales y las señales táctiles se transmiten sinápticamente, desde las células de Merkel a las terminaciones nerviosas aferentes tipo Aβ.[14] La individualización del o los neurotransmisores involucrados en esta comunicación es dificultosa, se han propuesto la serotonina en 2016,[15] la noradrenalina en 2018.[16] y glutamato en 2019.[17]
En algunos sectores de la piel, las células "de Merkel" están rodeadas por queratinocitos (KC) columnares con morfología diferente, incluidas en la base de un epitelio escamoso estratificado más grueso que la epidermis circundante. Esta estructura epidérmica especializada se denominó "Domo táctil".[7]
Localización
Las células de Merkel se encuentran en los estratos más profundos de la epidermis, se distinguen por ser más grandes, más claras que las epiteliales circundantes y por poseer un gran núcleo de aspecto "vesicular".[8]
En los humanos, la distribución de las células de Merkel en la piel de diferentes regiones del cuerpo es muy variable, pero se encuentran con densidades más altas en las regiones involucradas en la percepción táctil, como las palmas y las yemas de los dedos.[18]
Fisiología

La células de Merkel (MC) son célula neuroendócrinas porque sintetizan, almacenan y secretan un conjunto de polipéptidos que son hormonas neuroactivas. Poseen características típicas, incluyendo la expresión de cromogranina A, cromogranina B y sinaptofisina. La expresión de péptido intestinal vasoactivo y metionina-encefalina son específicas de las MC.[4] Todas estas características sugieren una forma de señalización parácrina o autocrina en la piel.[13][7]

Las MC transforman los estímulos táctiles en potenciales de acción de Ca2+ y liberan serotonina, luego transmiten estas señales a las terminaciones nerviosas aferentes de tipo Aβ. La proteína que permite la transformación de señales mecánicas en eléctricas es el canal iónico PIEZO-2,[19] y regula la respuesta al tacto ligero.[20] PIEZO-2 también es expresado por las células del cáncer MCC.[4]
Las células de Merkel se asocian con fibras somatosensoriales inervadoras, en un complejo llamado "domo de tacto" que es un órgano mecanosensorial terminal.[21] Las células de Merkel se agrupan en regiones de la piel que están especializadas para la agudeza táctil alta, como las yemas de los dedos, los folículos del bigote y las cúpulas de la piel con pelos.
Complejo células de Merkel-Neurita o Domo sensorial epidérmico.
Su importancia médica radica en que son capaces de producir un tipo de carcinoma. El carcinoma de células de Merkel (CCM), es potencialmente mortal y puede parecerse mucho a una metástasis de un carcinoma de células pequeñas de pulmón o a ciertos linfomas que infiltran la dermis.
El CCM se clasificó según sus similitudes con las células de Merkel (MC) fisiológicas de la piel.[4]
Recambio celular de Merkel
En 2009 se plantea que las células de Merkel no se marcaron con la Bromodesoxiuridina, no incorporaron timidina tritiada y no fueron inmunorreactivos a Ki-67, de células en proliferación. Se postuló su origen de cresta neural, no se encontró que las células de Merkel se renovaran como los queratinocitos y se creyó que tenían una larga vida útil, similar a las neuronas.[22]
En 2013 se plantea que las células epidérmicas de Merkel son descendientes genéticas de las células madre Krt17+ del domo táctil. Las células de Merkel del domo táctil son recambiadas cada 7–8 semanas en la epidermis adulta. El domo táctil es un nicho autónomo de células madre.[23]
Véase también
Referencias
- OMS/OPS (ed.). «Células de Merkel». Descriptores en Ciencias de la Salud, Biblioteca virtual en Salud. Consultado el 17 de mayo de 2020.
- MESH, NIH (ed.). «Descriptor Data 2020, Merkel Cells». U.S. National Library of Medicine.
- Wolfgang Kühnel (2005). Atlas color de citología e histología. Médica Panamericana. p. 450. Consultado el 19 de mayo de 2020.
- Kervarrec T., Samimi M., Guyétant S., Sarma B., Chéret J., Blanchard E., Berthon P., Schrama D., Houben R. Touzé A. (2019). «Histogenesis of Merkel Cell Carcinoma: A Comprehensive Review». Front. Oncol. (Revisión) 9 (451): 99-105. doi:10.3389/fonc.2019.00451. Consultado el 20 de mayo de 2020.
- Xiao Y., Thoresen D.T., Miao L., Williams J.S., Wang C., Atit R.P., Wong S.Y., Brownell I. (2016). «A Cascade of Wnt, Eda, and Shh Signaling Is Essential for Touch Dome Merkel Cell Development». PLoS Genet. 12 número= 7: e1006150. Consultado el 22 de mayo de 2020.
- Geneser, Finn (2000). Histología sobre bases biomoleculares (Tercera edición). Buenos Aires, Argentina: Panamericana. p. 455. ISBN 84-7903-474-2.
- XiaoY, Williams JS, Brownell I. (2014). «Merkel cells and touch domes: More than mechanosensory functions?». Experimental Dermatology. Viewpoint (en inglés) 23 (10). PMC 4180785.
- Martínez Pérez R. (1933). «Terminaciones nerviosas epidérmicas». Las terminaciones nerviosas cutáneas y las sensaciones protopáticas y epicríticas. Real Academia Nac. Medicina. p. 8.
- Halata Z., Grim M., Bauman K.I. (2003). «Friedrich Sigmund Merkel and his “Merkel cell”, morphology, development, and physiology: Review and new results». Anat Rec A Discov Mol Cell Evol Biol (Revisión). Part A 271A (1): 225-239. Consultado el 21 de mayo de 2020.
- Ramón y Cajal S. (1911). «cap.XVI Terminaciones de la expansión periférica, Terminaciones en el epitelio cutáneo». Histología del Sistema Nervioso de los Vertebrados. pp. 4-9. Consultado el 19 de mayo de 2020.
- Gómez, María Elsa; Muñoz, Antonio (2009). «cap.16 Cavidad bucal». Histología, embriología e ingeniería tisular bucodental. Médica Panamericana. p. 151. ISBN 9786077743019. Consultado el 8 de agosto de 2017.
- «Connections between nerve endings and epidermal cells:are they synapses?». Exp Dermatol. 13 : 2-4. 2004. Texto «Chateau Y., Misery L. » ignorado (ayuda);
- Misery L. (2009). Inervación cutánea (pdf).
- Maksimovic S., Baba Y., Lumpkin E.A. (2013). «Neurotransmitters and synaptic components in the Merkel cell-neurite complex, a gentle-touch receptor». Ann N Y Acad Sci. 1279 (1): 13-21. doi:10.1111/nyas.12057. Consultado el 27 de mayo de 2020.
- Chang W., Kanda H., Ikeda R., Ling J., DeBerry J.J., Gu J.G. (2016). «Merkel disc is a serotonergic synapse in the epidermis for transmitting tactile signals in mammals». PNAS 113 (37): E5491-E5500. Consultado el 27 de mayo de 2020.
- Hoffman B.U., Baba Y., Griffith T.N., Mosharov E.V., Woo S.H., Roybal D.D., Karsenty G., Patapoutian A., Sulzer D., Lumpkin E.A. (2018). «Merkel Cells Activate Sensory Neural Pathways through Adrenergic Synapses». Neuron 100 (6): 1401-1413.e6,. Consultado el 27 de mayo de 2020.
- Higashikawa A., Kimura M., Shimada M., Ohyama S., Ofusa W., Tazaki M., Shibukawa Y. (2019). «Merkel Cells Release Glutamate Following Mechanical Stimulation: Implication of Glutamate in the Merkel Cell-Neurite Complex». Front. Cell. Neurosci. Consultado el 27 de mayo de 2020.
- Hahn J.M., Combs K.A., Lloyd C.M., McFarland K.L., Boyce S.T., Supp D.M. (2019). «Identification of Merkel cells associated with neurons in engineered skin substitutes after grafting to full thickness wounds». PLoS ONE (en inglés) 14 (3): e0213325. doi:10.1371/journal.pone.0213325. Consultado el 18 de mayo de 2020.
- «Touch, Tension, and Transduction - The Function and Regulation of Piezo Ion Channels». Trends in Biochemical Sciences 42 (1): 57-71. January 2017. PMC 5407468. PMID 27743844. doi:10.1016/j.tibs.2016.09.004.
- «piezo2b regulates vertebrate light touch response». The Journal of Neuroscience 33 (43): 17089-94. October 2013. PMC 6618434. PMID 24155313. doi:10.1523/jneurosci.0522-13.2013.
- Niu J., Vysochan A., Luo W. (2014). «Dual Innervation of Neonatal Merkel Cells in Mouse Touch Domes.». PLoS ONE (en inglés) 9 (3): e92027. Consultado el 17 de mayo de 2020.
- Boulais N., Pereira U., Lebonvallet N., Gobin E., Dorange G., Rougier N., et al. (2009). «Merkel Cells as Putative Regulatory Cells in Skin Disorders: An In Vitro Study». PLoS ONE 4 (8): e6528. doi:10.1371/journal.pone.0006528. Consultado el 23 de mayo de 2020.
- Doucet Y.S., Woo S-H., Ruiz M.E., Owens D.M. (2013). «The touch dome defines an epidermal niche specialized for mechanosensory signaling». Cell Rep. 3 (6): 1759-1765. doi:10.1016/j.celrep.2013.04.026. Consultado el 24 de mayo de 2020.
