Fractura de tobillo
Una fractura de tobillo es la rotura de uno o más huesos del tobillo.[1] Los síntomas pueden incluir dolor, hinchazón, hematomas e incapacidad para caminar apoyando esa pierna.[1] Las complicaciones pueden incluir un esguince de tobillo alto asociado, síndrome compartimental, disminución del rango de movimiento y consolidación defectuosa.[1][2]
| Fractura de tobillo | ||
|---|---|---|
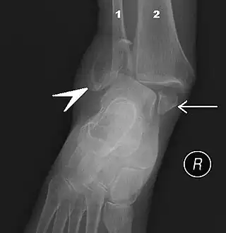
![]() Fractura en ambos lados del tobillo con dislocación vista en radiografía anteroposterior. (1) fíbula, (2) tibia, (flecha) maléolo medial, (cabeza de flecha) maléolo lateral | ||
| Especialidad | Ortopedia | |
| Síntomas | Dolor, hinchazón, moretón, inhabilidad para caminar[1] | |
| Complicaciones | Esguince de tobillo alto, síndrome compartimental, disminución del rango de movimiento, malunión[1][2] | |
| Inicio habitual | Hombes jóvenes, mujeres adultas[2] | |
| Tipos | Lateral maléolo, maléolo medio, maléolo posterior, bimaleolar, trimaleolar[1] | |
| Causas | Torcedura de tobillo, traumatismo cerrado[2] | |
| Diagnóstico | Radiografía basada en la regla de tobillo de Ottawa[2] | |
| Diagnóstico diferencial | Artritis Reumatoide, gotas, artritis séptica, ruptura de talón de Aquiles[2] | |
| Tratamiento | tablilla, enyesado, cirugía[1] | |
| Frecuencia | ~1 cada 1 000/año[2] | |
| Sinónimos | ||
| Tobillo roto[1] | ||
La causa puede incluir una tensión excesiva en la articulación, como por ejemplo, por torcerse un tobillo o por un traumatismo cerrado.[2][1] Los tipos de fracturas incluyen fracturas de maléolo lateral, maléolo medial, maléolo posterior, bimaleolar y trimaleolar.[1] La necesidad de radiografías puede estar determinada por la regla del tobillo de Ottawa.[2]
El tratamiento consiste en entablillado, yeso o cirugía.[1] También puede ser necesario descartar otras lesiones.[2] La recuperación significativa generalmente ocurre dentro de los cuatro meses; sin embargo, la recuperación completa puede tardar hasta dos años.[1] Ocurre en aproximadamente 1.7 por 1 000 adultos y 1 por 1 000 niños por año.[3][2] Ocurren más comúnmente en hombres jóvenes y mujeres mayores.[2]
Referencias
- «Ankle Fractures (Broken Ankle) - OrthoInfo - AAOS». www.orthoinfo.org. Archivado desde el original el 20 de junio de 2019. Consultado el 20 de junio de 2019.
- Wire, Jessica (9 de mayo de 2019). «Ankle Fractures». StatPearls. PMID 31194464.
- Yeung, DE; Jia, X; Miller, CA; Barker, SL (1 de abril de 2016). «Interventions for treating ankle fractures in children.». The Cochrane Database of Systematic Reviews 4: CD010836. PMC 7111433. PMID 27033333. doi:10.1002/14651858.CD010836.pub2.
Enlaces externos
- Esta obra contiene una traducción derivada de «User:Mr. Ibrahem/Ankle fracture» de Wikipedia en inglés, concretamente de esta versión del 29 de diciembre de 2022, publicada por sus editores bajo la Licencia de documentación libre de GNU y la Licencia Creative Commons Atribución-CompartirIgual 4.0 Internacional.
