Rayos X

La denominación rayos X designa a una radiación electromagnética ionizante, invisible para el ojo humano, capaz de atravesar cuerpos opacos y de imprimir las películas fotográficas. Su capacidad de penetrar materia es tanto mayor cuanto mayor es el voltaje, cuanto más baja es la densidad de la materia y cuanto menor es el número atómico medio de dicha materia atravesada. Los actuales sistemas digitales permiten la obtención y visualización de la imagen radiográfica directamente en una computadora (ordenador) sin necesidad de imprimirla. La longitud de onda está entre 10 a 0,01 nanómetros, correspondiendo a frecuencias en el rango de 30 a 30000 PHz (de 50 a 50000 veces la frecuencia de la luz visible).

Radiografía tomada por Wilhelm Röntgen en 1896
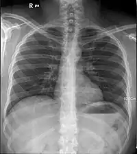
Rayos X del pulmón humano
Rayos X del pulmón humano

Definición

Los rayos X son una radiación electromagnética de la misma naturaleza que las ondas de radio, las ondas de microondas, los rayos infrarrojos, la luz visible, los rayos ultravioleta y los rayos gamma. La diferencia fundamental con los rayos gamma es su origen: los rayos gamma son radiaciones de origen nuclear que se producen por la desexcitación de un nucleón de un nivel excitado a otro de menor energía y en la desintegración de isótopos radiactivos, mientras que los rayos X surgen de fenómenos extranucleares, a nivel de la órbita electrónica, fundamentalmente producidos por desaceleración de electrones. La energía de los rayos X en general se encuentra entre la radiación ultravioleta y los rayos gamma producidos naturalmente. Los rayos X son una radiación ionizante porque al interactuar con la materia produce la ionización de los átomos de la misma, es decir, origina partículas con carga (iones).

Descubrimiento

La historia de los rayos X comienza con los experimentos del científico británico William Crookes, que investigó en el siglo XIX los efectos de ciertos gases al aplicarles descargas de energía. Estos experimentos se desarrollaban en un tubo vacío, y electrodos para generar corrientes de alto voltaje. Él lo llamó tubo de Crookes. Este tubo, al estar cerca de placas fotográficas, generaba en las mismas algunas imágenes borrosas. Nikola Tesla, en 1887, comenzó a estudiar este efecto creado por medio de los tubos de Crookes. Una de las consecuencias de su investigación fue advertir a la comunidad científica el peligro para los organismos biológicos que supone la exposición a estas radiaciones.[cita requerida]

El físico alemán Wilhelm Conrad Röntgen descubrió los rayos X en 1895, mientras experimentaba con los tubos de Hittorff-Crookes y la bobina de Ruhmkorff para investigar la fluorescencia violeta que producían los rayos catódicos. Tras cubrir el tubo con un cartón negro para eliminar la luz visible, observó un débil resplandor amarillo-verdoso proveniente de una pantalla con una capa de platino-cianuro de bario, que desaparecía al apagar el tubo. Determinó que los rayos creaban una radiación muy penetrante, pero invisible, que atravesaba grandes espesores de papel e incluso metales poco densos. Usó placas fotográficas para demostrar que los objetos eran más o menos transparentes a los rayos X dependiendo de su espesor y realizó la primera radiografía humana, usando la mano de su mujer. Los llamó "rayos incógnita", o "rayos X" porque no sabía qué eran, solo que eran generados por los rayos catódicos al chocar contra ciertos materiales. Pese a los descubrimientos posteriores sobre la naturaleza del fenómeno, se decidió que conservaran ese nombre.[1] En Europa Central y Europa del Este, los rayos se llaman rayos Röntgen (en alemán: Röntgenstrahlen).

La noticia del descubrimiento de los rayos X se divulgó con mucha rapidez en el mundo. Röntgen fue objeto de múltiples reconocimientos: el emperador Guillermo II de Alemania le concedió la Orden de la Corona y fue premiado con la Medalla Rumford de la Real Sociedad de Londres en 1896, con la medalla Barnard de la Universidad de Columbia y con el premio Nobel de Física en 1901.

Producción de rayos X

Los rayos X se pueden observar cuando un haz de electrones muy energéticos (del orden de 1 keV) se desaceleran al chocar con un blanco metálico. Según la mecánica clásica, una carga acelerada emite radiación electromagnética, de este modo, el choque produce un espectro continuo de rayos X a partir de cierta longitud de onda mínima dependiente de la energía de los electrones. Este tipo de radiación se denomina Bremsstrahlung, o ‘radiación de frenado’. Además, los átomos del material metálico emiten también rayos X monocromáticos, lo que se conoce como línea de emisión característica del material. Otra fuente de rayos X es la radiación sincrotrón emitida en aceleradores de partículas.

Para la producción de rayos X en laboratorios y hospitales se usan los tubos de rayos X, que pueden ser de dos clases: tubos con filamento o tubos con gas.

El tubo con filamento es un tubo de vidrio al vacío en el cual se encuentran dos electrodos en sus extremos. El cátodo es un filamento de tungsteno y el ánodo es un bloque de metal con una línea característica de emisión de la energía deseada. Los electrones generados en el cátodo son enfocados hacia un punto en el blanco (que por lo general posee una inclinación de 45°) y los rayos X son generados como producto de la colisión. El total de la radiación que se consigue equivale al 1% de la energía emitida; el resto son electrones y energía térmica, por lo cual el ánodo debe estar refrigerado para evitar el sobrecalentamiento de la estructura. A veces, el ánodo se monta sobre un motor rotatorio; al girar continuamente el calentamiento se reparte por toda la superficie del ánodo y se puede operar a mayor potencia. En este caso el dispositivo se conoce como «ánodo rotatorio».[2] El tubo de rayos X posee una ventana transparente a los rayos X, elaborada en berilio, aluminio o mica.

Esquema de un tubo de rayos X

El tubo con gas se encuentra a una presión de aproximadamente 0.01 mmHg y es controlada mediante una válvula; posee un cátodo de aluminio cóncavo, el cual permite enfocar los electrones y un ánodo. Las partículas ionizadas de nitrógeno y oxígeno, presentes en el tubo, son atraídas hacia el cátodo y ánodo. Los iones positivos son atraídos hacia el cátodo e inyectan electrones a este. Posteriormente los electrones son acelerados hacia el ánodo (que contiene al blanco) a altas energías para luego producir rayos X. El mecanismo de refrigeración y la ventana son los mismos que se encuentran en el tubo con filamento.

Detectores de rayos X

Existen varios sistemas de detección para rayos X. El primer detector usado para este propósito fue la película fotográfica, preparadas con una emulsión apropiada para la longitud de onda de los rayos X. La sensibilidad de la película es determinada por el coeficiente de absorción másico y es restringida a un rango de líneas espectrales. La desventaja que presentan estas películas es un margen dinámico muy limitado y el largo tiempo y manipulaciones que se necesitan para revelarlas, por lo que han caído en desuso.

En las últimas décadas del siglo XX se empezaron a desarrollar nuevos detectores bidimensionales capaces de generar directamente una imagen digitalizada. Entre estos se cuentan las «placas de imagen» (image plates), recubiertas de un material fosforescente, donde los electrones incrementan su energía al absorber los rayos X difractados y son atrapados en este nivel en centros de color. Los electrones liberan la energía al iluminarse la placa con luz láser, emitiendo luz con intensidad proporcional a la de los rayos X incidentes en la placa. Estos detectores son un orden de magnitud más sensibles que la película fotográfica y poseen un margen dinámico superior en varios órdenes de magnitud. Otro tipo de detector bidimensional digital muy utilizado consiste en una placa fosforescente acoplada a una cámara CCD.[3] En los años 2000 se empezaron a utilizar fotodiodos alineados formando una placa, denominados PAD (Pixel Array Detectors).[4]

Otros detectores comúnmente usados para la detección de rayos X son los dispositivos de ionización, que miden la cantidad de ionización producto de la interacción con rayos X con las moléculas de un gas. En una cámara de ionización, los iones negativos son atraídos hacia el ánodo y los iones positivos hacia el cátodo, generando corriente en un circuito externo. La relación entre la cantidad de corriente producida y la intensidad de la radiación son proporcionales, así que se puede realizar una estimación de la cantidad de fotones de rayos X por unidad de tiempo. Los contadores que utilizan este principio son el contador Geiger, el contador proporcional y el detector de centelleo. Estos detectores se diferencian entre ellos por el modo de amplificación de la señal y la sensibilidad del detector.

Espectros

Espectro continuo

El tubo de rayos X está conformado por dos electrodos (cátodo y ánodo), una fuente de electrones (cátodo caliente) y un blanco. Los electrones se aceleran mediante una diferencia de potencial entre el cátodo y el ánodo. La radiación es producida justo en la zona de impacto de los electrones y se emite en todas direcciones.

La energía adquirida por los electrones va a estar determinada por el voltaje aplicado entre los dos electrodos. Como la velocidad del electrón puede alcanzar velocidades de hasta debemos considerar efectos relativistas, de tal manera que,

Los diferentes electrones no chocan con el blanco de igual manera, así que este puede ceder su energía en una o en varias colisiones, produciendo un espectro continuo.

La energía del fotón emitido, por conservación de la energía y tomando los postulados de Planck es:

Donde K y K’ es la energía del electrón antes y después de la colisión respectivamente.

El punto de corte con el eje x de la gráfica de espectro continuo, es la longitud de onda mínima que alcanza un electrón al ser acelerado a un voltaje determinado. Esto se puede explicar desde el punto de vista de que los electrones chocan y entregan toda su energía. La longitud de onda mínima está dada por:

La energía total emitida por segundo, es proporcional al área bajo la curva del espectro continuo, del número atómico (Z) del blanco y el número de electrones por segundo (i). Así la intensidad está dada por:

Donde A es la constante de proporcionalidad y m una constante alrededor de 2.

Espectro característico

Cuando los electrones que son acelerados en el tubo de rayos X poseen cierta energía crítica, pueden pasar cerca de una subcapa interna de los átomos que componen el blanco. Debido a la energía que recibe el electrón, este puede escapar del átomo, dejando al átomo en un estado supremamente excitado. Finalmente, el átomo regresará a su estado de equilibrio emitiendo un conjunto de fotones de alta frecuencia, que corresponden al espectro de líneas de rayos X. Este indiscutiblemente va a depender de la composición del material en el cual incide el haz de rayos X, para el molibdeno, la gráfica del espectro continuo muestra dos picos correspondientes a la serie K del espectro de líneas, estas están superpuestas con el espectro continuo.

La intensidad de línea depende de la diferencia del voltaje aplicado (V) y el voltaje necesario para la excitación (V’) a la correspondiente línea, y está dada por:

Donde n y B son constantes, e i es el número de electrones por unidad de tiempo.

Para la difracción de rayos X, la serie K del material es la que usualmente se utiliza. Debido a que los experimentos usando esta técnica requieren luz monocromática, los electrones que son acelerados en el tubo de rayos X deben poseer energías por encima de 30 keV. Esto permite que el ancho de la línea K utilizada sea muy angosto (del orden de 0.001 Å). La relación entre la longitud de cualquier línea en particular y el número atómico del átomo está dada por la Ley de Moseley.

Interacción de los rayos X con la materia

Cuando los rayos X interactúan con la materia, estos pueden ser en parte absorbidos y en parte transmitidos. Esta característica es aprovechada en medicina al realizar radiografías.

La absorción de rayos X va a depender de la distancia que estos atraviesan y de su intensidad. Está dada por

Donde es característico del material e independiente del estado físico. es el coeficiente lineal de absorción y la densidad del material.

Si un material está compuesto de diferentes elementos, el coeficiente de absorción másico es aditivo, de tal manera que:

Donde significa la fracción del elemento constituyente.

Riesgos para la salud

Los efectos de la radiación X en los organismos biológicos dependen del valor de la dosis. En general, la exposición a dosis bajas de rayos X, como las que se reciben durante una radiografía convencional, no son perjudiciales. Dosis más elevadas pueden producir los daños característicos de las radiaciones ionizantes.

Las radiografías digitales y especialmente las tomografías computarizadas de tórax o abdomen, junto a los estudios de tipo intervencionista (fluoroscopias, hemodinamias, entre otros) implican en algunos casos dosis elevadas de radiación, por lo que deben seguirse estrictamente para ellos el principio básico conocido como ALARP («As Low As Reasonably Practicable», o, en español, «tan bajo como sea razonablemente factible»): los beneficios del estudio deben justificarse por el médico prescriptor y los técnicos intervinientes deben optimizar la dosis utilizada.[5]

Los efectos biológicos que la radiación ionizante puede generar se clasifican en:[6]

  • determinísticos a cuerpo completo: típicos de accidentes muy graves, corresponden a situaciones dadas en centrales nucleares y por lo tanto están muy alejados del empleo de rayos X en la práctica médica.
  • determinísticos localizados: pueden acontecer en pacientes que reciben dosis elevadas de rayos X de alta energía en tratamientos de radioterapia, o en estudios intervencionistas demasiado prolongados, tratándose frecuentemente de efectos en piel (el denominado “síndrome cutáneo radioinducido”).
  • otro tipo de efectos orgánicos, tales como cataratas por dosis excesiva en ojos: muy poco probables en pacientes, deben implicar cuidados y controles en los trabajadores del área. Las cataratas inducidas por rayos X, por ejemplo, se evitan casi totalmente con el empleo de lentes plomados.
  • cáncer radioinducido: puede resultar del hecho de recibir dosis pequeñas durante períodos prolongados de tiempo, como es el caso de técnicos y médicos radiólogos. Sin embargo, la probabilidad de cáncer radioinducido es baja y mucho menor, por ejemplo, que la de cáncer inducido por tabaquismo.
  • efectos en mujeres embarazadas: dependen fuertemente del período del embarazo que se esté considerando. Los períodos más arriesgados son desde el sexto día hasta la octava semana, cuando se pueden producir malformaciones —que, sin embargo, tienen una probabilidad baja— y especialmente desde la octava a la decimoquinta semana inclusive, cuando la radiación puede afectar el sistema nervioso y generar retraso mental. En cualquier caso, los estudios con rayos X en mujeres embarazadas deben, siempre que sea posible, evitarse.

En síntesis, cada uno de los efectos (que van desde las quemaduras en la piel, caída del cabello, náuseas, cataratas, esterilidad, defectos de nacimiento, retraso mental, cáncer, hasta la muerte) se relaciona con el valor de la dosis equivalente, que se mide en sieverts o rem y debe mantenerse por debajo de la denominada dosis umbral. El límite de exposición se fija en 100 mSv cada 5 años para los trabajadores radiológicos, sin superar los 50 mSv por año. Para el público en general, se fijan límites de exposición más bajos y se recomienda evitar dosis equivalentes superiores a los 5 mSv (0.5 rem)/año en exposiciones a fuentes de radiación artificiales.[7]

Aplicaciones

Médicas

Desde que Röntgen descubrió que los rayos X permiten captar estructuras óseas, se ha desarrollado la tecnología necesaria para su uso en medicina. La radiología es la especialidad médica que emplea la radiografía como ayuda en el diagnóstico médico, en la práctica, el uso más extendido de los rayos X.

Los rayos X son especialmente útiles en la detección de enfermedades del esqueleto, aunque también se utilizan para diagnosticar enfermedades de los tejidos blandos, como la neumonía, cáncer de pulmón, edema pulmonar, abscesos.

En otros casos, el uso de rayos X tiene más limitaciones, como por ejemplo en la observación del cerebro o los músculos. Las alternativas en estos casos incluyen la tomografía axial computarizada, la resonancia magnética nuclear o los ultrasonidos.

Los rayos X también se usan en procedimientos en tiempo real, tales como la angiografía, o en estudios de contraste.

Otras

Figuras de una tetera marroquí metálica, y hebillas de una mochila, en la pantalla de un detector de rayos X, para inspección de equipaje de mano.

Los rayos X pueden ser utilizados para explorar la estructura de la materia cristalina mediante experimentos de difracción de rayos X por ser su longitud de onda similar a la distancia entre los átomos de la red cristalina. La difracción de rayos X es una de las herramientas más útiles en el campo de la cristalografía.

También puede utilizarse para determinar defectos en componentes técnicos, como tuberías, turbinas, motores, paredes, vigas, y en general casi cualquier elemento estructural. Aprovechando la característica de absorción/transmisión de los Rayos X, si aplicamos una fuente de Rayos X a uno de estos elementos, y este es completamente perfecto, el patrón de absorción/transmisión, será el mismo a lo largo de todo el componente, pero si tenemos defectos, tales como poros, pérdidas de espesor, fisuras (no suelen ser fácilmente detectables), inclusiones de material tendremos un patrón desigual.

Esta posibilidad permite tratar con todo tipo de materiales, incluso con compuestos, remitiéndonos a las fórmulas que tratan el coeficiente de absorción másico. La única limitación reside en la densidad del material a examinar. Para materiales más densos que el plomo no vamos a tener transmisión.

Véase también

Referencias

  1. «Wilhelm Conrad Röntgen» (en inglés). Nobelprize.org. Consultado el 29 de enero de 2013.
  2. «Los rayos X». Consejo Superior de Investigaciones Científicas. Consultado el 15 de mayo de 2012.
  3. Drenth, Jan (1999). Principles of protein x-ray crystallography (en inglés) (2ª edición). Springer. pp. 34-35. ISBN 9780387985879.
  4. Gruner, E F; Barna, S L; Tate, M W; Rossi, G; WixtedP J Sellin, R L (1998). «A Pixel-Array Detector for Time-Resolved X-ray Diffraction». Journal of Synchrotron Radiation (en inglés) 5: 252-255. PMID 15263487.
  5. Gregori, B (coord. Sociedad Argentina de Radioprotección, 2015). ICRP: Publicación 113. Capacitación y entrenamiento en protección radiológica para procedimientos diagnósticos e intervencionistas. ISBN 978-987-26798-3-5. (Recomendaciones respecto de la formación efectos estocásticos no cancerígenos)
  6. Galle, P. y Paulin, R. (2003). Biofísica, radiobiología, radiopatología. Masson. ISBN 84-458-1136-3. Manual General de efectos estocásticos no cancerígenos
  7. Jorge Rickards Campbell y Ricardo Cameras Ross (1995). «Seguridad radiológica». Las radiaciones II. El manejo de las radiaciones nucleares (Fondo de Cultura Económica). ISBN 9681635450.

Bibliografía

Enlaces externos


Predecesora:
Radiación ultravioleta
Rayos X
Lon. de onda: 10−8 m – 10−11 m
Frecuencia: 3×1016 Hz – 3×1019 Hz
Sucesor:
Rayos gamma
Este artículo ha sido escrito por Wikipedia. El texto está disponible bajo la licencia Creative Commons - Atribución - CompartirIgual. Pueden aplicarse cláusulas adicionales a los archivos multimedia.