Contusión

Una contusión es un tipo de lesión física de tejido, hematoma, no penetrante sobre un cuerpo causada por la acción de objetos duros, de superficie obtusa o roma, que actúan sobre el organismo por intermedio de una fuerza considerable.[1] Los efectos de un golpe contuso varían según la fuerza y energía aplicada sobre el organismo dando lugar a una lesión superficial, como una equimosis, o lesiones sobre órganos y vísceras que pueden comprometer la vida del sujeto, como una fractura.

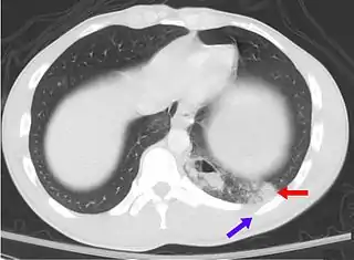
Contusión

Contusión pulmonar (flecha roja) por fractura de costilla.
Especialidad medicina de emergencia

La causa más común son los capilares dañados por traumatismo, provocando una hemorragia localizada que extravasa en los tejidos intersticiales circundantes. La mayoría de los hematomas no son muy profundos bajo la piel, por lo que la hemorragia provoca una decoloración visible. El hematoma permanece visible hasta que la sangre es absorbida por los tejidos o eliminada por la acción del sistema inmunitario. Los hematomas que no blanquean bajo presión pueden afectar a los capilares a nivel de la piel, el tejido subcutáneo, el músculo o el hueso.[2][3] Los hematomas no deben confundirse con otras lesiones de aspecto similar. (Tales lesiones incluyen petequias (menores de 3 milímetros (0,1 plg), resultantes de numerosas y diversas etiologías, como reacciones adversas de medicamentos como la warfarina, esfuerzos, asfixia, trastornos plaquetarios y enfermedades como el citomegalovirus),[4] púrpura (3-10 milímetros (0,1-0,4 plg), clasificada como púrpura palpable o púrpura no palpable e indica diversas condiciones patológicas como trombocitopenia),[5] y la equimosis (más de 1 centímetro (0,4 plg), causada por la sangre que se diseca a través de los planos de los tejidos y se asienta en una zona alejada del lugar del traumatismo o de la patología, como la equimosis periorbital, por ejemplo g. "ojos de mapache", que surge de una fractura basilar de cráneo o de un neuroblastoma).[6]

Como tipo de hematoma, un hematoma siempre está causado por una hemorragia interna en los tejidos intersticiales que no atraviesa la piel, generalmente iniciada por un traumatismo contundente, que provoca daños a través de fuerzas de compresión física y desaceleración. El traumatismo suficiente para causar hematomas puede producirse por una gran variedad de situaciones, como accidentes, caídas y cirugías. Los estados de enfermedad, como la insuficiencia o el mal funcionamiento de las plaquetas, otras deficiencias de coagulación o trastornos vasculares, como la obstrucción venosa asociada a alergias[7] puede conducir a la formación de púrpura, que no debe confundirse con la contusión relacionada con el traumatismo.[8] Si el traumatismo es suficiente para romper la piel y permitir que la sangre salga de los tejidos intersticiales, la lesión no es un hematoma sino una hemorragia, una variedad diferente de hemorragia. Estas lesiones pueden ir acompañadas de hematomas en otras partes.[9]

Signos y síntomas

Un hematoma en una mujer tras una fuerte caída

Los hematomas suelen provocar dolor inmediatamente después del traumatismo que provoca su formación, pero los pequeños hematomas no suelen ser peligrosos por sí solos. En ocasiones, los hematomas pueden ser graves y dar lugar a otras formas de hematoma más peligrosas para la vida, como cuando se asocian a lesiones graves, como fracturas y hemorragias internas más graves. La probabilidad y gravedad de los hematomas depende de muchos factores, como el tipo y la salud de los tejidos afectados. Los hematomas menores pueden reconocerse fácilmente en las personas de piel clara por su aspecto azul o morado característico (descrito idiomáticamente como "negro y azul") en los días siguientes a la lesión.

Los hematomas pueden subdividirse por su tamaño. Por definición, los equimosis tienen un tamaño de 1 centímetro o más, y son por tanto más grandes que las petequias (menos de 3 milímetros de diámetro)[10] o púrpura (de 3 a 10 milímetros de diámetro).[11] Las equimosis también tienen un borde más difuso que otras púrpuras.[12] Una definición más amplia de equimosis es el escape de sangre hacia los tejidos desde la rotura de los vasos sanguíneos.[13][14] El término también se aplica a la decoloración subcutánea resultante de la filtración de sangre dentro del tejido lesionado.

El color de los hematomas varía entre el rojo, el azul y el casi negro, dependiendo de la gravedad de los capilares o vasos sanguíneos rotos en el lugar del hematoma. La rotura de las vénulas o de las arteriolas suele dar lugar a un hematoma de color azul intenso o rojo oscuro, respectivamente. Los hematomas de color más oscuro pueden ser el resultado de una hemorragia más grave de ambos vasos sanguíneos. Los hematomas más antiguos pueden tener un aspecto amarillo, verde o marrón.[15]

Causas

Hay muchas causas de hematomas subcutáneos, entre ellas las equimosis. Las coagulopatías como la Hemofilia A pueden causar la formación de equimosis en los niños.[16] El medicamento betametasona puede tener el efecto adverso de provocar equimosis.[17]

La presencia de hematomas puede observarse en pacientes con trastornos plaquetarios o de coagulación, o en aquellos que están siendo tratados con un anticoagulante. Los hematomas inexplicables pueden ser un signo de advertencia de maltrato infantil, maltrato doméstico o de problemas médicos graves como la leucemia o la infección por meningococo. Los hematomas inexplicables también pueden indicar una hemorragia interna o ciertos tipos de cáncer. La terapia con glucocorticoides a largo plazo puede causar moretones con facilidad. Los hematomas presentes alrededor del ombligo (ombligo) con dolor abdominal intenso sugieren una pancreatitis aguda. Los trastornos del tejido conectivo, como el síndrome de Ehlers-Danlos, pueden causar hematomas relativamente fáciles o espontáneos según la gravedad. Los hematomas espontáneos o con un traumatismo mínimo en ausencia de otras explicaciones y junto con otros criterios menores o mayores sugestivos del síndrome de Ehlers-Danlos vascular (vEDS) sugieren la realización de pruebas genéticas para la afección.[18]

Durante una autopsia, los hematomas que acompañan a las abrasiones indican que las abrasiones se produjeron mientras el individuo estaba vivo, a diferencia de los daños sufridos post mortem.

Tamaño y forma

Las abrasiones causadas por un pasamanos, típicas de los deportes extremos.
Remate causado por un esguince de tobillo.
Ojo negro y hemorragia subconjuntival tras un golpe en la cara

Las formas de los hematomas pueden corresponder directamente al instrumento de la lesión o estar modificadas por factores adicionales. Los hematomas suelen ser más prominentes a medida que pasa el tiempo, lo que da lugar a un tamaño e hinchazón adicionales, y pueden crecer hasta alcanzar un gran tamaño en el transcurso de las horas posteriores a la lesión que causó el hematoma.

  • Estado y tipo de tejido: En los tejidos blandos se produce un hematoma de mayor tamaño que en los tejidos más firmes, debido a la facilidad de la sangre para invadir el tejido.
  • Edad: la piel y otros tejidos de las personas mayores suelen ser más finos y menos elásticos, por lo que son más propensos a los hematomas.
  • Género: Se producen más hematomas en las mujeres debido al aumento de la grasa subcutánea.
  • Tono de la piel: La decoloración causada por los hematomas es más prominente en las complexiones más claras.
  • Enfermedades: Las enfermedades o deficiencias de la coagulación, de las plaquetas y de los vasos sanguíneos pueden aumentar los hematomas debido a un mayor sangrado.
  • Localización: Una vascularidad más extensa provoca más hemorragias. Zonas como los brazos, las rodillas, las espinillas y la zona facial son lugares especialmente habituales de hematomas.
  • Fuerzas: Una mayor fuerza de choque provoca mayores hematomas.
  • Genes: A pesar de tener factores de coagulación completamente normales, se ha demostrado que los cabezones naturales presentan más hematomas, aunque esto puede deberse simplemente a una mayor visibilidad en la tez más clara comúnmente asociada.[19]

Severidad

Los hematomas se pueden puntuar en una escala de 0 a 5 para clasificar la gravedad y el peligro de la lesión.

Puntuación del daño del hematoma
Puntuación de dañoNivel de gravedadNotas
0 Ligera contusión Sin daños
1 Hematoma leve Pequeño daño
2 Hematoma moderado Daño leve
3 Moretón grave Peligroso
4 Hematoma extremadamente grave Muy peligroso
5 Hematoma crítico Riesgo de muerte

La puntuación del daño se determina por la extensión y la gravedad de las lesiones de los órganos y tejidos que causan el hematoma, dependiendo a su vez de múltiples factores. Por ejemplo, un músculo contraído se magullará más severamente, al igual que los tejidos aplastados contra el hueso subyacente. Los capilares varían en resistencia, rigidez y dureza, que también pueden variar según la edad y las condiciones médicas.

Los niveles bajos de fuerzas dañinas producen pequeños hematomas y, por lo general, hacen que el individuo sienta un dolor leve de inmediato. Los impactos repetidos empeoran los hematomas, aumentando el nivel de daño. Normalmente, los hematomas leves se curan casi por completo en dos semanas, aunque la duración se ve afectada por la variación de la gravedad y los procesos individuales de curación;[20] generalmente, los hematomas más graves o profundos tardan algo más.

Los hematomas graves (puntuación de daño 2-3) pueden ser peligrosos o causar complicaciones graves. Las hemorragias posteriores y el exceso de líquido pueden acumularse causando un bulto duro y fluctuante o un hematoma hinchado. Esto tiene el potencial de causar el síndrome compartimental en el que la hinchazón corta el flujo de sangre a los tejidos. El traumatismo que indujo el hematoma también puede haber causado otros daños graves y potencialmente mortales en órganos internos. Por ejemplo, los impactos en la cabeza pueden causar lesiones cerebrales traumáticas: hemorragias, hematomas e hinchazón masiva del cerebro con el potencial de causar conmoción cerebral, coma y muerte. El tratamiento de los hematomas cerebrales puede implicar una intervención quirúrgica de urgencia para aliviar la presión sobre el cerebro.

El daño que causa el hematoma también puede provocar la rotura de los huesos, la lesión de los músculos, el esguince de los ligamentos o el daño de otros tejidos. Los síntomas y signos de estas lesiones pueden parecer inicialmente los de un simple hematoma. Los hematomas abdominales o las lesiones graves que provocan dificultad para mover una extremidad o la sensación de líquido bajo la piel pueden indicar lesiones que ponen en peligro la vida y requieren la atención de un médico.

Cuadro clínico

Los signos clásicos de una contusión son el dolor, la disminución funcional leve o moderada en el lugar del golpe y, ocasionalmente, edema leve.[21] La contusión es una lesión cerrada que no afecta a la piel,[22] por lo tanto, no es errosiva ni afecta la epidermis como en el caso de un herida cortante o penetrante.[23] La piel o los órganos pueden cambiar de color por efecto de la sangre derramada, formando hematomas y equimosis.

Cuando la contusión es leve, el dolor es moderado y tardío, permite continuar el esfuerzo. Con tratamiento, su evolución es favorable. Por tratarse de una lesión cerrada, la contusión no conlleva riesgo de contaminación externa e infección.[24]

Tratamiento

En contusiones pequeñas con simplemente aplicar un poco de hielo o compresas frías mejora la inflamación. Si la contusión tiene un golpe más fuerte, se suele indicar la aplicación de hielo y elevar la parte afectada y en reposo. Los golpes contusos fuertes pueden afectar órganos sólidos, por lo que se debe consultar con un especialista en salud, esto se debe a que tan fuerte es el golpe.[25]

Referencias

  1. Juan Antonio Gisbert Calabuig, Enrique Villanueva Cañadas (2005). Medicina Legal y Toxicología (2da edición). España: Elsevier. p. 360. ISBN 844581415X.
  2. Principios de Medicina Interna de Harrison (17ª). McGraw-Hill Professional. 2008.
  3. «Síntomas de los hematomas».
  4. Kinnaman, Karen, Binder, William, Nadel, Eric, Brown, David (2015). «Petequias, anemia y palpitaciones». The Journal of Emergency Medicine 48 (4): 461-65. PMID 25661311. doi:10.1016/j.jemermed.2014.12.023.
  5. Lotti, Torello (January 1994). «The Purpuras». International Journal of Dermatology 33 (1): 1-10. PMID 8112930. S2CID 43261698. doi:10.1111/j.1365-4362.1994.tb01483.x.
  6. Gumus, Koray (30 de mayo de 2007). «Un niño con ojos de mapache disfrazados de traumatismo». Int Ophthalmol 27 (6): 379-381. PMID 17534581. S2CID 5921. doi:10.1007/s10792-007-9089-y.
  7. Turley, Lois (10 de marzo de 2004). archive.org/web/20091212004533/http://www.allergynursing.com/questions3/shiners.html «Ojeras y ojos hinchados». Archivado desde allergynursing.com/questions3/shiners.html el original el 12 de diciembre de 2009. Consultado el 8 de octubre de 2009.
  8. «Módulo de púrpura de la UCSF». Archivado desde .Purpura%20Module%20REVISED2.pdf el original el 2 de octubre de 2013. Consultado el 13 de enero de 2013.
  9. Kumar, Vinay; Abbas, Abul K.; Fausto, Nelson; & Mitchell, Richard N. (2007). Robbins Basic Pathology (8ª ed.). Saunders Elsevier. p. 86 ISBN 978-1-4160-2973-1
  10. Kumar, Vinay; Abbas, Abul K.; Aster, Jon C.; Perkins, James A. (28 de marzo de 2017). Patología básica de Robbins (10ª edición). Filadelfia, Pensilvania. p. 101. ISBN 9780323353175. OCLC 960844656.
  11. McKenzie, Shirlyn B. (2014). Hematología de Laboratorio Clínico. Williams, Joanne Lynne; Landis-Piwowar, Kristin (3ª edición). Boston. p. 665. ISBN 978-0133076011. OCLC 878098857.
  12. html «Case Based Pediatrics Chapter». Consultado el 8 de enero de 2009.
  13. Diccionario Merriam-Webster. http://www.merriam-webster.com/dictionary/ecchymosis; consultado el 1/2/2012
  14. Gould, George M. The Practitioner's Medical Dictionary, P. Blakiston's Son & Co, 1916 y siguientes; p. 311
  15. «WebMD article on bruises».
  16. Lee, AC (Junio 2008). pdf «Los hematomas, las pruebas de coagulación de la sangre y el síndrome del niño maltratado». Singapore Medical Journal 49 (6): 445-49. PMID 18581014.
  17. «betamethasone». F.A. Davis. Archivado desde el original el 8 de septiembre de 2017. Consultado el 11 de febrero de 2020.
  18. Byers PH. Síndrome de Ehlers-Danlos vascular. 1999 Sep 2 [Actualizado 2019 Feb 21]. En: Adam MP, Ardinger HH, Pagon RA, et al., editores. GeneReviews® [Internet]. Seattle (WA): Universidad de Washington, Seattle; 1993-2020. Disponible en: https://www.ncbi.nlm.nih.gov/sites/books/NBK1494/
  19. Liem, Edwin B.; Hollensead, Sandra C.; Joiner, Teresa V.; Sessler, Daniel I. (2006). «Las mujeres con pelo rojo informan de un ligero aumento de la tasa de hematomas pero tienen pruebas de coagulación normales». Anesthesia & Analgesia 102 (1): 313-18. PMC 1351323. PMID 16368849. doi:10.1213/01.ANE.0000180769.51576.CD.
  20. Voorhees, Benjamin W. (31 de agosto de 2007). «Medical Encyclopedia - Bruise healing». Consultado el 9 de septiembre de 2007.
  21. Enciclopedia Microsoft Encarta Online. «Contusión». Archivado desde el original el 2 de marzo de 2009. Consultado el 18 de abril de 2009.
  22. Diccionario de la lengua española de la Real Academia Española Contusión (Vigésima segunda edición).por hay del 2019 el químico darwin creo Último acceso 18 de abril de 2009.
  23. Pedro Mata y Fontanet (1857). Tratado de medicina y cirugía legal (3ra edición). Universidad de Oxford. p. 360. Consultado el 18 de abril de 2009.
  24. Manual Para El Diplomado en Enfermería (ats/due). Temario de Oposiciones. MAD-Eduforma. 2008. p. 1324. ISBN 8466522735.
  25. Fernando, Luna Rosauro. Prevención de Riesgos Laborales. Publicaciones Vértice. ISBN 8492598751.
Este artículo ha sido escrito por Wikipedia. El texto está disponible bajo la licencia Creative Commons - Atribución - CompartirIgual. Pueden aplicarse cláusulas adicionales a los archivos multimedia.