Célula parietal
Las células parietales o células oxínticas[1] (del griego ὀξύς (oxis): «ácido», literalmente «punzante») son un tipo de célula epitelial altamente especializada, ubicada en las glándulas oxínticas de la mucosa del estómago. Se encuentran mayoritariamente en el cuerpo gástrico y son las encargadas de la producción de ácido gástrico y también de factor intrínseco.
Las células parietales desempeñan un papel fundamental en la homeostasis gástrica, y en la absorción de la vitamina B12.
Cuando las glándulas oxínticas se atrofian por gastritis se produce la consiguiente disminución del ácido gástrico y del factor intrínseco.
| Célula parietal | ||
|---|---|---|
![]() Célula parietal gástrica microscopio electrónico | ||
| Nombre y clasificación | ||
| Sinónimos |
| |
| Latín | Exocrinocytus parietalis | |
| TH | H3.04.02.1.00033 | |
| TH | H3.04.02.1.00033 | |
| Información anatómica | ||
| Región | estómago | |
| Sistema | Digestivo | |
|
| ||
Estructura
La designación de "parietal" surgió de la ubicación de esta célula, sobresaliendo a lo largo de la pared que ayuda a formar en la glándulas gástricas secretoras de ácido (oxínticas).
Típicamente se encuentran 70-90 células parietales en cada glándula gástrica del cuerpo (corpus).
El estómago humano está compuesto por aproximadamente mil millones (1.000.000.000 o 1 × 109) de células parietales u oxínticas.[2][3]
Microaquitectura
Como típica célula que secreta proteínas de manera regulada, la célula parietal tiende a tener citoplasma apical expansivo, núcleo celular de ubicación basal y gránulos secretores.

El estudio de la célula parietal se benefició por la posibilidad de aislar la estructura de las glándulas gástricas in totum, y porque las uniones estrechas y la polaridad celular no resultaron alteradas. Como resultado, los científicos pudieron estudiar las interacciones célula-célula.[4]

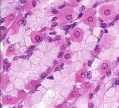
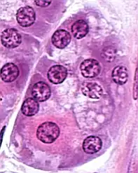
Con el microscopio óptico se pueden diferenciar las células parietales en los cortes histológicos: son grandes, con una base de unos 25 micrones (μm) de diámetro, de aspecto triangular con el vértice dirigido hacia la luz de la glándula gástrica.
Con la tinción de H&E se ven de color rojo, debido a su afinidad por la eosina (célula eosino-fílica), por ser este el colorante ácido también se denomina célula acidófila.[5]
Las células parietales cerca de la base de las glándulas, son más pequeñas y tienen acumulaciones fibrosas densas. Las parietales de la región superior de la glándula, tienen un aspecto más redondeado.
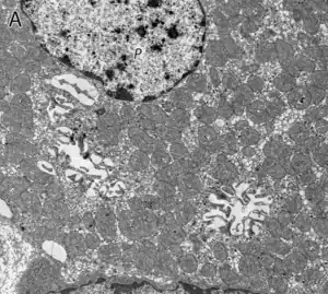
La célula parietal es particularmente rica en mitocondrias; posee una de las densidades más altas de mitocondrias en el cuerpo humano, alcanza hasta el 40% del volumen total de la célula.
El núcleo es esferoidal con nucléolo y cromatina condensada en la periferia. Esta heterocromatina se ve como una delgada cáscara en la membrana nuclear.[6][3]
Ultraestructura

Mediante la microscopía electrónica se pueden observar las características propias de esta célula.
De forma piramidal, el citoplasma de las células parietales está repleto de mitocondrias, con abundantes lisosomas y un sistema tubulovesicular prominente.

Las células parietales son dinámicas en su forma (morfología), porque experimentan una transición entre su estado de reposo y su estado secretor.
- Polo apical
El vértice piramidal de la célula, mira hacia la luz glandular, y está rodeado de uniones estrechas realizadas con las células adyacentes.
Las células parietales poseen el sistema de canalículos intracelulares que es una característica particular de esta célula. Este sistema es extenso y posee una gran cantidad de microvellosidades que protruyen hacia su interior. Los canalículos desembocan en la luz de la glándula gástrica.
La nanotomografía[nb 1] evidencia redes intrincadas de mitocondrias, que se distribuyen de manera uniforme por todo el citoplasma. Estos orgánulos numerosos tienen crestas compactas y una matriz densa que contiene partículas opacas.
Los lisosomas son abundantes aproximadamente esferoides, se encuentran adyacentes a las mitocondrias.
Los orgánulos de membrana tubular y vesicular (tubulovesículas) se distribuyen por todo el citoplasma de las células parietales.
El polo apical sufre una transformación morfológica hacia la superficie de la célula, con remodelación de la membrana con proteínas SNARE y con reorganización del citoesqueleto.[7][8][9]
- Polo basolateral

La membrana basolateral muestra escasos pliegues.
En la superficie basal de la célula parietal, la membrana plasmática muestra invaginaciones, que están pobremente desarrolladas, penetrando solamente una corta distancia. Esta superficie de la célula está cubierta mediante una fina membrana basal continua.
Las invaginaciones no están acompañadas por la membrana basal.[7]
Los «nidos» de los canaliculos intracelulares incipientes, están frecuentemente cerca de la porción basal de las células parietales.[10]
Estos canalículos son sistemas tubulares complejos e interconectados, que se extienden desde la región de la membrana basolateral hasta el lado apical de la célula que mira hacia la luz.[2]
Dos células parietales forman habitualmente un canalículo intercelular.
Las parietales cerca de la base de las glándulas son más pequeñas y con frecuencia tienen acumulaciones densas de actina F dentro de sus canalículos intracelulares. En tanto, las células parietales de la región superior de la glándula tienen un aspecto más redondeado y contienen canalículos intracelulares más definidos.[6][11][12]
Fisiología
Las células parietales gástricas son un tipo de célula epitelial altamente especializada, que secretan ácido clorhídrico (HCl), generando el entorno fuertemente ácido, característico de la luz gástrica (pH <2). Para esta tarea, está equipada con una amplia variedad de proteínas transportadoras de iones, tanto apicales como basolaterales que están acopladas en su función.
La secreción de las células parietales está muy regulada a través de numerosos mecanismos, incluidos: el nervio vago, la gastrina, la histamina, la grelina, la somatostatina, Péptido similar al glucagón tipo 1 y otros agonistas y antagonistas. [3][13]
Las células parietales tienen en su membrana basolateral receptores de tres estimulantes: un receptor de la histamina (H-2), un receptor colinérgico tipo muscarínico (M-3) para la acetilcolina liberada por las neuronas preganglionares, y un receptor tipo colecistocinina (CCK-8) para la gastrina liberada por las células G pilóricas y duodenales. Las células parietales también tienen receptores en su membrana basolateral para los inhibidores de su función: somatostatina y prostaglandinas.[14]
La estimulación de la secreción ácida provoca cambios en la morfología de las células parietales, que es el resultado de la fusión de las tubulovesículas intracelulares con las membranas de los canaliculos secretores residuales, lo que lleva a la elongación de las microvellosidades intracanaliculares y a la desaparición concomitante de las tubulovesículas citoplasmáticas.[8]
Secreción de ácido clorhídrico


El ácido clorhídrico se produce de la siguiente manera:
- La enzima anhidrasa carbónica convierte una molécula de dióxido de carbono y una molécula de agua indirectamente en un ion bicarbonato (HCO3−) y un hidrogenión (H+).
- El ion bicarbonato es intercambiado por un ion cloruro (Cl−) por el lado basal de la célula y el bicarbonato difunde hacia la sangre venosa, lo que conducirá a un fenómeno de corriente alcalina (una momentánea subida del pH sanguíneo, que luego es neutralizada por la secreción de hidrogeniones por el páncreas).
- Los iones potasio (K+) y cloruro (Cl−) difunden dentro de los canalículos.
- Los hidrogeniones son bombeados fuera de la célula hacia los canalículos por un antiporte con iones potasio, gracias a la H+/K+ ATPasa. Como resultado de la salida de hidrogeniones, el lumen gástrico se mantiene en un medio altamente ácido. La acidez ayuda en la digestión del alimento al promover la denaturalización de las proteínas ingeridas. Al ocurrir esto, los enlaces peptídicos que unen los aminoácidos quedan al descubierto. El HCl gástrico simultáneamente activa el pepsinógeno hacia pepsina, una endopeptidasa que continúa la digestión al cortar los enlaces peptídicos, un proceso conocido como proteólisis.
El factor intrínseco de Castle es una glucoproteína necesaria para la absorción intestinal de la vitamina B12, y la única sustancia producida por las glándulas gástricas que es indispensable para el organismo, ya que todas las enzimas gástricas son también producidas por el páncreas y vertidas en el duodeno.
Notas
- El término nano se usa para indicar que los tamaños de píxel de las secciones transversales, están en el rango de nanómetros. Usa rayos X para crear secciones transversales a partir de un objeto 3D, que luego se puede usar para recrear un modelo virtual sin destruir la muestra original.
Véase también
Referencias
- OMS, OPS, BIREME (ed.). «Células parietales». Descriptores en Ciencias de la Salud. Biblioteca Virtual en Salud.
- Catherine S. Chew (2004). «Parietal cells». En Leonard R. Johnson, ed. Enciclopedia de Gastroenterología. pp. 140-144.
- Kopic S.; Murek M.; Geibel J.P. (2010). «Revisiting the parietal cell». Am J Physiol Cell Physiol (REVISIÓN) 298 (1): C1-C10.

- Baratta V.; Own J.; Di Renzo C.; Ollodart J.; Geibel J.P; Barahona M. (2019). «In Pursuit of the Parietal Cell – An Evolution of Scientific Methodology and Techniques». Frontiers in Physiology (REVISIÓN) (Frontiers (editorial)) 10: 1497. PMC 6920182. PMID 31920702. doi:10.3389/fphys.2019.01497. Consultado el 31 de julio de 2023.

- Welsch (2014). «1:Terminología, microscopía y técnica histológica». Sobotta. Histología (3ª. edición). pp. 3-4.
- Michael H. Ross; Wojciech Pawlina (2007). «cap.17: Aparato digestivo II: Esófago, Estómago Intestino». Histología: texto y atlas color con biología celular y molecular (5.ª edición). Médica Panamericana. pp. 574-575.
- Lawn A.M. (1960). «Observations on the fine structure of the gastric parietal cell of the rat». J Biophys Biochem Cytol 7 (1): 161-166. PMC 2224847. PMID 14414704. doi:10.1083/jcb.7.1.161. Consultado el 7 de agosto de 2023.
- Yao X.; Smolka A.J. (2019). «Gastric Parietal Cell Physiology and Helicobacter pylori-Induced Disease». Gastroenterology. (REVISIÓN) 156 (8): 2158-2173. PMC 6715393. PMID 30831083. doi:10.1053/j.gastro.2019.02.036. Consultado el 5 de agosto de 2023.
- Aoyama F.; Sawaguchi A. (2011). «Functional Transformation of Gastric Parietal Cells and Intracellular Trafficking of Ion Channels/Transporters in the Apical Canalicular Membrane Associated with Acid Secretion». Biological & Pharmaceutical Bulletin (REVISIÓN) 34 (6): 813-816. doi:10.1248/bpb.34.813. Consultado el 6 de agosto de 2023.
- Miller M.L.; Andringa A.; Zavros Y.; Bradford E.M.; Shull G.E. (2010). Density, Distribution, and Ultrastructure of Secretory and Basolateral Membranes and Mitochondria Predict Parietal Cell Secretory (Dys)function. Hindawi. doi:10.1155/2010/394198.
- Carlos D. Varela; Nancy Segura (2023). Histology, Parietal Cells. StatPearls [Internet].
- Ziółkowska N.; Lewczuk B.; Petryński W.; Palkowska K.; Prusik M.; Targońska K.; Giżejewski Z.; Przybylska-Gornowicz B. (2014). «Light and Electron Microscopy of the European Beaver (Castor fiber) Stomach Reveal Unique Morphological Features with Possible General Biological Significance.». PLoS ONE (Public Library of Science) 9 (4): e94590. doi:10.1371/journal.pone.0094590. Consultado el 1 de agosto de 2023.

- Engevik A.C.; Kaji I.; Goldenring J.A. (2020). «The Physiology of the Gastric Parietal Cell». Physiological Reviews (REVISIÓN) 100 (2): 573-602. doi:10.1152/physrev.00016.2019. Consultado el 15 de julio de 2023.

- Gastroenterología (Infomed)
