Tinción hematoxilina-eosina
La tinción hematoxilina-eosina es uno de los métodos más populares de tinción utilizado en histología y medicina diagnóstica.

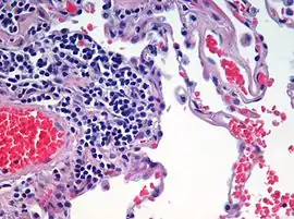
El método supone la aplicación de la tinción de hematoxilina, que por ser catiónica o básica, tiñe estructuras ácidas (basófilas) en tonos azul y púrpura,como por ejemplo los núcleos celulares; y el uso de eosina que tiñe componentes básicos (acidófilos),como por ejemplo estructuras citoplasmáticas y sustancias intercelulares; en tonos de color rosa.
Técnica
- Sumergir los preparados histológicos en xileno para eliminar los excesos de parafina. El xilenol es tóxico pero existen reactivos (como el Hemo-D) que ejercen la misma función aclarante de parafina sin la toxicidad del xileno.
- Pasar por una serie de alcoholes en concentración decreciente para rehidratar la muestra (100°, 96° y 70°).
- Lavar en agua para eliminar exceso de alcohol
- Sumergir en hematoxilina por 10 minutos, luego lavar en agua para eliminar excesos y pasar rápidamente por alcohol ácido.
- Lavar nuevamente
- Sumergir 30 segundos en eosina.
- Pasar por otra serie de alcoholes, esta vez en orden creciente (70°, 95° y 100°) para deshidratar la muestra y que se pueda realizar el montaje con un pegamento no soluble en agua.
- Finalmente remojar 10 minutos en xileno, antes de realizar el montaje final.

Batería usada durante la tinción hematoxilina-eosina.
Hay que tomar en cuenta que los tiempos varían dependiendo el tipo de tejido y grosor de estos.
Resultados
- Núcleo celular: Violetas.
- Citoplasma: Rosa
- Musculatura: Rojo , rosa o fucsia
- Glóbulos rojos: Rojo, anaranjado
- Fibrina: Rosa
Véase también
Referencias
- Jocelyn H. Bruce-Gregorios, M.D. Técnicas Histopatológicas. JMC Press Inc., Quezon City, Filipinas. 1974
- http://www.uam.es/departamentos/medicina/patologia/hematoxilina.htm
Este artículo ha sido escrito por Wikipedia. El texto está disponible bajo la licencia Creative Commons - Atribución - CompartirIgual. Pueden aplicarse cláusulas adicionales a los archivos multimedia.