Atelectasia
La atelectasia es la disminución del volumen pulmonar. Es causada por una obstrucción de las vías aéreas (bronquios o bronquiolos) o por presión en la parte externa del pulmón. Es el colapso de una parte o (con mucha menor frecuencia) de todo el pulmón. Es común después de cirugía o en pacientes que estuvieron hospitalizados. Se debe a la restricción de la vía aérea (atelectasia restrictiva) o a otras causas no restrictivas (atelectasia no restrictiva) como, por ejemplo, la ausencia de surfactante pulmonar, también llamada tensoactivo por su propiedad de impedir el colapso de los alvéolos durante la espiración[1]
| Atelectasia | ||
|---|---|---|
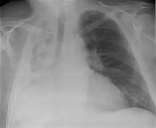
![]() Atelectasia completa del pulmón derecho | ||
| Especialidad | neumología | |
Debido a la restricción bronquial, el aire no fluye al tejido pulmonar. El aire que inicialmente estaba en los alvéolos, se reabsorbe o pasa a los alvéolos vecinos a través de los poros de comunicación entre las paredes alveolares. La consecuencia es que esa zona de pulmón se va retrayendo y colapsando. Se acumulan en ella las secreciones y la evolución espontánea sin tratamiento de esta zona es el deterioro irreversible del tejido pulmonar.
La palabra atelectasia procede de atele-vs (incompleto) y éktasis (expansión).
La atelectasia se debe a diferentes enfermedades pulmonares o extrapulmonares, por lo que más que una enfermedad en sí, es una manifestación de una patología pulmonar subyacente.
Etiología o causas de la atelectasia
La atelectasia puede ser producida por múltiples causas. Los pulmones pueden dejar de ingresar aire por:
- Obstrucción bronquial intraluminal: Debido a un cuerpo extraño, muy frecuente en niños, pero también a tapones mucosos producidos en enfermedades como:
- Fibrosis quística.
- Bronquiectasia
- Absceso de pulmón.
- Bronquiolitis.
- Laringotraqueobronquitis aguda.
- Asma bronquial.
- Neumonía y neumonitis.
- Tuberculosis.
- Cáncer de pulmón.
- Compresión extrínseca del bronquio.
- Adenopatías: De procesos infecciosos agudos, tuberculosis y tumores malignos.
- Malformaciones vasculares: anillos vasculares y aneurismas.
- Neoplasias: Tumores mediastínicos y cáncer de pulmón.
- Malformaciones congénitas.
- Neumotórax.
- Derrame pleural.
- Neumatocele a tensión.
- Contracción o cicatrización pleuropulmonares:
- Tuberculosis.
- Fibrosis pulmonar.
- Bronquiolitis obliterante.
- Displasia broncopulmonar.
- Traumatismo torácico.
- Alteraciones neuromusculares: Como la enfermedad de Duchenne.
- Cirugía torácica: Cursa con inmovilización del tórax asociada a la sedación y al dolor, así como con aumento de las secreciones. Es la causa más frecuente de atelectasias.
- Inmovilización, como el encamamiento.
- Causas mixtas, son la mayoría.
En un adulto, las regiones pequeñas de atelectasia, por lo general, no son potencialmente mortales, ya que las partes sanas del pulmón compensan la pérdida de función en el área afectada; mientras que la atelectasia de todo un pulmón, especialmente en una persona que presenta otra enfermedad pulmonar, puede ser potencialmente mortal. En un bebé o en un niño, el colapso pulmonar, causado por una obstrucción mucosa o por otras razones, puede ser mortal.[2]
La atelectasia masiva produce un colapso completo del pulmón.
Sintomatología
La atelectasia puede producir diferentes síntomas y signos como:
- Disnea: Es una dificultad en la respiración o sensación de ahogo.
- Dolor torácico.
- Neumonía: Es una complicación infecciosa de la atelectasia que se instaura rápidamente.
- Hipoxemia: Es una disminución del oxígeno en sangre debido a la falta de intercambio gaseoso en el pulmón que sufre la atelectasia. Se manifiesta como cianosis que es una coloración azulada o violácea de la piel, sobre todo de labios y dedos.
- Taquicardia e hipotensión.[3]
- Cianosis
Exploraciones complementarias
- Radiografía del tórax: Detecta los siguientes signos radiológicos:
Signos Directos:
- Retracción de las cisuras lobares.
- Radiopacidad homogénea del lado de la lesión.
- Acercamiento broncovascular.
Signos Indirectos:
- Retracción del Mediastino hacia el lado de la lesión.
- Elevación del hemidiafragma.
- Disminución de los espacios intercostales.
- Enfisema compensador( Hiperinsunflación).
- Desplazamiento del hilio hacia el lado de la lesión.
- Aproximación de las costillas.
En el adulto previamente sano que presente una atelectasia hay que sospechar una neoplasia que obstruye el bronquio. La presencia de todos los signos directos más la mayoría o todos los indirectos confirman la atelectasia.
Tratamiento de la atelectasia
El objetivo del tratamiento es suprimir la obstrucción bronquial, por ejemplo extrayendo las secreciones pulmonares y reexpandir el área pulmonar colapsada. Las medidas terapéuticas para curar la atelectasia son:
- Permanecer recostado sobre el lado no afectado para ser ayudado por la fuerza de gravedad en la llegada de oxígeno y permitir la reexpansión del pulmón.
- Drenaje postural específico del área colapsada para favorecer la movilización del tapón o cuerpo extraño hacia la boca. El drenaje postural se basa en la colocación del paciente en determinadas posturas mantenidas en el tiempo, en las que, por efecto de la gravedad, los bronquios ocupados se vacían hacia la tráquea para la posterior salida del contenido al exterior.
- Aplicación de sistemas de humidificación e incluso medicación fluidificante en nebulización si el tapón mucoso es muy adherente.
- Extraer el cuerpo extraño, si lo hay, mediante una broncoscopia u otro procedimiento.
- Realizar ejercicios de respiración profunda mediante fisioterapia respiratoria como:
- Ejercicios respiratorios de ventilación localizada del área afectada.
- Técnicas de espiración forzada para favorecer el arrastre del tapón mucoso o del cuerpo extraño.
- Ejercicios diafragmáticos: Son ejercicios respiratorios que implican una adecuada contracción del diafragma, músculo fundamental de la respiración, para favorecer la reexpansión del tejido pulmonar colapsado.
- Adiestramiento del paciente en la producción de una tos eficaz que elimine el tapón mucoso y las secreciones o el cuerpo extraño, una vez que hayan sido movilizadas hacia vías respiratorias más cercanas a la boca.
- Maniobras de percusión del tórax (clapping) para desprender las secreciones de los bronquios, Vibración Torácica y Drenaje Postural, todo esto acompañado por Tos Asistida. Generalmente estas maniobras son realizadas por Kinesiólogos o Fisioterapeutas y a veces por enfermeros en la unidad de UTI con pacientes intubados. También existe la posibilidad de autorrealizarla y se denomina Toilette Bronquial.
- Tratar el tumor o la enfermedad subyacente, si existe. En caso de un cáncer de pulmón que produce una atelectasia, el tratamiento de elección es la radioterapia.
El pulmón colapsado generalmente se reexpande en forma gradual una vez que la obstrucción ha desaparecido, aunque pueden quedar algunas cicatrices o un daño residual irreversible.
Prevención de la atelectasia
- Se recomienda mantener los objetos pequeños fuera del alcance de los niños.
- Se deben realizar respiraciones profundas después de cualquier anestesia.
- Se debe estimular a las personas enfermas a no permanecer en cama por períodos prolongados y a realizar respiraciones profundas.
- Fisioterapia respiratoria.
Referencias
- KETAI, LOFGREN,MEHOLIC, PRINCIPIOS DE RADIOLOGÍA TORÁCICA (2007). «2». En KETAI, LOFGREN,MEHOLIC, ed. ATELECTASIS. EDITORIAL MEDICA PANAMERICANA. p. 80. Consultado el 18 de mayo de 2020.
- «Que causa la atelectasia». Archivado desde el original el 19 de enero de 2018. Consultado el 18 de enero de 2018.
- SANDRITTER, THOMAS (1981). «1». En SANDRITTER, THOMAS, ed. MACROPATOLOGÍA (MANUAL Y ATLAS PARA MEDICOS Y ESTUDIANTES (en eSPAÑOL). REVERTE S.S. p. 63. Consultado el 18 de mayo de 2020.
