Polyembryoma
| Polyembryoma | |
|---|---|
![]() | |
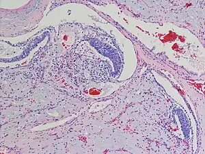
| Polyembryoma of the ovary, H&E stain | |
| Specialty | Oncology, gynecology |
| Symptoms | Lump in the tummy, early puberty, irregular menstrual cycle, pain[1] |
| Usual onset | Teenagers, young adults[1] |
| Types | Ovarian, testicular[1] |
| Causes | Unknown[1] |
| Frequency | Rare[1] |
Polyembryoma is a very aggressive form of germ cell tumor in the ovaries of females and testis of males, typically in teenagers and young adults.[1] It may present with a lump in the tummy, early puberty, or irregular menstrual cycle.[1] Some have pain.[1]
Why it occurs is not well understood.[1] Polyembryoma has features of both yolk sac tumour and undifferentiated teratoma/embryonal carcinoma, with a characteristic finding of embryoid bodies lying in a loose mesenchymal stroma.
It is very rare.[1] It has been reported in association with Klinefelter syndrome.[2]
References
- 1 2 3 4 5 6 7 8 9 10 "Polyembryoma - About the Disease - Genetic and Rare Diseases Information Center". rarediseases.info.nih.gov. Archived from the original on 23 November 2021. Retrieved 7 July 2022.
- ↑ Beresford L, Fernandez CV, Cummings E, Sanderson S, Ming-Yu W, Giacomantonio M (April 2003). "Mediastinal polyembryoma associated with Klinefelter syndrome". Journal of Pediatric Hematology/Oncology. 25 (4): 321–323. doi:10.1097/00043426-200304000-00011. PMID 12679648.
External links
| Classification |
|
|---|
This article is issued from Wmcloud. The text is licensed under Creative Commons - Attribution - Sharealike. Additional terms may apply for the media files.
