Strumal carcinoid

Strumal carcinoid
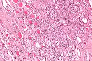
Micrograph of a strumal carcinoid. H&E stain.

The strumal carcinoid is a type of monodermal teratoma with histomorphologic features of (1) the thyroid gland and (2) a neuroendocrine tumour (carcinoid).[1][2]

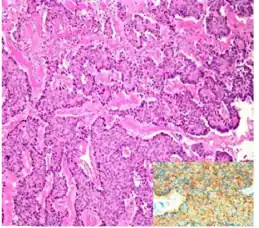
Strumal carcinoid, strongly positive for synaptophysin stain (inset)

See also

References

  1. Gorin I, Sastre-Garau X (June 2008). "Strumal carcinoid tumor of the ovary". Journal of Clinical Oncology. 26 (16): 2780–2781. doi:10.1200/JCO.2008.16.1620. PMID 18509188.
  2. Tamsen A, Mazur MT (February 1992). "Ovarian strumal carcinoid in association with multiple endocrine neoplasia, type IIA". Archives of Pathology & Laboratory Medicine. 116 (2): 200–203. PMID 1346363.
Classification
External resources

Template:Oncology-stub

This article is issued from Wmcloud. The text is licensed under Creative Commons - Attribution - Sharealike. Additional terms may apply for the media files.