Síndrome nefrótico
| Síndrome nefrótico | ||
|---|---|---|
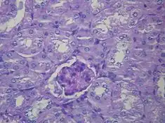
![]() Fotografía microscópica de un glomérulo lesionado consecuencia de una nefropatía diabética, la principal causa del síndrome nefrótico en adultos. | ||
| Especialidad | nefrología | |
El síndrome nefrótico (SN) es un trastorno renal causado por un conjunto de enfermedades, caracterizado por aumento en la permeabilidad de la pared capilar de los glomérulos renales que conlleva a la presencia de niveles altos de proteína en la orina (proteinuria) mayor a 3.5 g por día, niveles bajos de proteína en la sangre (hipoproteinemia o hipoalbuminemia), ascitis y en algunos casos, edema, colesterol alto (hiperlipidemia o hiperlipemia) y una predisposición para la coagulación.
El motivo es una lesión del glomérulo renal, ya sea ésta primaria o secundaria, que altera su capacidad para filtrar las sustancias que transporta la sangre. Los daños causados en el paciente serán más o menos graves, pudiendo surgir complicaciones en otros órganos y sistemas. Las enfermedades asociadas con el síndrome nefrótico en general causan disfunción renal crónica. Sin embargo, en función de la afección y del tipo de lesión, estos sujetos presentan un buen pronóstico bajo un tratamiento adecuado.
Epidemiología
El síndrome nefrótico afecta a cualquier edad, aunque predomina en los niños con una proporción niño/adulto de 26 a 1.[1]
También existen diferencias en su presentación en ambos grupos de edad: en los niños, la glomerulopatía más frecuente es la enfermedad de cambios mínimos (66 % de los casos), seguida de la glomeruloesclerosis focal y segmentaria (8 %) y la glomerulonefritis mesangiocapilar (6 %).[2] En los adultos, la glomerulonefritis membranosa (30-40 %), seguida de la glomeruloesclerosis focal y segmentaria (15-25 %) y la enfermedad de cambios mínimos (20 %), siendo esta última secundaria y no primaria, como en los niños; su causa principal es la nefropatía diabética.[2] Suele presentarse entre la cuarta y quinta década de la vida del adulto. En conjunto, las glomerulonefritis primarias engloban del 60 al 80 % de los casos mientras que las secundarias protagonizan del 20 al 40 %.[1]
En relación con el sexo también existen diferencias, pues hay un predominio de la enfermedad en los hombres respecto a las mujeres en una proporción de 2 a 1.[1]
Los datos epidemiológicos también revelan información acerca de la evolución más frecuente que sigue el paciente con síndrome nefrótico:[1] la remisión espontánea ocurre hasta en el 20 o 30 % de los casos produciéndose durante el primer año de enfermedad; aun así, esta mejoría no es definitiva pues de un 50 a un 60 % de pacientes fallecen y/o evolucionan a una insuficiencia renal crónica pasados entre 6 y 14 años de dicha remisión. Por otra parte, entre un 10 y un 20 % de sujetos evoluciona con continuos episodios de remisiones y recaídas sin llegar a fallecer o a comprometer el riñón por ello. Las principales causas de muerte son cardiovasculares, consecuencia de la cronificación del síndrome, y accidentes tromboembólicos.
Fisiopatología

El glomérulo renal es el encargado de filtrar la sangre que llega al riñón. Está formado por capilares con pequeños poros que permiten el paso de moléculas pequeñas, pero no así de macromoléculas de más de 40 000 daltons,[3] como son las proteínas.
En el síndrome nefrótico el glomérulo afectado por una inflamación o una hialinización (formación de material homogéneo cristalino dentro de las células. También conocido como necrosis aséptica), permite que proteínas como la albúmina, la antitrombina o las inmunoglobulinas lo atraviesen y aparezcan en la orina.[4]
La albúmina es la principal proteína de la sangre capaz de mantener la presión oncótica, lo que evita la extravasación de fluidos al medio intersticial y, consecuentemente, la formación de edemas.
En respuesta a la hipoproteinemia, el hígado pone en marcha un mecanismo compensatorio consistente en la síntesis de una mayor cantidad de proteínas, tales como alfa-2 macroglobulina y lipoproteínas,[4] siendo estas últimas las causantes de la hiperlipemia que incrementa el riesgo cardiovascular en estos pacientes.
Causas y clasificación
El síndrome nefrótico es causado por afección glomerular, bien por enfermedad renal (glomerulonefritis primaria) o bien por enfermedades extrarrenales que afectan al riñón (glomerulonefritis secundaria).
Glomerulonefrosis primarias
Las glomerulonefrosis primarias se clasifican según su criterio histológico:[5]
- Enfermedad de cambios mínimos: es la causa más común de síndrome nefrótico primario en niños. Debe su nombre a que las nefronas parecen normales vistas a microscopía óptica y solo con el microscopio electrónico se aprecia la lesión. También hay intensa proteinuria.
- Glomerulonefritis membranosa: es la causa más común en adultos. Una inflamación de la membrana del glomérulo dificulta la función de filtración del riñón. El motivo por el que se engruesa dicha membrana no es del todo conocido, se asocia a enfermedades de origen genético-hereditario.
- Glomerulonefritis mesangiocapilar: la inflamación del glomérulo junto con el depósito de anticuerpos en la membrana del mismo, dificultan la filtración de la orina.
- Glomerulonefritis rápidamente progresiva: se dice que hay enfermedad cuando al menos el 50 % de los glomérulos del paciente muestra formas de semiluna en una biopsia de riñón.[6]
- Glomeruloesclerosis focal y segmentaria: se caracteriza por la aparición de un tejido cicatricial en los glomérulos. El adjetivo focal se debe a que algunos de los glomérulos presentan esas cicatrices, mientras que otros permanecen intactos; el término segmentaria representa que solo parte del glomérulo sufre el daño.
Glomerulonefrosis secundarias
_PAM.jpg)
Las glomerulonefritis secundarias mantienen el mismo patrón histológico que las causas primarias aunque guardan características que las diferencian:[2]
- Nefropatía diabética: se trata de una complicación que se da en algunos diabéticos. El exceso de glucosa en sangre termina acumulándose en las estructuras renales produciendo que se inflamen y no puedan cumplir correctamente su función. Esto conlleva la filtración de proteínas en la orina.
- Lupus eritematoso sistémico: esta enfermedad autoinmune puede afectar a varios órganos, entre ellos al riñón, por el depósito de inmunocomplejos típicos de esta enfermedad. Debido a la inflamación provocada en los riñones, se le da el nombre de glomerulonefritis lúpica.
- Sarcoidosis: no es muy frecuente que afecte al riñón pero, en ocasiones, el acúmulo de granulomas inflamatorios (conjunto de células del sistema inmunitario) en los glomérulos puede desencadenar el síndrome nefrótico.
- Sífilis: esta enfermedad, en su estado secundario (a las 2 u 8 semanas del comienzo), puede llegar a lesionar el riñón.
- Hepatitis B: determinados antígenos presentes en la hepatitis pueden conglomerarse en los riñones dañándolos.
- Síndrome de Sjögren: al igual que ocurre con el lupus eritematoso sistémico, el ser una enfermedad autoinmune facilita el depósito de inmunocomplejos en los glomérulos, causando su inflamación.
- VIH: los antígenos propios del virus provocan una obstrucción de la luz de los capilares glomerulares que altera la función normal del riñón.
- Amiloidosis: el depósito de sustancia amilode (proteínas con estructura anómala) en los glomérulos modifica la forma y función de los mismos.
- Mieloma múltiple: Se pueden depositar cadenas ligeras y / o cadenas pesadas monoclonales de las Inmunoglobulinas de forma no amiloide en las membranas basales glomerulares.
- Vasculitis: la inflamación de os vasos sanguíneos a nivel del glomérulo impide el flujo normal de sangre y compromete al riñón.
- Cáncer: La invasión del glomérulo por células cancerosas también puede perturbar la función normal.
- Trastornos genéticos: existe una variante poco frecuente de síndrome nefrótico llamada síndrome nefrótico congénito. Se trata de una enfermedad genética en la que la proteína nefrina, componente de la barrera de filtración glomerular, está alterada en el riñón de estos pacientes.
- Drogas (sales de oro, penicilina, captopril):[7] las primeras pueden producir una pérdida de proteínas más o menos importante por la orina, a consecuencia del acúmulo del metal; la segunda es nefrotóxica en pacientes con insuficiencia renal y el último, puede potenciar la proteinuria.
Signos clínicos
Las principales manifestaciones del síndrome nefrótico son:[9]
- Una proteinuria superior a 3.5 g/24 h/1.73 m² s y 40 mg/h/m² en niños (entre 3 y 3.5 g/24 h se considera proteinuria en rango nefrótico).[10][11] En ausencia de un examen de orina de 24 horas para medir la proteína total se suele usar la relación entre la concentración urinaria de albúmina y creatinina. En el síndrome nefrótico este cociente es superior a 200-400 mg/mmol. Esta gran pérdida de proteínas se debe a un aumento de la permeabilidad del glomérulo, que deja pasar las proteínas a la orina en vez de retenerlas en la sangre. En condiciones normales en una muestra de orina de 24 horas no debe exceder de los 80 miligramos o 10 miligramos por decilitro.[12]
- Una hipoalbuminemia inferior a 2.5 g/dL,[10] que sobrepasa la compensación hepática, es decir, la síntesis proteica en el hígado resulta insuficiente para compensar el bajo nivel de proteínas en la sangre.
- El edema, ocasionado por la hipoalbuminemia y la retención de sodio y agua, estimulada esta contención por la hormona antidiurética. Este edema del síndrome nefrótico aparece, inicialmente, en zonas declives (tales como las piernas) y en los párpados; en fases avanzadas se extiende también a cavidades pleurales y peritoneales (ascitis) hasta la anasarca.
- La hiperlipidemia es consecuencia del aumento de la síntesis de lipoproteínas de baja y muy baja densidad en el hígado, está estimulada por la disminución de la presión oncótica y la reducción de la depuración de las VLDL. Estas lipoproteínas son responsables del transporte de colesterol y triglicéridos; además, hay un incremento de la síntesis hepática de colesterol.
- La hipercoagulabilidad, entendida como una mayor predisposición a la formación de trombos sanguíneos, es debida a la disminución en la sangre de la antitrombina III por su pérdida urinaria.
- La lipiduria o pérdida de lípidos por la orina es indicativo de patología glomerular debida al incremento de filtración de las lipoproteínas.[13]
Diagnóstico

En asociación a una completa historia clínica, se efectúan una serie de pruebas bioquímicas para llegar a un correcto diagnóstico que verifique la presencia de la enfermedad. Primero se realiza un análisis de orina para detectar el exceso de proteínas,[14] pues un sujeto sano elimina una cantidad nula o insignificante de proteínas en la orina. A continuación, un análisis de sangre comprueba los niveles de albúmina y la hipercolesterolemia e hiperlipoproteinemia. Posteriormente un aclaramiento de creatinina evalúa la función renal y, en concreto, la capacidad de filtración de los glomérulos.[15] La creatinina es una sustancia de desecho muscular que se vierte en la sangre para ser eliminada por la orina; midiendo la cantidad de compuesto en ambos líquidos se valora la capacidad del glomérulo de filtrar la sangre. Por último, se puede recurrir a una biopsia renal como método más específico e invasivo para confirmar, mediante el estudio anatomopatológico, a qué tipo de glomerulonefritis pertenece la enfermedad.[14] No obstante, esta práctica se intenta reservar para adultos, ya que la mayor parte de los niños sufre la enfermedad de cambios mínimos que presenta una tasa de remisión, con corticoides, del 95 %.[16] Solo está indicada la biopsia en edad infantil en los pacientes corticoresistentes que, en su mayor parte, padecen glomeruloesclerosis focal y segmentaria.[16]
Diagnósticos diferenciales
Algunos signos presentes en el síndrome nefrótico también aparecen en otras enfermedades, como ocurre con el edema y la proteinuria. Es por esto que, para poder llegar al diagnóstico definitivo, deben excluirse otras patologías causantes de su génesis.[17]
- Edema: además del síndrome nefrótico hay otros dos trastornos que, con más frecuencia, cursan con edema; estos son la insuficiencia cardíaca y la enfermedad hepática.[18] La insuficiencia cardíaca congestiva ocasiona la retención de líquido en los tejidos como consecuencia del deterioro de la fuerza de contracción ventricular; al principio se concentra en los tobillos, pero finalmente se generaliza y recibe el nombre de anasarca.[19] En estos pacientes encontramos una cardiomegalia, lo que ayuda en el diagnóstico. La enfermedad hepática, como la cirrosis, localiza la hinchazón en las extremidades inferiores y en la cavidad abdominal; otros signos que la acompañan son la ictericia y el resultado anómalo en las pruebas de función hepática.[20] Por otra parte, aunque menos frecuente, hay que descartar la toma de ciertos fármacos que favorecen la retención de líquido periférico, como es el caso de los AINEs, algunos antihipertensivos, los corticoides suprarrenales y las hormonas sexuales.[20]
- Proteinuria: la pérdida de proteínas en la orina responde a muchas entidades patológicas que hay que rechazar antes de confirmar que se trata de un síndrome nefrótico. El mieloma múltiple se puede manifestar mediante una proteinuria no acompañada de hipoalbuminemia, signo muy importante en el diagnóstico diferencial;[21] otras alteraciones son también la astenia, la pérdida de peso y el dolor óseo. En la diabetes mellitus se ha visto una asociación entre el aumento de los niveles de hemoglobina glicosilada y la aparición de proteinuria.[22] Otras causas son la amiloidosis y ciertas enfermedades alérgicas e infecciosas.
Complicaciones
El síndrome nefrótico puede traer consigo una serie de complicaciones para el individuo que afectan su salud y calidad de vida:[4]
- Trastornos tromboembólicos: generados, especialmente, por la disminución de antitrombina III en la sangre, encargada de antagonizar la acción de la trombina. La mayor parte de las trombosis tienen lugar en las venas renales, aunque también pueden darse con menor frecuencia en las arterias.
- Infecciones: el descenso de inmunoglobulinas en la sangre, la pérdida de proteínas en general y el propio líquido edematoso (que actúa como campo de cultivo), son los principales responsables de la mayor susceptibilidad a las infecciones que presentan estos pacientes. La infección más frecuente es la peritonitis, seguida de infecciones pulmonares, cutáneas y urinarias, meningoencefalitis y, en casos más graves, septicemia. Entre los organismos causales cobran especial protagonismo Streptococcus pneumoniae y Haemophilus influenzae.
- Fallo renal agudo, por la hipovolemia: la salida del líquido vascular y su almacenamiento en los tejidos (edemas) produce un menor aporte sanguíneo a los riñones que deriva en la pérdida de la función renal.
- Edema pulmonar: la caída de proteínas y la consecuente disminución de la presión oncótica en la sangre provocan el acúmulo anormal de líquido en el pulmón.
- Hipotiroidismo: déficit de la proteína transportadora de tiroglobulina (glucoproteína, rica en yodo, de la glándula tiroides).
- Hipocalcemia: insuficiente 25-hidroxicolecalciferol (forma en que se almacena la vitamina D en el organismo). Puesto que esta vitamina regula la cantidad de calcio en la sangre, su baja concentración conduce a una disminución de este mineral.
- Anemia hipocrómica: déficit de hierro por pérdida de ferritina (forma en que se almacena el hierro en el cuerpo).
- Malnutrición proteica: la dosis de proteínas que se pierde en la orina supera la ingerida y, de esta manera, el balance de nitrógeno se torna negativo.[23][24]
Tratamiento
El tratamiento del síndrome nefrótico puede ser sintomático o abordar directamente la lesión renal.
Tratamiento sintomático
Su objetivo es tratar los desequilibrios derivados de la enfermedad:[25] el edema, la hipoalbuminemia, la hiperlipemia, la hipercoagulabilidad y las complicaciones infecciosas.
- Edema: la reversión del estado edematoso ocupa un lugar primordial en el tratamiento del síndrome nefrótico. Se lleva a cabo mediante la sinergia de varias pautas:
- Reposo: viene determinado por la gravedad del edema. A tener en cuenta el riesgo de trombosis por reposo prolongado.[26]
- Dietoterapia: la base radica en una dieta con el correcto aporte energético, suficiente para que las proteínas se utilicen en procesos de síntesis y no como fuente calórica. Se recomienda una cantidad en torno a 35 kcal/kg de peso/día.[27] Dicha dieta también debe cumplir dos pautas más: la primera consiste en no consumir más de 1 g de proteína/kg de peso/día,[27] ya que una cantidad mayor puede reforzar la proteinuria y ocasionar un balance de nitrógeno negativo;[24] la segunda radica en que la ingesta de agua no supere a la diuresis. Para ello, también debe hacerse un control del consumo de sal, pues ésta contribuye a la retención de líquidos. Es aconsejable restringir la ingesta de sodio a 1 o 2 g diarios, lo que implica evitar el uso de sal para cocinar y el consumo excesivo de alimentos que lo contengan.[28]
- Farmacología: el tratamiento farmacológico del edema se basa en la prescripción de fármacos diuréticos (especialmente diuréticos de asa, como la furosemida). En caso de edema grave (o con repercusión psicológica, como en el edema escrotal, de prepucio o uretral), infecciones severas varias, sepsis o derrame pleural, se procede a administrar al paciente diuréticos intravenosos, siempre previa expansión plasmática,[29] ante el riesgo de intensa hipovolemia causada por la potente acción diurética del tratamiento intravenoso. El procedimiento es el siguiente:
- Se toman los valores de hemoglobina y hematocrito.
- Como expansor se utiliza la albúmina al 25 %, la cual se administra durante al menos 4 horas para evitar el edema pulmonar.
- Nuevo control de hemoglobina y hematocrito: si el valor del hematocrito es inferior al inicial (signo de correcta expansión), se procede a administrar los diuréticos durante, al menos, 30 minutos. En caso de ser el valor hematocrito superior al inicial, está contraindicado el uso de diuréticos, que podrían incrementar dicho valor.
- Ante la hipopotasemia secundaria a la acción farmacológica de muchos diuréticos, en ocasiones, es necesario administrar al paciente potasio o cambiar sus hábitos alimenticios.
- Hipoalbuminemia: se trata mediante la dietoterapia descrita en el tratamiento del edema. Incluye un aporte moderado de alimentos ricos en proteínas de origen animal.[30]
- Hiperlipemia: en función de la gravedad de la hiperlipemia se aplica dietoterapia, como único tratamiento, o combinada con fármacos. Con la dietoterapia se pretende que la ingesta de colesterol sea menor de 300 mg/día,[27] por lo que es importante adoptar unos hábitos alimenticios saludables y sustituir los alimentos ricos en grasas saturadas por otros que no las contengan.[31] Cuando la hiperlipemia es elevada y no revierte solo con la dietoterapia, se combina ésta con fármacos hipolipemiantes (estatinas, fibratos y resinas secuestradoras de ácidos biliares).[32]
- Hipercoagulabilidad: como profilaxis en los pacientes asintomáticos que no han padecido ningún episodio previo de tromboembolismo, se administra heparina de bajo peso molecular (HBPM).[33] Cuando la hipercoagulabilidad es tal que conduce a la formación de trombos, la heparina se da durante, al menos, 5 días asociada a anticoagulantes orales (ACO). Transcurrido ese tiempo, y si el INR está en su rango terapéutico (entre 2 y 3),[34] se puede suspender la HBPM manteniendo los ACO, por lo menos, 6 meses.[35]
- Complicaciones infecciosas: la antibioterapia correspondiente, según el agente infeccioso.
Además de estas cinco dianas claves, en caso de que la alteración de la vitamina D origine una intensa hipocalcemia, se administrarán combinados orales de dicha vitamina y calcio con el fin de restaurar los niveles fisiológicos en el organismo de este mineral.[36]
Tratamiento de la lesión renal
El tratamiento de la lesión renal es capaz de revertir o retrasar la progresión de la enfermedad.[25] La terapia aplicada es farmacológica:
- Corticosteroides: el resultado es la disminución de la proteinuria y del riesgo de infecciones, así como la resolución de los edemas. Se utiliza la prednisona, 60 mg/m² de superficie corporal/día en los debutantes, durante 4-8 semanas; transcurrido ese período se sigue con 40 mg/m² durante cuatro semanas más. Las recaídas y los pacientes pediátricos se tratan de la misma manera. Según la respuesta que experimenta el paciente a la prednisona podemos hablar de varios estados:
- Paciente corticosensible o respondedor temprano: en las ocho primeras semanas, el sujeto responde a los corticoides. Esto viene manifestado por una diuresis profunda con desaparición de los edemas y, además, por la proteinuria negativa en tres muestras de orina recogidas durante la noche.
- Paciente corticoresistente o respondedor tardío: persiste la proteinuria tras 8 semanas de tratamiento. Esta falta de respuesta es indicativa de la gravedad de la lesión glomerular, pudiendo evolucionar ésta a una insuficiencia renal crónica.
- Paciente corticointolerante: aparecen complicaciones como hipertensión, aumento excesivo de peso, necrosis aséptica de cadera o rodilla,[37] cataratas y fenómenos trombóticos y/o embólicos.
- Paciente corticodependiente: cuando disminuye la dosis de corticoide aparece la proteinuria, o bien, hay recaída en los dos primeros meses tras la suspensión del tratamiento.
- Inmunosupresores (ciclofosfamida): solo indicados en el síndrome nefrótico reincidente, en los corticodependientes y en los corticointolerantes. En los dos casos primeros, antes de comenzar con la terapia inmunosupresora hay que negativizar la proteinuria y para ello se administra prednisona un tiempo prolongado. La negativización de la proteinuria indica el momento exacto de inicio de la ciclofosfamida, que se mantiene durante unas ocho semanas a 3 mg/kg/día; tras ese tiempo se suspende la inmunosupresión. Para poder empezar este tratamiento el paciente no debe padecer de neutropenia ni anemia, que desencadenarían complicaciones añadidas. Un posible efecto secundario de la ciclofosfamida es la alopecia. Durante el período de tratamiento se hacen hemogramas de control para conocer cuáles son los niveles de aquellos componentes que alerten de una posible infección.
Pronóstico
El pronóstico del síndrome nefrótico bajo tratamiento es generalmente bueno aunque depende de la causa subyacente, la edad del paciente y la respuesta a la terapia. La enfermedad de cambios mínimos tiene un pronóstico excelente y las recaídas que presentan se hacen cada vez más distantes en el tiempo;[38] lo contrario ocurre con la glomerulonefritis mesangiocapilar, en la que el riñón fracasa antes de los tres primeros años de enfermedad haciendo obligatorios la diálisis y el posterior trasplante.[38] También, en general, los niños menores de cinco años presentan peor pronóstico que los prepuberales, así como los adultos mayores de 30 años, en los que hay mayor riesgo de insuficiencia renal.[39]
Sin tratamiento, el síndrome nefrótico tiene muy mal pronóstico, especialmente la glomerulonefritis rápidamente progresiva, que conduce a una insuficiencia renal aguda en un período de pocos meses.
Véase también
Referencias
- 1 2 3 4 Borrego R., Jaime; Montero C., Orlando (2003). Nefrología: Fundamentos de medicina (Cuarta edición). Corporación para investigaciones biológicas. ISBN 9589400639. «Véase página 340».
- 1 2 3 «Frecuencia de las glomerulonefritis y causas de las glomerulonefritis secundarias». Consultado el 8 de septiembre de 2008. (enlace roto disponible en Internet Archive; véase el historial, la primera versión y la última).
- ↑ «Apuntes de fisiopatología de sistemas». Archivado desde el original el 8 de septiembre de 2008. Consultado el 8 de septiembre de 2008.
- 1 2 3 Durán Álvarez, Sandalio. «Complicaciones agudas del síndrome nefrótico». Consultado el 11 de septiembre de 2008.
- ↑ «Descripción histológica de las glomerulonefritis ideopáticas». Consultado el 8 de septiembre de 2008.
- ↑ University of Maryland Medical Center. «Glomerulonefritis (semilunar) rápidamente progresiva». Archivado desde el original el 24 de julio de 2008. Consultado el 8 de septiembre de 2008.
- ↑ «Fármacos que pueden producir síndrome nefrótico». Consultado el 8 de septiembre de 2008.
- ↑ Behrman, Richard E.; Robert M. Kliegman y Hal B. Jenson (2008). Nelson Tratado de Pediatría. Elsevier, España. p. 1755. ISBN 8481747475.
- ↑ «Manifestaciones clínicas del síndrome nefrótico». Archivado desde el original el 24 de septiembre de 2015. Consultado el 12 de septiembre de 2008. «Véase tabla 4.2.»
- 1 2 García-Conde, J.; Merino Sánchez, J.; González Macías, J. (1995). «Fisiopatología glomerular». Patología General. Semiología Clínica y Fisiopatología. McGraw-Hill Interamericana. ISBN 8448600932.
- ↑ Parra Herrán, Carlos Eduardo; Castillo Londoño, Juan Sebastián; López Panqueva, Rocío del Pilar; Andrade Pérez, Rafael Enrique. «Síndrome nefrótico y proteinuria en rango no nefrótico». Consultado el 14 de septiembre de 2008.
- ↑ «Valores normales de proteína en orina de 24 horas». Consultado el 24 de agosto de 2012.
- ↑ «La pérdida de lipoproteínas en la orina». Archivado desde el original el 20 de febrero de 2009. Consultado el 21 de noviembre de 2008.
- 1 2 «Nefrología y urología». Consultado el 12 de septiembre de 2008.
- ↑ «El diagnóstico del síndrome nefrótico». Consultado el 12 de septiembre de 2008.
- 1 2 Voguel S., Andrea; Azócar P., Marta; Nazal Ch, Vilma; Salas del C, Paulina. «Indicaciones de la biospsia renal en niños». Consultado el 14 de septiembre de 2008.
- ↑ «Diagnóstico diferencial en el síndrome nefrótico». Archivado desde el original el 6 de marzo de 2009. Consultado el 14 de septiembre de 2008.
- ↑ Friedman, Harold H. (2004). «Problemas generales». Manual de diagnóstico médico (Quinta edición). Masson. ISBN 8445811509. «Véanse páginas 3 y 4.»
- ↑ «El edema en la insuficiencia cardíaca». Consultado el 14 de septiembre de 2008.
- 1 2 Goldman, Lee; Braunwald, Eugene (2000). «Edemas». Cardiología en atención primaria. Harcourt. ISBN 8481744328. «Véanse páginas 114-117.»
- ↑ Rivera, F.; Egea, J. J.; Jiménez del Cerro, L. A.; Olivares, J. «La proteinuria en el mieloma múltiple». Consultado el 14 de septiembre de 2008. (enlace roto disponible en Internet Archive; véase el historial, la primera versión y la última).
- ↑ Bustillo Solano, Emilio. «Relación de la proteinuria con el nivel de hemoglobina glicosilada en los diabéticos». Archivado desde el original el 14 de septiembre de 2008. Consultado el 14 de septiembre de 2008.
- ↑ Zollo, Anthony J. (2005). «Nefrología». Medicina interna. Secretos (Cuarta edición). Elsevier España. ISBN 8481748862. «Véase página 283».
- 1 2 «Balance de nitrógeno y equilibrio nitrogenado». Consultado el 8 de septiembre de 2008. «Se presenta en patologías renales, en el ayuno, en desórdenes alimenticios o durante el ejercicio físico intenso.»
- 1 2 Curtis, Michael J.; Page, Clive P.; Walker, Michael J. A.; Hoffman, Brian B. (1998). «Fisiopatología y enfermedades renales». Farmacología integrada. Harcourt. ISBN 8481743402.
- ↑ Saz Peiro, Pablo. «El reposo prolongado». Archivado desde el original el 24 de enero de 2009. Consultado el 8 de septiembre de 2008.
- 1 2 3 «Dietoterapia del síndrome nefrótico». Archivado desde el original el 22 de enero de 2009. Consultado el 8 de septiembre de 2008.
- ↑ «Lista de alimentos ricos en sodio». Consultado el 8 de septiembre de 2008.
- ↑ «Fluidoterapia: tipos de expansores». Archivado desde el original el 20 de septiembre de 2008. Consultado el 8 de septiembre de 2008. «Los expansores plasmáticos son sustancias (dextrán, albúmina...), naturales o sintéticas, capaces de retener líquido en el espacio vascular.»
- ↑ «Lista de alimentos ricos en proteínas». Archivado desde el original el 7 de septiembre de 2008. Consultado el 8 de septiembre de 2008. «Se expresa en gramos por cada 100 g de comida.»
- ↑ «Sustitución de los alimentos ricos en grasas de la dieta». Archivado desde el original el 12 de febrero de 2008. Consultado el 8 de septiembre de 2008. «Organizaciones estadounidenses recomiendan no obtener más del 30 % del total de calorías diarias a partir de las grasas.»
- ↑ Martín Zurro, Armando (2005). «Hipolipemiante, diuréticos, estatina.». Compendio de atención primaria: Conceptos, organización y práctica clínica (Segunda edición). Elsevier España. p. 794. ISBN 8481748161.
- ↑ Jiménez Alonso, Juan. «Profilaxis de los fenómenos tromboembólicos». Consultado el 14 de septiembre de 2008. (enlace roto disponible en Internet Archive; véase el historial, la primera versión y la última).
- ↑ «Rango Internacional Normalizado (INR)». Consultado el 14 de septiembre de 2008.
- ↑ «Tratamiento de la hipercoagulabilidad». Archivado desde el original el 15 de septiembre de 2008. Consultado el 14 de septiembre de 2008.
- ↑ «Tratamiento de la hipocalcemia». Archivado desde el original el 15 de septiembre de 2008. Consultado el 14 de septiembre de 2008.
- ↑ Según MedlinePlus, se llama necrósis aséptica a la muerte del hueso causada por un suministro insuficiente de sangre al área ósea.
- 1 2 Guerrero Fernández, J. «Pronóstico de la enfermedad». Consultado el 12 de septiembre de 2008.
- ↑ «Síndrome nefrótico idiopático: diagnóstico histológico por biopsia renal percutanea». Archivado desde el original el 25 de marzo de 2016. Consultado el 12 de septiembre de 2008.
Enlaces externos
- Apuntes de nefrología. Síndrome nefrótico
- Información sobre la hiperlipidemia Archivado el 21 de mayo de 2009 en Wayback Machine.
_HE.jpg)
