Síndrome de Susac

Síndrome de Susac

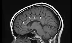
Vista lateral de una resonancia magnética nuclear de la cabeza. Las flechas indican la localización de microinfartos cerebrales característicos del síndrome de Susac.
Especialidad Neurología

El síndrome de Susac en una rara enfermedad descrita en 1979 por el neurólogo norteamericano John Susac. Es una microangiopatía que provoca la oclusión de los pequeños vasos sanguíneos que aportan sangre al cerebro, la retina y el oído interno. Técnicamente se describe como una microangiopatía que afecta a las arteriolas precapilares. Los síntomas principales son dolor de cabeza, déficit cognitivo, pérdida de memoria, dificultad para la marcha, pérdida de visión y disminución de la capacidad auditiva (hipoacusia). La causa es desconocida, pero se cree que está provocado por un fenómeno de autoinmunidad. El tratamiento se basa en la administración de agentes inmunosupresores que disminuyen la respuesta inmunitaria, entre ellos glucocorticoides, azatioprina y metotrexate.[1][2][3][4]

Referencias

  1. Síndrome de Susac: papel de rituximab. Rev. OFIL 2017, 27;4:401-402. VV.AA. Consultado el 4 de enero de 2019.
  2. Síndrome de Susac. A propósito de un caso. Archivos SCO. Consultado el 4 de enero de 2019.
  3. Síndrome de Susac. Orphanet. Consultado el 4 de enero de 2019
  4. John O. Susac, MD (1940–2012). Journal of Neuro-Ophthalmology: septiembre 2012 - volumen 32 - Issue 3 - p. 292. Consultado el 4 de enero de 2019.
Este artículo ha sido escrito por Wikipedia. El texto está disponible bajo la licencia Creative Commons - Atribución - CompartirIgual. Pueden aplicarse cláusulas adicionales a los archivos multimedia.