Precuña
| Precúneo | ||
|---|---|---|
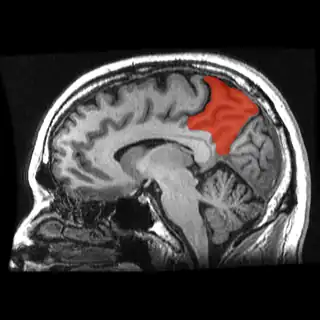
![]() Corte de una IRM sagital mostrando el precúneo en rojo. | ||
| Latín | [TA]: precuneus | |
| TA | A14.1.09.223 | |
Se denomina precuña o precúneo a una parte del lóbulo parietal superior oculto en la fisura longitudinal medial entre los dos hemisferios cerebrales. A veces se describe como la zona media de la corteza parietal superior. El precúneo está limitado anteriormente por la rama marginal del surco cingulado, posteriormente por el surco parietooccipital, e inferiormente por el surco subparietal. Está involucrado con la memoria episódica, procesamiento visuoespacial, reflexiones sobre uno mismo, y aspectos de la conciencia.
La ubicación del precúneo hace que sea difícil de estudiar. Además, rara vez es objeto de lesiones aisladas, debido a un accidente cerebrovascular, o trauma, tales como heridas por arma de fuego. Esto ha dado lugar a que sea "una de las áreas asignadas con menos precisión de toda la superficie cortical".[1] Si bien se ha descrito originalmente como homogéneo por Korbinian Brodmann, ahora se considera tener tres subdivisiones.[2]
También se conoce a partir de Aquiles-Louis Foville como el lóbulo cuadrado de Foville.[1][3] La forma en latín de praecuneus se utilizó por primera vez en 1868 y la versión precuneus en inglés en 1879.[4]
Anatomía


El precúneo es una pequeña circunvolución en forma de cuña en la superficie medial del lóbulo parietal del cerebro, delimitada posteriormente por el surco parietooccipital y anteriormente por el lóbulo paracentral.
Referencias
- 1 2 Cavanna A, Trimble M (2006). «The precuneus: a review of its functional anatomy and behavioural correlates». Brain 129 (Pt 3): 564-83. PMID 16399806. doi:10.1093/brain/awl004.
- 1 2 Margulies DS, Vincent JL, Kelly C, Lohmann G, Uddin LQ, Biswal BB, Villringer A, Castellanos FX, Milham MP, Petrides M (2009). «Precuneus shares intrinsic functional architecture in humans and monkeys». PNAS 106 (47): 20069-74. PMC 2775700. PMID 19903877. doi:10.1073/pnas.0905314106.
- ↑ Foville AL. (1844 Traité complet de l'Anatomie, de la Fisiología y de la pathologie du système nerveux cerebro-espinal. París, Francia: Fortín, Masson
- ↑ Diccionario Inglés de Oxford, precuneus.
Enlaces externos
Wikimedia Commons alberga una categoría multimedia sobre Precuña.
