Osteosarcoma
| Osteosarcoma | ||
|---|---|---|
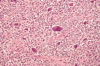
![]() Microfotografía de un osteosarcoma con células gigantes multinucleadas similares a osteoclastos. | ||
| Especialidad | oncología | |
El osteosarcoma es un cáncer óseo que aparece por lo general en las metáfisis de un hueso largo; también llamado osteoma sarcomatoso.[1][2]
Se trata de una neoplasia maligna que procede de células del mesénquima (es decir, un sarcoma).[3] Estas células presentan una diferenciación osteoblástica hacia osteoides malignos. Se trata de la forma histológica más frecuente de cáncer óseo.[4]
Signos y síntomas
Algunos adolescentes que practican deportes con frecuencia, se quejan de dolor en el fémur inferior o inmediatamente debajo de la rodilla. A veces una fractura repentina es el primer síntoma, porque el hueso afectado no es tan fuerte como el hueso normal y puede tener una fractura anormal con trauma leve. En casos de tumores más profundos que no están tan cerca de la piel, como los que se originan en la pelvis, la hinchazón localizada puede no ser obvia.[5]
Incidencia
Se trata del octavo tipo más frecuente de cáncer infantil: representa el 2,4% de los casos de cáncer pediátrico, y aproximadamente el 20% de todos los cánceres de huesos primarios.[6] Según datos epidemiológicos de Estados Unidos, la prevalencia es ligeramente mayor en hombres que en mujeres.[4]
Su localización más habitual es la región de la metáfisis de huesos tubulares largos; así, el 42% se dan en el fémur, el 19% en la tibia y el 10% en el húmero. No obstante, un 8% de los casos se dan en cráneo y mandíbula, y un 8% en la pelvis.[4]
Causas
Varios grupos de investigación están investigando las células madre del cáncer[7] y su potencial para causar tumores junto con genes y proteínas causantes en diferentes fenotipos.[8][9] La radioterapia por una enfermedad no relacionada puede ser una causa rara.[10]
Supervivencia
Los neoplasmas malignos de huesos y articulaciones tienen un peso total desconocido en la mortalidad por cáncer infantil. La tasa de mortalidad muestra una tendencia a disminuir un 1,3% aproximadamente al año. A largo plazo, la probabilidad de sobrevivir a un osteosarcoma se ha incrementado notablemente durante finales del siglo XX, situándose en 2009 en aproximadamente un 15%.[4]
Referencias
- ↑ Osteosarcoma - en castellano
- ↑ Melloni (1983), Diccionario Médico Ilustrado, Barcelona: Reverté ISBN 84-291-5548-1
- ↑ Luetke A, Meyers PA, Lewis A, Juergens H (2014). «Osteosarcoma treatment—where do we stand? A state of the art review». Cancer Treat Rev (en inglés) 40 (4): 523-532. PMID 24345772. doi:10.1016/j.ctrv.2013.11.006.
- 1 2 3 4 Ottaviani G., Jaffe N. (2009). The epidemiology of osteosarcoma. In: Jaffe N. et al. "Pediatric and Adolescent Osteosarcoma". New York: Springer. ISBN 978-1-4419-0283-2. PMID 20213383. doi:10.1007/978-1-4419-0284-9_1.
- ↑ «Osteosarcoma». US National Library of Medicine (en inglés). PubMed Health. 2013. Consultado el 5 de diciembre de 2017.
- ↑ «Osteosarcoma». US National Library of Medicine (en inglés). PubMed Health. 2013. Consultado el 5 de diciembre de 2017.
- ↑ Osuna D, de Alava E (2009). «Molecular pathology of sarcomas». Rev Recent Clin Trials 4 (1): 12-26. PMID 19149759. doi:10.2174/157488709787047585.
- ↑ Sharma, Ankush; Cinti, Caterina; Capobianco, Enrico (2017). «Multitype Network-Guided Target Controllability in Phenotypically Characterized Osteosarcoma: Role of Tumor Microenvironment». Frontiers in Immunology (en inglés) 8. ISSN 1664-3224. doi:10.3389/fimmu.2017.00918.
- ↑ Sharma, Ankush; Capobianco, Enrico (2017). «Immuno-Oncology Integrative Networks: Elucidating the Influences of Osteosarcoma Phenotypes». Cancer Informatics (en inglés) 16. ISSN 1176-9351. doi:10.1177/1176935117721691.
- ↑ Dhaliwal J, Sumathi VP, Grimer RJ (20 de diciembre de 2009). «Radiation-induced periosteal osteosarcoma». Grand Rounds (en inglés) 10: 13-18. doi:10.1102/1470-5206.2010.0003.
