Neuroblastoma
| Neuroblastoma | ||
|---|---|---|
|
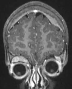
Resonancia magnética de una niña de 2 años con neuroblastoma intracraneal. | ||
| Especialidad | oncología | |
Un neuroblastoma es una forma de cáncer infantil que se forma en el tejido nervioso y que por lo general suele comenzar con mayor frecuencia en las glándulas suprarrenales que se ubican en la parte superior de los riñones.[1] También puede comenzar en el cuello, el pecho o la médula espinal. Aunque puede aparecer antes del nacimiento, es más frecuente que se diagnostique en el primer año de vida hasta los 3 años de edad. Son tumores agresivos con una alta mortalidad y gran afectación del estado general del lactante. En casi todos los casos, para cuando se detecta un neuroblastoma, ya se ha diseminado a otras partes del cuerpo.[2] Estos tumores casi siempre se diagnostican de manera incidental durante la evaluación de un traumatismo, una infección o por síntomas respiratorios.[3]
Epidemiología
Un neuroblastoma es el tercer tumor pediátrico más frecuente y comprende 6-10% de todos los cánceres de la infancia,[4] y el 15% de las muertes por cáncer en niños. La tasa anual de mortalidad es de 10 por cada millón en niños del grupo etario de 0-4 años de edad, y el 4 por millón en el 4-9 años de edad.[5]
La mayor incidencia se encuentra en el primer año de vida, y entre 1-2% de los casos son tumores congénitos. El rango de edad es amplio, incluyendo los niños mayores y adultos,[6] pero solo el 10% de los casos ocurren en personas mayores de 5 años de edad.[7]
Se ha producido también diferencias geográficas de la incidencia del neuroblastoma—en los Estados Unidos se reporta una frecuencia 8-9:1 000 000 niños, mientras que un cribado de la población japonesa en los años 1984-2002 estimaron la incidencia en aproximadamente 180:1 000 0000.[8] En el Reino Unido se han diagnosticado sólo alrededor de 75 casos nuevos cada año, en general, cerca de 6 de cada 100 casos de cáncer en niños menores de 15 años en ese país.[9] En Alemania, uno de 5000 niños se ve afectado, es decir, que en ese país cada año unos 150 niños se ven afectados por esta enfermedad. En la mitad de los casos, para el momento del diagnóstico ya existen metástasis, especialmente en órganos regionales y los ganglios linfáticos distantes, en la médula ósea, hueso, hígado, piel, y raramente en el sistema nervioso central. No se sabe si la detección de neuroblastomas en niños de un año de edad reduce la incidencia de la enfermedad metastásica o la mortalidad debida al neuroblastoma.[10]
Etiología
La etiología del neuroblastoma no se entiende bien. Se han propuesto varios factores de riesgo que son objeto de las investigaciones en curso. Debido a las características de aparición temprana en muchos estudios se han centrado en torno a factores paternos en relación con la concepción y durante la gestación. Los factores que se han investigado incluyen la ocupación, es decir, la exposición a productos químicos en industrias específicas, el tabaquismo, el consumo de licor, uso de medicamentos durante el embarazo y factores de nacimiento, sin embargo los resultados han sido inconsistentes.[11]
Otros estudios han examinado los posibles vínculos con la atopía y la exposición a ciertas infecciones temprano en la vida,[12] el uso de hormonas y drogas de fertilidad,[13] incluso el uso materno de tintes de cabello.[14] Se dispone de poca información con respecto a los riesgos de los cosméticos pero considerando el amplio uso de estos productos, sería difícil encontrar una asociación con un producto en particular.[15] Tampoco se ha encontrado evidencias que asocien un riesgo mayor en mujeres que toman té o café.[16]
Patogenia

Los neuroblastomas son un tipo de cáncer que se desarrolla en las células nerviosas primitivas, llamadas neuroblastos, que quedan en el cuerpo como remanentes de la fase embrionaria de desarrollo, desde antes del nacimiento.[9] Se ha sugerido que la células de Schwann que se encuentran en los tejidos tumorales pueden secretar factores de crecimiento inductores de neoplasia.[17]
Aproximadamente el 25-35% de los neuroblastomas, cursa en la forma de anomalías genéticas detectadas en el brazo corto del cromosoma 1 (1p35-36).[18] La presencia de esta deleción se asocia con mal pronóstico. El pronóstico desfavorable parece estar, no en una mutación, sino en el factor de amplificación, es decir, la capacidad de multiplicar el número de copias del protooncogén N-myc hasta varios cientos.[19] El protooncogén normalmente se encuentra en el brazo corto del cromosoma 2. La amplificación de N-myc se produce en aproximadamente el 20% de los tumores y mientras más copias se producen del oncogén, peor es el pronóstico.
Cuadro clínico
Los signos y síntomas de un neuroblastoma aparecen en función de la ubicación del tumor—virtualmente en cualquier punto a lo largo del sistema nervioso simpático—y de los sitios donde pudieran situarse las metástasis.[3] Los síntomas más comunes del neuroblastoma suelen aparecer en el primer año en un 40% de los casos y se deben a la presión que ejerce el tumor sobre los tejidos cercanos o al cáncer que se ha diseminado a diversos tejidos, en especial el hueso:[1][2]
- Dolor en un hueso y a menudo síntomas de insuficiencia medular, como anemia y púrpura
- Masa palpable en el abdomen, el cuello o el tórax
- Ojos protuberantes con círculos oscuros y equimosis alrededor de los ojos cuando hay presente metástasis al cráneo
- Hipertensión arterial, diarrea y otros signos paraneoplásicos
- Fiebre elevada con otros signos de deterioro como dificultad para respirar, debilidad o parálisis, especialmente en tumores de gran tamaño
- La anorexia, distensión y dolor abdominal aparecen con frecuencia en tumores que se ubican en el abdomen.
Los niños con tumores torácicos o cervicales suelen presentar con el síndrome de Horner.
Diagnóstico
A menudo debido a que los síntomas son tan vagos, de 50 a 60% de todos los neuroblastomas se han propagado (metástasis) a otras partes del cuerpo para el momento en que se realiza el diagnóstico.
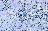
El diagnóstico se confirma por un patólogo quirúrgico, teniendo en cuenta la presentación clínica, hallazgos microscópicos, y otras pruebas de laboratorio. En la microscopía, las células tumorales suelen ser descritos como células pequeñas, redondeadas y de color azulado, con patrones de roseta (seudorosetas de Homer-Wright). Para la distinción histológica de los neuroblastomas de otras patologías similares como el rabdomiosarcoma, el sarcoma de Ewing, el linfoma y el tumor de Wilms se emplean una variedad de tinciones inmunohistoquímicas.
En aproximadamente el 90% de los casos de neuroblastoma, se encuentran niveles elevados de catecolaminas o sus metabolitos en la orina o sangre. Las catecolaminas y sus metabolitos son la dopamina, el ácido homovainíllico (HVA), y el ácido vainillilmandélico (VMA).

Neuroimágenes
Otra manera de detectar el neuroblastoma es la exploración por gammagrafía con MIBG (meta-yodobenzilguanidina), que es una sustancia radiactiva que logra ser captada por 90 a 95% de los neuroblastomas.[20] El mecanismo es que el mIBG es absorbido por las neuronas simpáticas en un funcionamiento análogo al neurotransmisor norepinefrina. En los últimos años se ha hecho posible adjuntar un emisor de radioactividad, el isótopo radiactivo del yodo I-131, al mIBG. Este mIBG «radio-etiquetado» se puede utilizar de dos maneras en el cuidado de los niños con neuroblastomas. Cuando se radio-ioniza con I-131 o I-123 (otro isótopo radioactivo del yodo), se vuelve tremendamente útil para el diagnóstico y el seguimiento de la respuesta al tratamiento de esta enfermedad, fundamentalmente en la detección de cánceres secundarios, las metástasis.[9] Una dosis baja de mIBG etiquetado con yodo radiactivo puede ser inyectada en una vena y este será tomado por las células de neuroblastoma. Se escanea el cuerpo del paciente para buscar el lugar de la absorción del producto químico. Las exploraciones con mIBG se han convertido en una muy delicada y precisa técnica de buscar la propagación de neuroblastomas. Con una vida media de 13 horas, el I-123 es el isótopo de sensibilidad y calidad de imagen. El I-131 tiene una vida media de 8 días y en dosis más altas es una terapia eficaz contra la radiación dirigidos en contra de recaídas y neuroblastoma refractaria.
De la misma manera se pueden utilizar mucho más altas dosis de yodo radio-activo, que se adjunta al mIBG, para concentrar el yodo en las células tumorales, lo que da una forma de radioterapia muy localizada, concentrada, que puede matar el cáncer. Se trata de un nuevo enfoque al tratamiento, pero cada vez se utiliza más en niños que tienen estadios más avanzados, o generalizados, del neuroblastoma, o en donde los niños en quienes el neuroblastoma ha reincidido después del tratamiento convencional.[9]
Estadiaje
El Sistema Internacional de Estadiaje del Neuroblastoma, creado en 1986 y revisada en 1988 estratifica al neuroblastoma en función de su presencia anatómica en el momento del diagnóstico:[21][22][23]
- Estadio 1: tumor localizado que se limita a la zona de origen
- Estadio 2: tumor unilateral con resección incompleta;los ganglios linfáticos ipsilaterales y contralaterales resultan negativos para el tumor
- Estadio 2B: tumor unilateral con total o resección incompleta; ganglios linfáticos ipsilaterales positivos para tumor, los ganglios linfáticos contralaterales negativas para la presencia del tumor
- Estadio 3: el tumor infiltra pasada la línea media con o sin afectación ganglionar regional o unilateral; o tumor contralateral con afectación ganglionar, o tumor en la línea media con afectación ganglionar bilateral
- Estadio 4: difusión del tumor hasta los ganglios linfáticos a distancia, médula ósea, hueso, hígado u otros órganos, excepto tal como se define en la etapa 4S
- Etapa 4S: edad <1 año de edad con tumor primario localizado, tal como se definen en la etapa 1 o 2, con difusión limitada a hígado, piel o médula ósea, en los que menos del 10 por ciento de las células nucleadas de la médula ósea son células tumorales
A pesar del acuerdo internacional sobre este estadiaje, se ha visto la necesidad de un consenso internacional sobre el estadiaje basado en el riesgo. A partir del año 2005, los representantes de los principales grupos cooperativos de oncología pediátrica se han reunido para examinar los datos de 8.800 pacientes tratados de neuroblastoma en Europa, Japón, EE. UU., Canadá y Australia entre los años 1990 y 2002. Este grupo de trabajo ha propuesto el sistema de clasificación Grupo Internacional de Riesgo de Neuroblastoma (del inglés, International Neuroblastoma Risk Group o INRG). Los resultados ponen de manifiesto la alta tasa de supervivencia del grupo de 12-18 meses de edad, que anteriormente se habían clasificado como de alto riesgo, y llevó a la decisión de reclasificar a estos niños a la categoría de riesgo intermedio.[24]
La nueva asignación de riesgo del INRG clasifica al neuroblastoma en el momento del diagnóstico basado en un nuevo estadiaje:
- Fase L1: enfermedad localizada, sin factores de riesgo definida por las neuroimagenes
- Fase L2: enfermedad localizada, con factores de riesgo definida por las neuroimagenes
- Estadio M: la enfermedad metastásica
- Estadio EM: la enfermedad metastásica "especial" en la que la EM es equivalente a la etapa 4S
La nueva estratificación del riesgo se basará en este nuevo sistema de estadiaje, tomando en cuenta la edad (dicotomizada a los 18 meses), el grado tumoral, amplificación MYCN, aberración en el cromosoma 11q, y ploidía produciendo cuatro grupos de riesgo pretratamiento: muy bajo, bajo, intermedio y alto riesgo.[25][26]
Tratamiento
Cuando la lesión es localizada, resulta generalmente curable. Sin embargo, la supervivencia a largo plazo para los niños con enfermedad avanzada y mayores de 18 meses de edad es pobre a pesar de la terapia agresiva multimodal: quimioterapia intensiva, cirugía, radioterapia, trasplante de células madre, el agente de diferenciación isotretinoína también llamado 13-cis-ácido retinoico, y con frecuencia inmunoterapia con anticuerpos monoclonales anti-GD2 o a través de la viroterapia con Virus oncolíticos.
Se han identificado ciertas características genéticas y biológicas del neuroblastoma que, añadido al clásico estadiaje clínico, ha permitido la asignación de pacientes a grupos de riesgo para la planificación de la intensidad del tratamiento.
Children’s Oncology Group (COG) está investigando un plan de tratamiento del neuroblastoma basado en el riesgo.
Estos criterios asigna a todos los pacientes a grupos de riesgo bajo, intermedio o alto, dependiendo de la edad del paciente, el estadio o el grado de propagación de la enfermedad según el International Neuroblastoma Staging System (INSS) y la biología microscópica del tumor, como la amplificación del oncogén de MYCN que regula los microARN; la clasificación de Shimada y la ploidía ADN.[27] Un reciente estudio biológico (COG ANBL00B1) analizó a 2.687 pacientes con neuroblastoma y el espectro de riesgo determinó que 37% de los casos de neuroblastoma son de bajo riesgo, el 18% son de riesgo intermedio, y el 45% son de alto riesgo. (Hay algunas pruebas de que los riestos de tipo alto y bajo son causados por diferentes mecanismos, y no son simplemente dos diferentes grados de expresión del mismo mecanismo.)
El tratamiento varía para estas diferentes categorías de riesgo.
- Los pacientes de bajo riesgo pueden ser mantenidos con una conducta expectante y bajo observación, con frecuencia sin ningún tratamiento en absoluto o bien pueden ser curados con cirugía sola.
- Los de riesgo intermedio son tratados con cirugía y quimioterapia.
- Aquellos con alto riesgo de neuroblastoma son tratados con quimioterapia intensiva, cirugía, terapia de radiación, trasplante de médula ósea o trasplante de células madre hematopoyéticas y terapias con fundamento biológico del 13-cis-ácido retinoico (isotretinoína o Accutane) y la terapia de anticuerpos suele administrarse con citocinas, GM-CSF e IL-2.
Pronóstico
Con los tratamientos actuales, los pacientes de riesgo intermedio y bajo de la enfermedad suelen cursar con muy buen pronóstico, con tasas de curación superiores al 90% en los pacientes de bajo riesgo y 70% -90% en los de riesgo intermedio.[27] En contraste, en las últimas dos décadas, la terapia para pacientes de alto riesgo de neuroblastoma ha dado como resultado curas de sólo alrededor del 30%. La adición de la terapia de anticuerpos ha elevado considerablemente las tasas de supervivencia en pacientes de alto riesgo para la enfermedad. En marzo de 2009, un análisis de un Grupo de Oncología Infantil que estudió 226 pacientes de alto riesgo demostró que la supervivencia de 2 años libres de la enfermedad fue del 66% en el grupo que al azar recibían anticuerpos para el cromosoma 14.18 con el GM-CSF y la IL-2 y 46% en el grupo que no recibieron el anticuerpo. La aleatorización se detuvo a todos los pacientes a fin de que pudieran todos inscribirse en el proceso y recibir el tratamiento de anticuerpos.
El uso de agentes quimioterapéuticos usados en combinación han demostrado ser efectivos en contra del neuroblastoma. Los agentes más utilizados en la inducción y el acondicionamiento del trasplante de células madre están compuestos de platino, como el cisplatino, carboplatino), agentes alquilantes (ciclofosfamida, ifosfamida, melfalán), inhibidor de la topoisomerasa II (etopósido), antibióticos derivados de la antraciclina (doxorrubicina) y alcaloides de la vinca (vincristina). Algunos regímenes que incluyen nuevos inhibidores de la topoisomerasa I (topotecán y irinotecán) en la inducción también han resultado ser efectivos contra la enfermedad recurrente.
Referencias
- 1 2 Instituto Nacional del Cáncer. Información general sobre el neuroblastoma (en español). Versión para pacientes. Último acceso 29 de enero de 2009.
- 1 2 por MedlinePlus (noviembre de 2008). «Neuroblastoma». Enciclopedia médica en español. Consultado el 29 de enero de 2009.
- 1 2 American Academy of Family Physicians (abril de 2001). Recognition of Common Childhood Malignancies Archivado el 12 de mayo de 2008 en Wayback Machine. (artículo completo disponible en inglés). Am Fam Physician; 61:2144-54. Último acceso 18 de febrero de 2009
- ↑ Richard E. Behrman; Robert M Kliegman, Hal B. Jenson (2004). Nelson Tratado de Pediatria (17 edición). España: Elsevier. p. 1709. ISBN 8481747475. Consultado el 3 de abril de 2009.
- ↑ Brodeur GM, Castleberry RP. Neuroblastoma. In: Pizzo PA, Poplack DG. Principles and practice of pediatric oncology, 3rd ed. 1997:761-797.
- ↑ Franks LM, Bollen A, Seeger RC, Stram DO, Matthay KK (1997). «Neuroblastoma in adults and adolescents: an indolent course with poor survival». Cancer 79 (10): 2028-35. PMID 9149032.
- ↑ Howman-Giles R, Shaw PJ, Uren RF, Chung DK (2007). «Neuroblastoma and other neuroendocrine tumors». Semin Nucl Med 37 (4): 286-302. PMID 17544628. doi:10.1053/j.semnuclmed.2007.02.009.
- ↑ Tsubono Y, Hisamichi S. A Halt to Neuroblastoma Screening in Japan (en inglés). New England Journal of Medicine. 350. 19: 2010-2011 (2004). PMID 15128908
- 1 2 3 4 Macmillan Cancer Support (diciembre de 2008). «In neuroblastoma, how can MIBG be both a test and a treatment?». Types of Children's Cancers (en inglés). Reino Unido. Archivado desde el original el 13 de diciembre de 2007. Consultado el 4 de abril de 2009.
- ↑ Schilling, Freimut H.; y col. (2002). «Neuroblastoma Screening at One Year of Age». N Engl J Med 346 (14): 1047-1053.
- ↑ Olshan, AF, Bunin, GR (2000) Epidemiology of Neuroblastoma. In: Brodeur, GM, Sawada, T, Tsuchida, Y, Voute, PA eds., Neuroblastoma, Elsevier, Amsterdam, pp 33-39. ISBN 0-444-50222-X
- ↑ Menegaux F, Olshan AF, Neglia JP, Pollock BH, Bondy ML (mayo de 2004). «Day care, childhood infections, and risk of neuroblastoma». Am. J. Epidemiol. 159 (9): 843-51. PMC 2080646. PMID 15105177.
- ↑ Olshan AF,et al "Hormone and Fertility Drug Use and the Risk of Neuroblastoma: A Report from the Children's Cancer Group and the Pediatric Oncology Group", Am J Epidemiol 1999;150:930-8.
- ↑ ,McCall EE,et al. "Maternal hair dye use and risk of neuroblastoma in offspring" Archivado el 30 de septiembre de 2012 en Wayback Machine., Cancer Causes and Control 2005; 16,6:743-8
- ↑ Guillermo Díaz Alonso (1996). «Evaluación de tumoraciones cervicales en niños». Rev Cubana Med Gen Integr 12 (1): 81-86. Archivado desde el original el 31 de diciembre de 2008. Consultado el 4 de abril de 2009.
- ↑ Garrett M. Brodeur; Audrey E. Evans, T. Sawada, Y. Tsuchida (2000). Neuroblastoma (en inglés). Elsevier Health Sciences. pp. 36. ISBN 044450222X. Consultado el 4 de abril de 2009. (requiere registro).
- ↑ ↑ Katzenstein HM, Cohn SL. Advances in the diagnosis and treatment of neuroblastoma Curr Opin Oncol. 03;10. 1: 43-51 (1998). PMID 9466484.
- ↑ Maris JM, Hogarty MD, Bagatell R, Cohn SL. Neuroblastoma Lancet. 369. 9579: 2106-20 (2007). PMID 17586306. DOI:10.1016/S0140-6736(07)60983-0
- ↑ Werner Lutz and Manfred Schwab. In vivoregulation of single copy and amplified N-myc in human neuroblastoma cells (en inglés). Oncogene. 1997 Jul 17;15(3):303-15.
- ↑ por MedlinePlus (febrero de 2009). «Gammagrafía con MIBG». Enciclopedia médica en español. Consultado el 12 de junio de 2009. «Es un examen imagenológico en el que se utiliza una sustancia radiactiva (llamada marcador) y un escáner especial para encontrar o confirmar la presencia de feocromocitoma y neuroblastoma, los cuales son tumores de tipos específicos de tejido nervioso.»
- ↑ «Neuroblastoma Treatment - National Cancer Institute». Consultado el 30 de julio de 2008.
- ↑ Brodeur GM, Seeger RC, Barrett A, et al. (1988). «International criteria for diagnosis, staging, and response to treatment in patients with neuroblastoma». J. Clin. Oncol. 6 (12): 1874-81. PMID 3199170. Archivado desde el original el 25 de junio de 2020. Consultado el 12 de junio de 2009.
- ↑ Brodeur GM, Pritchard J, Berthold F, et al. (1993). «Revisions of the international criteria for neuroblastoma diagnosis, staging, and response to treatment». J. Clin. Oncol. 11 (8): 1466-77. PMID 8336186. Archivado desde el original el 25 de junio de 2020. Consultado el 12 de junio de 2009.
- ↑ Schmidt ML, Lal A, Seeger RC, Maris JM, Shimada H, O'Leary M, Gerbing RB, Matthay KK (2005). «Favorable prognosis for patients 12 to 18 months of age with stage 4 nonamplified MYCN neuroblastoma: a Children's Cancer Group Study». J Clin Oncol 23 (27): 6474-80. PMID 16116154. doi:10.1200/JCO.2005.05.183.
- ↑ Maris JM, Hogarty MD, Bagatell R, Cohn SL (2007). «Neuroblastoma». Lancet 369 (9579): 2106-20. PMID 17586306. doi:10.1016/S0140-6736(07)60983-0.
- ↑ Cohn SL, London WB, Monclair T, Matthay KK, Ambros PF, Pearson AD, for the INRG Working Group (2007). «Update on the development of the international neuroblastoma risk group (INRG) classification schema» (abstract). Journal of Clinical Oncology 2007 ASCO Annual Meeting Proceedings Part 1 25 (18S). Archivado desde el original el 23 de diciembre de 2008. Consultado el 17 de junio de 2019.
- 1 2 Instituto Nacional del Cáncer (National Cancer Institute, en inglés). «Tratamiento del neuroblastoma de riesgo intermedio». Consultado el 12 de junio de 2009.
Enlaces externos
- Exploración pediátrica por TAC (enlace roto disponible en Internet Archive; véase el historial, la primera versión y la última). Sociedad de Radiología de Norteamérica
- Fundación Neuroblastoma - Cáncer Infantil(en español)
- Asociación de Familiares y Amigos de Niños Enfermos de Neuroblastoma Archivado el 28 de mayo de 2011 en Wayback Machine.
- Todo sobre el neuroblastoma en OncoCáncer.com(en español)