Músculo
| Músculo | ||
|---|---|---|
![]() El Músculo esternocleidomastoideo situado en el cuello es uno de los 650 músculos estriados del cuerpo humano. | ||
![]() Imagen lateral de la cabeza y cuello en la que pueden observarse diferentes músculos estriados. | ||
| Estudiado (a) por | myology | |
|
| ||
En biología, los músculos son estructuras o tejidos existentes en el ser humano y en la mayoría de los animales que tienen la capacidad de generar movimiento al contraerse y relajarse.[1] El tejido que forma el músculo se llama tejido muscular y está formado por células especializadas llamadas miocitos que tienen la propiedad de aumentar o disminuir su longitud cuando son estimuladas por impulsos eléctricos procedentes del sistema nervioso.
Existen tres tipos de tejido muscular:
- Tejido muscular estriado que constituye los músculos voluntarios.
- Tejido muscular cardíaco que forma el corazón.
- Tejido muscular liso: que se encuentra principalmente en la pared del aparato digestivo, bronquios, vasos sanguíneos, vejiga urinaria y útero.[2]
En el cuerpo humano y en todos los vertebrados, los músculos estriados están unidos al esqueleto por medio de los tendones y son los responsables de la ejecución de los movimientos corporales voluntarios. El músculo cardíaco y el músculo liso se contraen de forma automática por los impulsos que reciben a través del sistema nervioso autónomo.
La unidad funcional y estructural del músculo esquelético es la fibra muscular o miocito, varias fibras musculares se agrupan para formar un fascículo, varios fascículos se reúnen y forma el músculo completo que está envuelto por una membrana de tejido conjuntivo llamada fascia. El cuerpo humano contiene aproximadamente 650 músculos estriados.
Etimología
La palabra músculo proviene del diminutivo latino musculus, formado por mus (ratón) y la terminación diminutiva -culus, porque en el momento de la contracción, los romanos lo comparaban con un pequeño ratón, debido a la forma que adquiere durante este proceso.
Propiedades del tejido muscular

El tejido muscular está formado por células llamadas miocitos y tiene cuatro propiedades principales que lo diferencian del resto de los tejidos:[2][3]
- Excitabilidad eléctrica. El tejido muscular recibe impulsos eléctricos del sistema nervioso y responde a los mismos generando movimiento.
- Contractibilidad. Se define como la capacidad de acortamiento que provoca una tensión llamada fuerza de contracción. Si la tensión producida supera la resistencia, se produce un movimiento que será diferente dependiendo del lugar en el que esté situado el músculo.
- Extensibilidad. Es la capacidad del músculo para extenderse sin sufrir daño alguno. Esta propiedad puede apreciarse en la capa muscular del estómago que se distiende considerablemente cuando el estómago se llena de comida durante el proceso de digestión.
- Elasticidad. Se refiere a la capacidad del tejido muscular para volver a su longitud original después del proceso de contracción o tras su estiramiento.
Si se compara el tejido muscular con otros tejidos como el tejido óseo que forma los huesos, puede comprenderse fácilmente la importancia de estas cuatro propiedades. El tejido óseo no es excitable eléctricamente, tampoco tiene capacidad de contraerse o variar de forma. No es extensible, si sufre un alargamiento se rompe provocando una fractura.
Tipos de tejido muscular
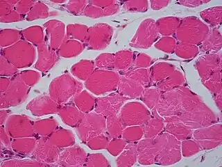
Tejido muscular estriado o esquelético
.jpg)
Es el encargado del movimiento de los esqueletos axial y apendicular, y del mantenimiento de la postura o posición corporal. Gracias al músculo estriado podemos realizar los movimientos voluntarios, mover el tronco y las extremidades, andar, saltar, correr, levantar objetos, masticar y mover los ojos en todas direcciones. Cada músculo estriado o esquelético se fija en los huesos por medio de prolongaciones fibrosas llamadas tendones y está rodeado por una membrana que recibe el nombre de aponeurosis.[4]
La unidad fundamental que constituye el músculo esquelético es la fibra muscular. Cada una de ellas es en realidad una célula de forma cilíndrica muy larga que posee numerosos núcleos situados en su periferia. Un grupo de fibras se agrupan para formar un fascículo, varios fascículos se unen y originan el músculo completo.[4][5]
Tejido muscular liso

El tejido muscular liso a diferencia del esquelético no participa en los movimientos voluntarios. Se encuentra en la pared de las estructuras internas huecas, incluyendo la pared del tubo digestivo, vesícula biliar, vasos sanguíneos, vías aéreas, bronquios, uréteres, vejiga urinaria y útero. También existe músculo liso en la piel asociado a los folículos pilosos y en el ojo donde tiene la función de contraer y dilatar la pupila y permitir el enfoque variando la forma del cristalino. Recibe su nombre porque si se observa al microscopio una muestra de tejido, no son visibles estriaciones, razón por la que se le llama liso. Los músculos lisos del organismo realizan funciones de gran importancia y se contraen o relajan de manera automática en respuesta a estímulos nerviosos generados por el sistema nervioso autónomo.[2]
Las fibras musculares lisas son más cortas que las esqueléticas y poseen un único núcleo, cuentan con filamentos internos que son de dos tipos: gruesos y finos. Estos filamentos no tienen una distribución compacta por lo que no existen estriaciones visibles. La contracción de la fibra lisa se basa en los mismos principios que en el músculo esquelético, pero tiene algunas propiedades particulares, es de inicio más lento pero de mayor duración que en el músculo esquelético y además las fibras puede estirarse o acortarse en un grado mucho mayor sin perder su capacidad contráctil.[2]
La musculatura lisa del útero es la que hace posible el proceso del parto, durante el mismo el útero se contrae periódicamente con intensidad creciente que alcanza su máximo durante el periodo expulsivo.[6]
Tejido estriado cardíaco

Es de naturaleza estriada modificada y de control involuntario. Está presente únicamente en el corazón y genera los movimientos por los que este órgano impulsa la sangre a través del sistema circulatorio. El 75% del volumen total del corazón es músculo. El tejido muscular cardíaco tiene algunas características especiales, las células que lo componen están ramificadas y disponen de unas estructuras llamadas discos intercalares que unen los extremos de dos miocitos colindantes, de tal forma que el órgano se contrae de forma sincronizada.[7] La regulación de la fuerza y velocidad de contracción es involuntaria y se realiza a través del sistema nervioso autónomo. El sistema nervioso simpático tiene una acción positiva aumentando la frecuencia de las contracciones, mientras que el estímulo del sistema nervioso parasimpático tiene la acción contraria.
Contracción muscular
La contractibilidad es la propiedad que tienen las fibras musculares para acortarse y hacerse más gruesas. Ello es posible porque cada célula contiene numerosos filamentos que están formados de dos proteínas diferentes llamadas actina y miosina, ambos tipos tienen aspecto diferente, los filamentos de actina son delgados y de color claro, mientras que los de miosina son de color oscuro y gruesos. Se alternan entre sí, imbricados como cuando se entrelazan los dedos de las manos.[4]
Según el modelo del filamento deslizante, en situación de reposo la fibra muscular presenta un grado moderado de solapamiento entre los filamentos de actina y miosina, en estado de contracción el solapamiento aumenta, mientras que si se produce una elongación muscular el solapamiento disminuye y puede llegar a ser nulo.[8]

Tipos de contracción


Los músculos esqueléticos están unidos por sus extremos a los huesos mediante tendones. Por ello existe una resistencia que el músculo debe vencer para poder acortarse. Cuando la resistencia es superior a la tensión que se establece en el músculo activado, este no se puede acortar y no se produce movimiento, mientras que cuando la resistencia es inferior a la tensión generada se produce un acortamiento que será más rápido cuanto menor sea la carga. El término contracción se utiliza aquí para designar el desarrollo de tensión en el músculo, pero no implica necesariamente que este se acorte, pues ello depende de la resistencia externa que exista. Con base en lo expuesto pueden existir varios tipos de contracciones, dependiendo de si generan o no movimiento:[9]
- Contracción isométrica o estática. En este tipo de contracción la tensión del músculo no supera la resistencia a vencer. El músculo no disminuye su longitud y no se genera movimiento, aunque si existe un gasto energético.
- Contracción isotónica o dinámica. A diferencia de la anterior el músculo se acorta o se alarga. Las contracciones isotónicas son las más habituales en la actividad cotidiana y en la mayor parte de los deportes, ya que normalmente las tensiones musculares suelen provocar acortamiento o alargamiento de las fibras musculares de un músculo determinado. Puede ser de dos tipos: concéntrica o excéntrica.
- Isotónica concéntrica. Existe una aproximación entre los segmentos articulares, dando lugar a un trabajo positivo. La fuerza aplicada es mayor a la resistencia a vencer. Existe un acortamiento del músculo.
- Isotónica excéntrica. En este tipo de contracción, existe una separación de los segmentos articulares, dando lugar a un trabajo negativo. La fuerza aplicada es menor que la resistencia a vencer. Existe un alargamiento del músculo.
Pueden definirse otros tipos de contracciones que en realidad no son más que la combinación de las tres básicas anteriormente reseñadas:
- Contracción auxotónica. Se combina la contracción isotónica con la isométrica en distinta proporción. Ejemplo de esta contracción pueden ser el levantamiento de pesas en un banco.
- Contracción isocinética. Es un tipo de contracción dinámica con velocidad fija y resistencia a vencer de tipo variable. Es una combinación de tres tipos de contracción; en primer lugar contracción excéntrica, posteriormente un tiempo mínimo de isométrica y un tiempo final de trabajo concéntrico.
Fibra muscular esquelética

La fibra muscular estriada es una célula alargada de forma cilíndrica. Mide 50 micras de diámetro y puede alcanzar una longitud de varios centímetros. Es el resultado de la fusión de varias células, por lo que presenta numerosos núcleos situados en su periferia (célula multinucleada). Está envuelta por una membrana que se llama sarcolema, mientras que la región interior (citoplasma) se denomina sarcoplasma.[5]
El sarcoplasma contiene numerosas estructuras longitudinales (miofibrillas) que están dispuestas de forma compacta y se forman por la alternancia de dos tipos de filamentos: Los filamentos gruesos compuestos por moléculas proteicas de miosina y los filamentos delgados que están compuestos por moléculas proteicas de actina. Ambos tipos de filamentos se alternan entre sí formando una estructura perfectamente ordenada que es la responsable de la contracción muscular. La miofibrilla está cortada regularmente por unas estrías de color oscuro que se llaman estrías Z. La región existente entre dos estrías Z sucesivas recibe el nombre de sarcómero. El sarcómero es la unidad básica de contracción muscular. Cada fibra muscular contiene gran cantidad de sarcómeros dispuestos en un conjunto ordenado con perfecta regularidad.[5]

Tipos de fibras musculares esqueléticas
Existen dos tipos de fibras musculares esqueléticas que se diferencian por su actividad funcional y algunos aspectos de su estructura: fibras musculares tipo I, denominadas también rojas o de contracción lenta y fibras musculares tipo II, llamadas también blancas o de contracción rápida. Dentro de un músculo suelen existir fibras de ambos tipos, aunque según el tipo de movimiento habitualmente realizado predominan los de uno de ellos. Las fibras rojas predominan en los músculos posturales (músculos del tronco) cuya actividad es continua y las blancas en los músculos relacionados con el movimiento (músculos de las extremidades) que necesitan contraerse con mayor rapidez.[10]
- Tipo I. También llamada fibras de contracción lenta o rojas, deben su color a la abundancia de mioglobina, son de diámetro pequeño, están irrigadas por gran cantidad de vasos sanguíneos y poseen en su interior numerosas mitocondrias pero muy poco glucógeno. Funcionan principalmente para actividades que precisan contracciones de poca intensidad pero muy prolongadas en el tiempo, por ejemplo el mantenimiento de la postura corporal. La abundancia de mitocondrias y la capacidad de almacenamiento de oxígeno que le confiere la mioglobina, determinan que la energía necesaria para sus procesos se obtenga fundamentalmente por vía aerobia, mediante el ciclo de Krebs.[10] Son fibras que no se fatigan fácilmente, pues obtienen gran cantidad de energía por unidad de materia consumida.
- Tipo II. También llamadas de contracción rápida o blancas. Tienen características opuestas a las fibras de tipo I, tienen poca mioglobina, el diámetro es mayor, están poco vascularizadas, contienen pocas mitocondrias y mucho glucógeno. El organismo las utiliza principalmente para ejercicios poco duraderos en el tiempo, pero de intensidad alta. Son muy sensibles a la fatiga.[10]
- Tipo IIa. Tienen características intermedias entre las de tipo I y tipo II. Dependiendo del tipo de entrenamiento que realice una persona, las fibras de tipo IIa pueden transformarse en fibras de tipo I, si predominan los ejercicios de fuerza prolongados, o en fibras de tipo II si en el entrenamiento predominan ejercicios que precisen actividad muscular intensa pero de corta duración (entre 30 segundos y 2 minutos).[10]
Los sistemas energéticos
Se entiende por sistemas energéticos , a las vías metabólicas que el organismo emplea para obtener energía. Esta energía se utiliza para realizar un trabajo, por ejemplo la contracción muscular.
- Sistema de ATP-PC o anaeróbico aláctico. Emplea las reservas musculares de ATP y fosfocreatina, no precisa oxígeno y no genera ácido láctico. Produce gran cantidad de energía en poco tiempo, pero las reservas son muy limitadas.
- Glucólisis anaeróbica. Degrada la glucosa obteniendo energía sin la presencia de oxígeno, produciendo ácido láctico como sustancia de desecho.
- Sistema aeróbico u oxidativo. Es el sistema principal, se realiza en las mitocondrias de la célula y produce gran cantidad de energía. Requiere la presencia de oxígeno y produce como productos de desecho CO2 y H2O. Es el método de obtención de energía que predomina en las actividades de larga duración y baja intensidad.
Estructura general del músculo estriado
_esp.jpg)

Las fibras individuales del músculo estriado están cubiertas por una capa de tejido conjuntivo que se llama endomisio. Varias fibras se agrupan y forma una estructura mayor denominada fascículo muscular que está cubierto por el perimisio. Por último varios fascículos unidos forman el músculo completo, el cual se encuentra cubierto por el epimisio. La mayor parte de los músculos se insertan en el hueso mediante tendones que están formados por tejido fibroso y sólido con cierto grado de elasticidad. Lo habitual es que existan 2 tendones uno en cada extremo del músculo.[5]
La forma de los músculos es muy variable dependiendo de su función y localización, la mayor parte son alargados o fusiformes como el bíceps braquial, otros son planos como el músculo recto abdominal, algunos tienen forma de abanico como el pectoral mayor. Determinados músculos tienen formas especiales con una abertura en el centro para adaptarse a una cavidad, entre ellos el orbicular de los labios y el orbicular de los ojos.
Funciones del músculo
Son diferentes dependiendo del tipo de músculo: estriado, cardíaco o liso.[2]
- Músculos estriados: Provocan los movimientos corporales, generan calor, sirven como protección de los órganos internos, hacen posible el mantenimiento de la postura corporal.
- Músculos lisos: Hacen posible los movimientos peristálticos del intestino y el estómago durante la digestión, dilatan la pupila, contraen la vejiga urinaria durante la micción, aumentan o disminuyen el calibre de los vasos sanguíneos, producen la piloerección y aumentan o disminuyen el calibre de los bronquios.
- Músculo cardíaco: Propulsa la sangre a través del sistema circulatorio para que llegue a todos los tejidos del cuerpo.
Fuerza muscular
En biología, la fuerza se define como la capacidad que tienen los músculos para contraerse venciendo una resistencia. Es necesaria para la mayor parte de las actividades cotidianas, pues todos los movimientos están originados por una fuerza, tanto los necesarios para realizar desplazamientos como aquellos destinados a mover objetos más o menos pesados. Dentro del concepto de fuerza se incluyen tres aspectos diferentes:[11]
- Fuerza máxima. Hace referencia a la capacidad de alcanzar la mayor fuerza posible en un momento determinado. Por ejemplo al levantar una carga, mientras mayor sea el peso que es posible elevar, mayor será la fuerza máxima.
- Fuerza-resistencia. Es la capacidad de mantener la fuerza el mayor tiempo posible o repetirla muchas veces. Por ejemplo el número de veces consecutivas que puede elevarse un objeto pesado.
- Fuerza explosiva. Este concepto se refiere a la capacidad de alcanzar determinada fuerza en el periodo de tiempo más corto posible, a tiempo más breve mayor fuerza explosiva.
La fuerza que puede alcanzar un individuo determinado se relaciona con diversos factores, uno de ellos es la sección transversal del músculo. Un músculo puede generar de 3 a 4 kg de fuerza por cm² de sección transversal. Por lo tanto los músculos de mayor sección son los que desarrollan mayor fuerza, aunque no siempre el incremento en el tamaño del músculo se acompaña con aumento de la fuerza que puede desarrollar.
Composición química del tejido muscular

El músculo esquelético está formado por un 75% de agua y un 20 % de proteínas. El 5% restante corresponde a otras sustancias como grasas, glucógeno, sodio, potasio, calcio y fósforo.[12]
- Agua, que representa el 75% del peso del músculo.
- Proteínas corresponden al 20% del tejido muscular, se pueden distinguir entre otras las siguientes:
- Miosina. Representa alrededor del 55% de la proteína muscular.[12]
- Actina. Corresponde al 25% de la proteína muscular.[12]
- Mioglobina. La mioglobina es una hemoproteína muscular estructuralmente muy parecida a la hemoglobina. Está constituida por una cadena polipeptídica de 153 aminoácidos y por un grupo hemo que contiene un átomo de hierro. La función de la mioglobina es almacenar oxígeno.
- Tropomiosina.
- Complejo de troponina.
- Distrofina. Es una proteína estructural del músculo, está codificada por el gen DMD ubicado en el cromosoma X. Tiene la función de unirse a la membrana de las células musculares y mantener la estructura celular durante el proceso de contracción. La ausencia de distrofina o su alteración provoca graves daños al tejido muscular. La distrofia muscular de Duchenne está ocasionada por una mutación en el gen que codifica esta proteína.
- Hidratos de carbono. La sustancia principal de este grupo presente en el músculo es el glucógeno. El músculo contiene alrededor de un 1% de glucógeno que se utiliza como forma de almacenamiento de glucosa. Cuando el músculo realiza una actividad aumentada, moviliza sus reservas de glucógeno que transforma en glucosa. A partir de la glucosa la célula muscular produce ATP que es la fuente de energía que hace posible la contracción.[13]
- Lípidos. La cantidad de grasas que contiene el tejido muscular varía con la alimentación y es distinta según la especie animal.
- Compuestos inorgánicos. Entre las sales inorgánicas más importantes están las de sodio, con cuyos iones está ligada la excitabilidad y contracción. El potasio, cuyos iones retardan la fatiga muscular. El ion calcio y el fósforo.
Atrofia e hipertrofia muscular

- Atrofia muscular. Consiste en la pérdida de masa muscular. Puede deberse a múltiples causas, una de las variedades más frecuentes es la atrofia muscular por desuso que tiene lugar en personas que permanecen inmovilizadas total o parcialmente durante periodos prolongados.[14] En la atrofia muscular por desuso, el descenso de la actividad contráctil provoca disminución de las proteínas musculares y reducción de la sección transversal de las fibras. Sin embargo el número de fibras permanece estable, por lo que si se reemprende la actividad, el músculo recupera sus propiedades iniciales después de un periodo más o menos prolongado.[14]
- Hipertrofia muscular. El término hipertrofia designa el aumento de tamaño de un órgano. Cuando un músculo o un grupo de músculos es sometido a ejercicios de repetición contra resistencia, sobre todo ejercicios de contracción isométrica, el músculo responde aumentando su tamaño y fuerza, fenómeno que se conoce como hipertrofia activa. Este proceso se debe principalmente al aumento de tamaño de las fibras musculares, puesto que el número de ellas permanece prácticamente inalterado. Para que el fenómeno persista es preciso que el ejercicio se realice de forma continuada, en caso contrario las fibras acaban por volver a su tamaño inicial y la hipertrofia desaparece.[15] La utilización de sustancias dopantes para provocar artificialmente hipertrofia muscular en deportistas es una práctica peligrosa que puede causar lesiones musculares y tendinosas. Por otra parte algunos de los productos que se emplean ilícitamente con esta finalidad, entre ellos los anabolizantes, pueden causar daños en órganos internos como el hígado y el riñón.[16]
Enfermedades musculares
Las enfermedades y trastornos de la musculatura son variadas y de diversas etiologías.
- Distrofias musculares. Son un grupo heterogéneo de trastornos hereditarios que cursan con debilidad y atrofia muscular, en algunos casos severa. Entre las enfermedades más frecuentes incluidas en este grupo se encuentran la distrofia muscular de Duchenne, distrofia miotónica de Steinert y la distrofia muscular de Becker.
- Miopatías inflamatorias: incluyen la dermatomiositis y la polimiositis. Más recientemente se ha incluido en este grupo la miositis con cuerpos de inclusión.[17]
- Miastenia gravis: provoca debilidad muscular por pérdida de los receptores de acetilcolina.
- Tumores, como el tumor desmoide, rabdomioma, leiomioma y rabdomiosarcoma.
Véase también
- Anexo:Músculos esqueléticos
- Anexo:Músculos del cuerpo humano
- Sistema muscular
Referencias
- ↑ Diccionario enciclopédico ilustrado de medicina Dorland. Consultado el 10 de abril de 2018.
- 1 2 3 4 5 Tortora-Derrickson: Principios de Anatomía y Fisiología. Consultado el 10 de abril de 2018.
- ↑ Estructura y función del músculo esquelético. Propiedades mecánicas pasivas y contractibilidad. Archivado el 1 de julio de 2007 en Wayback Machine. Universidad de Colima. Consultado el 27 de marzo de 2018.
- 1 2 3 El cuerpo humano. Salud y enfermedad. Autor: Barbara Janso Cohen. Consultado el 28 de marzo de 2018
- 1 2 3 4 El músculo esquelético. Informe. Federación Española de Enfermedades Neuromusculares. Consultado el 13 de abril de 2018.
- ↑ Parto: Mecanismo, clínica y atención. Autor: Luis Espinosa Torres Torija. Manual moderno, 2017. Consultado el 10 de abril de 2018.
- ↑ Músculos: biología celular e histología. Archivado el 3 de abril de 2018 en Wayback Machine. Autor: Bernal Gerardo Garro Mora. Universidad de Costa Rica.
- ↑ Morfología del músculo esquelético. UNAM. Consultado el 30 de marzo de 2018.
- ↑ Fisiología veterinaria. James G. Cunningham
- 1 2 3 4 El músculo esquelético. Informe. Fundación Española de Enfermedades Neuromusculares, junio 2003. Consultado el 1 de abril de 2018
- ↑ Fuerza muscular. Bases biológicas, medición y teoría del desarrollo. Autor: Gustavo Ramón S.
- 1 2 3 Análisis estructural del músculo esquelético.
- ↑ Bioquímica. Autor: Thomas M. Devlin. Consultado el 13 de abril de 2018.
- 1 2 Una visión desde la biología molecular a una deficiencia comúnmente encontrada en la práctica del fisioterapeuta: la atrofia muscular. Carolina Ramírez Ramírez. SALUD UIS. Consultado el 10 de abril de 2018.
- ↑ Trastornos y lesiones del sistema musculoesquelético. Autor: Robert Bruce. Consultado el 13 de abril de 2018.
- ↑ Libro de la salud del Hospital Clínico de Barcelona y la fundación BBVA. Consultado el 13 de abril de 2018
- ↑ Miopatías inflamatorias. Dermatomiositis, polimiositis y miositis con cuerpos de inclusión. Reumatol Clin 2008;4:197-206 - Vol. 4 Núm.5 DOI: 10.1016/S1699-258X(08)72464-1. Consultado el 14 de abril de 2018.
Bibliografía
- Ciencias de la Naturaleza y su didáctica Julia Morros Sardá, págs. 218/219.
Enlaces externos
Wikimedia Commons alberga una galería multimedia sobre Músculo.
Wikcionario tiene definiciones y otra información sobre músculo.- Guía de músculos.

