Fractura de Colles
| Fractura de Colles | ||
|---|---|---|
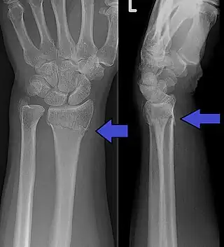
![]() Imagen radiográfica anteroposterior y lateromedial de una fractura de Colles | ||
| Especialidad | Traumatología | |
La fractura de Colles es una fractura distal del radio. La fractura se reconoce clínicamente por la deformidad en "dorso de tenedor" debido al desplazamiento dorsal del fragmento distal del radio. Para una discusión más detallada, ver la fractura distal del radio.
Por lo general, ocurre como resultado de una caída en una mano extendida. Los factores de riesgo incluyen osteoporosis. El diagnóstico puede confirmarse con rayos X. La punta del cúbito también puede estar rota. El tratamiento puede incluir fundición o cirugía. La reducción quirúrgica y el yeso es posible en la mayoría de los casos en personas mayores de 50 años.[1]
El manejo del dolor se puede lograr durante la reducción con sedación procesal y analgesia o un bloqueo de hematoma. Puede ser necesario un año o dos para que se produzca la curación. Alrededor del 15% de las personas van a tener una fractura de Colles en algún momento. Ocurren más comúnmente en adultos jóvenes y personas mayores que en niños y adultos de mediana edad. Las mujeres se ven afectadas con mayor frecuencia que los hombres. La fractura lleva el nombre de Abraham Colles, quien la describió en 1814.[2]
Epónimo
Lleva el nombre de Abraham Colles (1773-1843), un cirujano irlandés que la describió por primera vez en 1814 antes de la llegada de los rayos X.[3]
Terminología
El término fractura de Colles es típicamente usado para describir una fractura del extremo distal del radio, en su unión córtico-médular. Sin embargo, ahora el término tiende a ser utilizado para referirse a cualquier fractura distal del radio, con o sin la participación del cúbito, que tenga un desplazamiento dorsal de los fragmentos de la fractura.
La fractura clásica de Colles tienen las siguientes características:[4]
- Fractura transversal del radio.
- A 2,5 cm proximal a la articulación radiocarpiana.
- Desplazamiento dorsal y angulación dorsal.
Diagnóstico
- Clínico
- Tumefacción a nivel del trauma.
- Dolor.
- Imposibilidad funcional activa y pasiva en muñeca.
- Imposibilidad para la realización de los movimientos de pronosupinación a nivel del codo.
- Radiológico
- Frontal y lateral de muñeca.
Hallazgos radiológicos típicos
- Inclinación dorsal y radial de la muñeca.
- Acortamiento radial.
- Desplazamiento dorsal del fragmento distal.
- A menudo asociada a fractura del apófisis estiloide cubital.
- Ángulo volar < 10°.
En los pacientes mayores y más jóvenes
Las fracturas de Colles se producen en todos los grupos de edad, aunque ciertos patrones siguen una distribución de edad.
- En los ancianos, debido a la débil corteza, la fractura es más a menudo extraarticular.
- Los individuos más jóvenes tienden a requerir una fuerza para causar la fractura más importante y tienden a ser más complejas. Fractura intraarticular En los niños con físico abierta, una fractura equivalente es el deslizamiento epifisario. Esta es una fractura de Salter I o II con fuerzas deformantes dirigidas a través de la placa epífisis más débil.
- Más común en mujeres debido a la osteoporosis postmenopáusica.
Causas
La fractura es causada más comúnmente por personas que caen hacia adelante sobre una superficie dura y detienen su caída con las manos extendidas —que si caen con la muñeca en flexión se produciría una fractura de Smith—. También puede ser causada por uso excesivo.
La de Colles es una fractura común en personas con osteoporosis, en un segundo lugar, solo después de las fracturas vertebrales.
Tratamiento
Depende de la gravedad de la fractura. Una fractura no desplazada se puede tratar sólo con un yeso. El yeso se aplica con el fragmento distal en flexión palmar y desviación cubital. Una fractura con una angulación y desplazamiento suave puede requerir una reducción cerrada. Una angulación y deformidad importantes, muy raramente, puede requerir una reducción abierta y fijación interna o fijación externa. La férula volar del antebrazo es la mejor para la inmovilización temporal de las fracturas del antebrazo, la muñeca y la mano, incluyendo, por tanto, la de Colles.
Referencias
- ↑ «Distal Radius Fractures (Broken Wrist) - OrthoInfo - AAOS». www.orthoinfo.org. Consultado el 2 de agosto de 2020.
- ↑ Blakeney, William G (2010). «Stabilization and treatment of Colles’ fractures in elderly patients». Clinical Interventions in Aging 5: 337-344. ISSN 1176-9092. PMC 3010169. PMID 21228899. doi:10.2147/CIA.S10042. Consultado el 2 de agosto de 2020.
- ↑ synd/2152 en Who Named It?
- ↑ GP Notebook. «Colles 'fracture». Consultado el 21 de febrero de 2009.
