Espacio de Virchow-Robin
Espacio de Virchow-Robin es una estructura intersticial, ubicada en el cerebro, llena de líquido, revestida por pial que acompaña a las arterias y arteriolas penetrantes cuando ingresan a la sustancia cerebral.[1] Es una estructura fisiológica en el parénquima cerebral normal.[2] En el cerebro aparecen varios, como espacios perivasculares que son extensiones del espacio subaracnoideo y acompañan a los vasos perforantes del cerebro.[3]
Está delimitado hacia dentro por la adventicia de los vasos y hacia fuera por una capa de células mesenquimáticas que aparece como extensión de la piamadre, existe sólo hasta el nivel arteriolar.[4] Normalmente están localizados en los ganglios del tronco del encéfalo, el mesencéfalo y la sustancia blanca del cerebro.[2]Son varias cavidades llenas de líquido perivascular que rodean las arterias y venas perforantes en el parénquima cerebral.[2]
Se los llamó espacios de Virchow-Robin en honor al patólogo alemán Rudolf Virchow y al anatomista francés Charles Philippe Robin, que fueron quienes los descubrieron.
Normalidad

En personas sanas, los espacios de Virchow-Robin son estructuras anatómicas normales que suelen medir entre 2 y de 5 mm de diámetro.[2][3]
Se supone que contienen líquido intersticial lleno de macrófagos y desempeñan un papel importante en el drenaje del líquido intersticial hacia el sistema linfático cervical.[2]
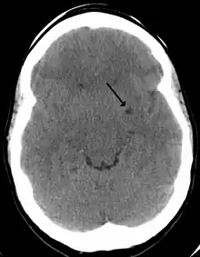
Son una estructuras fisiológicas en el parénquima cerebral normal.[2] Consisten en espacios perivasculares que rodean a las arterias perforantes del cerebro, y se debe pensar siempre en ellos al visualizar estructuras quísticas en la sustancia blanca del cerebro y ganglios basales, redondeadas o alargadas, siguiendo el trayecto de los vasos perforantes.[5]Se pueden observar a través de una resonancia magnética cerebral.[5] Allí las características morfológicas de imagen de los espacios de Virchow-Robin son áreas redondas o tubulares, de bordes suaves.[2]
Patología
En ocasiones pueden crecer y convertirse en gigantes espacios de Virchow-Robin.[4]Al agrandarse y convertirse en espacios gigantes de Virchow-Robin producen un efecto de masa que puede traer diversos síntomas neurológicos.[1]En casos anormales se relacionan con diversas patologías neurológicas neurodegenerativas, como la enfermedad de Alzheimer, las enfermedades cerebrovasculares y las lesiones cerebrales traumáticas,[2]ictus, esclerosis múltiple, angiopatía amiloidea cerebral,[6] e hidrocefalia.[3]Incluso se ha descrito un caso de neuralgia del trigémino secundaria a los espacios de Virchow-Robin gigantes en el área dorsal pontino.[1]
Véase también
- Inhibición atencional
- Enfermedad cerebrovascular isquémica
- Neuromito del hemisferio cerebral dominante
Referencias
- 1 2 3 Ranjan, Manish; Dupre, Simon; Honey, Christopher R. (2013-04). «Trigeminal neuralgia secondary to giant Virchow-Robin spaces: A case report with neuroimaging». PAIN (en inglés estadounidense) 154 (4): 617. ISSN 0304-3959. doi:10.1016/j.pain.2013.01.008. Consultado el 25 de noviembre de 2023.
- 1 2 3 4 5 6 7 8 Reith, W.; Haußmann, A. (2018-02). «[Importance of Virchow-Robin spaces]». Der Radiologe 58 (2): 142-147. ISSN 1432-2102. PMID 29374313. doi:10.1007/s00117-017-0354-4. Consultado el 25 de noviembre de 2023.
- 1 2 3 Romero, Dr Carlos (10 de diciembre de 2009). «Dilatación de espacios perivasculares como causa inusual de hidrocefalia. Hallazgos en RM». Diagnóstico Journal. Consultado el 25 de noviembre de 2023.
- 1 2 «Espacio de Virchow-Robin». Neurocirugía Contemporánea, licencia CC Attribution-Share Alike 4.0 International. Consultado el 25 de noviembre de 2023.
- 1 2 Rafia, S.; Pizzatto, M. R.; Pascual-Castroviejo, I. (11 de enero de 2001). «Importancia de la identificación de los espacios de Virchow-Robin. Presentación de cuatro casos». Rev. neurol. (Ed. impr.) 33 (9): 833-836. ISSN 0210-0010. Consultado el 25 de noviembre de 2023.
- ↑ Casadevall Codina, T.; Espada Olivan, F.; Guerrero Castaño, C.; Ruscalleda Morell, N. (1 de noviembre de 2019). «Relación de los espacios de Virchow-Robin con la enfermedad de Alzheimer: a propósito de un caso». Neurología 34 (9): 623-624. ISSN 0213-4853. doi:10.1016/j.nrl.2017.07.007. Consultado el 25 de noviembre de 2023.