Encefalitis de Rasmussen
| Encefalitis de Rasmussen | ||
|---|---|---|
![]() Tomografía axial computarizada de una niña con encefalítis de Rasmussen. | ||
| Especialidad | neurología | |
La Encefalitis de Rasmussen (ER), también conocida como encefalitis crónica focal (ECF) o Síndrome de Rasmussen, es una enfermedad neurológica inflamatoria poco frecuente, caracterizada por convulsiones frecuentes y severas, pérdida de habilidades motoras y del habla, hemiparesia (parálisis de un lado del cuerpo), encefalitis (inflamación del cerebro) y demencia. La enfermedad, que afecta a un único hemisferio cerebral, generalmente ocurre en niños menores de 15 años.
Causas y fisiopatología
La encefalitis de Rasmussen se produce por inflamación crónica del cerebro, con infiltración de linfocitos T en el parénquima cerebral. Esta inflamación solo afecta uno de los hemisferios cerebrales, derecho o izquierdo. La inflamación causa un daño permanente a las neuronas, desembocando en la atrofia del hemisferio afectado. La epilepsia causada por la inflamación también puede contribuir al daño cerebral.
La causa de la inflamación se desconoce: las infecciones virales se han sugerido como agente etiológico, pero la evidencia no es concluyente en este sentido.[1] En los años 1990 se sugirió que algunos autoanticuerpos dirigidos contra el receptor de glutamato GluR3, jugaban un papel causal importante en la enfermedad[2] pero esta posición se ha revaluado.[3] Sin embargo, estudios más recientes reportan la presencia de autoanticuerpos contra la subunidad GluRepsilon2 del receptor de glutamato tipo NMDA (anticuerpos anti-NR2A) en un subgrupo de pacientes diagnosticados con encefalitis de Rasmussen.[4] También existe alguna evidencia de que los pacientes con ER expresan autoanticuerpos contra la subunidad alfa 7 del receptor nicotínico de acetilcolina.[5]
Se ha documentado la encefalitis de Rasmussen junto a diagnósticos de porfiria neurovisceral, porfiria aguda intermitente[6] y encefalomielitis aguda diseminada (ADEM por sus siglas en inglés).
Características clínicas

La enfermedad afecta principalmente a niños con una edad promedio de seis años, sin embargo una de cada diez personas con la enfermedad la desarrolla como adulto.
La ER tiene dos fases, a veces precedidas de un 'estado prodrómico' de algunos meses. En la 'fase aguda', que dura entre cuatro y ocho meses, la inflamación se encuentra activa y los síntomas empeoran progresivamente. Entre estos síntomas se incluyen debilidad de un lado del cuerpo (hemiparesia), perdida de visión de un lado del campo visual (hemianopsia), y dificultades cognitivas (e.g. afecciones del aprendizaje, la memoria o el lenguaje). Las convulsiones epilépticas también son una característica que define de la ER, y son frecuentemente crisis parciales. Las convulsiones focales motoras o epilepsia partialis continua son particularmente comunes, y pueden ser muy difíciles de controlar con fármacos.
En la 'fase residual' o crónica, la inflamación ya no se encuentra activa, pero la persona continúa con algunos o todos los síntomas por el daño que la inflamación ha causado. A largo plazo la mayoría de los pacientes terminan con epilepsia, parálisis y problemas cognitivos, pero la severidad de las secuelas varía considerablemente.[1]
Diagnóstico
El diagnóstico se puede hacer solamente con las características clínicas más alguna prueba para descartar otras causas posibles de los síntomas. Un electroencefalograma generalmente muestra las características eléctricas asociadas a la epilepsia y disminución de la actividad cerebral del hemisferio afectado, y las imágenes de RNM muestran encogimiento gradual del hemisferio afectado con signos de inflamación o cicatrización. Una biopsia cerebral puede proveer una fuerte confirmación del diagnóstico, pero no siempre es necesaria.
Tratamiento

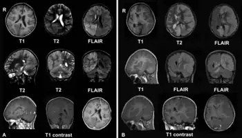
A. Diciembre de 2008, el paciente ingresa con cefalea y epilepsia partialis continua. Hay lesiones con inflamación local en los lóbulos parietal y occipital del hemisferio derecho del cerebro y del hemisferio derecho del cerebelo.
B. En abril de 2009, el mismo paciente, ahora en estado de coma con epilepsia partialis continua. Hay deterioro debido a la encefalitis - existe compromiso del hemisferio cerebral izquierdo con edema cerebral severo y desplazamiento de las estructuras de la línea media.
Durante la fase aguda el tratamiento está dirigido a disminuir la inflamación. Al igual que en otras enfermedades inflamatorias pueden utilizarse corticoides, en forma de un ciclo corto de dosis alta, o a dosis más bajas para tratamiento a largo plazo. La inmunoglobulina intravenosa también es efectiva tanto a corto como a largo plazo, particularmente en adultos, donde se ha propuesto como tratamiento de primera línea.[7] Otros tratamientos similares incluyen plasmaféresis o Tacrolimus, aunque hay menos evidencia de su utilidad. Ninguno de estos tratamientos puede prevenir las secuelas permanentes de la enfermedad.
Durante la fase crónica de la enfermedad, donde ya no existe inflamación activa, el tratamiento se enfoca en mejorar los síntomas remanentes. El tratamiento con fármacos antiepilépticos usualmente es efectivo para controlar las convulsiones, y puede ser necesaria la extirpación o desconexión quirúrgica del hemisferio cerebral afectado, en un procedimiento llamado hemisferectomia. Esto generalmente trae consigo mayor debilidad, hemianopsia problemas cognitivos, pero el otro hemisferio cerebral puede ser capaz de hacerse cargo de algunas de estas funciones, especialmente en niños pequeños. Este procedimiento puede no ser recomendable cuando el hemisferio comprometido es el izquierdo, ya que este hemisferio contiene la mayoría de las partes del cerebro que controlan el lenguaje. Sin embargo, la hemisferectomía generalmente es muy efectiva para controlar las convulsiones.[1]
Nombre de la enfermedad
El epónimo de la enfermedad hace honor al neurocirujano Theodore Rasmussen (1910–2002), quien reemplazo a Wilder Penfield como director del Montreal Neurological Institute, y trabajó como Neurocirujano en jefe en el Royal Victoria Hospital.[8][9]
Fundaciones
La llamada The Hemispherectomy Foundation[10] se fundó en 2008 para ayudar a familias con niños con encefalitis de Rasmussen y otras condiciones que requieren hemisferectomía.[11]
Y el llamado The RE Children's Project[12] se fundó en 2010, para promover el conocimiento público de la encefalitis de Rasmussen. Su objetivo principal es impulsar el desarrollo de la investigación científica dirigida a encontrar una cura para esta enfermedad.
Referencias
- 1 2 3 Bien, CG et al. (2005). «Pathogenesis, diagnosis and treatment of Rasmussen encephalitis: a European consensus statement». Brain 128 (Pt 3): 454-471. PMID 15689357. doi:10.1093/brain/awh415. 15689357.
- ↑ Rogers SW, Andrews PI, Gahring LC et al. (1994). «Autoantibodies to glutamate receptor GluR3 in Rasmussen's encephalitis». Science 265 (5172): 648-51. PMID 8036512. doi:10.1126/science.8036512.
- ↑ Watson R, Jiang Y, Bermudez I et al. (2004). «Absence of antibodies to glutamate receptor type 3 (GluR3) in Rasmussen encephalitis». Neurology 63 (1): 43-50. PMID 15249609. doi:10.1212/01.WNL.0000132651.66689.0F.
- ↑ Takahashi Y, Mori H, Mishina M et al. (2005). «Autoantibodies and cell-mediated autoimmunity to NMDA-type GluRepsilon2 in patients with Rasmussen's encephalitis (RE) and chronic progressive epilepsia partialis continua». Epilepsia 46 (Suppl 5): 152-158. PMID 15987271. doi:10.1111/j.1528-1167.2005.01024.x.
- ↑ Watson, R; Jepson, JE; Bermudez, I; Alexander, S; Hart, Y; McKnight, K; Roubertie, A; Fecto, F; Valmier, J; Sattelle, DB; Beeson, D; Vincent, A; Lang, B (2005 Dec 13). «Alpha7-acetylcholine receptor antibodies in two patients with Rasmussen encephalitis.». Neurology 65 (11): 1802-4. PMID 16344526.
- ↑ Tziperman B, Garty BZ, Schoenfeld N, Hoffer V, Watemberg N, Lev D, Ganor Y, Levite M, Lerman-Sagie T. Acute intermittent porphyria, Rasmussen encephalitis, or both? J Child Neurol. 2007 Jan;22(1):99-105.
- ↑ Hart, YM; Cortez, Andermann, Hwang, Fish (1994). «Medical treatment of Rasmussen syndrome (chronic encephalitis and epilepsy): effect of high-dose steroids or immunoglobulins in 19 patients». Neurology 44 (6): 1030-1036. PMID 8208394. doi:10.1212/WNL.44.6.1030. 8208394.
- ↑ synd/2828 en Who Named It?
- ↑ Rasmussen T, Olszewski J, Lloyd-Smith D (1958). «Focal seizures due to chronic localized encephalitis». Neurology 8 (6): 435-45. PMID 13566382. doi:10.1212/WNL.8.6.435.
- ↑ (en inglés) The Hemispherectomy Foundation, sitio digital oficial.
- ↑ «The Community News». Archivado desde el original el 29 de marzo de 2009. Consultado el 25 de febrero de 2009.
- ↑ (en inglés) The RE Children's Project, sitio digital oficial.
Enlaces externos
- (en inglés) Primeros auxílios para convulsiones, sitio digital oficial de 'Epilepsy Foundation'.
- (en inglés) Rasmussen's Encephalitis: All disorders, sitio digital oficial de 'National Institutes of Health (NIH)'.
- (en inglés) National Institute of Neurological Disorders and Stroke (NINDS), sitio digital oficial de 'National Institutes of Health (NIH)', nota: partes del presente artículo de Wikipedia, fueron copiadas de esta fuente de dominio público.
- Esta obra contiene una traducción parcial derivada de «Rasmussen's encephalitis» de Wikipedia en inglés, publicada por sus editores bajo la Licencia de documentación libre de GNU y la Licencia Creative Commons Atribución-CompartirIgual 4.0 Internacional.
