Displasia

El término displasia (del griego antiguo δυσ-, "dys", dificultad, y el sufijo -plasia derivado del verbo πλάσσω, "plásso", formar)[1] hace referencia a una anormalidad en el aspecto de las células debido a alteraciones en el proceso de maduración de las mismas. Es una lesión celular caracterizada por una modificación irreversible del ADN que causa la alteración de la morfología o de la función celular. Si se produce un incremento en el número de células, se convierte en una hiperplasia. La displasia también puede acabar provocando una neoplasia. Las células displásicas sufren una proliferación y alteraciones atípicas que afectan su tamaño, forma y organización. Esto puede ser indicativo de que se encuentran en una fase de evolución temprana hacia la transformación en una neoplasia. Por lo tanto, la displasia es en ocasiones un cambio preneoplásico o precanceroso.
Este crecimiento anormal se restringe a la capa epitelial, y no invade el tejido más profundo. Aunque la displasia puede desaparecer espontáneamente, es posible extirparla mediante cirugía, métodos químicos, calor quemante, láser o aplicando frío (crioterapia).
Estos cambios pueden ser reversibles, y al desaparecer la causa inductora, el epitelio puede volver a la normalidad. Los cambios displásicos de los tejidos se consideran precursores del cáncer.
Displasia cervical
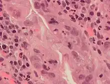
La forma más conocida de displasia es la displasia cervical, bastante común en las lesiones precursoras del cáncer de cuello de útero. Es un tipo de displasia que tiene como causa etiológica el papillomavirus humano y que afecta al cérvix uterino de las mujeres. En este tipo de displasia se observa una diferenciación muy clara del tejido cervical dañado respecto al tejido sano (ver imagen adjunta). En esta enfermedad hay tres grados de displasia diferentes:
- - Ligero
- - Moderado
- - Grave
Cuando se alcanza el nivel grave puede ser llamado carcinoma "in situ", que es una forma temprana de tumor).
Esta lesión es originada por una infección con el VPH (virus del papiloma humano). La displasia cervical es casi siempre insospechada por la mujer. Es descubierta generalmente por un examen de investigación (prueba de Papanicolaou). El propósito de esta prueba es diagnosticar la enfermedad temprano, mientras que sigue estando en la fase de la displasia es fácil de curar.
Otros tipos
- Otro ejemplo de displasia sería la relacionada con el epitelio de la laringe. Según su grado de alejamiento de un tejido normal se las divide según la clasificación Smurra M. en leve, moderada, intensa o grave.
Usos del término displasia
También se utiliza el término displasia para expresar la anomalía en el desarrollo de un órgano. Dependiendo del órgano afectado puede hablarse de displasia broncopulmonar, displasia dental, displasia congénita de cadera, displasia facial, displasia timica, etc. Estas anomalías no tienen relación alguna con el cáncer ni son alteraciones premalignas.[2]
- Displasia arritmogénica. Afecta al corazón.
- Displasia congénita de cadera o subluxación de cadera es la dislocación, subluxación o luxación de la cadera al nacer o en los primeros meses de vida. La displasia es una anomalía en la cavidad que recibe al hueso femoral. Es por lo tanto una anomalía en el cótilo femoral (lugar de la cadera donde se produce la articulación del fémur en la cavidad de los huesos pélvicos).
- Displasias ectodérmicas. Son un conjunto de enfermedades de origen genético en las que se afecta el desarrollo del ectodermo en el embrión. Las manifestaciones afectan a piel, glándulas sudoríparas, pelo, uñas y dientes.
- Displasia epifisaria múltiple. Enfermedad genética que afecta el crecimiento y remodelación del hueso
- Displasia fibrosa poliostótica. Rara enfermedad de origen genético que afecta a los huesos y la piel.
- Displasia renal multiquística. Aparición de múltiples quistes de diversos tamaños durante el desarrollo fetal del riñón.
- Displasia de Meyer: es una entidad que afecta a la cabeza femoral de los niños y se caracteriza por presentar una osificación irregular. Hemos de considerar la displasia de Meyer como una variante de la normalidad del crecimiento. Se conoce también como displasia epifisaria femoral. La mayoría de los niños con displasia de Meyer no presenten ningún tipo de molestias y el diagnóstico suele hacerse de forma casual por la obtención de radiografías realizadas por otras causas (generalmente radiografías de abdomen o de riñón).
Véase también
Referencias
Enlaces externos
- Universidad de Utah, Escuela de Medicina. Imagen de una displasia de cuello uterino; Displasia cervical escamosa de mayor magnificación Descripción en inglés. Último acceso 5 de marzo de 2008.