Cordoma
| Cordoma | ||
|---|---|---|
|
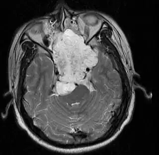
Imagen de RMN de un cordoma en un varón de 17 años, vista axial. | ||
| Especialidad | oncología | |
Un cordoma es una neoplasia muy poco frecuente, de lento crecimiento, que se postula se deriva de remanentes de la notocorda. La evidencia que apoya este postulado consiste en la localización de los tumores a lo largo del esqueleto neuroaxial, parecidos patrones de tinción inmunohistoquímica, y la demostración que células notocordales permanecen en el clivus y la región sacrococcígea cuando los remanentes de la notocorda regresan durante la vida fetal.[1]
Presentación
Los cordomas pueden originarse en los huesos de la base del cráneo y en cualquier lugar del recorrido de la columna vertebral. Las localizaciones más frecuentes son el clivus y el sacro.[2]
Genética
Se ha informado sobre un pequeño número de familias con varios miembros afectados por un cordoma. En cuatro de estas familias se encontró que una duplicación del gen T fue la causa del tumor.
Se ha sugerido una posible asociación con el complejo de la esclerosis tuberosa (TSC1 o TSC2 en inglés)[3]
Epidemiología
En los Estados Unidos, la incidencia anual del cordoma es aproximadamente 1 en un millón (300 nuevos pacientes cada año).[4]
Mientras que la mayoría de las personas con cordoma no tiene otro miembro de la familia con la enfermedad, casos de tumores en varios miembros de una misma familia han sido documentados. Este hecho sugiere que algunas personas pueden estar genéticamente predispuestas a desarrollar este tumor. Para dilucidar la existencia de estos factores genéticos o hereditarios de riesgo, científicos del Instituto Nacional del Cáncer de Estados Unidos está desarrollando el Estudio del Cordoma Familiar, para encontrar los genes implicados en el desarrollo de este tumor.[5]
Anatomía patológica

Los cordomas son tumores de lento crecimiento, con una duración de los síntomas antes del diagnóstico de más de cinco años. Aproximadamente un 50% se localizan en la zona sacrococcígea, 35% en el área esfeno-occipital del cráneo y el resto a lo largo de la columna vertebral. Los tumores sacrococcígeos son más frecuentes en la quinta y sexta décadas de la vida, mientras que muchos de los esfeno-occipitales ocurren en niños y adolescentes. En los primeros, una porción del sacro es destruida por una reacción osteolítica, o más raramente, por una proceso osteoblástico. El espacio retroperitoneal es frecuentemente invadido por extensión directa. El tumor puede crecer lo suficiente como para obstruir la luz del intestino grueso, incidir sobre la vejiga o infiltrar la piel por extensión directa. Los cordomas esfeno-occipitales pueden presentarse como masas nasales, paranasales o nasofaríngeas, como afectación múltiple de nervios craneales o con destrucción ósea. Excepcionalmente, pueden causar hemorragia aguda pontocerebelar fatal.[6]
Macroscópicamente, se trata de una masa gelatinosa y blanda que contiene áreas de hemorragia.
Microscópicamente, recuerda al tejido notocordal normal en sus distintos estadios de desarrollo. Crece en cordones celulares y lóbulos de células separados por una cantidad variable de tejido mucoide intercelular. Algunas de las células neoplásicas (conocidas como fisalíferas) son extremadamente grandes, con citoplasmas vacuolados y núcleos vesiculares prominentes. Algunas de las vacuolas citoplásmicas contienen glucógeno. Otras células tumorales son pequeñas, con núcleos inaparentes y sin nucléolos visibles. Generalmente hay pocas mitosis, o estas ausentes. Puede haber áreas de cartílago o hueso. Hay tres variantes histopatológicas del cordoma: clásica o convencional (la descrita), condroide y desdiferenciada.[7]
Ultraestructuralmente, las células notocordales muestran un complejo mitocondria-retículo endoplásmico rugoso peculiar, así como paquetes paralelos de microtúbulos entrecruzados a través del retículo endoplásmico rugoso.
Inmunohistoquímicamente, las células neoplásicas muestran reactividad para proteína S100, proteína gliofibrilar ácida (GFA), queratina, antígeno epitelial de membrana, HBME-1, cathepsina K y E-caderina, y raramente para antígeno carcinoembrionario (CEA). El material extracelular contiene colágeno de prácticamente todos los tipos.
La historia natural de este tumor se caracteriza por episodios repetidos de recurrencia local con desenlace fatal frecuentemente. Las recurrencias se pueden desarrollar diez o más años después de la terapia inicial. Las metástasis a distancia son también tardías en la evolución de la enfermedad. Los sitios más frecuentes de las mismas son la piel y el hueso, pero pueden ocurrir en muchos otros lugares, incluido el ovario.
Biología tumoral
- La vía de señalización mTOR está hiperactivada en los cordomas sacros esporádicos: en un estudio, se demostró mediante inmunohistoquímica que 10 de los 10 cordomas mostraban fosforilación de la proteína ribosomal s6 y de EIF4EBP1.[8]
- Se ha observado una deficiencia parcial o completa del gen PTEN en casi todos los cordomas sacros[8]
Pronóstico y tratamiento
En un estudio, la relación de supervivencia a los 10 años fue del 46%.[9] Los cordomas condroides parecen tener un curso clínico más indolente.
En la mayoría de los casos, una resección quirúrgica completa, seguida de radioterapia, ofrece la mejor opción para un control a largo plazo de la enfermedad.[10] Una resección incompleta del tumor primario hace más difícil el control de la enfermedad e incrementa la probabilidad de recurrencia.
Los cordomas son tumores relativamente radio-resistentes, de manera que requieren altas dosis de radiación para ser controlados. La cercanía a estructuras neurológicas vitales como el tronco cerebral y los nervios, limita la dosis de radiación que puede ser administrada de forma segura. Sin embargo, una alta dosis de radiación altamente focalizada, como terapia protónica y terapia con ion carbono son más efectivas que la terapia convencional con rayos-x.[11]
No hay fármacos actualmente aprobados para el tratamiento del cordoma. Un ensayo clínico llevado a cabo en Italia usando Imatinib (un inhibidor de PDGFR), demostró una modesta respuesta en algunos pacientes.[12] El mismo grupo encontró que la combinación de Imatinib con Sirolimus causó una respuesta favorable en aquellos pacientes cuyos tumores habían progresado tras ser tratados sólo con Imatinib.
Referencias
- ↑ Rosai and Ackerman's Surgical Pathology, ninth edition
- ↑ «Primary Malignant Bone Tumors: Tumors of Bones and Joints: Merck Manual Professional». Consultado el 4 de enero de 2009.
- ↑ Lee-Jones L, Aligianis I, Davies PA, et al. (septiembre de 2004). «Sacrococcygeal chordomas in patients with tuberous sclerosis complex show somatic loss of TSC1 or TSC2». Genes Chromosomes Cancer 41 (1): 80-5. PMID 15236319. doi:10.1002/gcc.20052.
- ↑ «College student fights his own cancer - Yahoo! News». Archivado desde el original el 26 de febrero de 2008. Consultado el 20 de febrero de 2008.
- ↑ «Familial Chordoma Study». Archivado desde el original el 14 de febrero de 2009. Consultado el 3 de febrero de 2009.
- ↑ Rosai, Juan (2004). Rosai and Ackerman´s Surgical Pathology. Mosby. pp. 2182-2184. ISBN 0323013422.
- ↑ Chugh R, Tawbi H, Lucas DR, Biermann JS, Schuetze SM, Baker LH (noviembre de 2007). «Chordoma: the nonsarcoma primary bone tumor». Oncologist 12 (11): 1344-50. PMID 18055855. doi:10.1634/theoncologist.12-11-1344.
- 1 2 Han S, Polizzano C, Nielsen GP, Hornicek FJ, Rosenberg AE, Ramesh V (marzo de 2009). «Aberrant Hyperactivation of Akt and Mammalian Target of Rapamycin Complex 1 Signaling in Sporadic Chordomas». Clinical Cancer Research 15 (6): 1940-6. PMC 2701205. PMID 19276265. doi:10.1158/1078-0432.CCR-08-2364.
- ↑ Fuchs B, Dickey ID, Yaszemski MJ, Inwards CY, Sim FH (2005). «Operative management of sacral chordoma». The Journal of bone and joint surgery. American volume 87 (10): 2211-6. PMID 16203885. doi:10.2106/JBJS.D.02693.
- ↑ Park L, Delaney TF, Liebsch NJ, Hornicek FJ, Goldberg S, Mankin H, Rosenberg AE, Rosenthal DI, Suit HD. Sacral chordomas: Impact of high-dose proton/photon-beam radiation therapy combined with or without surgery for primary versus recurrent tumor.
- ↑ Delaney TF, Liebsch NJ, Pedlow FX, Adams J, Dean S, Yeap BY, McManus P, Rosenberg AE, Nielsen GP, Harmon DC, Spiro IJ, Raskin KA, Suit HD, Yoon SS, Hornicek FJ. Sacral chordomas: Phase II Study of High-Dose Photon/Proton Radiotherapy in the Management of Spine Sarcomas.
- ↑ Casali PG, Messina A, Stacchiotti S, et al. (2004). «Imatinib mesylate in chordoma». Cancer 101 (9): 2086-97. PMID 15372471. doi:10.1002/cncr.20618.
Enlaces externos
- Harfe, Brian A Mouse Model of Sarcoma ESUN (August 15, 2008)
- Chordoma Foundation - organization coordinating the development of new treatments for chordoma
- Research Wiki on Chordoma (Chordoma Foundation)
- Images of Chordoma - mostly radiological (CT and MRI scans), one autopsy image
- Research information on chordoma (WikiGenes)