Comunicación interventricular
| Comunicación interventricular | ||
|---|---|---|
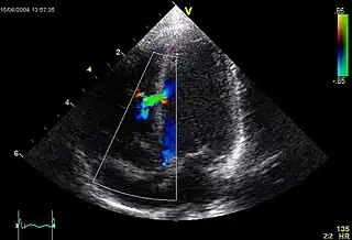
![]() Imagen ecocardiográfica de una comunicación interventricular moderada en la parte media muscular del septo interventricular. El trazado en la parte inferior izquierda muestra el flujo durante un ciclo cardíaco completo y la marca roja el momento del ciclo cardíaco en el que la imagen fue capturada. Los colores representan la velocidad del flujo sanguíneo. El flujo va desde el ventrículo derecho al ventrículo izquierdo (a la izquierda de la imagen). El tamaño y la posición es típica de una CIV en el período neonatal. | ||
| Especialidad | genética médica | |
La comunicación interventricular (CIV) es la cardiopatía congénita[1] más frecuente, caracterizada por el cierre incompleto del tabique interventricular—la pared que divide los dos ventrículos del corazón—lo que permite la comunicación libre entre ambos ventrículos. Con frecuencia se asocia a otros defectos estructurales, como la tetralogía de Fallot y el síndrome de Down.[2] Algunos estudios han mostrado que la CIV tiene una prevalencia entre el 2-5% de los nacimientos y que en el 80-90% de los casos se cierra poco después del nacimiento.[3][4] La comunicación interventricular puede también formarse pocos días después de un infarto de miocardio[5] (ataque al corazón) por el desgarre mecánico de la pared interventricular antes de que se forme la cicatriz característica de la enfermedad durante la remodelación del tejido muerto por macrófagos.
Clasificación
La comunicación interventricular se clasifica de acuerdo con el tamaño y la localización del agujero.
- CIV membranosa: un 75% o más de los casos se encuentra en la porción superior membranosa del tabique.
- CIV infundibular: se localiza por debajo de la válvula pulmonar.
- CIV muscular: el defecto se encuentra en la porción inferior muscular del tabique. Las CIV apicales pertenecen a este grupo. Se presenta en hasta el 20 por ciento de todos los casos de CIV.[1]
Manifestaciones clínicas

Los defectos del septo interventricular son usualmente asintomáticos al nacimiento. Usualmente se empiezan a manifestar unas pocas semanas a partir del nacimiento. La CIV es un defecto congénito cardíaco acianotico, porque se establece un cortocircuito de izquierda a derecha, por lo cual no existen signos de cianosis. En el examen físico pueden presentar un soplo Holosistolico (depende de la magnitud del defecto) +/- frémito palpable (expresión clínica palpable de la turbulencia del flujo sanguíneo). Los ruidos cardíacos suelen ser normales, en defectos pequeños a moderados. Grandes defectos septales pueden llegar a cursar con un intenso latido paraesternal (palpable y visible) y un desplazamiento del choque de punta, ambos como resultado de la dilatación ventricular. Un bebé con un gran defecto generalmente se presenta acianotico, con retraso pondoestatural, hipersudoración y disnea, llegando en etapas tardías hacia la insuficiencia cardíaca.
Morfología
La mayoría de las comunicaciones interventriculares son defectos únicos aunque pueden ser múltiples. Por lo general tienen el tamaño aproximado al de la válvula aórtica. Los defectos más pequeños suelen ser musculares y un 50% de ellos cierra espontáneamente. Los defectos grandes suelen ser membranosos o infundibulares y generalmente permanecen permeables. Existe hipertrofia ventricular derecha e hipertensión pulmonar y, con el tiempo, insuficiencia cardíaca. En los defectos grandes, cuando no se operan, se invierte el shunt, hay cianosis y muerte.
Etiología
La comunicación interventricular aparece en el feto durante su desarrollo cardíaco en la que al formarse las cámaras del corazón, permanece un orificio acuático que continúa presente hasta el nacimiento. La causa de este trastorno no se conoce.[6]
Referencias
- 1 2 University of Virginia Health Topics. «Comunicación Interventricular (CIV)». Archivado desde el original el 29 de agosto de 2008. Consultado el 9 de mayo de 2008.
- ↑ Wells GL, Barker SE, Finley SC, Colvin EV, Finley WH. Congenital heart disease in infants with Down's syndrome. South Med J. 1994 Jul;87(7):724-7. PMID 8023205.
- ↑ Hiraishi S, Agata Y, Nowatari M, Oguchi K, et al. Incidence and natural course of trabecular ventricular septal defect: Two-dimensional echocardiography and color Doppler flow image study. J Pediatr 1992;120:409-15.
- ↑ Roguin N, Du ZD, Barak M, Nasser N, Hershkowitz S, Milgram E. High prevalence of muscular ventricular septal defect in neonates. J Am Coll Cardiol 1995 November 15;26(6):1545-8
- ↑ Bruckheimer E. Ventricular septal defect. Medical Encyclopedia - MedlinePlus.org, URL: http://www.nlm.nih.gov/medlineplus/ency/article/001099.htm. Accessed on December 5, 2005.
- ↑ por MedlinePlus (mayo de 2006). «Comunicación interventricular». Enciclopedia médica en español.
