Colitis microscópica
| Colitis Microscópica | ||
|---|---|---|
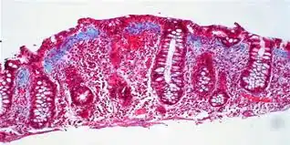
![]() Un aumento del número de linfocitos epiteliales con una inflamación anormal a nivel microscópico. | ||
| Especialidad | gastroenterología | |
La colitis microscópica es una enfermedad autoinmune que produce una inflamación a nivel microscópico a lo largo de todo el colon. Esta enfermedad es caracterizada por la presencia de diarrea crónica, en la que los estudios analíticos, radiológicos y endoscópicos habituales son normales o presentan alteraciones leves e inespecíficas, siendo necesario para su diagnóstico el tomar biopsias del colon y analizarlas al microscopio. Es una entidad cada vez más diagnosticada (probablemente porque se piensa más en ella). El grupo de edad más afectado está entre la 5ª-7ª década, aunque también puede aparecer en gente joven, incluso en niños. Es más frecuente en mujeres. Se puede asociar a otros problemas, como la enfermedad celíaca o a enfermedades reumáticas o tiroideas. Su causa no es aún bien conocida, barajándose diversas hipótesis (alteraciones del metabolismo de una sustancia llamada colágeno, mecanismo autoinmune, infeccioso, alergia a fármacos, hereditario,...). Existen dos tipos fundamentales de colitis microscópicas: la colitis colágena y la colitis linfocítica, cuyos síntomas y hallazgos en las biopsias del colon son muy similares. Solo se diferencian en que la colitis linfocítica suele diagnosticarse en un tiempo más corto y tiene, aparentemente, un curso menos crónico, en comparación con la colitis colágena.[1]
Epidemiología
Es una enfermedad poco frecuente, se calcula una prevalencia en Europa de 14 casos por 100.000 habitantes, siendo el número de casos nuevos (incidencia) de alrededor 4 por 100.000 habitantes y año, es más habitual en mujeres y a partir de los 50 años, aunque puede aparecer en cualquier edad, puesto que ha habido casos de niños y adolescentes con esta enfermedad.
Etiología
Las causas de esta enfermedad se desconocen aunque la teoría más aceptada es que es una Enfermedad autoinmune, según esta teoría el sistema inmunitario de la persona que padece de esta enfermedad ataca a la bacterias que habitan en el colon de manera exagerada al igual que ataca la mucosa intestinal produciendo así la inflamación crónica de la misma. Otras hipótesis no muy estudiadas dicen que se debe a alteraciones del metabolismo de la proteína colágeno (originado en procesos infecciosos, alergia a fármacos, hereditario,...). Esta enfermedad se ha asociado a fenómenos autoinmunes como la Enfermedad celíaca , a la Diabetes mellitus tipo I , enfermedades autoinmunes de la tiroides , a la artritis reumatoide , etc.[2]
Cuadro clínico
Diagnóstico
El diagnóstico se hace gracias al estudio microscópico de las biopsias de colon, ya que el resto de las exploraciones habitualmente hechas a estos pacientes (análisis, estudios radiológicos, colonoscopia) suelen ser normales o mostrar hallazgos inespecíficos sin valor diagnóstico. El estudio de las biopsias permite distinguir entre los dos subtipos más frecuentes de colitis microscópicas: la colitis colágena, definida por la presencia de una banda gruesa de fibras colágenas por debajo del epitelio (células que recubren el intestino por dentro), y la colitis linfocítica, en la que hay acúmulo de linfocitos en número excesivo a nivel del epitelio del colon. Existen casos mixtos, en los que no se puede distinguir entre ambos procesos, que por lo demás comparten unas características clínicas comunes. A veces la afectación colónica es parcheada, por lo que, si la sospecha clínica es elevada, es conveniente tomar múltiples biopsias de colon en sus diferentes tramos, lo cual aumenta la rentabilidad diagnóstica. La afectación suele ser más grave a nivel de colon derecho.
Tratamiento
El tratamiento de esta entidad aún no está bien definido, debido a la ausencia de estudios con series amplias de pacientes y al carácter intermitente del cuadro, que dificulta la valoración de la eficacia de los fármacos empleados. Su manejo depende de la severidad del cuadro. Habitualmente se comienza con tratamiento sintomático con antidiarreicos (loperamida) y suspendiendo el consumo de antiinflamatorios no esteroideos (AINE) si lo hubiera, ya que se ha observado que estos fármacos pueden activar o empeorar la enfermedad. Esto mejora al 30% de los pacientes. En pacientes que no responden a estas medidas puede realizarse tratamiento con budesonida, un corticoide que actúa localmente en la mucosa del intestino, con el que se han obtenido buenos resultados. El siguiente escalón terapéutico incluye la utilización de salicilatos, un grupo de fármacos con actividad antiinflamatoria local a nivel de la mucosa del intestino. Se puede intentar un tratamiento de prueba con colestiramina, un fármaco que secuestra las irritantes sales biliares, que es útil si hay malabsorción de sales biliares asociada. En casos más graves o resistentes a los tratamientos citados, se indican esteroides con efecto sistémico (p. ej. prednisona). Es importante descartar otras enfermedades que pueden originar síntomas similares (síndrome intestino irritable, infecciones y parasitosis intestinales, alteraciones tiroideas,...), así como la toma de fármacos que los pueden simular (ticlopidina). Otros tratamientos (metronidazol, octreótido, metotrexato, azatioprina, verapamilo, subsalicilato de bismuto, probióticos,...) no han demostrado suficientemente su utilidad, por lo que no deben emplearse de modo rutinario. En casos muy graves, de manera excepcional, puede ser necesaria la cirugía. No está clara la utilidad de un tratamiento de mantenimiento para evitar la reactivación de la enfermedad.
Evolución
Esta es una entidad con una evolución "benigna", en el sentido de que no evoluciona a otros cuadros graves (tumores,...) y habitualmente no produce una afectación importante del estado general. En la actualidad hay casos en los que esta enfermedad evoluciona a otro tipo más grave como colitis ulcerosa. Aun así no produce complicaciones importantes, ni condiciona un aumento de mortalidad en relación con la población general. Estas personas pueden llevar una vida absolutamente normal.
Referencias
- ↑ Rasmussen MA, Munck LK (julio de 2012). «Systematic review: are lymphocytic colitis and collagenous colitis two subtypes of the same disease - microscopic colitis?». Aliment Pharmacol Ther (Revisión) 36 (2): 79-90. PMID 22670660. doi:10.1111/j.1365-2036.2012.05166.x.
- ↑ «Colitis microscópica y en enfermedad celiaca maligna, asociación. Consultado el 05/11/2013.». Archivado desde el original el 5 de noviembre de 2013. Consultado el 8 de septiembre de 2013.
- ↑ consultado el 5 de noviembre de 2013.
