Adrenoleucodistrofia
| Adrenoleucodistrofia | ||
|---|---|---|
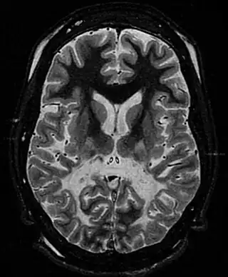
![]() Sustancia blanca, con volumen reducido y aumento de la intensidad de la señal. La sustancia blanca anterior está respetada. Las características son compatibles con la adrenoleucodistrofia ligada al cromosoma X. | ||
| Especialidad |
endocrinología genética | |
La adrenoleucodistrofia es una enfermedad hereditaria transmitida por el cromosoma X incluida en el grupo de las leucodistrofias. Produce una desmielinización intensa y la muerte prematura en niños. La adrenomieloneuropatía se asocia a una neuropatía mixta, motora y sensorial, con paraplejía espástica en los adultos. ambos procesos cursan con niveles circulantes elevados de ácidos grasos de cadenas muy largas que provocan varios trastornos incluida la insuficiencia suprarrenal.[1]
Bioquímica de la adrenoleucodistrofia
La adrenoleucodistrofia (ALD), es una patología producida por el incorrecto funcionamiento del peroxisoma, un orgánulo celular. Este trastorno es consecuencia del mal funcionamiento del metabolismo de los ácidos grasos de cadena larga. Estos ácidos grasos de cadena larga deben ser rotos por los peroxisomas antes de que puedan servir para realizar el proceso de beta oxidación.
La adrenoleucodistrofia es un trastorno hereditario caracterizado por un trastorno metabólico en los ácidos grasos de cadenas muy largas. De acuerdo con la bioquímica humana, se sabe que los ácidos grasos de hasta 16 carbonos pueden entrar en la beta oxidación llevada a cabo en la mitocondria. Pero, si el ácido graso posee más de 16 carbonos, necesita la presencia de otro orgánulo, el peroxisoma. Este, con ayuda de enzimas especializadas, va cortando los ácidos grasos de cadenas muy largas hasta que alcanzan una longitud máxima de 16 carbonos. A partir de ahí, se produce el proceso normal de la beta oxidación de los ácidos grasos.
En primera instancia, la ALD se asociaba a una deficiencia de la enzima CoA ligasa peroxisomal de ácidos grasos de cadena muy larga, enzima que une la coenzima A con un ácido graso.
Investigaciones recientes han demostrado que el fallo no es propiamente esta enzima, sino una proteína presente en la membrana del peroxisoma, la proteína ALD. Funciona como una proteína trasportadora que permite el ingreso de la enzima CoA ligasa peroxisomal al interior del peroxisoma. La unión de la CoA y un ácido graso permite su beta oxidación. Como la enzima no puede entrar, la CoA y el ácido graso de cadena larga no pueden unirse, por lo que no hay beta oxidación, no hay ATP y la proteína-ALD, que es una macromolécula, cuyo correcto funcionamiento requiere de ATP (ATPasa), no puede realizar su función (meter la CoA ligasa peroxisomal).
Al haber una disfunción en la vía oxidativa de los ácidos grasos de cadena muy larga, estos se acumulan, tanto en tejidos como en los fluidos corporales, lo que desencadena los síntomas propios de la enfermedad.
Esta enfermedad se caracteriza por la presencia de una degeneración progresiva de la corteza suprarrenal y motora, lo que produce una insuficiencia suprarrenal o Enfermedad de Addison, asociada a la desmielinización de la sustancia blanca del sistema nervioso central (sistema formado por el encéfalo y la médula espinal), con pérdida de la cubierta de mielina (vaina de sustancia blanca que recubre los nervios) de un tipo de fibras nerviosas del cerebro.
Genética
La ALD es causada por mutaciones en el gen ABCD1, ubicado en el cromosoma X brazo largo posición q28 (153,724,856-153,744,755) con 19,900 pares de bases y demuestra herencia recesiva. El gen ABCD1 codifica la proteína ABCD1 un transportador de membrana peroxisomal que es responsable del transporte del sustrato de ácidos grasos de cadena muy larga en los peroxisomas para su degradación.[2] Las mutaciones en este gen que interfieren con ese proceso causan este síndrome.
Formas de presentación clínica
Las formas de adrenoleucodistrofia ligadas al cromosoma X son las siguientes: Adrenoleucodistrofia de aparición en la niñez. Esta forma de la adrenoleucodistrofia ligada al cromosoma X suele aparecer entre los 4 y los 10 años. La sustancia blanca del cerebro se daña progresivamente (leucodistrofia), y los síntomas empeoran con el tiempo. Si no se diagnostica de manera temprana, la adrenoleucodistrofia de aparición en la niñez puede producir la muerte en cinco a diez años.
Adrenomieloneuropatía. Esta forma de adrenoleucodistrofia de aparición en la adultez es un tipo menos grave y de evolución lenta que provoca síntomas, como marcha rígida y mal funcionamiento de la vejiga y de los intestinos. Las mujeres que son portadoras de la adrenoleucodistrofia pueden padecer una forma leve de adrenomieloneuropatía.
Tratamiento
Los médicos utilizan una mezcla de ácido oleico y ácido erúcico conocida como el "aceite de Lorenzo" como tratamiento. Se trata de una mezcla de ácidos grasos que reduce los niveles de ácidos grasos de cadena muy larga, los cuales son la causa principal de la adrenoleucodistrofia (ALD), por medio de la competencia por la enzima.
El New England Journal of Medicine en 2005, reportó que en unas pruebas con varios individuos que sufrían de adrenomieloneuropatía no encontraron evidencias satisfactorias. Sin embargo, en el trabajo de Moser (entre ellos el propio Odone)[3] se recoge que de 89 niños diagnosticados de ALD-X que eran asintomáticos y que empezaron a tomar el aceite de Lorenzo en ese instante, tan sólo en un 24% de los casos terminaron desarrollando anomalías recogidas en resonancia magnética y en un 11% anomalías de neuroimagen y neurológicas, con control del deterioro en el resto de los niños (76 y 89%, respectivamente). En algunas ocasiones se puede tratar con esteroides suplementarios, tales como el cortisol, si la glándula suprarrenal no está produciendo suficientes hormonas; y para la adrenoleucodistrofia ligada al cromosoma X, se podría llevar a cabo un proceso de trasplante de médula ósea para poder curar a las personas que tienen esta enfermedad.
Referencias
- ↑ Alsaleem, Mahdi; Saadeh, Lina (2024). Adrenoleukodystrophy. StatPearls Publishing. Consultado el 9 de febrero de 2024.
- ↑ Hung K-L., Wang J-S. Keng W.T., Chen H-J., Liang J-S., Ngu L.H., Lu J-F (septiembre de 2013). «Mutational Analyses on X-Linked Adrenoleukodystrophy Reveal a Novel Cryptic Splicing and Three Missense Mutations in the ABCD1 Gene». Pediatric Neurology 49 (3): 185-190. PMID 23835273. doi:10.1016/j.pediatrneurol.2013.04.021.
- ↑ Moser, HW; Raymond GV, Lu S-E, Muenz LR, Moser AB, Xu J, Jones RO, Loes DJ, Melhem ER, Dubey P, Bezman L, Brereton NH, Odone A (2005). «Follow-up of 89 asymptomatic patients with adrenoleukodystrophy treated with Lorenzo's Oil.». Archives of Neurology 62 (7): p. 1073-80. PMID 16009761. doi:10.1001/archneur.62.7.1073.
Enlaces externos
- Una terapia génica tiene éxito contra la enfermedad ALD Archivado el 24 de diciembre de 2007 en Wayback Machine.
- La alternativa al aceite de Lorenzo se encuentra en París
