Absceso periamigdalino

Absceso periamigdalino

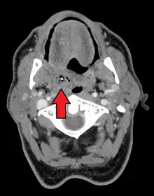
Absceso periamigdalar del lado derecho
Especialidad otorrinolaringología
Síntomas Fiebre , dolor de garganta, dificultad para abrir la boca, cambio en la voz.
Complicaciones Bloqueo de las vías respiratorias, neumonitis por aspiración. En raras ocasiones, neumonía o absceso pulmonar después de la aspiración de un absceso roto.[1]
Factores de riesgo Faringitis estreptocócica
Diagnóstico diferencial

Infecciones dentales, Epiglotitis, Mononucleosis infecciosa por VEB, Faringitis

Absceso retrofaríngeo[1]
Tratamiento Eliminar pus, antibióticos, líquidos, analgésicos, esteroides.[1]
Sinónimos
  • Absceso amigdalar
  • Absceso amigdalino
  • Absceso periamigdalar
  • Absceso peritonsilar

El absceso periamigdalino es una acumulación de material infectado alrededor de las amígdalas palatinas.[2][1] El absceso periamigdalino generalmente se debe a una infección por varios tipos de bacterias.  A menudo sigue a una faringitis estreptocócica.  Por lo general, no ocurren en personas que se han sometido a una amigdalectomía.  El diagnóstico generalmente se basa en los síntomas.  Se pueden realizar imágenes médicas para descartar complicaciones.

El tratamiento consiste en eliminar el pus, antibióticos , suficientes líquidos y analgésicos.  Los esteroides también pueden ser útiles.  Generalmente no es necesario el ingreso en el hospital.  Los adultos jóvenes son los más comúnmente afectados.[3]

Epidemiología

El absceso de las amígdalas es una enfermedad que ocurre sobre todo en niños mayores, adolescentes y adultos jóvenes. Actualmente es muy poco común, desde la introducción del uso de antibióticos para tratar la amigdalitis.[4]

Causas

Es el resultado de una complicación de la amigdalitis y está causada por un tipo de bacterias llamadas estreptococos beta-hemolíticos del grupo A.[5]

Cuadro clínico

Los síntomas y signos clínicos más frecuentes son odinofagia (dolor al tragar), disfagia (dificultad para comer), fiebre, ganglios de la mandíbula y garganta sensibles, hinchazón cervical o facial, cefalea (dolor de cabeza), o capacidad limitada y dolor al abrir la boca, entre otros.[6]

Complicaciones[7]

La infección se puede diseminar al paladar, al cuello y al tórax, incluyendo los pulmones. Los tejidos inflamados pueden obstruir las vías respiratorias, lo cual constituye una emergencia médica potencialmente mortal.

Las complicaciones son raras, pero incluyen:

Diagnóstico

Imagen de tomografía axial computarizada con un absceso periamigdalino derecho.

Se suele descubrir al inspeccionar la orofaringe (garganta) presentando hinchazón en un lado y en el paladar. La úvula puede estar desplazada.[8]

Para confirmar el diagnóstico se pueden realizar pruebas complementarias:

Tratamiento

Si la infección es bacteriana, se pueden suministrar antibióticos y analgésicos. También se debe drenar el absceso mediante cirugía. Además, se puede considerar la posibilidad de extirpar las amígdalas mediante cirugía (amigdalectomía).[9]

Véase también

Referencias

  1. 1 2 3 4 Gupta, Gunjan; McDowell, Rachel H. (2024). Peritonsillar Abscess. StatPearls Publishing. Consultado el 21 de marzo de 2024.
  2. Absceso periamigdalino. MedlinePlus. 25/11/2014.
  3. Galioto, Nicholas J. (15 de abril de 2017). «Peritonsillar Abscess». American Family Physician (en inglés estadounidense) 95 (8): 501-506. Consultado el 21 de marzo de 2024.
  4. Duelo Marcos MM, Arroba Basanta ML, Escribano Ceruelo E. Absceso periamigdalino. Guía ABE. 17/09/2015.
  5. «Leibowitz MR. Absceso periamigdalino. P.L.A. Export Editores. Consultado el 7/8/2016.». Archivado desde el original el 28 de agosto de 2016. Consultado el 7 de agosto de 2016.
  6. Abscesos periamigdalinos. The Nemours Foundation. Consultado el 7/8/2016.
  7. Klug, Tejs Ehlers; Greve, Thomas; Hentze, Malene (30 de julio de 2020). «Complications of peritonsillar abscess». Annals of Clinical Microbiology and Antimicrobials 19: 32. ISSN 1476-0711. PMC 7391705. PMID 32731900. doi:10.1186/s12941-020-00375-x. Consultado el 9 de noviembre de 2021.
  8. «Sociedad Española de Otorrinolaringología. Absceso periamigdalino. SOS ORL Guía de Práctica Clínica en Otorrinolaringología. Universidad de Oviedo. Consultado el 7/8/2016.». Archivado desde el original el 19 de marzo de 2017. Consultado el 7 de agosto de 2016.
  9. Gómez C, Pruzzo E, Reyes E, Contreras MA, Contreras JM, Vergara V. Absceso y flegmón periamigdalino ¿Lo estamos haciendo bien? Rev Otorrinolaringol Cir Cabeza Cuello. 2006; 66:185-90.

Enlaces externos

Este artículo ha sido escrito por Wikipedia. El texto está disponible bajo la licencia Creative Commons - Atribución - CompartirIgual. Pueden aplicarse cláusulas adicionales a los archivos multimedia.