Absceso cerebral
| Absceso cerebral | ||
|---|---|---|
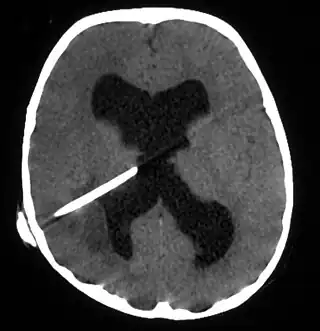
![]() Absceso cerebral en una persona con una derivación de LCR. El absceso es la región gris más oscura en la parte inferior izquierda de la imagen (que corresponde al lóbulo parietal derecho). Los ventrículos laterales son visibles en negro en el centro del cerebro, adyacentes al absceso.[1] | ||
| Especialidad |
neurología infectología | |
Absceso cerebral es la infección supurativa y focal dentro del parénquima cerebral, rodeado típicamente de una cápsula vascularizada. Los sitios de afectación más frecuentes son: Fronto-temporal, fronto-parietal, cerebelar y occipital.[2]
Causas[3]
Por diseminación desde un foco de infección craneal continuo
A partir de las áreas necróticas de la osteomielitis en la pared posterior del seno frontal, los senos esfenoidales y etmoidales, sinusitis paranasales, infecciones dentales, mastoiditis y otitis media.
Los abscesos otogenos (que se generan en el oído) predominan en el lóbulo temporal y el cerebelo, los microorganismos implicados con mayor frecuencia son estreptococos, especies de Bacteroides, Pseudomonas, Haemophilus y Enterobacteriaceae. Los abscesos producto de la propagación desde los senos frontales, etmoidales o esfenoidales y los debidos a infecciones dentales se localizan más frecuentemente en el lóbulo frontal y los patógenos detectados con más frecuencia son estreptococos (en particular S.milleri), especies de Haemophilus, Bacteorides, Pseudomonas y S.aureus.
Por diseminación hematógena desde un foco distante
Son aproximadamente un 25% de los casos, son comúnmente múltiples y tienen predilección por la arteria cerebral media en los lóbulos frontal o parietal en su zona posterior.
Los aspectos microbiológicos de estos abscesos dependen de la infección primaria y el sitio en el que se encuentre. Por ejemplo: los abscesos asociados a infecciones pulmonares piógenos como absceso pulmonar o bronquiectasias son ocasionados a menudo por Estreptococos, Estafilococos, especies de Bacteroides, especies de Fusobacterium o Enterobacterias, los que ocurren como complicación de endocarditis infecciosa son causados comúnmente por Estreptococos viridans o S. aureus.
Posterior a un trauma cefálico penetrante o un procedimiento
Frecuentemente a causa de S. aureus resistentes a meticilina, enterobacterias, S. epidermidis, especies de Clostridium, especies de Pseudomonas.[2][4] [5]
Patogenia e histopatología
Una vez que las bacterias establecieron la infección, el absceso evoluciona a lo largo de diversas etapas, que se ven influenciadas por la naturaleza del microorganismo infectante y por la respuesta inmunitaria del hospedador. las 4 etapas de formación del absceso son las siguientes:
- Inflamación precoz: se presenta del primer al tercer día, se caracteriza por la presencia de un infiltrado perivascular de las células inflamatorias que rodean un núcleo central de necrosis coagulante y la lesión está rodeada por un edema intenso.
- Inflamación tardía: presente entre el cuarto y el noveno día, se forma pus que origina un agrandamiento del centro necrótico que aparece rodeado de un infiltrado inflamatorio de macrófagos y fibroblastos, la zona circulante de edema cerebral se diferencia más que en la etapa anterior.
- Formación de la cápsula que se produce más en el lado cortical que en el lado ventricular de la lesión y se presenta día diez al trece.
- Formación tardía de la cápsula: del día catorce en adelante, la presencia de un centro necrótico bien formado y rodeado por una densa cápsula de colágeno. Por fuera de la cápsula ocurre una intensa gliosis con muchos astrocitos reactivos.[2]
Manifestaciones clínicas
En el absceso cerebral la clínica es variable, depende de la localización (supratentorial o infratentorial), evolución, agente patógeno, tamaño del absceso, número de abscesos, estado inmunológico del paciente, entre otros factores.[6]
La tríada patognomónica del absceso está constituida por cefalea, fiebre y déficit focal, pero solo aparece en 50% de los casos. En algunos casos, el paciente puede estar asintomático, presentarse como coma o como herniación cerebral.
La cefalea está presente en 75% de los pacientes; es constante, de la mitad del cráneo o generalizada, progresiva, y sin mejoría con analgésicos. La fiebre aparece en 50% de los pacientes, normalmente de bajo grado e intermitente. Más de un 60% de los pacientes presentan un déficit neurológico focal que incluye afasia y hemiparesia. En un 35 a 40% de los casos se presentan crisis convulsivas de tipo focal o generalizadas. En caso de focos sinusales que afectan el lóbulo frontal, pueden producir hemiparesia. Los abscesos óticos afectan al lóbulo temporal en 65% de los casos y producen disfasia o cuadrantanopsia homónima superior.
El nistagmo y la ataxia son signos de afección cerebelar. Los signos meníngeos (Kernig y Brudzinsky) hacen sospechar la ruptura del absceso al sistema ventricular. Pueden generar hipertensión intracraneal, manifestada por náuseas, vómito, somnolencia y papiledema. También puede presentarse como crisis convulsivas, principalmente del tipo generalizadas, que pueden progresar a un estado epiléptico. Por último, el cuadro clínico en el anciano puede presentarse en forma de delirium, psicosis, demencia, y sin presencia de fiebre.[4][7][8]
Diagnóstico
Estudios de laboratorio
- Velocidad de eritrosedimentación: elevada en un 60% de los pacientes
- Proteína C-reactiva: elevada en un 80%
- Puede presentarse leucocitosis (aumento de los leucocitos)
- Hemocultivos positivos en ciertos casos
Estudios de imagen
- Resonancia magnética.
Tinción de gram y cultivo del material del absceso obtenido por aspiración con aguja estereotáctica guiada por tomografía computarizada.[4][7][8][9]
Diagnóstico diferencial
- Meningitis bacteriana
- Meningoencefalitis viral
- Absceso epidural
- Empiema subdural
Tratamiento
Consiste en la utilización del tratamiento médico y el drenaje neuroquirúrgico.
El tratamiento médico por sí solo no se considera adecuado para el tratamiento de absceso cerebral y se debe reservar para pacientes cuyos abscesos no puedan aspirarse ni drenarse quirúrgicamente, pacientes seleccionados con abscesos pequeños menores de 2 cm o no encapsulados y para enfermos cuyo estado general no permita una intervención neuroquirúrgica. Se basa en el uso de antibióticos por vía intravenosa por un mínimo de seis a ocho semanas y se elegirá dependiendo del sitio primario de infección.
En caso de una mala penetración al SNC, la administración local de antibióticos es una alternativa terapéutica, a través de craniectomía abierta con debridación y lavado del sistema ventricular.
Además, se puede dar terapia anticonvulsiva profiláctica y dexametasona intravenosa en pacientes con un edema considerable alrededor del absceso.[2][4][7][9]
Véase también
Referencias
- ↑ Jamjoom, Aimun AB; Waliuddin, Abrar R; Jamjoom, Abdulhakim B (31 de enero de 2009). «Brain abscess formation as a CSF shunt complication: a case report». Cases Journal 2: 110. ISSN 1757-1626. PMC 2639569. PMID 19183497. doi:10.1186/1757-1626-2-110. Consultado el 31 de agosto de 2024.
- 1 2 3 4 5 [Dan L. Longo, Dennis L. Kasper, J.Larry Jameson, Anthony S. Fauci, Stephen L. Hauser, Joseph Loscalzo. (2012). Harrison, Principios de Medicina Interna. New York, USA: McGraw-Hill Companies]
- ↑ Bokhari, Maria R.; Mesfin, Fassil B. (2021). Brain Abscess. StatPearls Publishing. Consultado el 9 de noviembre de 2021.
- 1 2 3 4 5 Brook, Itzhak (5 de octubre de 2015). Brain Abscess.
- ↑ Sudhaharan, S. (2016). «Anaerobic brain abscess». Iran J Microbiol. 8 (2): 120-124.
- ↑ Brouwer, Matthijs C.; Coutinho, Jonathan M.; van de Beek, Diederik (4 de marzo de 2014). «Clinical characteristics and outcome of brain abscess: systematic review and meta-analysis». Neurology 82 (9): 806-813. ISSN 1526-632X. PMID 24477107. doi:10.1212/WNL.0000000000000172. Consultado el 31 de agosto de 2024.
- 1 2 3 Molina de Dios, Guillermo Antonio; Armijo Yescas Elizabeth; Mimenza Alvarado Alberto (2010). «Absceso cerebral». Revista Mexicana de Neurociencia 11 ((1)): 63-70.
- 1 2 Alberto Fica C., Patricio Bustos G. y Gonzalo Miranda C.. ((2006).). «Absceso cerebral. A propósito de una serie de 30 casos.». Revista chilena de infectología 23 (2): 140-149.
- 1 2 [Matthijs C. Brouwer, Allan R. Tunkel, Guy M. McKhann II, Diederik van de Beek. (2014). Brain Abscess. New England Journal of Medicine, 371(5), 447-456]
Bibliografía
- Dan L. Longo, Dennis L. Kasper, J.Larry Jameson, Anthony S. Fauci, Stephen L. Hauser, Joseph Loscalzo. (2012). Harrison, Principios de Medicina Interna. New York, USA: McGraw-Hill Companies.
- Alberto Fica C., Patricio Bustos G. y Gonzalo Miranda C.. (2006). Absceso cerebral. A propósito de una serie de 30 casos. Revista chilena de infectología, 23 (2), 140-149
- Iran J Microbiol. (2016). Anaerobic brain abscess. Iranian Journal of Microbiology, 8(2), 120–124
- Matthijs C. Brouwer, Allan R. Tunkel, Guy M. McKhann II, Diederik van de Beek. (2014). Brain Abscess. New England Journal of Medicine, 371(5), 447-456
