Amalgama (química)

Una amalgama es una mezcla de mercurio con otro metal. Puede ser un líquido, una pasta blanda o un sólido, dependiendo de la proporción de mercurio. Estas aleaciones se forman mediante enlace metálico,[1] con la fuerza de atracción electrostática de los electrones de conducción trabajando para unir todos los iones metálicos cargados positivamente en una estructura de red de cristal.[2] Casi todos los metales pueden formar amalgamas con el mercurio, siendo las excepciones notables el hierro, el platino, el tungsteno y el tantalio. Las plata-mercurio amalgamas son importantes en odontología, y la amalgama de oro-mercurio se utiliza en la extracción de oro de mineral. La odontología ha utilizado mezclas de mercurio con metales como la plata, el cobre, el indio, el estaño y el zinc.
El diccionario de lengua española de la Real Academia Española refiere como segunda acepción que una amalgama en el campo de la química es una aleación de mercurio con otro u otros metales, como oro, plata, etc., generalmente sólida o casi líquida.[3]
Características
Las amalgamas pueden ser:
- Líquidas, cuando predomina el mercurio
- Sólidas, cuando este se halla en ellas en menor cantidad que el metal al cual está unido
Todas son blancas, brillantes y susceptibles de cristalizar. Expuestas al aire, las formadas por metales oxidables se alteran con prontitud; el calor las descompone a todas volatilizando el mercurio, el cual puede inducir envenenamiento por mercurio en la mayoría de los seres vivos. El ácido nítrico obra por medio de un dulce calor sobre todas las amalgamas, disuelve el mercurio a veces con los metales con que está unido, otras veces oxidándolos solamente y separándolos en el estado de óxidos y finalmente, respecto a los que son inalterables por dicho ácido, hay eliminación de estos a consecuencia de la disolución del mercurio en el ácido nítrico que pasa al estado de protonitrato o de deutonitrato ácido.
Tipos de amalgamas
Las amalgamas de uso más frecuente en las artes han sido:
- Amalgama de bismuto. El mercurio forma con el bismuto una combinación en parte líquida y en parte cristalizada, que pasa a ser completamente fusible a una temperatura poco elevada. Se prepara directamente añadiendo una parte de bismuto fundido a 4 partes de mercurio calentado a cerca de 300°. Se ha empleado para estañar los globos de vidrio y darles así una apariencia metálica.
- Amalgama de dentistas. Ver Amalgama (odontología)
- Amalgama eléctrica. Mezcla sólida de mercurio y de estaño que servía para frotar las piezas de las máquinas eléctricas. Los constructores de estas máquinas y todos los fabricantes de instrumentos de física entregaban por lo común las bolas de amalgama a los consumidores.
- Amalgama de estaño. Este mezcla formado por tres partes de mercurio y una parte de estaño es blando, brillante y cristaliza fácilmente en cristales cúbicos: en partes iguales es muy sólido. Esta amalgama sirve para azogar las lunas de los espejos.
- Amalgama de oro. El mercurio tiene tan gran afinidad por el oro con el que combina fácilmente y produce una amalgama blanca, blanda, brillante que puede cristalizar cuando tiene el mercurio en exceso. Sirve por lo común para dorar el cobre, el latón y también la plata.
- Amalgama de plata. Está formada de ocho partes de mercurio y una parte de plata. Es empleada para platear el cobre, el latón y el bronce.
Amalgamas importantes
Amalgama de zinc
La amalgama de zinc encuentra uso en la síntesis orgánica (p. ej., para la reducción de Clemmensen).[4] Es el agente reductor en el reductor Jones, usado en química analítica. Anteriormente, las placas de zinc de las baterías secas (baterías (eléctricas)) se fusionaban con una pequeña cantidad de mercurio para evitar el deterioro durante el almacenamiento. Es una solución binaria (líquido-sólido) de mercurio y zinc.
Amalgama de potasio
Para los metales alcalinos, la amalgama es exotérmica y se pueden identificar distintas formas químicas, como KHg y KHg2.[5] KHg es un compuesto de color dorado con un punto de fusión de 178 °C, y KHg2 un compuesto de color plateado con un punto de fusión punto de 278 °C. Estas amalgamas son muy sensibles al aire y al agua, pero se pueden trabajar con nitrógeno seco. La distancia Hg-Hg es de alrededor de 300 picómetros, Hg-K alrededor de 358 pm.[5]
También se conocen las fases K5Hg7 y KHg11; rubidio, estroncio y bario undecamercurides son conocidos e isoestructurales. Amalgama de sodio (NaHg2) tiene una estructura diferente, con los átomos de mercurio formando capas hexagonales, y los átomos de sodio una cadena lineal que encaja en los agujeros de las capas hexagonales, pero el átomo de potasio es demasiado grande para que esta estructura funcione en KHg2.
Amalgama de sodio
La amalgama de sodio se produce como un subproducto del proceso de cloro-álcali y se utiliza como un importante agente reductor en la química orgánica e inorgánica. Con agua, se descompone en una solución concentrada de hidróxido de sodio, hidrógeno y mercurio, que luego pueden volver al proceso de cloro-álcali nuevamente. Si se usa alcohol absolutamente libre de agua en lugar de agua, se produce un alcóxido de sodio en lugar de la solución alcalina.
Amalgama de aluminio
El aluminio puede formar una amalgama a través de una reacción con el mercurio. La amalgama de aluminio se puede preparar moliendo gránulos o alambre de aluminio en mercurio, o permitiendo que el alambre o la hoja de aluminio reaccionen con una solución de cloruro de mercurio. Esta amalgama se utiliza como reactivo para reducir compuestos, como la reducción de iminas a aminas. El aluminio es el principal donante de electrones y el mercurio sirve para mediar en la transferencia de electrones.[6] La reacción en sí y los desechos que contiene contienen mercurio, por lo que se necesitan precauciones de seguridad y métodos de eliminación especiales. Como alternativa más respetuosa con el medio ambiente, a menudo se pueden utilizar hidruros u otros agentes reductores para lograr el mismo resultado sintético. Otra alternativa respetuosa con el medio ambiente es una aleación de aluminio y galio que, de forma similar, hace que el aluminio sea más reactivo al evitar que forme una capa de óxido.
Debido a la reactividad de la amalgama de aluminio, existen restricciones sobre el uso y la manipulación del mercurio en proximidad con el aluminio. En concreto, en la mayoría de los casos no se permite transportar grandes cantidades de mercurio a bordo de los aviones debido al riesgo de que forme amalgama con las piezas de aluminio expuestas del avión.[7] Incluso el transporte y el embalaje de termómetros y barómetros que contienen mercurio están muy restringidos.[8] Los derrames accidentales de mercurio en aeronaves a veces dan lugar a la cancelación de seguros.[9]
Amalgama de estaño
La amalgama de estaño se utilizó a mediados del siglo XIX como revestimiento de espejo.[10]
Otras amalgamas
Se conocen una variedad de amalgamas que son de interés principalmente en el contexto de la investigación.
- La amalgama de amonio es una masa gris, blanda y esponjosa descubierta en 1808 por Humphry Davy y Jöns Jakob Berzelius. Se descompone fácilmente a temperatura ambiente o en contacto con agua o alcohol:
- La amalgama de talio tiene un punto de congelación de −58 °C, que es más bajo que el del mercurio puro (−38,8 °C), por lo que ha encontrado un uso en termómetros de baja temperatura.
- Oro amalgama: oro refinado, cuando se muele finamente y se pone en contacto con mercurio donde las superficies de ambos metales están limpias, se amalgama fácil y rápidamente para formar aleaciones que van desde AuHg2 a Au8Hg.[11]
- El plomo forma una amalgama cuando las limaduras se mezclan con mercurio y también figura como una aleación natural llamada amalgama de plomo en la clasificación de níquel-Strunz.[12]
Uso en la minería
El mercurio se ha utilizado en la minería del oro y la plata por su comodidad y la facilidad con la que el mercurio y los metales preciosos se amalgaman. En la minería de aluvión de oro, en la que se lavan diminutas motas de oro de los depósitos de arena o grava, el mercurio se utilizaba a menudo para separar el oro de otros minerales pesados.
Una vez extraído todo el metal práctico del mineral, el mercurio se vertía por una larga canaleta de cobre, que formaba una fina capa de mercurio en el exterior. A continuación, el mineral de desecho se trasladaba a la canaleta y el oro de los desechos se amalgamaba con el mercurio. Esta capa se raspaba y se refinaba por evaporación para eliminar el mercurio, dejando un oro de cierta pureza.
La amalgama de mercurio se utilizó por primera vez en minerales de plata con el desarrollo del método de patios en México en 1557. También hubo otros procesos de amalgamación que se crearon para procesar minerales de plata, incluyendo la amalgamación de sartén y el proceso Washoe.
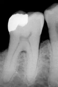
Amalgama dental

La odontología ha utilizado aleaciones de mercurio con metales como la plata, el cobre, el indio, el estaño y el zinc. La amalgama es un "material de restauración excelente y versátil"[13] y se utiliza en odontología por varias razones. Es barata y relativamente fácil de usar y manipular durante la colocación; permanece blanda durante un corto período de tiempo, por lo que puede empaquetarse para rellenar cualquier volumen irregular, y luego forma un compuesto duro. La amalgama posee una mayor longevidad en comparación con otros materiales de restauración directa, como el composite. Sin embargo, esta diferencia ha disminuido con el continuo desarrollo de las resinas compuestas.
Las amalgamas dentales modernas están hechas de dos componentes: un polvo de un compuesto de estaño-plata (Ag3Sn) y (más del 50 %) mercurio , el líquido. Durante la mezcla ("trituración"), el mercurio entra en contacto con las partículas de polvo y las partículas comienzan a dispersarse. Así, se obtiene una matriz de partículas de plata-mercurio y estaño-mercurio, con un relleno de las partículas de plata-estaño no afectadas.
Debido a que la mezcla de estaño y mercurio, la llamada fase γ2, no tiene buenas propiedades físicas (se corroe rápidamente, fuerza limitada, ...), a veces cobre se añade al polvo (o una aleación de cobre-estaño-plata, o partículas de plata-cobre añadidas a las partículas de plata-estaño). También se intentará presionar firmemente la amalgama que se ha colocado en un cavidad (odontología), para que se elimine la mayor cantidad posible de mercurio superfluo; esto se llama "condensación".
Amalgama de oro
Extracción de oro (minería)
La amalgama de oro ha demostrado su eficacia en los casos en que los finos de oro ("oro de harina") no podrían extraerse del mineral con métodos hidromecánicos. Se utilizaron grandes cantidades de mercurio en la minería aluvial, donde los yacimientos compuestos en gran parte por lodo de granito descompuesto se separaban en largos recorridos de "colas de riffle", con el mercurio vertido en la cabeza del recorrido. La amalgama que se formaba era una pesada masa sólida de color gris apagado. (El uso de mercurio en la minería aluvial del siglo XIX en California, ahora prohibido, ha causado amplios problemas de contaminación en los entornos fluviales y de estuario, que continúan hasta hoy). A veces, los mineros aficionados que buscan pepitas de oro con la ayuda de una draga/vacío de agua con motor montada en un flotador encuentran importantes trozos de amalgama en el fondo de los ríos y arroyos.
Extracción de oro (tratamiento del mineral)

Cuando se utilizaban molinos de estampación para triturar el mineral aurífero hasta convertirlo en finos, una parte del proceso de extracción implicaba el uso de placas de cobre humedecidas con mercurio, sobre las que se lavaban los finos triturados. Al raspar periódicamente la placa y volver a mercurizarla se obtenía amalgama para su posterior procesamiento.
Extracción de oro (retorta)
La amalgama obtenida por cualquiera de los dos procesos se calentaba en una retorta de destilación, recuperando el mercurio para su reutilización y dejando el oro. Como esto liberaba vapores de mercurio a la atmósfera, el proceso podía inducir efectos adversos para la salud y contaminación a largo plazo.
En la actualidad, la amalgama de mercurio ha sido sustituida por otros métodos para recuperar el oro y la plata del mineral en los países desarrollados. Los peligros de los residuos tóxicos de mercurio han desempeñado un papel importante en la eliminación progresiva de los procesos de amalgamación con mercurio. Sin embargo, la amalgama de mercurio sigue siendo utilizada regularmente por los pequeños mineros de oro aluvial (a menudo de forma ilegal), sobre todo en los países en desarrollo.
Detección de mercurio

La presencia de iones de mercurio en el agua puede ser revelada por una sonda compuesta por una tira de cobre y una solución de ácido nítrico. Los iones de mercurio experimentan una reacción redox con el cobre:
- Hg2+ + Cu → Hg + Cu2+.
El mercurio elemental luego reacciona con la placa de cobre para formar una amalgama. Los iones de plata también reaccionan pero no se adhieren a la placa (no forman amalgama) y por lo tanto se eliminan fácilmente, diferenciándolos de los iones de mercurio.
Véase también
- Método de los cazos
- Método de patios
- (Sistemas utilizados en minería para obtener oro o plata separándolos del mineral amalgamándolos con mercurio)
Referencias
- ↑ Callister, W. D. "Materials Science and Engineering: An Introduction" 2007, 7ª edición, John Wiley and Sons, Inc. Nueva York, sección 4.3 y capítulo 9.
- ↑ «Amalgama de mercurio».
- ↑ «Diccionario de la lengua española». Diccionario de la lengua española. Edición del Tricentenario. Actualización 2022. Consultado el 24 de marzo de 2023.
- ↑ Ham, Peter "Amalgama de zinc" en e-EROS Encyclopedia of Reagents for Organic Synthesis (2001). doi 10.1002/047084289X.rz003
- 1 2 E J Duwell; NC Baenziger (1955). «Las estructuras cristalinas de KHg y KHg2». Acta Crystallogr. 8 (11): 705-710. doi:10.1107/S0365110X55002168.
- ↑ Emmanuil I. Troyansky y Meghan Baker "Aluminum Amalgam" en e-EROS Encyclopedia of Reagents for Organic Synthesis 2016, doi 047084289X.ra076.pub2 10.1002/ 047084289X.ra076.pub2
- ↑ «49 C.F.R. 175.10». gpoaccess.gov (en inglés). Archivado desde el original el 15 de octubre de 2008. Consultado el 17 de marzo de 2009.
- ↑ Véase, por ejemplo, la normativa en EE.UU. United States Department of Transportation, Title 49 of the Code of Federal Regulations, 175.10(a)(13)
- ↑ «List of incidents where aircraft have had mercury spills in them» (en inglés). Archivado desde el original el 21 de marzo de 2009. Consultado el 17 de marzo de 2009.
- ↑ «Die Sendung mit der Maus, Sachgeschichte vom Spiegel» (en alemán). Archivado desde el original el 17 de abril de 2009. Consultado el 24 de abril de 2009.
- ↑ «Mercury Amalgamation». mine-engineer.com. Consultado el 8 de abril de 2018.
- ↑ webmineral.com/data/Leadamalgam.shtml
- ↑ Bharti, Ramesh; Wadhwani, Kulvinder Kaur; Tikku, Aseem Prakash; Chandra, Anil (2010). «Amalgama dental: Una actualización». Journal of Conservative Dentistry 13 (4): 204-208. ISSN 0972-0707. PMC 3010024. PMID 21217947. doi:10.4103/0972-0707.73380.
Bibliografía
- Prandtl, W.: Humphry Davy, Jöns Jacob Berzelius, zwei führende Chemiker aus der ersten Hälfte des 19. Jahrhunderts. Wissenschaftliche Verlagsgesellschaft, Stuttgart, 1948
- Hofmann, H., Jander, G.: Qualitative Analyse, 1972, Walter de Gruyter, ISBN 3-11-003653-3
- Diccionario de materia mercantil, industrial y agrícola, José Oriol Ronquillo, 1851