Trichomonas vaginalis
Trichomonas vaginalis es un protozoo patógeno flagelado anaerobio y microaerofílico perteneciente al orden Trichomonadida que parasita el tracto urogenital femenino y masculino, llegando a producir tricomoniasis urogenital. La tricomoniasis es actualmente la enfermedad de transmisión sexual no vírica más extendida y afecta a más de 250 millones de personas al año.[1] Aunque las tasas de infección son similares para ambos géneros, la tricomoniasis afecta más frecuentemente y en mayor medida a las mujeres (más de un 89% del total de los casos registrados). De hecho, los hombres suelen ser asintomáticos. El ciclo vital de T. vaginalis consta de una única forma de vida en, el trofozoíto y este se transmite por contacto directo con un humano infectado principalmente durante el acto sexual.[2] El tratamiento más común hasta ahora es el metronidazol y tinidazol.[3]
| Trichomonas vaginalis | ||
|---|---|---|
![]() Microscopía electrónica de barrido (SEM) de T. vaginalis. | ||
![]() Tinción de Giemsa de un cultivo de T. vaginalis. | ||
| Taxonomía | ||
| Dominio: | Eukaryota | |
| Reino: | Protista | |
| (sin rango) | Excavata | |
| Filo: | Metamonada | |
| Clase: | Parabasalia | |
| Orden: | Trichomonadida | |
| Género: | Trichomonas | |
| Especie: |
T. vaginalis Donné, 1836 | |
Historia
Trichomonas vaginalis fue descrito por primera vez por el bacteriólogo Alfred Francois Donné en 1836 en su artículo titulado "Animalcules observés dans les matières purulentes et le produit des sécrétions des organes génitaux de l'homme et de la femme", en la revista Comptes rendus de l'Académie des sciences. Años más tarde, en 1916, Hoehne demostró que este parásito era el responsable de un tipo de infección vaginal específica.[4]
Morfología
- Trichomonas vaginalis vive exclusivamente en el tracto urogenital de los seres humanos. y su ciclo vital consta de una única forma de vida en, el trofozoíto.[2]
- El trofozoíto: presenta un tamaño 10-20 μm de longitud y una morfología piriforme.[3]
- Posee 5 flagelos: cuatro son anteriores y libres, y el quinto se dirige hacia la parte posterior del cuerpo celular asociado a la superficie celular, formando una membrana ondulante que no tiene porción libre del flagelo.[3]
- Paralelo a dicha membrana se dispone, en el interior de la célula, un haz de microtúbulos.[3]
- Posee un aparato de Golgi asociado a microfilamentos (los filamentos parabasales) que, en conjunto, forman el denominado cuerpo parabasal.[3]
- Atravesando el citoplasma como un eje y sobresaliendo por el extremo posterior, presenta una estructura formada también por microtúbulos denominada axostilo. Este axostilo, en su parte anterior, se ensancha y recubre parcialmente el núcleo. Como continuación del axostilo hacia la parte anterior hay otra estructura de microtúbulos, la pelta, que recubre parcialmente las estructuras basales de los flagelos. El núcleo, que posee un endosoma, está dispuesto en la zona anterior, cerca del punto de inserción de los flagelos. En las tinciones, el conjunto núcleo-cuerpo parabasal-axostilo (parte anterior)-pelta se suele teñir como una masa única.[3]
- Carece de mitocondrias y posee en su lugar unos orgánulos denominados hidrogenosomas, cuya función es producir energía (ATP) y realizar el catabolismo de amino ácidos en condiciones anaeróbicas.[5]
- Alimentación por fagocitosis y pinocitosis de bacterias, virus, descamaciones celulares, eritrocitos y leucocitos, pudiendo producir leucopenia.[5]
- Reproducción por división binaria longitudinal, pudiendo alcanzar millones de individuos en poco tiempo. No presentan reproducción sexual.[3]
Ciclo vital e infección

Trichomonas vaginalis reside exclusivamente en el tracto urogenital de los seres humanos y sólo presenta un estado en su ciclo vital, el trofozoíto.[2] En las mujeres puede encontrarse en la vagina y en la uretra, mientras que en los hombres puede hallarse en la próstata, el epidídimo y en la uretra. T. vaginalis necesita para su desarrollo óptimo un pH de 5,5, por lo que no va a ser capaz de sobrevivir en una vagina sana, cuyo pH será de 4-4,5. Sin embargo, una vez que prospera la infección, el propio parásito producirá un aumento de la alcalinidad del medio para favorecer su crecimiento. Desde este momento, los trofozoítos se dividirán incrementando su número y podrán transmitirse por contacto directo al nuevo hospedador.[5]
Patología
T. vaginalis se adhiere e infecta las mucosas genitales, dando lugar a procesos inflamatorios, y en la acción tóxico-alérgica producida por las alteraciones citoplásmicas y nucleares de las células de las mucosas.[6] La tricomoniasis urogenital se transmite sexualmente y afecta a ambos sexos.[2]
En la mujer
Los síntomas aparecen entre los 4 y 30 días de exposición y conllevan a una vulvovaginitis con leucorrea, prurito vulvar y ardor vaginal.[2] Aparecen petequias y se producen secreciones amarillentas en la fase aguda y blanquecinas en la fase crónica, donde abundan trofozoitos, glóbulos blancos y células muertas de las mucosas. Si la infección alcanza la uretra podrá producirse una uretritis. Los principales factores que van a determinar el curso de la infección son el pH y la flora bacteriana de la vagina. Si la infección es grave, puede provocar dolor en la zona abdominal inferior y partos prematuros, bajo peso al nacer y aumento de la mortalidad durante el embarazo.[1] La tricomoniasis puede confundirse con la clamidiasis debido a la similitud de los síntomas.[7]
En el varón
En este caso, el parásito no encuentra unas condiciones óptimas para su desarrollo, por lo que la infección cursa en el hombre casi siempre de forma asintomática, por lo que es considerado portador. En los excepcionales casos que presentan síntomas, estos son producidos por una uretritis, una prostatitis o una epididimitis, que cursan con ardor al miccionar, secreciones uretrales y edema prepucial. En estos casos, el parásito se ve favorecido cuando existe estrechez uretral.[7]
Complicaciones
Aunque la tricomoniasis no es de por sí una enfermedad mortal, puede dar lugar a complicaciones durante el parto, aumentar el riesgo de infección por y conllevar a la formación de neoplasias en el cuello uterino y en la próstata.[1]
Epidemiología
T. vaginalis solo afecta a humanos, lo que implica la inexistencia de reservorios. Se considera que el varón es en la mayoría de los casos un portador asintomático causante de la propagación de la infección. Se estima que unos 250 millones de individuos son infectados cada año. La prevalencia de la tricomoniasis varía mucho de unas regiones a otras dependiendo de factores como la edad, el estado de salud, la promiscuidad sexual, la higiene y las condiciones socioeconómicas. En cualquier caso, la mayor prevalencia la presentan las mujeres de edades comprendidas entre los 16 y los 35 años y especialmente aquellas dedicadas a la prostitución (prevalencia ≈ 50-70 %). Aunque la transmisión es exclusivamente venérea, ha habido casos de mujeres infectadas por el uso de esponjas o toallas húmedas infectadas, solo explicables por la capacidad de T. vaginalis de sobrevivir algunas horas en ambientes cálidos e hidratados. La aparición del sida ha fomentado el uso de medidas profilácticas y esto ha generado un descenso lógico de los casos de tricomoniasis.
Diagnóstico
- Se ha de tomar una pequeña muestra del flujo sospechoso colocándose en una gota de suero fisiológico sobre un portaobjetos (cristal) y se cubre con una delgada lámina de cristal. Se observa bajo el microscopio a 40 aumentos. Si existen estos parásitos se les ve moverse ágilmente de un lado para otro. También se observa que parasitan algunas células epiteliales, usualmente en grupos.[3]
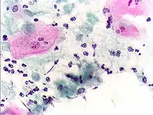
- En la preparación citológica con la prueba de Papanicolaou. Se observan estos parásitos de forma alargada, ya sea aisladamente o agrupados en forma de corona, parasitando las células epiteliales, tal como se muestra en la siguiente imagen. En este caso, además de las tricomonas, se puede apreciar una infección por Gardnerellas vaginalis. ("clue cells" sobre las superficies celulares).[3]
Tratamiento
- Las irrigaciones causadas vaginalmente de agua con sal las destruye rápidamente (aproximadamente 4 cucharadas de sal por litro). Pero, desgraciadamente, la solución salina no llega a los reservorios de las glándulas de moco del cérvix. Estas irrigaciones deben hacerse todos los días durante unos 14 días, al mismo tiempo que se administra la medicación sistémica.[3]
- Metronidazol.
- Esta medicación no debe usarse en los primeros meses de gestación por la posibilidad de producir malformaciones. No se debe tomar alcohol, durante el tratamiento por el efecto antabus del medicamento.
- Dosis recomendadas: 500 mg dos veces por día durante 14 días, es la más adecuada.
- Dosis recomendada: 1000 mg día durante 7 días.
- La dosis única de 2000 mg es menos efectiva y tiene muchas [recidiva]s.
- Siempre debe tratarse a la pareja.
Algunas veces el parásito es resistente a las dosis habituales de metronidazol, por lo que debe comprobarse la eficacia del tratamiento a la semana de terminar las dosis recomendadas.[7]
Factores de virulencia
Trichomonas vaginalis se adhiere a las células epiteliales de la vagina gracias a los factores de virulencia. La adherencia de Trichomonas vaginalis a las células epiteliales es dependiente del pH, tiempo y de la temperatura. Entre los factores de virulencia que median la adhesión se encuentran microtúbulos, microfilamentos, adhesinas y cisteína proteinasas. Las adhesinas incluyena a cuatro enzimas (AP65, AP51, AP33 y AP23) que median la interacción del parásio con los receptores de las células epiteliales del hospedador.[8] La cisteína proteinasa también interviene en la adhesión a la superficie de las células del huésped y en la degradación de proteínas de la matriz extracelular como la hemoglobina, fibronectina o colágeno IV.[9]
Secuenciación del genoma y estadísticas
El genoma de T. vaginalis es sorprendentemente largo y complejo para tratarse de un protozoo. Está formado por más de 160 Mbp.[5] Más de dos tercios del genoma consiste en secuencias repetidas y elementos génicos transponibles, lo que refleja una enorme y reciente expansión del genoma en la evolución. Del total de ~98 000 genes codificadores de proteínas, ~38 000 corresponden con secuencias repetidas que incluyen a elementos transponibles, retrotransposons, partícula similar a virus y repeticiones no clasificadas, todas ellas cuentan con un alto número de copia y bajo polimorfismo. Los estudios comparativos del genoma reflejan que el tamaño del genoma de T. vaginalis es igual o incluso mayor que otros genomas eucariotas.[5]
El genoma de T. vaginalis se secuenció en 2007 y los datos del proyecto de secuenciación están almacenados en TrichDB.org. TrichDB es parte del proyecto de base de datos de genómica funcional EupathDB financiado por NIH / NIAID.[10]
Véase también
Bibliografía
- Leitsch D. (2016). Recent Advances in the Trichomonas vaginalis Field. F1000Research, 5, F1000 Faculty Rev-162.https://doi.org/10.12688/f1000research.7594.
- Conrad, M. D., Gorman, A. W., Schillinger, J. A., Fiori, P. L., Arroyo, R., Malla, N., Dubey, M. L., González, J., Blank, S., Secor, W. E., & Carlton, J. M. (2012). Extensive genetic diversity, unique population structure and evidence of genetic exchange in the sexually transmitted parasite Trichomonas vaginalis. PLoS neglected tropical diseases, 6(3), e1573. https://doi.org/10.1371/journal.pntd.0001573
- Markell, E.K., Voge, M., y John D.T. (1990).-Parasitología médica. Interamericana. McGraw-Hill. Madrid.
- Donné, A. (19 September 1836). "Animalcules observés dans les matières purulentes et le produit des sécrétions des organes génitaux de l'homme et de la femme". Comptes Rendus Hebdomadaires des Séances de l'Académie des Sciences (in French). 3: 385–386.
- Carlton, J. M., Hirt, R. P., Silva, J. C., Delcher, A. L., Schatz, M., Zhao, Q., Wortman, J. R., Bidwell, S. L., Alsmark, U. C., Besteiro, S., Sicheritz-Ponten, T., Noel, C. J., Dacks, J. B., Foster, P. G., Simillion, C., Van de Peer, Y., Miranda-Saavedra, D., Barton, G. J., Westrop, G. D., Müller, S., … Johnson, P. J. (2007). Draft genome sequence of the sexually transmitted pathogen Trichomonas vaginalis. Science (New York, N.Y.), 315(5809), 207–212. https://doi.org/10.1126/science.1132894
- Ryan, C. M., de Miguel, N., & Johnson, P. J. (2011). Trichomonas vaginalis: current understanding of host-parasite interactions. Essays in biochemistry, 51, 161–175. https://doi.org/10.1042/bse0510161
- Ibáñez, A. (2015). Trichomonas vaginalis: corroboración experimental de modelos virtuales de cribado farmacológico y caracterización biomolecular de aislados. Doctoral dissertation. Universidad Complutense de Madrid, Madrid, Spain.
- Arroyo, R.; Engbring, J.; Alderete, J. F. (1992). "Molecular basis of host epithelial cell recognition by Trichomonas vaginalis". Molecular Microbiology. 6 (7): 853–862. https://doi.org/10.1111/j.1365-2958.1992.tb01536.x.
- Mendoza-López, M. R.; Becerril-García, C.; Fattel-Facenda, L. V.; Ávila-González, L.; Ruiz-Tachiquin, M. E.; Ortega-López, J.; Arroyo, R. (2000). "CP30, a Cysteine Proteinase Involved in Trichomonas vaginalis Cytoadherence". Infection and Immunity. 68 (9): 4907–12. https://doi.org/10.1128/IAI.68.9.4907-4912.2000.
- Aurrecoechea, Cristina; Brestelli, John; Brunk, Brian P.; Carlton, Jane M.; Dommer, Jennifer; Fischer, Steve; Gajria, Bindu; Gao, Xin; et al. (2009). "GiardiaDB and TrichDB: integrated genomic resources for the eukaryotic protist pathogens Giardia lamblia andTrichomonas vaginalis". Nucleic Acids Research. 37 (Database issue): D526–30. https://doi.org/10.1093/nar/gkn631.
Enlaces externos
- Trichomonas vaginalis al microscopio electrónico
- Secuenciación del genoma de Trichomonas vaginalis
- http://www.nlm.nih.gov/medlineplus/ency/article/001331.htm Tricomoniasis
- https://web.archive.org/web/20071111061435/http://www.medynet.com/usuarios/nnuneza/ginecologia/tricomonas.htm
- https://web.archive.org/web/20070927192606/http://www.dph.sf.ca.us/sfcityclinic/providers/Tricomonas.pdf
- https://web.archive.org/web/20071112140609/http://www.unizar.es/gine/2g007.htm
- Trichomonas un artículo para los adolescentes
.JPG.webp)
