Flagelo eucariota
En los organismos eucariotas, los flagelos son estructuras poco numerosas, uno o dos por célula, con la excepción de algunos protoctistas unicelulares del grupo de los Excavata. Se distingue a las células acrocontas, que nadan con su flagelo o flagelos por delante, de las opistocontas, donde el cuerpo celular avanza por delante del flagelo. Esta última condición, evolutivamente más moderna, caracteriza a la rama evolutiva que reúne a los reinos hongos (Fungi) y animales (Animalia). Es la que observamos en los espermatozoides animales.




Estructura
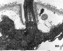
Junto con los cilios, los flagelos eucariotas que constituyen un grupo de estructuras conocidas como undulipodios. Su ultraestructura es esencialmente la misma, pero el flagelo generalmente se complica con otros elementos añadidos, resultando más grueso y más largo.[1] Otra diferencia es el patrón de batido (véase más abajo). Esencialmente, la estructura del flagelo (al igual que la del cilio) es una forma cilíndrica, de diámetro uniforme en toda su longitud, con una terminación redondeada, semiesférica. Su núcleo es un cilindro de nueve dobletes de microtúbulos que rodean a otros dos centrales.[2] Esta estructura "9+2” se denomina axonema. Este núcleo se encuentra cubierto por la membrana plasmática, a fin de que el interior del flagelo sea accesible al citoplasma de la célula. En la base del flagelo eucariota se encuentra un cuerpo basal (también denominado blefaroplasto o cinetosoma), que es el centro de organización de microtúbulos para los microtúbulos flagelares, de alrededor de 500 nm de largo. Los cuerpos basales son estructuralmente idénticos a los centriolos.
Cada uno de los dobletes de microtúbulos exteriores tiene asociado un par de brazos de dineína (uno interior y otro exterior). Estos brazos de dineína producen fuerza a través de la hidrólisis de ATP y consiguen que el flagelo se doble. De esta forma se consigue el batido de los flagelos. El axonema flagelar también contiene radios hechos de complejos de polipéptido que se extienden desde cada uno de los dobletes de microtúbulos exteriores hacia la pareja central, con la "cabeza" dirigida hacia el interior. Se cree que la cabeza interviene en la regulación del movimiento flagelar, aunque su función exacta y método de acción todavía no son bien entendidas.
Entre los dobletes de microtúbulos y la membrana se sitúan las partículas asociadas con el transporte intraflagelar (IFT), un proceso importante en el ensamblado del flagelo y el tráfico de proteínas en este compartimento celular. El movimiento de las subunidades axonemales, receptores transmembrana y otras proteínas arriba y abajo de la longitud del flagelo es esencial para el buen funcionamiento de este, tanto en la motilidad, como en la transducción de señales.[3] En la dirección de salida de la célula, IFT es impulsado por cinesinas, mientras que en la dirección de entrada es impulsado por dineínas.

Los flagelos más estudiados son los de espermatozoides. En el espermatozoide de mamíferos, el flagelo (cola) está constituido por un axonema rodeado por las fibras externas densas (uno por cada doblete) que intervienen en el movimiento del flagelo. Por fuera de estas fibras, existen otras estructuras rodeando el complejo axonema-fibras: la vaina mitocondrial, si el corte es por la pieza intermedia, o la vaina fibrosa, si el corte se realiza en la pieza principal. La vaina mitocondrial está constituida por mitocondrias dispuestas en hélice que proporcionan la energía necesaria para el movimiento del flagelo. La vaina fibrosa son pares de estructuras proteicas (cada una rodea la mitad de las fibras densas).Parece que intervienen en la protección del axonema y quizás también en el movimiento del flagelo. Por fuera, de todo ello, se dispone la membrana plasmática.
Patrones de batido de flagelos y cilios
Aunque flagelos y cilios eucariotas son idénticos en ultraestructura, estos dos tipos de apéndices tienen patrones de batido diferentes. Los flagelos, que impulsan a los espermatozoides y a muchos protistas, están diseñados para que uno sólo de ellos (o unos pocos) pueda impulsar a la célula completa a través de un fluido. El batido del flagelo genera un movimiento helicoidal sin que el eje rote sobre sí mismo, como ocurre en el giro de una honda. En contraste, los cilios están diseñados para actuar coordinadamente con otros muchos sobre la superficie celular. Su batido consiste en movimientos cíclicos, primero hacia atrás (propulsado rígido) y luego hacia adelante (recuperación flexible), como ocurre en el batido de un remo.
Tipos de flagelos

Por su posición en relación con el movimiento:[4][5]
- Acroconto. Situado en la parte anterior.
- Opistoconto: Situado en la parte posterior.
- Pleuroconto: Situado en media o lateral.
Cuando hay varios:
- Anficonto: Flagelos dirigidos en sentidos opuestos.
- Estefanoconto: Flagelos dispuestos en corona.
Por su forma:
- Liso.
- Mastigonemado. Con presencia de fibrillas a modo de peines.
Cuando hay varios:
- Isoconto. Iguales.
- Anisoconto. De desigual tamaño.
- Heteroconto. De desigual forma.
Referencias
- Haimo LT, Rosenbaum JL (diciembre de 1981). «Cilia, flagella, and microtubules». J. Cell Biol. 91 (3 Pt 2): 125s-130s. PMID 6459327. doi:10.1083/jcb.91.3.125s.
- D.R. Mitchell (2006), The Evolution of Eukaryotic Cilia and Flagella as Motile and Sensory Organelles en Eukaryotic Membranes and Cytoskeleton: Origins and Evolution, editado por Gáspár Jékely, Eurekah.com, ISBN 978-0-387-74020-1.
- Pazour GJ (octubre de 2004). «Intraflagellar transport and cilia-dependent renal disease: the ciliary hypothesis of polycystic kidney disease». J. Am. Soc. Nephrol. 15 (10): 2528-36. PMID 15466257. doi:10.1097/01.ASN.0000141055.57643.E0.
- McLaughlin, D., & Spatafora, J. W. (Eds.). (2014). Systematics and evolution (Vol. 7). Springer.
- Algas. Citología. Flagelos. Plantas y hongos. Consultado el 9 de agosto de 2015.