Silicosis
La silicosis es la neumoconiosis producida por inhalación de partículas de sílice, entendiendo por neumoconiosis la enfermedad ocasionada por un depósito de polvo en los pulmones con una reacción patológica frente al mismo, especialmente de tipo fibroso. Encabeza las listas de enfermedades respiratorias de origen laboral en países en desarrollo, donde se siguen observando formas graves. El término silicosis fue acuñado por el neumólogo Achille Visconti (1836-1911) en 1870, aunque desde antiguo se conocía el efecto nocivo del aire contaminado para la respiración.[1] La silicosis es una enfermedad fibrótica-pulmonar de carácter irreversible y considerada enfermedad profesional incapacitante en muchos países. Es una enfermedad muy común en los mineros.
| Silicosis | ||
|---|---|---|
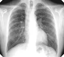
![]() Pulmón afectado por silicosis | ||
| Especialidad | neumología | |
Fisiopatología
Las partículas respirables de sílice (menores de 5 micras) que alcanzan el parénquima pulmonar y quedan retenidas son fagocitadas por los macrófagos pasando a sus lisosomas, pero los mecanismos destructivos de que disponen éstos (enzimas, radicales oxidantes) son inútiles frente a la sílice; el macrófago acaba destruido y libera en el medio enzimas y radicales que potencian la inflamación y generan más radicales oxidantes y enzimas que no son capaces de destruir la sílice, pero sí de lesionar el propio tejido pulmonar, conduciendo a la fibrosis.[2] De ahí que se haya propuesto una hipótesis inflamatoria en la base de la patogenia de la silicosis. Los sujetos que no controlen bien la respuesta inflamatoria podrían estar en desventaja.[3] Al proceso patogénico se pueden incorporar factores inmunológicos[4] e infecciosos (tuberculosis). La silicosis suele presentarse después de 10 a 20 años de exposición a sílice, a veces tiempo después de cesada la misma, pero en caso de exposición muy intensa puede aparecer precozmente. No todos los trabajadores expuestos desarrollan la enfermedad, lo que sugiere la existencia de factores de predisposición individual, por ahora insuficientemente conocidos.
La lesión elemental es el nódulo de silicosis de aspecto redondeado, con una parte central fibrosa, a veces hialinizada, rodeada de capas concéntricas de colágeno y una zona periférica con macrófagos cargados de sílice y otras células. Es característica la presencia de sílice al examen con luz polarizada. La silicosis simple produce ligeras alteraciones funcionales sin repercusión clínica significativa.
La silicosis complicada se caracteriza por la presencia en los pulmones de masas de diámetro superior a 1 centímetro llamadas masas de Fibrosis Masiva Progresiva (FMP) que al retraerse generan bullas en su periferia y distorsionan los bronquios determinando obstrucción y limitación del flujo aéreo, aparte de otras complicaciones (neumotórax, cavitación aséptica, cavitación por tuberculosis, etc). Si las masas alcanzan cierto tamaño alteran notablemente los parámetros de función pulmonar, tanto de ventilación como de intercambio de gases. Silicosis aguda, la cual resulta de la exposición a cantidades muy grandes de sílice durante corto tiempo. Los pulmones se inflaman bastante y se pueden llenar de líquido, lo que causa una dificultad respiratoria grave y una baja de los niveles de oxígeno en la sangre.
Etiología

Consiste en la fibrosis nodular de los pulmones y la dificultad para respirar causadas por la inhalación prolongada de compuestos químicos que contienen sílice cristalina. Con frecuencia produce la muerte, causada por respirar polvo que contiene partículas muy pequeñas de sílice cristalina. La exposición a sílice cristalina se puede presentar durante la minería, metalurgia, industria relacionada con químicos, pinturas, cerámicas, mármol, vidrieras y con menor frecuencia las industrias de filtros, aisladores, pulimentos, tuberías, termoaislantes, construcción y mampostería. Actividades como cortar, romper, aplastar, perforar, triturar o cuando se efectúa la limpieza abrasiva de estos materiales pueden producir el polvo fino de la sílice. También puede estar en la tierra, en el mortero, en el yeso y en las ripias. Las partículas muy pequeñas de polvo de sílice pueden estar en el aire que se respira y quedar atrapadas en los pulmones. Las partículas y fibras más pequeñas son las más peligrosas dado que son las que pueden alcanzar los alveolos. Generalmente se considera que este tamaño por debajo del cual se presenta el riesgo de sufrir silicosis se da para partículas inferiores a las 5 micras. A medida que el polvo se acumula en sus pulmones, estos sufren daños y se hace más difícil respirar con el paso de los años.
A nivel celular, la exposición al polvo de sílice produce la rotura de los lisosomas, los cuales contienen numerosas enzimas que degradan componentes tanto internos (orgánulos deteriorados) como externos (proteínas captadas desde el exterior por endocitosis, por ejemplo). Estas enzimas se depositan en los pulmones, causando importantes daños en ellos.
La sílice cristalina —dióxido de silicio (SiO2)— es la que ocasiona la silicosis; se encuentra en la naturaleza en forma de cuarzo, cristobalita o tridimita, siendo el cuarzo el más abundante (12 % de la corteza terrestre); de ahí que la exposición a sílice sea muy frecuente. A pesar de que hay fuentes de exposición insólitas, dada su ubicuidad, la más importante es la minería de interior, aunque en algunos países está tomando gran protagonismo la exposición en industrias relacionadas con la piedra ornamental (granito, pizarra);[5] también hay que estar alerta ante industrias que generan o usan la sílice molida (harina de sílice). .
Cuadro clínico

Debido a que la silicosis crónica es de lento desarrollo, los signos y síntomas pueden no aparecer hasta años después de la exposición. Los signos y síntomas incluyen:
- Disnea, agravada por el esfuerzo.
- Tos, a menudo persistentes y graves.
- Fatiga.
- Taquipnea.
- Pérdida de apetito y pérdida de peso.
- Dolor de pecho.
- Fiebre.
- Gradual oscurecimiento de las uñas, llevando incluso a su rotura.
En los casos avanzados, también se puede presentar:
- Cianosis (piel azulada).
- Cor pulmonale (Insuficiencia cardiaca derecha).
- Insuficiencia respiratoria.
Clasificación
Existen tres tipos de silicosis:
- Silicosis crónica: Por lo general se presenta después de 20 años de contacto con niveles bajos de sílice cristalina. Éste es el tipo más común de silicosis. Se veía especialmente en los mineros.
- Silicosis acelerada: Resulta del contacto con niveles más altos de sílice cristalina y se presenta 5 a 15 años después del contacto.
- Silicosis aguda: Puede presentarse de 6 meses a 2 años de estar en contacto con niveles muy altos de sílice cristalina. Los pulmones se inflaman bastante y se pueden llenar de líquido causando una dificultad respiratoria grave y bajos niveles de oxígeno en la sangre. Presenta compromiso renal, hepático y esplénico.
Hay dos formas clínicas según la radiología: silicosis simple y silicosis complicada.
La silicosis simple es la forma clínica más frecuente con mucho. Muestra opacidades redondas (las más frecuentes) y/o irregulares en radiografía simple póstero-anterior de tórax (Rx). No suele producir alteraciones funcionales con significación clínica ni disminuye la esperanza de vida, siempre que no evolucione a complicada.

La silicosis complicada se caracteriza por la existencia de masas de Fibrosis Masiva Progresiva, también llamadas masa conglomeradas, con diámetro mayor de 1 cm. Es una enfermedad grave, sobre todo si las masas son de gran tamaño, y disminuye notablemente la esperanza de vida de los pacientes. La evolución de la forma simple a complicada se debe a factores muchas veces desconocidos. Entre los factores conocidos destacan: elevada exposición a sílice, abundante profusión nodular, tuberculosis y enfermedades del colágeno.

Raras veces la enfermedad puede presentarse como fibrosis pulmonar difusa,[6] neumonía intersticial[7] o como masa pulmonar sin nodulación aparente de fondo (silicoma).
Los pacientes con silicosis son particularmente susceptibles a la tuberculosis (TB) —conocido como silicotuberculosis—. El aumento del riesgo de incidencia es casi 3 veces mayor al de la población sana, sin tener una explicación certera. Se cree que los macrófagos llenos de sílice, disminuyen su capacidad para matar a las micobacterias. Incluso los trabajadores con exposición a la sílice prolongada, pero sin silicosis, tienen un riesgo mayor para la tuberculosis.
Las complicaciones pulmonares de la silicosis también incluyen la bronquitis crónica y limitación del flujo aéreo (indistinguible de la causada por el tabaquismo), la infección por Mycobacterium no tuberculosis, la infección pulmonar por hongos, enfisema compensatorio, y neumotórax. Hay algunos datos que revelan una asociación entre la silicosis y otras enfermedades autoinmunes, como la nefritis, la esclerodermia y el lupus eritematoso sistémico, especialmente en la silicosis aguda o acelerada.
Diagnóstico
El diagnóstico se basa en una historia laboral significativa y hallazgos típicos en Rx. La OIT (Organización Internacional del Trabajo) ha elaborado una normativa con el fin de clasificar, describir y codificar las alteraciones radiográficas, atribuibles a neumoconiosis y facilitar su comparabilidad en estudios epidemiológicos, sin pretensiones o connotaciones legales, aunque también se usa en la clínica; la edición del año 2000 se basa en la comparación de la Rx del paciente con placas modelo que aporta la organización.[8]
Las pequeñas opacidades redondas se clasifican según su diámetro como p (las más pequeñas), q (las que exceden 1.5 mm) y r (las que exceden 3 mm y no pasan de 10 mm) y las irregulares como s, t, u en función de su anchura (equivalente al diámetro en las redondas). La cantidad o profusión se categoriza de 0 a 3.

Se establece una notación combinada en función de la profusión con 12 categorías desde 0/- (pulmón completamente limpio) 3/+ (la máxima profusión imaginable); por ejemplo 1/2 q/t. La primera cifra y la primera letra serían las más probables.
La OIT clasifica las masas de FMP) según su diámetro mayor como A (exceden 10 mm), B (aisladamente o sumadas exceden 5 cm) y C (exceden un área equivalente a la de lóbulo superior derecho.
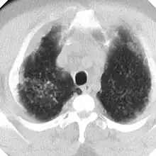
En caso de dudas diagnósticas se puede recurrir a la Tomografía Computada de Alta Resolución (TACAR) que se ha mostrado más sensible y específica para el diagnóstico.[9] Somete al paciente a mucha más radiación que la Rx y no debe usarse como prueba diagnóstica de primer nivel sino para aclarar dudas. La TACAR permite comprobar cómo las masas de FMP se originan frecuentemente en región subpleural de zonas apicales posteriores desplazándose progresivamente de la pleura —signo del desprendimiento—.[3]
No se deben indicar técnicas invasivas (como la biopsia) para el diagnóstico de silicosis a no ser que se sospeche otra entidad susceptible de tratamiento.[3]
Prevención
La prevención primaria tiene por objeto limitar la exposición acumulada a sílice para evitar que la incidencia de la enfermedad supere unos límites razonables y asumibles. El límite de exposición más ampliamente aceptado es 0.1 mg/m³ de sílice cristalina respirable (promedio en la jornada laboral), propuesto por OSHA (Occupational Safety and Health Administration).[10]
El Instituto Nacional de Silicosis de España ha elaborado normas de prevención técnica[11] y médica.[12] Se establece el valor límite ambiental de exposición diaria a sílice (VLA-ED), para trabajadores de industrias extractivas, en 0.1 mg/m³ (0.05 en caso de cristobalita o tridimita); la fracción respirable de polvo no sobrepasará los 3 mg/m³. La prevención primaria desde el punto de vista médico se basa en reconocimientos previos al trabajo con el fin de evitar la concurrencia de factores de riesgo o enfermedades pulmonares que podría potenciar el riesgo. Es preciso realizar reconocimientos periódicos a los trabajadores para retirar del riesgo a los afectados.[13] El disponer de seguimiento radiológico facilita el diagnóstico y evita ciertas exploraciones invasivas en casos dudosos (adenopatías hiliares por exposición a sílice, FMP incipiente, etc.).[3]
Las medidas para controlar el polvo se basan en el riego con agua para que las partículas sedimenten, utilización de medios adecuados que no vuelvan a pasar a la atmósfera y retirarlas del medio con aspiración y ventilación. En la medida que fallen estos procedimientos hay que usar medidas de protección personal. Se pueden utilizar dispositivos para filtrar y prevenir la inhalación de estos materiales cuando se realizan trabajos como la minería.
Es importante evitar el tabaco, en cualquier caso, pero especialmente en trabajadores expuestos a sílice y tomar las medidas oportunas de prevención de la tuberculosis.
Tratamiento
No existe un tratamiento específico para la silicosis, pero es importante retirar la fuente de exposición al sílice para evitar el empeoramiento de la enfermedad. El tratamiento complementario comprende antitusígenos (fármaco empleado para tratar la tos seca irritativa), broncodilatadores y oxígeno, si es necesario. Se prescriben antibióticos para las infecciones respiratorias en la medida de lo necesario. El tratamiento también comprende limitar la exposición a sustancias irritantes, dejar de fumar y hacerse pruebas cutáneas de rutina para tuberculosis.
Impacto sociocultural
El problema es preocupante porque, además de producir silicosis, la sílice parece implicada en otras enfermedades[14] y la repercusión económica y social es importante. Se siguen observando casos graves de silicosis. Hay evidencia suficiente de que la sílice está implicada en el cáncer de pulmón,[15] en la enfermedad pulmonar obstructiva crónica (EPOC)[16] y en la tuberculosis pulmonar.[17] La silicosis es considerada un problema de salud pública.[18] Hay razones para sospechar relación con algunas colagenosis y tal vez con la sarcoidosis.[19] La sílice ataca un órgano vital, poniendo en riesgo la vida del paciente; se espera que la exposición se perpetúe en el futuro debido a la expansión de industrias relacionadas con la piedra ornamental y a que cada vez aparecen nuevos usos industriales de la sílice (material abrasivo, harina de sílice, etc.). Los límites de exposición recomendados son difíciles de conseguir y no parecen proteger lo suficiente.[20]
Referencias
- Ziskind M, Jones RN, Weill H. Silicosis. Am Rev Respir Dis 1976;113:643-55)
- Brooke T, Churg M, Churg A. Mechanisms in the pathogenesis of asbestosis and silicosis. Am J Respir Crit Care Med 1998; 157:1680-98
- Gumersindo Rego Fernández y Ramiro Rego Álvarez, Ramiro. Enfermedades Respiratorias Ocupacionales y Medioambientales. Oviedo. Sociedad Asturiana de Medicina y Seguridad en el Trabajo, 2011
- Jones RN, Turner-Warwick M, Ziskind M, Weil H. High prevalence of antinuclear antibodies in sandblaster’s silicosis. Am Rev Respir Dis 1976; 113:393-5
- Rego Gumersindo, Pichel Arturo, Quero Aida, Dubois Alejandro, Martínez Cristina, Isidro Isabel, Gil Manuel, Cuervo Víctor, González Artemio. High Prevalence and Advanced Silicosis in Active Granite Workers: A Dose-Response Analysis Including FEV1. J Occup Environ Med 2008; 50:827-33
- Honma K, Chiyotani K. Diffuse interstitial fibrosis in non- asbestos pneumoconiosis. A pathological study. Respiration 1993; 60:120-126
- Arakawa H, Johkoh T, Honma K, Saito Y, Fukushima Y, Shida H, Suganuma N. Chronic Interstitial Pneumonia in Silicosis and Mix-Dust Pneumoconiosis. Chest 2007; 131:1870-6
- Guidelines for the use of the ILO International Classification of Radiographs of Pneumoconioses 2000 edition. Geneva, International Labour Office, 2002. Occupational Safety and Heath Series, No. 22 (rev 2000)
- Begin R, Ostiguy G, Fillion R, Colman N. Computed tomography in early detection of silicosis. Am Rev Respir Dis 1991; 108:647-655
- Office of the Federal Register. 1994, 29 CRF, United States Code of Federal Regulations. Office of the Federal Register, National Archives and Records Administration U.S. Govt. Printing Office Washington, D.C. Oc. Saf. Health Ad
- ITC 2.0.02,BOE 15-9-2007
- Protocolo de Vigilancia Sanitaria Específica, Silicosis y otras Neumoconiosis, Ministerio de Sanidad
- Wagner GR. Screening and surveillance of Workers exposed to mineral dusts. Geneva: WHO, 1996
- American Thoracic Society. Adverse effects of crystalline silica exposure. Am J Respir Crit Care Med 1987; 155:761-765
- Steenland K, Mannetje A, Boffetta L, et al. Pooled exposure –response and risk assessment for lung cancer in 10 cohorts of silica- exposed workers: An IARC multi-centric study. Cancer Causes Control 2001a; 12:773-784
- Oxman AD, Muir DCF, Shannon HS, Stock SR, Hnizdo E, Lange HJ. Occupational dust exposure and Chronic pulmonary disease: a systematic overview of the evidence. Am Rev Respir Dis 1993, 148:38-48
- Snider D. The relationship between tuberculosis and silicosis. Am Rev Respir Dis. 1978; 118:455-460
- Graves IA. Not-so-simple silicosis: a case for public health action. Am J Ind Med 2000; 37:245-51
- Quero A, Urrutia C, Martínez C, Rego G. Silicosis and sarcoid pulmonary granulomas, silicosarcoidosis?]. Med Clin (Barc) 2002; 26:118-9
- Mannetje A, Steenland K, Attfield, et al. Exposure-response analysis and risk assessment for silica and silicosis mortality in a pooled analysis of six cohorts. Occup Environ Med 2002; 59:723-28
Enlaces externos
- NIOSH -- Publications Dissemination: Instituto Nacional de Salud y Seguridad Ocupacional (NIOSH). Documento publicado bajo dominio público.
