Resorción dental
La reabsorción o resorción radicular (también conocida como rizolisis) es la pérdida progresiva de dentina y cemento por la acción de los osteoclastos.[1] Es un proceso fisiológico en la exfoliación de la dentición primaria, causado por la diferenciación de los osteoclastos debido a la presión ejercida por el diente permanente en erupción. Sin embargo, en la dentición secundaria el proceso es patológico.
| Resorción dental | ||
|---|---|---|
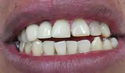
![]() Resorción externa incisivo central 21 | ||
| Especialidad | Odontología | |
| Síntomas | Descoloración, inflamación de encías, astilla dental | |
| Complicaciones | caída dental, infección | |
| Causas | Respuesta inflamatoria | |
| Factores de riesgo | Trauma, idiopático | |
| Diagnóstico | Examen dental, radiografía | |
| Sinónimos | ||
| Reabsorción dental, rizalisis | ||
Causa
La necrosis pulpar, un traumatismo, el tratamiento periodontal, la ortodoncia y el blanqueamiento dental son los estimulantes más comunes de la reabsorción inflamatoria.[2] Otras causas menos comunes incluyen: la presión de los dientes ectópicos, quistes y tumores.
Estos causan daño al ligamento periodontal, cemento o pre-dentina. Estos tejidos proporcionan protección contra la resorción cuando están intactos y sanos.
Independientemente de la razón, la reabsorción dental se debe a un proceso inflamatorio en respuesta a un agravio a uno de los procesos mencionados anteriormente.[3][4]
Mecanismo

Los osteoclastos son las células responsables de la reabsorción de la superficie de la raíz.[5] Los osteoclastos pueden descomponer los huesos, cartílagos y dentina.
El factor de diferenciación de osteoclastos, el ligando de osteoprotegerina, el activador receptor del factor nuclear kappa-B (ODF, OPGL, RANKL), son reguladores de la función de los osteoclastos.[6] En los huesos fisiológicos, los osteoblastos y las células estromales liberan RANK-L, esto actúa sobre los macrófagos y monocitos que se fusionan y se convierten en osteoclastos.[7] La OPG (Osteoprotegerina) también es secretada por osteoclastos y células estromales, lo que inhibe el RANKL y, por lo tanto, la actividad de los osteoclastos.
Se desconoce la fisiopatología de la estimulación de los osteoclastos en el proceso de reabsorción inflamatoria.
Una idea es que la presencia de bacterias juega un papel importante. La presencia bacteriana conduce a la inflamación pulpar o peri-periapical. Estas bacterias no son mediadoras de la actividad de los osteoclastos, pero causan la quimiotaxis de los leucocitos. Los leucocitos se diferencian en osteoclastos en presencia de antígenos lipopolisacáridos encontrados en las especies Porphyromonas, Prevotella y Treponema (todas estas son especies bacterianas asociadas con la inflamación pulpar o periapical).[8]
Los osteoclastos están activos durante la regulación ósea, hay un equilibrio constante de la resorción y la sedimentación ósea. El daño a ligamento periodontal puede conducir a la liberación de osteoclastos activadores de RANKL.[9] Los osteoclastos que se encuentran cerca de la superficie de la raíz reabsorberán el cemento de la superficie de la raíz y la dentina subyacente. Esto puede variar en la gravedad desde la evidencia de picaduras microscópicas en la superficie de la raíz hasta destruir completamente la superficie de la raíz.
Cuando hay lesiones que provocan inflamación (traumatismo, bacterias, blanqueamiento dental, movimiento ortodóntico, tratamiento periodontal) en el de la raíz o al lado de la capa externa de la raíz, se producen citoquinas, se activa el sistema RANKL y los osteoclastos son activados reabsorbiendo la superficie de la raíz.
Si el evento dañino es transitorio, la reabsorción se detendrá y se producirá la curación, esto se conoce como reabsorción inflamatoria transitoria.[10] Si el estímulo es persistente, entonces la reabsorción continúa, y si el tejido dental está irremediablemente dañado, pudiendo concluir en una reabsorción completa.[11]
Clasificaciones
Reabsorción interna
La reabsorción interna define la pérdida de la estructura del diente desde el interior del canal de la raíz de un diente.
Puede presentarse inicialmente como un área de color rosado en la corona del diente; El tejido hiperplásico de la pulpa vascular se rellena en las áreas reabsorbidas. Esta condición se conoce como un diente rosado de Mummery, debido al anatomista del siglo XIX John Howard Mummery. También puede presentarse como un hallazgo incidental, radiográfico. Radiográficamente, puede verse un área radiotransparente dentro del canal radicular y/o el canal puede aparecer esclerosado.
Se cree que la inflamación pulpar crónica es una causa de reabsorción interna. La pulpa tiene que estar viva por debajo del área de reabsorción para proporcionar nutrientes a los osteoclastos. Si la pulpa se vuelve totalmente necrosada, la reabsorción cesará a menos que los canales laterales estén presentes para suministrar nutrientes a los osteoclastos.
Si la condición se descubre antes de que se produzca la perforación de la corona o la raíz, la terapia endodóntica (tratamiento conducto) se puede llevar a cabo con la expectativa de una tasa de éxito bastante alta. La eliminación del estímulo (pulpa inflamada) provoca el cese del proceso de resorción.
Reabsorción externa

La reabsorción externa es la pérdida de la estructura dental de la superficie externa del diente. Se puede dividir en las siguientes clasificaciones:[4]
Resorción inflamatoria externa
Ocurre después de un estímulo prolongado que conduce a una reabsorción patológica continua.
Comúnmente causado por daño al ligamento periodontal, secado de la superficie de la raíz (después de la avulsión), exposición de los túbulos de la dentina y presión.
Este proceso puede ocurrir rápidamente.
Resorción cervical externa
Es una lesión de resorción localizada en el área cervical del diente, debajo de la unión epitelial. Esto rara vez implica la pulpa.
El estímulo prolongado conduce al crecimiento vertical y horizontal de la lesión.
Es causado comúnmente por un traumatismo, tratamiento periodontal o blanqueamiento dental.
La reabsorción cervical idiopática múltiple se define cuando un mínimo de 3 dientes se ven afectados por la reabsorción cervical sin causa evidente.
Reabsorción de reemplazo externo

Ocurre después de la anquilosis de la raíz del hueso alveolar. El tejido dental se reabsorbe y se reemplaza con hueso. Este proceso no es muy entendido.
Se piensa que después de la unión de hueso y diente y la destrucción del ligamento periodontal, los reguladores protectores liberados por el ligamento periodontal para proteger a la raíz de la resorción ya no se encuentran. Esto hace que el tejido dental sea reabsorbido por los osteoclastos y reemplazado por hueso como si fuera parte del proceso homeostático continuo de recambio óseo.
Resorción inflamatoria transitoria
También conocida como reabsorción de superficie externa. Es un proceso autolimitado y es a menudo un hallazgo radiográfico incidental. La reabsorción inflamatoria transitoria se somete a cicatrización y solo debe ser monitoreada.
Es causada por lesiones localizadas y limitadas en la superficie de la raíz o en los tejidos circundantes.[10][12] Hay actividad de los osteoclastos por 2 a 3 semanas de antes de que ocurra la curación. Solo si el cemento está involucrado en el proceso de resorción, se producirá una curación completa, pero si se trata de la dentina, se volverá a contornear en el área de dentina perdida.[10]
Véase también
- Cementoblastoma
- Anquilosis dental
Referencias
- Patel, Shanon; Ford, Thomas Pitt (2007). «Is the resorption internal or external?». Dental Update 34 (4): 218-229. PMID 17580820. doi:10.12968/denu.2007.34.4.218.
- Fuss, Z; Tsesis, I; Lin, S (2003). «Root resorption - diagnosis, classification and treatment choices based on stimulation factors». Dental Traumatology 19 (4): 175-182. doi:10.1034/j.1600-9657.2003.00192.x.
- Andreasen, J, O (1985). «External root resorption: its implication in dental traumatology, pedodontics, periodontics, orthodontics and endodontics». International Endodontic Journal 18 (2): 109-118. doi:10.1111/j.1365-2591.1985.tb00427.x.
- Darcey, J; Qualtrough, A (2013). «Resorption: part 1. Pathology, classification and aetiology». British Dental Journal 214 (9): 439-451. PMID 23660900. doi:10.1038/sj.bdj.2013.431.
- Boyle, W, J; Simonet, W, S; Lacey, D, L (2003). «Osteoclast differentiation and activation». Nature 423 (6937): 337-342. Bibcode:2003Natur.423..337B. PMID 12748652. doi:10.1038/nature01658.
- Yasuda, H; Shima, N; Nakagawa, N (1998). «Osteoclast differentiation factor is a ligand for osteoprotegrin/ osteoclastogenisis-inhibitory factor and is identical to TRANCE/RANKL». Proceedings of the National Academy of Sciences USA 95 (7): 3597-3602. Bibcode:1998PNAS...95.3597Y. doi:10.1073/pnas.95.7.3597.
- Nakamura, I; Takahashi, N; Jimi, E; Udagawa, N; Suda, T (2012). «Regulation of osteoclast function». Rheumatology 22: 167-177.
- Choi, B, K; Moon, S, Y; Cha, J, H; Kim, K, W; Yoo, Y, J (2005). «Prostaglandin E(2) is a main mediator in receptor activator of nuclear factor kappaB ligand-dependent osteoclastogenesis induced by Porphyromonas gingivalis, Treponema denticola and Treponema sockranskii». Journal of Periodontology 76 (5): 813-820. PMID 15898943. doi:10.1902/jop.2005.76.5.813.
- Trope, M (2002). «Root resorption due to dental trauma». Endodontic Topics 1: 79-100. doi:10.1034/j.1601-1546.2002.10106.x.
- Andreasen, J, O (1981). «Relationship between cell damage in the periodontal ligament after replantation and subsequent development of root resorption». Acta Odontologica Scandinavica 39 (1): 15-25. PMID 6943905. doi:10.3109/00016358109162254.
- Lossdorfer, S (2002). «Immunohistological localization of receptor activator of nuclear factor kappaB (RANK) and its ligand (RANKL) in human deciduous teeth». Calcified Tissue International 71 (1): 45-52. PMID 12043011. doi:10.1007/s00223-001-2086-7.
- Majorana, A; Bardellini, E; Conti, G; Keller, E; Passini, S (2003). «Root resorption in dental trauma: 45 cases followed for 5 years». Dental Traumatology 19 (5): 262-265. doi:10.1034/j.1600-9657.2003.00205.x.
Enlaces externos
| Clasificación |
|---|
- Esta obra contiene una traducción total derivada de «Tooth resorption» de Wikipedia en inglés, concretamente de esta versión, publicada por sus editores bajo la Licencia de documentación libre de GNU y la Licencia Creative Commons Atribución-CompartirIgual 4.0 Internacional.

