Odontología

La odontología es una de las ciencias de la salud que se encarga del diagnóstico, tratamiento y prevención de las enfermedades del aparato estomatognático, el cual incluye además de los dientes, las encías, el tejido periodontal, el maxilar superior, el maxilar inferior y la articulación temporomandibular. Las principales enfermedades de las que se ocupa la odontología son la caries dental, la maloclusión y la enfermedad periodontal.[1][2]

Odontología
Parte de Ciencias de la salud

Ciencia médica que se dedica a prevenir, diagnosticar y curar las enfermedades del aparato estomatognático
Un odontólogo y una auxiliar trabajando con un paciente

Etimología

El término odontólogo deriva del griego odont(o) (ὀδο-ύς/-ντος), que en español significa diente. Dentista proviene del latín dents, dentis, que en español significa diente. Se puede definir al odontólogo o dentista como médico de la cavidad oral o aparato estomatognático. El aparato estomatognático lo constituyen los labios, la lengua, los dientes, el periodonto, el paladar, la mucosa oral, el piso de la boca, las glándulas salivales, las amígdalas y la orofaringe. El término estomatología deriva del griego στόμα (estoma), que en español significa boca o cavidad oral se emplea en general como sinónimo de odontología.

El campo de acción del odontólogo o estomatólogo no abarca únicamente el estudio y tratamiento de los dientes, pues comprende además toda la cavidad oral, así como los maxilares, músculos, piel, vasos y nervios que dan conformación a esta cavidad y que están conectados con todo el organismo. La odontología se relaciona con varias especialidades médicas como cirugía maxilofacial, otorrinolaringología, oftalmología, neurología y pediatría. No todas las enfermedades de la boca son tratadas por el odontólogo, las lesiones malignas (cáncer) entran en el campo de la patología oral, la cirugía maxilofacial y la oncología. Las lesiones de la orofaringe y las amígdalas tampoco son tratadas por el odontólogo, sino por el otorrinolaringólogo, las parálisis de los músculos que mueven las estructuras orales son tratadas por el neurólogo, las enfermedades del labio son tratadas y valoradas generalmente por el dermatólogo, etc.

Historia de la odontología

Sacamuelas atendiendo a un paciente, grabado de Manuel Carmona (1805).
Administración de óxido nitroso como anestésico en 1894

Las enfermedades han aquejado a la humanidad desde sus mismos inicios, en especial el agudo y lancinante dolor dentario producido por una caries profunda o un absceso periapical. Técnicas curativas y rehabilitadoras han sido practicadas por muchos médicos a lo largo de la historia. El registro más antiguo que existe sobre una práctica primitiva egipcia de la odontología data de hace 5000 años (3000 años antes de nuestra era). Hesy-Ra es considerado el primer dentista conocido de la historia, una inscripción egipcia en madera lo muestra como jefe de médicos de la corte. Aristóteles (384 a. C.-322 a. C.) trató sobre algunos aspectos odontológicos, por ejemplo procedimientos de esterilización usando un alambre caliente para tratar las enfermedades de los dientes y de los tejidos orales, también disertó sobre la extracción dental y el uso de alambres para estabilizar fracturas maxilares y ligar dientes perdidos.

Durante la Edad Media, la profesión fue asumida por los barberos quienes además de otros servicios, realizaban las sangrías y las extracciones dentales de los clientes aquejados de dolor. El doctor francés Pierre Fauchard (1678-1761) es considerado el padre de la odontología moderna, por sus novedosos aportes a esta ciencia, particularmente por la profesionalización de la práctica dental y la publicación en 1728 de su obra "Le chirugien dentiste; ou, traité des dents” (el cirujano dentista; o tratado sobre los dientes). Pierre Fauchard fue dentista personal de Luis XIV; en París se encuentra su museo. En diciembre de 1844, Horance Wells, dentista de Hartford, Connecticut, utilizó por primera vez el óxido nitroso, como anestésico para la extracción dentaría. A principios del siglo XX, el médico valenciano Bernardino Landete Aragó fue pionero de la estomatología española y creador de la cirugía oral o maxilofacial en dicho país.[3]

Estudios de odontología

El odontólogo o dentista debe poseer amplios conocimientos de diferentes aspectos de la medicina, incluyendo anatomía, fisiología, patología y farmacología. Es preciso tener en cuenta que una enfermedad bucal puede provocar complicaciones locales que afecten a regiones próximas como el cuello y la cara, pero también complicaciones generales de gravedad como septicemia y endocarditis.

La primera facultad de odontología fue el Baltimore College of Dental Surgery que se fundó en Estados Unidos en 1840. En Europa, el Reino Unido introdujo los estudios independientes de odontología en 1859, sin embargo otros países europeos como España, Portugal e Italia han mantenido durante buena parte del siglo XX el concepto de odontología como especialidad de la medicina, de tal forma que para conseguir el título de odontólogo o estomatólogo era preciso obtener primero la licenciatura en medicina y posteriormente realizar la especialidad en esta disciplina. Esta situación ha cambiado a partir de los últimos años del siglo XX con los criterios de armonización de estudios impuestos por la Unión Europea.[4]

El programa de estudios para obtener el título de odontólogo es variable dependiendo del país concreto. En la Unión Europea la duración de los estudios es de 5 años a tiempo completo y el programa de formación consta de diferentes aspectos:[4]

  • Conocimiento de las ciencias en las que se basa la odontología incluyendo biología y estadística. Comprensión del método científico y sus fundamentos.
  • Estudio de anatomía, fisiología y comportamiento humano, tanto en circunstancias de salud como enfermedad. Influencia del medio natural sobre la enfermedad.
  • Conocimientos específicos sobre la estructura y función de los dientes, la boca, maxilares y órganos anexos.
  • Estudio de las enfermedades que afectan a los dientes, la boca, maxilares y órganos anexos, medidas de tratamiento y prevención. Dentro de este apartado se incluyen las materias más específicas de la odontología, entre ellas cariología, materiales dentales, endodoncia, microbiología oral, patología oral, cirugía oral, ortodoncia y odontopediatría, periodoncia, radiología dental y prótesis dentales.
  • Experiencia clínica bajo supervisión de un profesional.

En Estados Unidos el título recibe el nombre de doctor en cirugía dental (D.D.S. por sus siglas en inglés) y requiere cuatro años de estudios: dos años en ciencias médicas básicas como anatomía, fisiología y farmacología y otros 2 para adquirir una orientación clínica.[4]

En España, el primer título de odontología se creó en 1901 y constaba de cinco años de duración. En 1944 se modificó creándose la estomatología, a la que se accedía tras obtener el título de medicina. La estomatología fue incluida en la lista de especialidades médicas en 1948. En 1987 comenzó de nuevo la formación de odontólogos en España con una duración de cinco años sustituyendo a la especialidad de estomatología.[5] Este cambio auspició que unos 2000 ciudadanos españoles, 1500 de ellos médicos,[6] ante la dificultad de ingresar en facultades españolas, acudieran a República Dominicana donde había convenios académicos mutuos.[7]

Especialidades

La odontología tiene establecidas varias especialidades:

  • Rehabilitación oral. Es la parte de la odontología encargada de la restauración, es decir recuperar la función fisiológica y estética mediante el empleo de prótesis dentales y otras medidas.
  • Periodoncia o periodontología. Rama de la odontología especializada en el diagnóstico, prevención y tratamiento de las enfermedades periodontales.[8]
  • Endodoncia. Esta especialidad realiza el tratamiento de endodoncia, es decir la actuación sobre la pulpa dental y su sustitución por un material inerte.
  • Odontogeriatría. Es la rama de la odontología encargada de tratar a los adultos mayores.
  • Odontopediatría. Es la rama de la odontología encargada de tratar a los niños.
  • Odontología para pacientes especiales.
  • Ortodoncia. Rama de la odontología especializada en el tratamiento y prevención de las malposiciones de las piezas dentales.
  • Salud pública dental. Especializada en la odontología comunitaria, preventiva y social.
  • . Implantología dental. Es la especialidad odontológica que se dedica a la reposición de unidades dentales perdidas por medio de la colocación de implantes dentales de titanio insertados en los maxilares.
  • Odontología estética o cosmética. Es la rama de la odontología que soluciona problemas relacionados con la armonía estética de la boca en su totalidad.
  • Odontología preventiva. Se encarga del estudio de los tratamientos preventivos bucodentales mediante técnicas no invasivas como pueden ser: selladores de fosas y fisuras, limpiezas dentales, cubetas de flúor tópico o sistémico, pulidos y otros procedimientos más complejos.
  • Odontología forense. Es la rama de la odontología que trata del manejo y el examen adecuado de la evidencia dental y de la valoración de los hallazgos dentales que puedan tener interés para procesos judiciales. El odontólogo forense se encarga establecer parámetros de identificación de personas o cadáveres, la valoración de aquellos casos en los que el aparato buco-dento-maxilar se utiliza como arma y la valoración de tratamientos presumiblemente inadecuados.
  • Cariología. Especializada en la caries dental y su tratamiento.
  • Odontología perinatal. Rama especializada en los cuidados odontológicos a la madre embarazada, el recién nacido y al niño hasta los tres años de edad.
  • Gnatología. Rama de la odontología que estudia las relaciones funcionales y oclusales de los dientes entre sí y con la articulación temporomandibular. Una de las afecciones tratadas por la gnatología es el bruxismo o rechinar de dientes.
  • Odontología ocupacional. Es la rama de la odontología que se ocupa de la salud dental de los trabajadores en relación con su entorno laboral.[9]
  • Odontología deportiva. Rama de la odontología que estudia la influencia de cada deporte en la salud bucodental.
  • Radiografía intrabucal
  • Patología bucal. Encargada de la naturaleza, identificación y tratamiento de las alteraciones y enfermedades localizadas en la cavidad oral, maxilar, mandíbula y órganos dentarios (comprendiendo todas las estructuras que lo conforman), así como las relaciones que estas guardan con problemas sistémicos.
  • Cirugía Oral y Maxilofacial: La cirugía maxilofacial, conocida también como cirugía buco-maxilofacial, es una especialidad odontológica cuya función es prevenir, diagnosticar y tratar las enfermedades relacionadas con la estructura anatómica de la cara, los maxilares, los dientes y la cavidad oral.

Enfermedades de las que se ocupa la odontología

Caries

Destrucción de un diente por caries dental

La caries dental se considera la enfermedad más prevalente que afecta al ser humano. Se inicia con cambios microbianos que se localizan en la superficies de las piezas dentales y dan origen a la placa dental. Las bacterias de la placa dental causan alteraciones en el pH y originan desmineralización del diente que a la larga ocasiona cavidades que si se dejan sin tratamiento alcanzan en un periodo de meses o años la pulpa dental causando pulpitis, infecciones periapicales, abscesos y finalmente la destrucción y perdida completa de la pieza afectada. La caries dental es una enfermedad multifactorial, es decir existen varios factores implicados en su aparición, incluyendo los hábitos de alimentación, la adecuada higiene oral, la composición y flujo de la saliva y el grado de exposición al flúor.[10]

Enfermedad periodontal

Enfermedad periodontal

Es un proceso crónico, de origen inflamatorio que afecta a las estructuras de soporte del diente o periodonto. La enfermedad periodontal es una causa importante de pérdida de piezas dentales, origina el 50 % de las pérdidas después de los 15 años, mientras que en los mayores de 35 años se pierden más dientes como consecuencia de la enfermedad periodontal que por caries. La enfermedad periodontal incluye la gingivitis o inflamación de las encías y la periodontitis que es una patología inflamatoria de origen infeccioso que destruye el periodonto de inserción (hueso alveolar, cemento radicular y ligamento periodontal), lo que puede finalizar con la pérdida de los dientes afectados.[11]

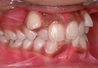
Maloclusión

Maloclusión

Una maloclusión se refiere al mal alineamiento de los dientes o a la forma en que los dientes superiores e inferiores encajan entre sí. La mayoría de las personas tienen algún grado de maloclusión, si bien normalmente no es lo suficientemente seria para requerir tratamiento. Aquellas que tienen maloclusiones más severas pueden requerir tratamiento de ortodoncia para corregir el problema. La corrección de maloclusiones reduce el riesgo de pérdida de piezas y puede ayudar a aliviar presiones excesivas en la articulación temporomandibular.[12] [13]

Traumatismos dentales

Fractura de incisivo central superior por traumatismo

Pueden afectar personas de cualquier edad, pero son especialmente frecuentes en los niños, se calcula que un 25 % de los niños en edad escolar han sufrido algún traumatismo dental de importancia. Las piezas más frecuentemente afectadas son las del sector anterior, sobre todo los incisivos centrales superiores. Aunque existen lesiones muy complejas, en la mayor parte de los casos se afecta un único diente. Las lesiones más frecuentes son la luxación en dentición temporal y las fracturas coronales, concusiones y subluxaciones, en la dentición permanente.[10]

Lesiones de la mucosa oral

Las lesiones de la mucosa oral pueden ser muy variadas, adoptando el aspecto de una mancha o formando una protrusión que si está llena de líquido constituye una vesícula. Algunas de las más características son las gránulos de Fordyce que son glándulas sebáceas heterotópicas de coloración blanco-amarillenta que se encuentran en mucosa yugal y labios, no precisan tratamiento. Las manchas de Koplick que aparecen en el período prodrómico del sarampión, junto al conducto de Stenon. La morsicatio buccarum en realidad provocada por un traumatismos por mordisqueo, la estomatitis nicotínica por reacción al tabaco, frecuente en varones y fumadores de pipa y cigarros, el liquen plano de etiología desconocida y la leucoplasia oral. Muchas de estas lesiones precisan realizar una biopsia para llegar al diagnóstico exacto, además no debe olvidarse que en la mucosa oral pueden aparecer lesiones de tipo maligno o cáncer de distintos tipos, por lo que ante la aparición de una mancha, protrusión o úlcera en cavidad oral, debe consultarse con un profesional sanitario para llegar a un diagnóstico preciso.[14]

Necesidades especiales y prevención de enfermedades sistémicas

Hipoplasias irreversibles del esmalte dental causada por la enfermedad celíaca no tratada. La gran mayoría de los dentistas desconoce su relación con la enfermedad celíaca y los atribuyen por error a una fluorosis, a que la madre tomó tetraciclina durante el embarazo o a enfermedades durante edades tempranas.[15][16][17][18][19]

Los niños y adolescentes que padecen determinadas alteraciones de la salud, tales como enfermedades sistémicas, trastornos del desarrollo o problemas mentales, presentan mayor riesgo de desarrollar enfermedades orales.[20][21] No obstante, en la práctica no se suele realizar un adecuado control de la salud buco-dental en estos pacientes.[21]

Asimismo, el odontopediatra juega un papel clave en la detección temprana de ciertas enfermedades sistémicas o gastrointestinales que pueden cursar con afectaciones de la cavidad oral, tales como la enfermedad celíaca, la enfermedad de Crohn o la colitis ulcerosa.[15][16][17][18][22][23] Entre ellas, es especialmente importante la enfermedad celíaca debido a las serias complicaciones de salud que puede ocasionar si no es tratada a tiempo, algunas de ellas irrecuperables, y que pueden afectar a cualquier órgano, entre las que se incluyen otras enfermedades autoinmunes y diversos tipos de cáncer, especialmente el linfoma intestinal.[17] Los Institutos Nacionales de la Salud de Estados Unidos (NIH por sus siglas en inglés) incluyen en el protocolo diagnóstico de la enfermedad celíaca el examen dental para evaluar la presencia de hipoplasias del esmalte dental, por su alta asociación con la enfermedad celíaca.[24][25]

Principales intervenciones en odontología

Exodoncia o extracción

La exodoncia, comúnmente conocida como extracción, es la técnica de cirugía dental mediante la cual se realiza la avulsión o extracción de un diente o porción del mismo, del lecho óseo que lo alberga.

Obturación o empaste

La obturación, comúnmente conocida como empaste, es uno de los principales tratamientos que se realiza en odontología para la eliminación de la caries dental. La técnica consiste básicamente en la eliminación del tejido con caries y el relleno de la cavidad con un material artificial. Los materiales de relleno más empleados son la amalgama y la resina compuesta. Para la preparación de las cavidades se utilizan tornos (pequeños taladros que giran a gran velocidad) dotados de fresas de carburo de tungsteno que son capaces de actuar sobre el esmalte y la dentina. Cuando la obturación es amplia y afecta a una extensión considerable de la pieza dental se llama reconstrucción y se es aún mayor gran reconstrucción.

Endodoncia

La endodoncia es un procedimiento odontológico que actúa sobre la pulpa dental, se utiliza para tratar caries profundas que han atravesado el esmalte y la dentina y han llegado a la pulpa, produciendo una infección de la misma conocida como pulpitis. La técnica consiste en acceder a esta zona profunda de la pieza dental, extraer la pulpa mediante instrumentos especiales, y rellenar la cavidad con un material inerte.

Ortodoncia

Aparatología fija. Brackets gemelares de adhesión directa en ambas arcadas dentarias.

El tratamiento de ortodoncia se utiliza para la maloclusión dental que ocasiona apiñamientos y posiciones inadecuadas de las piezas dentales. Se puede realizar mediante aparatología fija que está compuesta de elementos adheridos a los dientes (bandas y brackets) a los que se ancla firmemente unos finos arcos elásticos de aleación metálica (níquel-titanio) mediante un conjunto de ligaduras. También puede emplearse aparatología removible, que puede ser retirada de la boca por parte del paciente, le que permite quitárselos durante la higiene oral y en las comidas: estos aparatos cuando tratan problemas dentales tienen sus indicaciones específicas que no suplen a la ortodoncia fija, si bien solucionan algunas maloclusiones sencillas.


Brackets linguales

Los brackets linguales pueden ser de medidas estándares o hechos a medida. Los hechos a medida son más caros, lógicamente.

Las ventajas de la ortodoncia lingual es que es prácticamente invisible desde fuera, y que no se corre el riesgo de manchar la cara visible de los dientes después de finalizar el tratamiento. Dentro de sus inconvenientes, hay que recalcar que la higiene bucal resulta más complicada, son más caros y resulta más complicado hablar correctamente.


Brackets o frenos de autoligado Damon

Estos brackets autoligables se diferencian de los brackets convencionales en que no es necesaria la instalación de ligaduras para fijar los arcos a los brackets, lo cual proporciona un movimiento dentario más confortable y más rápido, obteniéndose tratamientos más cortos y con citas más espaciadas en el tiempo. Además, la mejoría en la estética facial y de la sonrisa es realmente sobresaliente con este tipo de aparatología.


Ortodoncia Invisible

El proceso de ortodoncia invisible empieza por la consulta con el dentista especializado, donde evaluará el estado de la boca del paciente y determinará si esta persona es adecuada para este tratamiento. En caso de que sí lo fuese, se tomarán moldes de los dientes y se crearán modelos en 3D para diseñar los alineadores.

La ortodoncia invisible es un tratamiento dental que consiste en alinear los dientes mediante el uso de alineadores transparentes, en lugar de los brackets y alambres tradicionales. La ortodoncia invisible se ha convertido en una opción muy popular para aquellas personas que desean mejorar su sonrisa sin tener que usar aparatos dentales visibles.

Implante dental

Implante dental

Consiste en la reposición de unidades dentales perdidas por medio de la colocación de implante dental de titanio insertados en los maxilares, a manera de raíces de dientes colocadas dentro del hueso y que luego pueden portar coronas dentales artificiales diseñada para ello. En los casos en que haya limitaciones a la hora de colocar los implantes por falta de altura en el maxilar, se puede recurrir a intervenciones complementarias, como la técnica de elevación del seno maxilar.

Terminología en odontología

Esquema con la sección de un molar; 1: corona dental, 2: raíz dental, 3: esmalte dental, 4: dentina, 5: pulpa dental, 6: vasos sanguíneos y nervios, 7: ligamento periodontal, 8: región periapical, 9: hueso alveolar
  • Superficies del diente[9]
    • Superficie externa o vestibular. Es la cara del diente que da hacia fuera, hacia el vestíbulo. Por lo tanto la cara vestibular de los incisivos centrales superiores sería la que vemos cuando alguien sonríe.
    • Superficie interna, palatina o lingual. Es aquella cara del diente que mira hacia el interior, hacia la lengua.
    • Superficie interproximal. Es la superficie del diente que mira hacia la pieza próxima o contigua. Existen 2 superficies interproximales, una anterior o mesial que mira hacia la línea media y otra posterior o distal en sentido contrario. El espacio que hay entre dos dientes, también se llama espacio interproximal.
    • Superficie Oclusal. Es la superficie masticatoria del diente con la que se trituran los alimentos. Cuando corresponde a la superficie de corte de incisivos y caninos se denomina incisal.
  • Secciones del diente.[9]
    • La corona dental es la parte del diente visible y está cubierta por el esmalte dental. Coronal es la dirección que se toma para llegar a la corona dental.
    • Cuello dental. Es la parte intermedia del diente situada entre la corona y la raíz. Se designa como cervical aquella dirección que se dirige hacia el cuello del diente. Por ejemplo, si hay una caries situada en la raíz de un incisivo inferior y se dirige hacia cervical su recorrido será hacia arriba y si tenemos una caries que está en la corona camino de cervical en el mismo diente su camino será hacia abajo.
    • Raíz dental es la porción del diente más alejada de la corona y se encuentra unida al hueso alveolar del maxilar. El ápice es la punta de la raíz. Apical es la dirección que se toma para llegar al ápice, la zona próxima al ápice de la raíz dental se llama periapical.
  • Línea media. Es aquella que divide la hemiarcada izquierda de la derecha y se ubica justo entre los dos dientes incisivos centrales superiores o inferiores.
  • Antagonista. Nos referimos a un diente antagonista de otro para señalar el mismo diente, pero en la otra arcada, de forma que el diente antagonista del primer molar superior, por ejemplo, será el primer molar inferior del mismo lado.
  • Oclusión. En odontología, oclusión sirve para denominar lo que comúnmente se conoce como la mordida; es decir, la oclusión es el engranaje producido al contactar los dientes de la arcada inferior con los de la arcada superior. [26]
  • Arcada. Una arcada o arco dental es el grupo de dientes en la mandíbula o en el maxilar. Tendremos arcada superior, para el maxilar superior, y arcada inferior, en la mandíbula. El término hemiarcada hace referencia a la mitad izquierda o derecha de cada arcada.
  • Sectores. Sector anterior es el grupo de dientes que comprende los incisivos y caninos. Sector posterior es el grupo de dientes que comprenden los premolares y molares.

Véase también

Referencias

  1. Espinoza de la Sierra: Diagnóstico práctico de oclusión
  2. Real Academia Española. «estomatología». Diccionario de la lengua española (23.ª edición). Consultado el 22 de marzo de 2015.
  3. Sanz, Javier y María José Solera: Bernardino Landete, vida y obra. Studio Puig S.L. (Valencia, 2012) ISBN 978-84-695-3830-2
  4. Agencia Nacional de Evaluación de la Calidad y Acreditación (España): Título de grado en odontología. Consultado el 26 de marzo de 2016
  5. «Reseña Histórica». UCM- Facultad de Odontología.
  6. «El rector del Unibe». Diario libre.
  7. «Santo Domingo». El Pais.
  8. Zerón, Agustín: «Visión profesional de las competencias en la Odontología del Siglo XXI.» Revista de la Asociación Dental Mexicana Rev. ADM, marzo-abril 2011, 68 (2) 60-66.
  9. MOSBY: Diccionario de odontología, VV. AA., S.A. Elsevier, España, 2009, ISBN 9788480864626
  10. Emili Cuenca, Pilar Baca: Odontología preventiva y comunitaria. ELSEVIER, 2013, 4ª edición.
  11. Itziar Arteagoitia, Antoinia Diez: «Cepillos y accesorios, limpieza bucal». Farmacia Profesional, volumen 16, nº5, mayo 2002.
  12. Dawson, Peter E (2009). Oclusión Funcional: Diseño de la sonrisa a partir de la ATM. (Segunda edición). Amolca. p. 333-341.
  13. Okeson, Jeffrey P. Tratamiento de la oclusión y afecciones temporomandibulares (Séptima edición). Elsevier. p. 108-128.
  14. Klaus Hönninger: Tratamiento alternativo no invasivo de la Leucoplasia y Estomatitis nicotínica. Lima, Perú. Ethnoline, 2008.
  15. National Institutes of Health (NIH). «Dental Enamel Defects and Celiac Disease». Archivado desde el original el 17 de junio de 2016. Consultado el 5 de marzo de 2016. «Tooth defects that result from celiac disease may resemble those caused by too much fluoride or a maternal or early childhood illness. Dentists mostly say it’s from fluoride, that the mother took tetracycline, or that there was an illness early on».
  16. Ferraz, E. G., Campos, Ede J., Sarmento, V. A., Silva, L. R. (2012 Nov-Dec). «The oral manifestations of celiac disease: information for the pediatric dentist». Pediatr Dent (Revisión) 34 (7): 485-8. PMID 23265166. «The presence of these clinical features in children may signal the need for early investigation of possible celiac disease, especially in asymptomatic cases. (...) Pediatric dentists must recognize typical oral lesions, especially those associated with nutritional deficiencies, and should suspect the presence of celiac disease, which can change the disease’s course and patient’s prognosis.»
  17. Rashid, M., Zarkadas, M., Anca, A., Limeback, H. (2011). «Oral manifestations of celiac disease: a clinical guide for dentists». J Can Dent Assoc (Revisión) 77: b39. PMID 21507289. «Delays in diagnosis can lead to a variety of complications, including nutritional deficiencies, such as anemia and osteoporosis, reproductive disorders, increased risk of developing other autoimmune disorders and intestinal lymphoma.»
  18. Giuca, M. R., Cei, G., Gigli, F., Gandini, P., (enero-febrero de 2010). «Oral signs in the diagnosis of celiac disease: review of the literature». Minerva Stomatol (Revisión) 59 (1-2): 33-43. PMID 20212408. «There are enough evidence making the correlation between CD and oral defects scientifically sustainable. This recognition should lead dentists to play more significant roles in screening for CD, as otherwise, if not properly diagnosed and not treated with a gluten-free diet, may eventually cause some malignancies.»
  19. Pastore, L., Carroccio, A., Compilato, D., Panzarella, V., Serpico, R., Lo Muzio, L. (marzo de 2008). «Oral manifestations of celiac disease». J Clin Gastroenterol (Revisión) 42 (3): 224-32. PMID 18223505. doi:10.1097/MCG.0b013e318074dd98. «Patients with systematic dental enamel defects should be screened for CD even in the absence of gastrointestinal symptoms.»
  20. Estrella, M. R., Boynton, J. R. (mayo-junio de 2010). «General dentistry's role in the care for children with special needs: a review». Gen Dent (Revisión) 58 (3): 222-9. PMID 20478802.
  21. Da Fonseca, M. A. (mayo-junio de 2010). «Dental and oral care for chronically ill children and adolescents». Gen Dent (Revisión) 58 (3): 204-9; quiz 210-1. PMID 20478800.
  22. Chi, A. C., Neville, B. W., Krayer, J. W., Gonsalves, W. C. (1 de diciembre de 2010). «Oral manifestations of systemic disease». Am Fam Physician (Revisión) 82 (11): 1381-8. PMID 21121523. «Careful examination of the oral cavity may reveal findings indicative of an underlying systemic condition, and allow for early diagnosis and treatment.»
  23. Slebioda, Z., Szponar, E., Kowalska, A. (junio de 2014). «Etiopathogenesis of recurrent aphthous stomatitis and the role of immunologic aspects: literature review». Arch Immunol Ther Exp (Warsz) (Revisión) 62 (3): 205-15. PMC 4024130. PMID 24217985. doi:10.1007/s00005-013-0261-y.
  24. NIH (junio de 2016). «Diagnosis of Celiac Disease». Archivado desde el original el 15 de mayo de 2017. Consultado el abril de 2017.
  25. NIH (junio de 2016). «Estetica dental». Archivado desde el original el 15 de mayo de 2017. Consultado el abril de 2017.
  26. Ash M, Ramfjord S., Major M, Sigurd Peder. Anatomía, fisiología y fisiopatología de la oclusión (Cuarta edición). McGraw-Hill Interamericana. p. 1-29.
24. NIH (julio de 2023). «Ortodoncia invisible Ortodoncia invisible Akdent» Dentista en Barcelona . Archivado desde el original el 5 de mayo de 2022. Consultado el junio de 2023.

Enlaces externos

Este artículo ha sido escrito por Wikipedia. El texto está disponible bajo la licencia Creative Commons - Atribución - CompartirIgual. Pueden aplicarse cláusulas adicionales a los archivos multimedia.