Hallux

El hallux, mayormente conocido como dedo gordo o grueso del pie, o gran artejo u ortejo,[2][3][4] es considerado el primer dedo del pie en cuanto a orden. Es el correspondiente al dedo pulgar, pollex o pólice en los miembros superiores. Posee, a diferencia de los otros dedos, dos falanges en lugar de tres. El ser humano es el único primate en el que el hallux está alineado en paralelo con el resto de dedos, siendo este un factor clave para la locomoción bípeda. Por ello, no es extraño que las malformaciones, infecciones y otras patologías de este dedo, como los juanetes, produzcan un gran impacto para la calidad de vida del paciente y requieran de cirugía correctora. El dedo gordo también es un objeto de atracción y prácticas sexuales para algunos individuos.

Dedos gordos en la escultura
Los pies del David de Miguel Ángel, en los que se destacan ambos dedos gordos. En el pie derecho se observa tensión en el tendón del músculo extensor largo del dedo gordo, porque el dedo se encuentra parcialmente en dorsiflexión. El izquierdo, al contrario, está ligeramente en flexión. Este último está al lado del dedo que fue dañado en 1991 por un visitante llamado Piero Cannata.[1] Da la impresión de que estos detalles constituyen un estudio anatómico intencionado por parte del artista, que alterna estados relajados y tensos en toda la obra.
La misma disposición anatómica en la obra «Adán» de Auguste Rodin, quien siempre reconoció la influencia de Miguel Ángel.

En anatomía comparada de tetrápodos, hallux es el término latino que designa al dedo más interno o medial del pie. La identidad de estos dedos y su diferencia con los dedos de los miembros superiores pudieron surgir en la evolución simultáneamente con la aparición del quiridio en los vertebrados, probablemente en primer lugar en los peces ripidistios y rizodóntidos. En las aves está opuesto al resto de dedos del pie, para permitirles sujetarse firmemente a las ramas de los árboles cuando se posan en ellas.

Morfología y antropometría

Caso extremo de pie griego o dedo de Morton. Obsérvese cómo el segundo dedo del pie tiene una longitud mayor que el dedo gordo.

El dedo gordo es el primer dedo y el más interno del pie, aunque existen variaciones de la fórmula digital. En el pie normal o «pie egipcio» (69 % de la población) es de mayor longitud y grosor que los demás. Se denomina «pie griego» a aquel en el que el dedo segundo es de mayor longitud que el dedo gordo (10-22 % de la población) y pie cuadrado o «polinesio», a aquel en el que los primeros tres dedos son iguales (9 % de la población). Aparece representado en los cuadros de Paul Gauguin.[5][6][7] Durante la marcha, la base del dedo gordo del pie es una zona de apoyo importante, motivo por el cual la piel de la región plantar del dedo gordo es muy gruesa y dura en la zona de apoyo, con tejido subcutáneo rico en células adiposas que actúan de acolchado, además de irrigación sanguínea y terminaciones nerviosas.[8][9] El pie griego ha sido idealizado en la escultura, especialmente en el periodo helenístico y bajo la Dinastía Ptolemaica.[10] En antropometría la fórmula digital es importante, puesto que la longitud del pie se mide desde el punto más distal del dedo más largo (acropodion), hasta el punto más prominente del talón (pternion).[11]

Los patrones de los dermatoglifos en los dedos del pie son similares en su forma a los dedos de la mano.[12]

Esqueleto, articulaciones y ligamentos

Radiografía de un pie derecho en vista dorsal que muestra los huesos del dedo gordo. El ligamento de Lisfranc está situado en la marca roja de la esquina superior izquierda, y el borde inferior del dedo se destaca con una línea verde.
Vista plantar del esqueleto del dedo gordo. Nótese la posición de los huesos sesamoideos.

Anatómicamente forma parte de una cadena osteo-articular de tres piezas que prolonga el arco medial del pie partiendo de la primera cuña, el llamado «primer radio plantar». Sus componentes óseos parten del primer metatarsiano, y cuenta con solo dos falanges—siendo la falange media o segunda falange la que está ausente—[13] unidas mediante una articulación en pivote o trocoide, en tanto que el resto de dedos cuentan con tres. En la conexión metatarsiano-falange se encuentra el sistema glenosesamoideo, del que no disponen el resto de los dedos, y que está formado por dos huesos sesamoideos, que actúan a modo de polea (mecanismo sesamoideo) ayudando a los tendones de los músculos del dedo gordo en su función.[14] El sistema está formado por el cartílago glenoideo, que amplía la cavidad articular de la falange, y los dos huesos sesamoideos unidos por el ligamento intersesamoideo.[15]

También encontramos el ligamento de Lisfranc entre la base de la primera cuña y la cara interna de la base del segundo metatarsiano. Todos los dedos del pie poseen ligamentos intermetatarsianos que unen sus bases, salvo el dedo gordo con el segundo, el cual solo está unido a la cuña. Esto permite individualizar los desplazamientos, que en el resto de los dedos suceden en bloque debido a los ligamentos intermetatarsianos.[16]

Musculatura

Posee ocho músculos, siendo cuatro o cinco de ellos intrínsecos, es decir, que se originan en la región plantar interna o celda interna de la planta del pie (al igual que en la palma de la mano, cada región de la planta del pie envía músculos intrínsecos a dedos en particular). No llegan más allá de la epífisis proximal de la primera falange, estando todos en las regiones tarsianas, hipotarsales e incluso en la pierna:[17][18]

Músculos intrínsecos

Se sitúan en la cara plantar del pie y constituyen el aparato sesamoideo. En el sesamoideo interno se unen el abductor y el flexor corto, mientras que en el externo se unen ambas fascias del aductor del dedo gordo. Estos cuatro (o tres) músculos se disponen formando un ángulo abierto tanto dorsal como lateralmente, en el que el borde está constituido por el abductor y el abductor transverso, y la bisectriz por los dos restantes.

El fascículo transverso («abductor transverso»). Aduce el dedo gordo, pero también puede generar una pequeña flexión. Se origina de la tercera a quinta articulaciones metatarsofalángicas y se inserta en el sesamoideo externo.[19]
Músculos plantares del dedo gordo
Vista plantar del pie, primera capa. Se destaca lateralmente el músculo abductor del dedo gordo.
Vista plantar profunda del pie (tercera capa). Se destaca la posición de los dos vientres del músculo aductor.
El fascículo oblicuo («aductor oblicuo»), se inserta por una parte, en el extremo inferior de los metatarsianos tercero y cuarto y en la cara inferior del cuboides, y por otra en el sesamoideo lateral del dedo gordo y en la base de la primera falange.[19] Produce una aducción menor que el otro vientre, pero una flexión mayor.
  • Músculo abductor del dedo gordo (musculus abductor hallucis): Tiene su origen en la tuberosidad interna del calcáneo, discurriendo a lo largo del borde interno del pie, y se inserta en el sesamoideo interno.[19] Su contracción abduce el dedo gordo, aunque puede generar una pequeña flexión.
  • Músculo flexor corto del dedo gordo (musculus flexor hallucis brevis), también llamado músculo de la bailarina. Es un músculo bicipital que se origina en la zona medial de la superficie plantar del hueso cuboides, en porción contigua de la tercera cuña, y en la prolongación del tendón del músculo tibial posterior.[19] Desde estos orígenes se forman los dos vientres, el medial, que se inserta anteriormente en el sesamoideo interno una vez fusionado con el tendón del abductor, y el lateral, que lo hace en el externo fusionándose con la porción oblicua del aductor. El tendor del músculo flexor largo del dedo gordo pasa entre ambos vientres. Este músculo también se inserta en ambos lados de la base de la falange proximal. Su función consiste en flexionar el dedo gordo.[20]
  • Primer músculo interóseo dorsal del pie. Es un músculo profundo bipenniforme que se origina en la cara lateral externa de la primera falange del dedo gordo y externa de la segunda falange, y se inserta en la segunda falange del segundo dedo. Estos músculos son tan profundos que solo se observan una vez removidas en la disección las tres primeras capas musculares.
  • Músculo extensor corto del dedo gordo (musculus extensor hallucis brevis). Se considera el único músculo intrínseco dorsal, salvo que contemos con el anterior. En realidad se trata de la parte medial del músculo pedio.

Músculos extrínsecos

Vista dorsal del pie que muestra los músculos extensores del dedo gordo largo y corto (pedio).

Los músculos extrínsecos del dedo gordo, también llamados largos, sitúan su vientre y se originan en la pierna, por encima del tobillo.[15]

  • Músculo flexor largo del dedo gordo (musculus flexor hallucis longus). También llamado flexor propio del dedo gordo del pie, es un músculo profundo de la pierna que se origina en la parte posterior de la fíbula y partes adyacentes (membrana interósea, fascia del músculo tibial posterior, tabique intermuscular posterior) y se inserta en la superficie plantar de la primera falange del dedo gordo. Su función consiste en contribuir a la flexión plantar y a la supinación del dedo gordo.
  • Músculo extensor largo del dedo gordo (musculus extensor hallucis longus). Se origina en la fíbula y en la membrana interósea de la pierna. Discurre por la región dorsal bajo los extensores y se inserta en la primera y segunda falanges del dedo gordo. Extiende la segunda falange sobre la primera, pero su acción puede contribuir a la rotación interna y a la flexión del pie.
  • Músculo peroneo lateral largo (musculus peroneus longus). En realidad solo afectaría al primer metatarsiano y apenas contribuye a la movilidad del dedo gordo, aunque sí a su biomecánica. Se origina en la cabeza y tercio superior de la fíbula y se inserta mediante un largo y profundo tendón en el tubérculo externo posterior del primer metatarsiano. Su función es la abducción y rotación del pie hacia afuera.
Vascularización del dedo gordo
Vista dorsal.
Vista plantar superficial.
Vista plantar profunda.

Vascularización

La vascularización del dedo gordo está formada por dos ramas arteriales y dos venosas en el dorso y otras tantas en la planta, así como muchos y variados capilares de intercambio.[21]

Sistema arterial

Todas las arterias derivan de ramificaciones sucesivas de una sola, la arteria poplítea.

Área plantar

Desde la arteria plantar medial (una rama de la arteria tibial posterior) parte una rama que se bifurca al llegar a la mitad del primer metatarso. Una de las ramas resultantes riega uno de los lados del dedo gordo, mientras que la otra riega el otro. A nivel de la base de la primera falange las dos ramas se unen. Además, el ramal derecho se une con una rama de la arteria plantar lateral. Las dos arterias laterales van discurriendo a lo largo del dedo gordo, produciendo arteriolas y capilares en los tejidos internos.

Área dorsal

De la arteria dorsal del pie, que procede de la arteria tibial anterior, parten dos ramificaciones (por encima de otras pequeñas arteriolas que irrigan el tarso). La medial, posteriormente, se bifurca de nuevo, irrigando una de las ramas la parte derecha del dedo gordo y la otra la izquierda.

Sistema venoso

En el dedo gordo el sistema venoso es prácticamente paralelo al arterial, con la única diferencia de que las venas son más numerosas que las arterias. Superficialmente la vena dorsal del hallux confluye con el arco venoso dorsal del pie en el punto en el que arranca la vena safena mayor. Estas venas contienen muchas válvulas. Sin embargo, en la zona plantar existe una red imbricada de finas venas avalvulares llamada plexo venoso plantar, que confluyen a través de la vena perforante del primer metatarsal en vena dorsal marginal interna, continuando por la safena mayor. A este grupo de venas plantares se lo denominó "plexo o suela venosa de Lejars", pero posteriormente Bourceret demostró que era un artefacto. Se sabe que son importantes en el retorno venoso desde el pie (bomba plantar), en la que juega un papel importantísimo la vena perforante del primer metatarsal al confluir gran cantidad de sangre de los dedos exprimida por la presión del peso del cuerpo en la pisada y no poseer estas venas válvulas.[22]

Inervación del dedo gordo
Vista plantar del pie.
Vista dorsal.

Inervación

Las órdenes de contracción muscular del pie derivan de las sucesivas modificaciones de tres nervios: el nervio tibial, el nervio fibular profundo y el nervio fibular superficial.[23]

Dorso

En el dorso del dedo gordo el nervio que discurre por la parte lateral deriva a partir de la ramificación lateral del nervio cutáneo dorsal medial, que es la ramificación medial del nervio fibular superficial; mientras que el nervio que discurre por la parte medial del dedo gordo deriva de la ramificación lateral del nervio fibular profundo. Los nervios del dedo gordo, así como los de los otros dedos, se llaman genéricamente nervios digitales dorsales del pie.

Después de unos 6 cm de recorrido, el nervio fibular superficial, o nervio peroneo superficial, se divide en dos ramas terminales a la altura del tobillo a nivel del maléolo externo.[24] La rama externa o lateral produce la inervación del dorso del tercer y cuarto dedos del pie. La rama interna o medial, que es la más larga de las dos, es el nervio cutáneo dorsal medial y produce tres ramas:[24]

  • la rama interna, que continúa como el mismo nervio cutáneo dorsal medial del dedo gordo y que suele medir unos 2,3 mm de diámetro,
  • la rama intermedia, que inerva la cara dorsal externa del dedo gordo e interna del segundo dedo del pie,
  • la rama externa, que se encarga de la inervación del segundo y tercer dedos del pie.

Región plantar

Las ramificaciones que entran en la región plantar del dedo gordo derivan de la rama medial (llamado nervio plantar medial o plantar interno) del nervio tibial. Estos nervios (nervios digitales plantares propios) discurren por la parte medial y lateral del dedo gordo y se infiltran en los tejidos con pequeñísimas ramificaciones.[23] El nervio digital plantar propio del dedo gordo es la ramificación más interna o medial de las ramificaciones del nervio plantar medial.[24]

Áreas de asociación del encéfalo

Las sensaciones (aferencias) cutáneas del dedo gordo pasan por el nervio fibular profundo hacia el nervio ciático poplíteo externo. De ahí van al gran nervio ciático o ciático mayor, ascendiendo por la médula espinal a través del plexo lumbosacro (L4-S3). Mediante experimentos de imagen por resonancia magnética funcional se han localizado los centros de representación del dedo gordo en la corteza somatosensorial.

En la corteza somatosensorial primaria (SI), el dedo gordo se encuentra representado en la cara medial de la zona anterior del lóbulo parietal. En la corteza somatosensorial secundaria (SII), la representación es muy similar a la de los primates superiores, localizándose en el opérculo parietal, cerca del fundus del surco lateral y del polo posterior de la ínsula.[25]

Uña del dedo gordo del pie

Por lo general, la uña del dedo gordo del pie es más grande y gruesa que el resto de las uñas de los dedos del pie y de la mano. Ofrece protección al dedo y tiene importancia en la estabilización del dedo gordo.[26] Es la uña que más comúnmente causa onicocriptosis o uña encarnada,[27] en particular el borde interno o medial, ocasionando dolor con cada pisada. Esta afección es particularmente frecuente en la uña del dedo gordo del pie.[28] La uña se entierra en una franja de piel llamada paronniquio, la cual se inflama produciendo una lesión granulomatosa que a menudo se infecta.[29] La lúnula o semiluna blanquecina de la raíz ungüeal es más prominente en el dedo gordo que en el resto de los dedos del cuerpo.[30]

Algunos textos recomiendan recortar la uña del dedo gordo en línea recta y no dejarla demasiado corta, de tal forma que se pueda al menos meter la uña de un dedo de la mano debajo de los lados y del extremo de la uña del dedo del pie.[31] El corte repetido de las uñas no corrige el futuro crecimiento de la uña y suele incluso empeorar una uña encarnada. Algunos autores y profesionales de la salud recomiendan colocar un pequeño pedazo de algodón bajo la uña y humedecerlo con agua o antiséptico.[27][32] El uso de zapatos demasiado cortos o apretados en los dedos de los pies puede afectar y lesionar la uña del dedo gordo del pie por exceso de presión.[33] Por ser la uña del cuerpo con la mayor área de superficie, la uña del dedo gordo es la que recibe mayor atención durante la pedicura y mayor detalle artístico en la pintura de uñas. La uña debe limarse antes de humedecer el pie, mientras que para retirar la cutícula debe primero humedecerse la piel.[26]

Biomecánica

Diagrama que muestra la trayectoria de la pisada en los tres tipos de pie, de derecha a izquierda: pronador, normal y supinador. Se observa que en el caso normal, el último apoyo se realiza en el dedo gordo.

Desde el punto de vista de la biomecánica, el dedo gordo pertenece al llamado pie astragalino, también denominado por otros textos pie taliano, superomedial o dinámico. Incluye los tres primeros dedos, que se prolongan a partir astrágalo por las tres cuñas. Su función es la propulsión, en contraposición al pie calcáneo o estático, que comprende los dos dedos restantes (cuarto y quinto) y cuya función sería de soporte de la carga o apoyo.[3][20] Según algunas interpretaciones, el pie soportaría el peso del cuerpo de forma muy similar a una bóveda sustentada por cinco arcos y tres puntos de apoyo. En cuanto al primer punto de apoyo, se ha dicho que es la articulación metatarsofalángica, pero el pulpejo del dedo gordo es un punto de apoyo igualmente constante e importante. El dedo gordo pertenece al primer arco del pie o arco interno, el cual es un eje que pasa por el centro de las primeras falanges y metatarsianos, la primera cuña, y por la parte interna del escafoides y astrágalo (hueso). Este eje forma un ángulo de unos 18-25° con el suelo, estando su vértice en la punta de la primera falange. Es, según el especialista en cirugía podológica G. Pisani, el arco de máxima movilidad, y uno de los tres puntos de apoyo. Es conveniente pensar en el modelo de «bóveda» como algo dinámico y constantemente adaptable a las variaciones ambientales para proporcionar en cada momento un óptimo funcional.[15]

Imagen del esqueleto del pie. En sombreado se muestran los huesos pertenecientes al pie astragalino.

En el ciclo de la marcha normal, cada pie permanece en contacto con el suelo el 62 % del tiempo. En ese intervalo se produce un primer momento en el que el talón recibe el impacto con el suelo, parte de la energía cinética se transmite a lo largo de la línea media o central del pie, y posteriormente se efectúa la propulsión por la base del dedo gordo, que también es pilar anterior del arco longitudinal medial, aunque esto depende del estilo de la pisada, estando el punto de apoyo durante la propulsión del pie pronador un poco compartido entre el primer y segundo dedos. En el caso de la carrera, el talón entra menos o nada en contacto con el suelo, pero el punto de apoyo es el mismo que en la marcha normal.[34] El flexor corto y el abductor del dedo gordo forman parte del sistema calcáneo-aquíleo-plantar, que contribuye a estabilizar longitudinalmente la parte posterior del tarso, y por tanto el talón. Este sistema actúa como un gran sistema sesamoideo, transmitiendo la fuerza tensora del tríceps sural al pie, y posibilitando la posición de puntillas, importante en el inicio de la marcha, aunque el músculo más importante es el flexor largo.[15]

En la marcha del pie equino, la rodilla y la cadera deben flexionarse de tal manera que el dedo gordo del pie sea el punto de contacto inicial entre el pie y el suelo. De no corregirse el trastorno, suele instalarse una elevación de la cadera, artrosis en las fases posteriores de la vida y una marcha caracterizada por movimiento circular de la pierna para obtener la separación del suelo necesaria para deambular.[35]

Embriología y desarrollo

Vista dorsal y plantar de los pies de un feto humano de entre 9 y 10 semanas. Se puede apreciar cómo en esa fase del desarrollo el dedo gordo está aún en abducción.

La formación inicial de los genitales y los dedos, así como su identidad, dependen inicialmente de un complejo génico, el HOXD, que está formado varios genes que se numeran del 1 al 13. La expresión de estos genes en las células mesenquimatosas que van a dar lugar a los dedos se realiza de forma secuencial, comenzando por el HOXD1, cuyo producto reprime la expresión de los últimos genes del complejo, HOXD10-13, formando el brazo y la pierna. En una segunda oleada se expresan estos últimos genes, formando la mano y el pie. Las células que van a dar lugar al pulgar y al hallux expresan HOXD13, pero a diferencia de los otros dedos, no expresan el resto de genes del complejo.[36]

Existen pruebas que el gen receptor del sonic hedgehog, Patched 1 (Ptc1) es un determinante temprano en el hecho de que los dedos de los pies sean diferentes de los dedos de la mano regulando su ligando negativamente.[37] En cualquier caso, la identidad de los dedos depende de la zona de actividad polarizante (ZPA) que es un grupo de células mesodérmicas localizado cerca del borde posterior del esbozo del miembro cuyo cometido es dirigir la formación del eje antero-posterior, aunque dependiendo de los otros dos centros, la cresta ectodérmica apical (o cresta de Saunders, AER que desaparece en el estadio 19 de Carnegie) y el ectodermo no-AER mediante bucles de retroalimentación mesodérmico-epiteliales.[38]

Las tres regiones del miembro inferior aparecen a partir del estadio 16 de Carnegie (también llamado de O'Rahilly), aunque en el mismo plano transverso. En el estadio 17 aparece el esbozo del pie, el cual es un disco redondeado llamado placa pedia. Este disco está dispuesto de tal manera que la futura zona plantar está orientada cranealmente. Algunos autores piensan que en este momento se comienza a formar el primer radio digital en la placa pedia, y por tanto, sería el momento del inicio de la formación del hallux.[39]

Los primordios de los dedos del pie aparecen en el ser humano a partir de la placa pedia en el estadio 18 de Carnegie, en torno al 44.º día, cuando el embrión tiene entre 13 y 17 mm. En este momento comienzan a diferenciarse los dedos por apoptosis de las células que hay entre los dedos, comenzándose a ver las muescas interdigitales, y comienza la supinación del pie, es decir, la rotación (de unos 90°) del pie en sentido antihorario en el izquierdo y al contrario en el derecho.[39] Entre el estadio 20 y 21 terminan de formarse los dedos. En el estadio 22 condrifican las falanges a partir del tejido mesenquimatoso del esbozo, justo después del escafoides, siendo los últimos elementos óseos en hacerlo, realizándose en un orden próximo distal, pero la falange proximal del dedo gordo es la última falange proximal en condrificar (orden 2-3-4-5-1). Los sesamoideos condrifican muy tardíamente, en el estadio 23.[39][40] Tras 53 días concluye el periodo embrionario y al nasciturus se lo comienza a llamar feto. En el de la imagen, de 37 mm (unas 8-9 semanas) vemos que el dedo gordo se encuentra todavía en abducción, situación que comienza en el estadio 23. Es en este momento cuando termina de formarse el patrón de vascularización del dedo gordo.[41] La osificación del dedo gordo tiene lugar en el tercer mes de gestación, siendo el primer elemento óseo del pie en hacerlo, comenzando por la falange distal y terminando por la proximal.[39]

Filogenia y evolución

Distintas formas de dactilia en aves actuales.

Algunas pruebas sugieren que el esqueleto de los arcos branquiales, las aletas pares de los peces y los miembros de los tetrápodos tienen grandes similitudes en cuanto a su desarrollo, por lo que estos últimos podrían proceder evolutivamente de aquellos.[42][43] Las primeras estructuras homólogas a los dedos ya pueden encontrarse en las aletas pectorales de fósiles de peces del Devónico Superior, como Panderichthys.[44] Sin embargo, los primeros datos acerca de la presencia de tetrápodos son anteriores, pues ya se encuentran en icnitas de sedimentos mareales de Polonia, correspondientes al periodo Devónico Medio (Eifeliense).[45] La principal diferencia entre los miembros de los tetrápodos y las aletas de los sarcopterigios es la pérdida de los lepidotricos y la aparición de los dedos.[46] Los primeros tetrápodos del Devónico final eran polidáctilos, y el patrón ancestral de cinco dedos apareció en el Carbonífero temprano. Los elementos distales de la ulna o fibula (huesos ulnar o fibular e intermedio) se asociaron para formar la muñeca; esta estructura contribuía a distribuir el peso sobre la mano o el pie para conseguir elevar al animal e impedir el aplastamiento de los pulmones.[47] Precisamente será este hueso intermedio el que, prolongándose distalmente, dará lugar al hallux, que ya puede encontrarse esbozado, aunque aún incompleto, en eusthenopteron, y netamente definido, en Ichthyostega. En ambos fósiles, así como en algunos anfibios —y según algunos autores también en determinadas afecciones, como el escafoides accesorio— puede encontrarse una extensión asociada a la tibia, el prehallux.[48][49][50]

Esqueleto de la tortuga primitiva Proganochelys quenstedti, en el que se observa la disposición de los miembros posteriores típica de reptiles.

Los reptiles tienen los cuatro miembros dispuestos en perpendicular con el tronco, y también la superficie plantar y los cinco dedos, estando estos alineados en paralelo.[51] En los pterosaurios todos los dedos salvo el 5º están alineados. En estos dedos el orden de tamaño es, de mayor a menor, 3-2-4-1. Se especula que su postura en tierra podría ser erguida, y que los pies se podrían utilizar para controlar el vuelo e incluso para la natación.[52][53] En casi todos los dinosaurios se da una tendencia a la reducción del hallux y el 5.º dedo en favor de los otros tres.[54] En los dinosaurios terópodos se da una tendencia a situar el hallux a la altura de la mitad del segundo metatarsal, siendo éste muy reducido y con la falange distal y su correspondiente garra muy cortos. Las aves primitivas conservan esta tendencia, como Archaeopteryx, si bien en este caso se observa que la falange distal y su correspondiente garra están alargados.[55] En las aves actuales el hallux está opuesto al resto, tal vez como adaptación a la sustentación en ramas o perchas (anisodactilia). Estudios biomecánicos indican que esta disposición de los dedos pudo tener un importante papel en el origen del vuelo en las aves.[56] Con respecto a este patrón de dactilia original de las aves, existen algunas modificaciones: En algunas especies de la familia Apodidae se recupera la pamprodactilia, y la garra del hallux se utiliza para colgarse.[57] En las aves nadadoras, el hallux está muy reducido o ausente, así como en las corredoras, como las ratites o en las avutardas.[58]

Feto de koala en la fase final de la gestación mostrando sus halluces oponibles y sin garras.

Mientras que en un primer momento se pensaba que los primeros mamíferos tenían un origen arbóreo, se han acumulado evidencias de que ocupaban una gran variedad de nichos ecológicos, y que por tanto mostraban adaptaciones a una multitud de hábitats. Algunos autores opinan incluso que el patrón primitivo pudo ser terrestre, y que las adaptaciones a la vida arbórea que se observan en marsupiales y primates serían derivadas de éste.[59] Sin embargo, otras teorías apuntan a que posiblemente estos mamíferos habitasen en realidad un medio diversificado en el que la versatilidad locomotora era un factor importante, y en este contexto las vidas arbórea y terrestre se habrían dado simultáneamente.[60]

Los mayoría de los marsupiales americanos poseen un pie no especializado con hallux oponible, probablemente heredado de un antepasado arbóreo. Se piensa que los marsupiales australianos proceden de los americanos. El representante actual más próximo a los ancestros americanos, Dromiciops gliroides, muestra también un hallux oponible. A partir de este patrón, los dasiuromorfos, marsupiales carnívoros, presentan una tendencia evolutiva a la reducción o eliminación del hallux, mientras que en el resto de grupos los otros dedos sufren sindactilia, pudiendo posteriormente reducirse el hallux, como en el caso de los Diprotodontia, o incluso desaparecer, como en Macropus, como adaptación a la vida terrestre.[61][62]

Hay un gran debate sobre si los primitivos mamíferos placentados comenzaron en hábitat arbóreo o escansorial. El fósil de mamífero placentado más antiguo encontrado hasta la fecha, Eomaia scansoria parece que poblaba este tipo de hábitat, y en todo caso, la estructura del pie retenía la disposición primitiva de su clado. Todos los dedos poseían garra, siendo los dedos 4º y 5º los mayores, y el hallux el menor, lo cual es un patrón para la locomoción escansorial, puesto que los mamíferos terrestres suelen tener más largos los dedos 3º y 4º. Aun así, el tamaño de los dedos era bastante similar.[63][64]

A partir de este patrón, en el Cretácico tardío y sobre todo a partir del Paleoceno se produjo una gran diversificación de los mamíferos placentados que llegaron a ocupar una gran diversidad de nichos ecológicos, y en consonancia con ello se produjo una modificación adaptativa de sus miembros (ecomorfismos) a las nuevas formas de locomoción.[59]

Dentro de los hábitats terrestres, los mamíferos fosoriales (cavadores) tienen pies pentadáctilos con los dedos aproximadamente iguales y con garras,[65] mientras que los cursoriales tienden a reducir los dedos periféricos o incluso eliminarlos, como en el caso del caballo. El mismo patrón de reducción aparece en los mamíferos de locomoción saltatoria.[59] En los mamíferos graviportales el hallux tiende a degenerar perdiendo sesamoideos o falanges. Curiosamente, en el grupo hermano de los elefantes, los hiracoideos el hallux está ausente.[59][66][67] En los mamíferos nadadores que conservan los miembros posteriores, los pinnípedos, el hallux puede ser el dedo de mayor longitud.[68] En los mamíferos voladores es frecuente que la primera falange del hallux se alargue de modo que todos los dedos alcanzan la misma longitud.[69]

Comparación de las formas de marcha de Pan y Homo. En la imagen de la derecha se aprecia que, aunque en las pisadas de Laetoli e Ileret la marcha es similar a la humana actual, aún existe cierto grado de apoyo sobre el exterior de la planta del pie, como en Pan.

Evolución del hallux en primates no humanos

La oposición del hallux como adaptación al hábitat arbóreo y al agarre a ramas finas se ha producido en repetidas ocasiones a lo largo de la evolución. Ya lo hemos visto en el caso de algunos marsupiales, pero también puede encontrarse en algunos roedores, en Scandentia y en Plesiadapiformes, que pierden la garra de este dedo. Sin embargo, la diferencia es que los primates más primitivos está asociado a la transformación de la garra del hallux en una uña. Algunos prosimios conservan garras, en especial en el segundo dedo; los haplorrinos presentan unas garras especiales —llamadas tégulas— en todos los dedos salvo el hallux, y en el resto de primates se han transformado todas las garras en uñas. Una de las teorías más extendidas defiende que este cambio tuvo lugar como adaptación para atrapar insectos.[61][70] Todos los primates de vida arbórea poseen un hallux muy desarrollado y oponible, formando una prominente horquilla que les permite asirse a las ramas. Los primates cuadrúpedos, y entre ellos los póngidos presentan caracteres intermedios, y un hallux también oponible, pero reducido.[71]

Evolución del hallux humano

Imagen que muestra las líneas de presión (podobarometría) deducidas a partir de icnitas de dos homínidos: Australopithecus afarensis y Homo sapiens. Las huellas A y B son de dos sujetos actuales. En la A se da una marcha normal con el miembro extendido, mientras que en la B se le pide al sujeto que efectúe una marcha BKBH (con cadera y rodilla dobladas), como en los simios hominoides. La huella C es de Laetoli y muestra una gran semejanza con la actual en cuanto a profundidad hallux-talón.

El pie humano se distingue del del resto de mamíferos y primates por un gran número de adaptaciones que le permiten disipar la energía cinética del impacto y transformarla en un impulsor rígido a través de los dedos de los pies y, especialmente, del hallux (conservación de la energía).[72] La mayoría de los primates tienen el hallux oponible, es decir, en una posición similar a la del pulgar. Así, el hallux se proyecta lateralmente en un ángulo casi recto, lo cual les permite usar los pies como usan las manos, para agarrarse a las ramas de los árboles (hábitat primario de los simios) e incluso para aprehender comida y otros objetos. Se dice por ello que este hallux está en abducción.[73] Durante el proceso de hominización, los antepasados de la especie humana abandonaron paulatinamente el hábitat arbóreo, colonizaron la sabana y se hicieron bípedos; este cambio de costumbres conllevó numerosas modificaciones en la anatomía de los homínidos para la marcha erguida. Uno de los eventos clave en la adaptación a la bipedestación fue el desplazamiento o convergencia del hallux hasta ocupar una posición paralela al resto de dedos, es decir, un hallux en aducción. No hay muchos fósiles que permitan reconstruir cómo pudo tener lugar este proceso.[72] Las teorías clásicas consideran al hallux oponible de los primates superiores terrestres que «caminan sobre sus nudillos» como el modelo primitivo del que supuestamente deriva el humano actual. Sin embargo, va ganando adeptos la idea de que, probablemente, en el último antepasado común de grandes simios africanos y humanos, existía un modelo con caracteres mosaicos, de tal modo que el hallux humano actual en ese caso no procedería del hallux oponible de los póngidos actuales.[72] Bajo este escenario, la estación bípeda probablemente surgió directamente de pasados arbóreos.[74][75]

Ardipithecus ramidus es uno de los primeros antepasados reconocidos de la especie humana; vivió hace 4,4 millones de años y fue bípedo, como lo demuestra la estructura de la parte superior de la pelvis. No obstante, aún conservaba el dedo gordo en posición lateral respecto a los demás dedos. Sin embargo, esta oposición es de naturaleza diferente a la de los actuales póngidos, y combina prensibilidad con una propulsión más semejante a la humana.[72] Un millón de años después, Lucy (Australopithecus afarensis) había perfeccionado mucho el bipedismo y, aunque aún frecuentaba las copas de los árboles, tenía un pie sorprendentemente similar al del Homo sapiens, con el hallux situado casi en la misma posición que la del ser humano actual.[76][77] Recientemente ha sido descubierto un fósil, designado como AL 333-160 y atribuido también a A. afarensis que mostraría que estos homínidos ya contaban con una estructura de los arcos del pie similar a la actual, y que por tanto serían bípedos, si bien la interpretación del hallazgo presenta algunas dificultades. Los homínidos posteriores acabaron desarrollando un pie como el nuestro, con el dedo gordo más avanzado que el resto de los dedos.[78][79]

Clínica del dedo gordo

Semiología

Existe una multitud de signos que se manifiestan como una flexión del dedo gordo. Tal vez el más conocido de todos ellos sea el signo de Babinski, que consiste en una dorsiflexión del dedo gordo como respuesta a una estimulación con un objeto romo a lo largo del borde externo plantar haciendo una curva al llegar a los metatarsianos. Esta reacción no es patológica en neonatos y bebés de hasta entre uno y dos años de edad, sino que es un reflejo primitivo, conocido como reflejo plantar. Si permanece a partir de los dos años es anormal,[80] y su presencia es característica de una lesión del tracto piramidal.[81] La respuesta normal sería una flexión plantar.

Una sinopsis de los reflejos anormales que implican la extensión del dedo gordo, muchos de ellos similares al signo de Babinski, sería la siguiente:[82]

Dibujo que muestra la forma de observar el signo de Babinski.
Nombre del signo Desencadenante Problema asociado
Signo de Bing Pinchazos Lesión del tracto piramidal
de miembros inferiores
Signo de Cornell Rascando el dorso del pie Lesión del tracto piramidal
Signo de Chaddock Golpeando el maleolo lateral Lesiones del tracto piramidal
Signo de Gonda Flexión y liberación del 4.º dedo Lesión piramidal
Signo de Gordon Exprimir los gemelos Lesión del tracto piramidal
Signo de Moniz Flexión plantar del talón Lesión del tracto piramidal
Signo de Oppenheimer Irritación bajo el lado
medial de la tibia
Signo de Schaeffer Exprimiendo el tendón de Aquiles Lesión del tracto piramidal
Signo de Stransky Abducción vigorosa y liberación repentina Lesión del tracto piramidal
Signo de Strümpell Flexión de la rodilla contra una resistencia Lesión del tracto piramidal
Signo de Throckmorton Presión sobre la articulación
metatarsofalángica del dedo gordo
Lesión del tracto piramidal

Patología

La gota, dibujo del caricaturista británico James Gillray que muestra los efectos de la podagra sobre el dedo gordo.

La podagra (del griego ποῦς, -δός, ‘pie’ y ἄγρα, ‘cepo’: ‘cepo que atrapa el pie’) es la de la gota que afecta a los pies. Se conoce desde tiempos remotos, encontrándose inscripciones en el santuario de Asclepio que se refieren a ella.[83] En más del 75 % de los casos, la inflamación tiene lugar en la articulación metatarsofalángica del dedo gordo, posiblemente porque los cristales de urea cristalizan mejor en las articulaciones distales con baja circulación. En la pseudogota, sin embargo, la articulación más afectada es la rodilla, aunque también puede producir podagra.[84] Muchas formas de artritis (artritis psoriásica y reactiva) pueden producir dactilitis del dedo gordo o dedo en salchicha. Esto es especialmente evidente cuando la espondilitis anquilosante produce una entesitis del dedo gordo.[85]

Entre las afecciones infecciosas destaca la osteomielitis crónica del sesamoideo. Esta infección tiene lugar por ulceración o introducción de un objeto extraño. Uno de los agentes patógenos implicados suele ser Pseudomonas.[23] La sesamoiditis es una patología asociada a la inflamación de los huesos sesamoideos que se encuentran en la articulación metatarsofalángica, y produce un dolor característico en la base del dedo gordo por la cara plantar.[86]

Un traumatismo frecuente en jugadores de rugby y otros deportes es el esguince de la articulación metatarsofalángica, también conocido como dedo del césped o del turf. Se suele producir por hiperdorsiflexión de la articulación. La clasificación de Jahss describe los diversos grados de luxación de esta articulación, y la clasificación de Clanton el grado de severidad del esguince.[23] En el fútbol son frecuentes los traumatismos en el dedo gordo del pie, que se producen cuando el pie del jugador está en posición pronada y con el talón al aire.[39] La enfermedad de Renander es una osteocondrosis que afecta a los sesamoideos, más frecuentemente en mujeres de entre 9 y 17 años, y que se produce por microtraumatismos deportivos.[87]

El dedo gordo es el peor irrigado del pie, puesto que la arteria plantar interna es muy fina y recibe poca sangre. Por este motivo, es el primer dedo en verse afectado por los diversos trastornos isquémicos del pie,[88] como la angiopatía diabética (mal perforante plantar),[89] en la que puede detenerse el crecimiento de la uña del dedo gordo al tiempo que se produce una hiperqueratosis del lecho ungeal y una pigmentación oscura anormal,[90] la enfermedad de Buerger,[91] o la aparición de úlceras isquémicas producidas por la presión del calzado en pacientes con patologías por malformación del dedo gordo.[92]

El tumor de hueso y tejido blando que más frecuentemente se presenta en los dedos de los pies, y especialmente en el dedo gordo, es el osteocondroma, y es más frecuente en mujeres menores de 19 años.[93] Los osteocondromas aislados se suelen asociar con traumatismos, especialmente en la falange distal del dedo gordo y bajo la uña. No se ha encontrado ningún caso de malignización de este tipo de tumor.[94]

Además de las afecciones dermatológicas expuestas en el apartado de su uña, el dedo gordo del pie puede verse afectado por un tipo específico de eccema de etiología variada y resistente al tratamiento, conocido como eccema de la punta del dedo.[28]

En el síndrome de Prader-Willy aparecen dermatoglifos peculiares en la zona distal del dedo gordo.[95] y

Patologías por malformación o indiferenciación

En la infancia, una malformación hereditaria frecuente e infradiagnosticada es la desviación ungueal congénita del primer dedo del pie, que produce molestias debido a que las uñas crecen internamente (se encarnan). Los mejores resultados se obtienen con la corrección quirúrgica antes de los dos años, aunque también son buenos en adultos.[96]

Las metatarsalgias que afectan específicamente al dedo gordo son los síndromes de insuficiencia y de sobrecarga del primer radio o del apoyo anterointerno. El primero se debe a que el primer radio no puede asumir el reparto de la carga de peso (estática o dinámica). Se debe a varias causas: acortamiento congénito del primer metatarsiano (pie de Morton), que se desplaza en varo (es decir, hacia afuera), y los sesamoideos lo hacen posteriormente, dando al pie un aspecto triangular cuando el resto de metatarsianos se abren en abanico. Afecta al dedo gordo produciéndole frecuentes subluxaciones. También puede darse insuficiencia del primer radio por debilidad de partes blandas, o secundariamente a un pie planoo a una intervención por hallux valgus. Como consecuencia de la insuficiencia puede producirse una enfermedad de Deutschlander o pie de recluta, que cursa con tumefacciones y dolor por la sobrecarga del segundo radio. También puede producirse un «pie plano transverso», que consiste en una afectación progresiva del restos de los dedos que pueden derivar en un «complejo de hallux valgus» o pie triangular. Afecta a pies egipcios con el primer metatarsiano demasiado engrosado y alargado (casi siempre debido a una fisis distal). Produce hallux rigidus o sesamoiditis.[5][97]

Otras malformaciones son:

Sobre el plano sagital
  • Hallux extensus: Es una deformidad del dedo gordo que consiste en una flexión dorsal (extensión) permanente de ambas falanges del dedo a nivel de la primera articulación metatarso-falángica, pudiendo implicar también la interfalángica, lo que provoca diversas molestias, en especial, al rozar contra el calzado.[98]
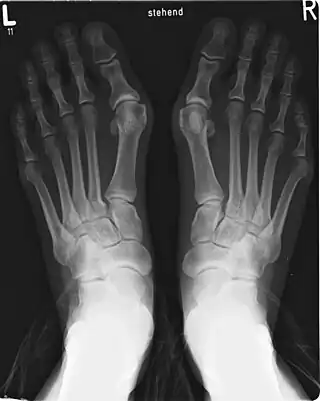
Radiografías que permiten comparar las desviaciones del dedo gordo en hallux valgus y hallux varus.
  • Hallux flexus: Para algunos autores se trata de una forma de hallux rigidus, mientras que otros reservan este nombre para el caso de que su etiopatogenia sea de origen muscular, tanto por parálisis de los extensores como por contractura de los flexores del dedo gordo.[15]
  • Hallux malleus, o dedo gordo en martillo. Se produce frecuentemente por la debilidad o descompensación muscular de los músculos de la pantorrilla tras un accidente cerebrovascular, por daños en tendones, o en raras ocasiones, como consecuencia de una intervención quirúrgica.[99]
  • Hallux rigidus: Es una afección que restringe o impide la dorsiflexión de la articulación metatarsofalángica del hallux—el segundo trastorno más frecuente de esa articulación.[100] Se caracteriza por una artrosis osteofítica, degenerativa y anquilosante de la primera articulación metatarso-falángica y de otros elementos del dedo gordo del pie. También puede producirse secundariamente a otras afecciones, como el hallux valgus, la gota o traumatismos locales u operaciones quirúrgicas. En su etapa inicial suele llamarse hallux limitus.[15]
Sobre el plano transverso
  • Hallux valgus, o juanetes: Desviación del primer dedo del pie fuera de la línea media, acompañado además de una protuberancia (exostosis) en la articulación metatarsofalángica, constituyendo la patología más frecuente de la articulación, con una prevalencia del 28,4 % de la población general.[100][101] Existirían dos formas de hallux valgus, uno congénito, de aparición en la infancia y con una prevalencia similar entre sexos, y otra principalmente adquirida, que en su gran mayoría afecta al pie egipcio, con mayor prevalencia en mujeres, y cuyas causas sería el calzado inadecuado o brotes reumáticos (artritis reumatoide).[89] También se señala como causa traumatismos, pie plano, trastornos neuromusculares, trastornos de tejido blando o inestabilidad de la articulación metatarsofalángica.[102]
  • Hallux varus: deformidad de la articulación del dedo gordo del pie que provoca la desviación medial (interna o hacia el lado tibial) del dedo gordo partiendo del primer metatarsiano. El dedo gordo se mueve habitualmente en el plano transversal. En este sentido se trataría del defecto contrario al hallux valgus.[103]

En el Síndrome de Rubinstein-Taybi aparecen, junto con otras malformaciones, unos dedos gordos exageradamente anchos.[104]

Cirugía

Cirujano podólogo realizando un procedimiento quirúrgico sobre el dedo gordo de una paciente con hallux valgus, posiblemente una osteotomía.

En la gran mayoría de las intervenciones en el dedo gordo es suficiente la anestesia local o regional. Para las operaciones correctoras de deformidades, según el caso, se recomienda el bloqueo de campo metatarsiano, de tobillo o de fosa poplítea, aunque también se practica la infiltración. En el caso de una amputación, se excluye el bloqueo metatarsiano de las opciones anteriores.[105] Previamente a la administración de la anestesia, se suele someter al paciente a sedación por vía intravenosa o superficial para evitar el dolor de las agujas en las infiltraciones.

El dolor postoperatorio, en ocasiones, puede prolongarse varios días, siendo de intensidad moderada-severa, y los analgésicos orales no suelen funcionar bien, de modo que en ocasiones se utilizan bloqueos periféricos, por ejemplo, con el anestésico local ropivacaína,[106] o infiltraciones intraarticulares, por ejemplo con bupivacaína.[107]

Existe una enorme cantidad de técnicas quirúrgicas descritas para el tratamiento de las deformidades del dedo gordo. Por ejemplo, para la intervención del hallux abductovalgus (bunionectomía) se han publicado más de 130.[108] Su propósito es corregir las posiciones anómalas de esta deformidad y reequilibrar los tejidos blandos de la articulación metatarso-falángica y el realineamiento de músculos y tendones mediante intervenciones sobre estos tejidos y/o una osteotomía del primer metatarsiano o de la falange proximal (artroplastia de Keller). Las técnicas más frecuentes en este caso son las de Silver, Hiss y McBride.[23] En la elección de la técnica adecuada es importante evaluar las deformidades posicionales, estructurales y combinadas, la amplitud del ángulo intermetatarsal, el dolor y la edad del paciente, etc.[109]

En casos graves de hallux rigidus también está indicada la corrección quirúrgica. Dependiendo de la gravedad se pueden utilizar técnicas de simple "reconstrucción y limpieza" de la articulación o bien técnicas más agresivas, que pueden involucrar la destrucción o fusión de gran parte de la articulación. Se aplican queilectomías con o sin osteotomías e implantes de silicona.[23]

La pérdida traumática del pulgar o su ausencia congénita, por ejemplo como efecto de la talidomida, da lugar a situaciones tan discapacitantes, que a partir de finales del siglo XIX se empezaron a ensayar distintas técnicas de «falangización» y trasplante del dedo gordo del mismo individuo a la base del pulgar amputado. El autotrasplante tendría la ventaja de evitar el rechazo. Una de estas intervenciones la llevó a cabo entre 1898 y 1900 el cirujano Nicoladoni.[110] Pero debió esperarse hasta finales de la década de los 60 para que, gracias al avance de la microcirugía reconstructiva, tuviera lugar, primero en Rhesus y después en humanos, los primeros autotrasplantes de dedo gordo, que fueron realizados en 1968 por Komatsu y Tarnai,[111] y en 1969 por John R. Cobbett del Queen Victoria Hospital de Londres.[112] Aunque la reconstrucción del pulgar con el dedo gordo se realiza de acuerdo al grado de amputación o ausencia del pulgar, debido a su gran tamaño y problemas cosméticos y estéticos suele emplearse también el segundo dedo del pie.[113]

Las complicaciones postoperatorias son más frecuentes en el hallux valgus, y pueden consistir en intestabilidad articular, rigidez articular (hallux rigidus secundario), trastornos tróficos como edemas y algodistrofia, y recidivas.[39]

El dedo gordo en la antropología, la religión y la cultura

Los antropólogos Theya Molleson y Peter Andrews, trabajando en enterramientos de Çatalhöyük y Tell Abu Hureyra, encontraron evidencias de diferenciación de las tareas por géneros en estas poblaciones neolíticas del creciente fértil. Las mujeres mostraban lesiones específicas en el dedo gordo que no se encuentran en los varones. Esto era debido probablemente a prolongados periodos de molienda de grano en los que la postura arrodillada y el esfuerzo de las manos era apoyado por un impulso de los pies descalzos sobre el dedo gordo, afectando al cartílago de la articulación.[114][115]

El dedo gordo en la religión

Imagen de un pie del Gran Buda de Leshan.

En la Biblia aparece en diversos lugares la unción del lóbulo de la oreja derecha, el pulgar derecho y el dedo gordo del pie derecho con la sangre de una víctima sacrificial como rito de purificación. Por ejemplo, en Levítico se indica el ritual para la purificación de un leproso:

Y el sacerdote tiene que tomar parte de la sangre de la ofrenda por la culpa, y el sacerdote tiene que ponerla sobre el lóbulo de la oreja derecha del que está limpiándose, y sobre el dedo pulgar de su mano derecha, y sobre el dedo gordo de su pie derecho.

En el islam, durante la azalá y tras la primera postración o sujut, el orante se sienta sobre su pie izquierdo mientras mantiene el pie derecho recto. La forma correcta de hacerlo incluye arquear el dedo gordo del pie derecho en el suelo. Esta postura resulta incómoda y dolorosa si no se ha practicado desde la infancia, de modo que no se pone demasiada insistencia en ello. Según algunas tradiciones, en la postración siempre se debe apoyar el dedo gordo, y resulta inválida si solo se apoya el resto de los dedos en su lugar.[116]

Probablemente el dedo gordo más grande jamás esculpido sea el perteneciente al Gran Buda de Leshan, puesto que, aunque existen otras estatuas de Buda de mayor altura, esta estatua es sedente. Solo el dedo gordo tiene una longitud de 8,3 m. Su envergadura es tal que podría acomodar fácilmente a 100 personas.[117]

En el Suttavibhanga, un texto Theravāda, se dice que Buda declara a Moggallana como el discípulo ideal, entre otras cosas por poseer poderes sobrenaturales (iddhi). En otro momento del texto, Buda pide a Moggallana que desencadene un terremoto con su dedo gordo del pie para atemorizar a unos monjes que estaban hablando ociosos en un monasterio.[118]

En la India colonial era habitual que algunas mujeres casadas hinduistas llevasen un anillo en el dedo gordo de su pie izquierdo como distintivo de su estado marital.[119] En algunas tradiciones, este dedo tiene una tradición mística importante, y se afirma que es la parte del cuerpo de la que, al conectar con la glándula pituitaria, la entrada a la puerta de Brahma, emana la mayor gracia.[120] En el templo de Khali Ghat (Calcuta) se dice que se guarda la reliquia del dedo gordo del pie izquierdo de la diosa Satí[121] Diversas ceremonias de veneración en la tradición hindú consisten en la limpieza o perfumado de los dedos gordos.[122]

Erotismo del dedo gordo

La condesa y el látigo, ilustración de Martin Van Maële (1926) que muestra una escena de podofilia.

Diversas culturas, entre ellas la china, conceden un gran valor erótico al pie. Otras, como romanos y egipcios, han venerado el poder fálico y de fertilidad del pie.[123] Se dice que la costumbre de llevar tacones altos podría tener alguna conexión con esta supuesta constante antropológica, que en ocasiones comporta prácticas discapacitantes para la mujer, tal vez destinadas a reprimir su carga erótica o la movilidad.[124] Algunos individuos, especialmente varones, obtienen excitación sexual a través de los pies propios o de su pareja, conducta que se denomina podofilia.[39] En buen número de casos, el placer sexual se alcanza en estos individuos tras la práctica de la succión del dedo gordo. También es común la inserción del dedo gordo en la vagina de la pareja.[123]

Los contemporáneos de Wilder Penfield, y en especial John Kershman, quedaron preocupados al observar que en el homúnculo de Penfield u homúnculo sensorial hay una excepción a la continuidad somatotópica general, existiendo una gran proximidad entre las áreas de representación del dedo gordo y el pene. Kershman, hablando del homúnculo, llegó a decir que «su felicidad se basa en las cosas próximas a los dedos del pie; y esta necesidad no siempre se queda adormecida».[125] Más recientemente, el neurólogo Vilayanur S. Ramachandran ha especulado, debido a la proximidad de estas áreas, que exista una conexión entre ambas.[126]

Sigmund Freud explicaba que esta inclinación puede surgir en la etapa de lactante, por la costumbre común de chuparse el dedo gordo del pie observando seguidamente a su madre.[39] Georges Bataille y Roland Barthes, por otra parte, dedicaron al dedo gordo «Le gros orteil», sendos ensayos publicados en el número 6 de la revista Documents, haciendo de él un símbolo de la seducción básica.[127]

Culturas orientales

Algunos de los puntos de la acupuntura se localizan en el dedo gordo. Relacionado con el bazo encontramos el punto Yinbai (隐白, 隱白 SP1), que está localizado en el lado medial, a 0,1 cm[cita requerida] (1 sun) de la base de la uña. El punto Dadu (SP2, 大都) está en la depresión distal de la articulación metatarsofalángica, en la unión dorso-plantar. Con el hígado está relacionado el punto Dadun (LR1, 大敦) en el lado lateral del dedo gordo, a 1 sun de la base de la uña.[128]

Algunos tratados antiguos de yoga, como el Vashista Samhita, un texto sánscrito anterior al siglo XIV, conceden una gran importancia al dedo gordo, asignándole el primero de los dieciocho puntos vitales del cuerpo humano. Una de las posturas importantes del yoga se denomina padangusthasana, literalmente, postura del dedo gordo.[129]

Otras manifestaciones culturales

En la reflexoterapia podal se piensa que la estimulación de la zona plantar del dedo gordo conduce a beneficios en la hipófisis o glándula pituitaria,[130][131] mientras que la glándula pineal se estimula en la porción más lateral del pliegue del dedo gordo y el bulbo raquídeo con un suave masaje sobre el arco del dedo gordo en su prolongación hacia el segundo dedo del pie. La base del dedo gordo se cree que produce beneficios para el cuello, así como lograr una buena digestión alimentaria y calmar la ansiedad.[132]

Además de las glándulas endocrinas de la base del cerebro, algunos autores de reflexología apuntan que los dedos gordos alojan las áreas reflejas de los ojos, la nariz, las orejas y el oído interno, la boca, garganta, lengua y dientes, fundamentalmente a lo largo del borde interno e inferior del dedo.[131] Para relajar la musculatura del cuello se indica rotar el primer dedo del pie hacia un lado y el otro, usualmente de 4 a 5 veces.[132] Por su parte, el reflejo del cerebelo se encuentra en la superficie dorsal de todos los dedos del pie, especialmente del dedo gordo.[131][133]

Tecnología

Las prótesis más antiguas de un miembro humano halladas hasta la fecha corresponden a dedos gordos artificiales de momias egipcias encontrados en Tebas. Una de ellas corresponde a la esposa de un sumo sacerdote, encontrada por expertos de la Universidad de Mánchester, con una datación aproximada entre el 1295 y el 664 a. C.[134] El artefacto se conoce como el dedo gordo de Greville Chester en honor a la persona que lo adquirió para el Museo Británico en 1881, y está confeccionado con un material similar al cartón.[135] Un segundo artefacto protésico fue encontrado también en Tebas, y se sabe que pertenecía a Tabaketenmut, la hija de un sacerdote de entre 710 y 664 a. C. Parece ser que la enfermedad que causó la pérdida del dedo gordo fue una gangrena por angiopatía diabética. Dada la perfección de la prótesis, queda de manifiesto que la técnica estaba bastante perfeccionada en la época.[136]

La prótesis del dedo gordo humano pretende restablecer el contacto durante la marcha, perdido con la amputación del dedo, equilibrando así el apoyo a la planta del pie.[137] La prótesis consiste en una plantilla de material semirrígido que cubre toda la planta del pie con un espacio correspondiente al dedo amputado. Ese espacio se rellena con un material elástico que se prolonga hasta el extremo del dedo amputado reforzado con un fleje de fibra de carbono.[134]

En la tecnología del calzado es importante la elección de una horma adecuada para cada tipo de pie. Así como el «pie griego» se adapta bien a la horma de «estilo italiano», en el caso del «pie egipcio» en ocasiones puede dar lugar a luxaciones del dedo gordo.[9]

Referencias

  1. Alan Cowell (15 de septiembre de 1991). «Michelangelo's David Is Damaged». The New York Times (en inglés). Consultado el 19 de febrero de 2009.
  2. Kent, Michael (2003). Diccionario Oxford de Medicina y Ciencias del Deporte. Paidotribo. ISBN 8480197161.
  3. Maestro, M.; Besse, M. L. «Biomecánica del gran artejo o hallux». EMC Podología (Academic Press). ISSN 0292-062X. doi:10.1016/S1762-827X(08)53546-2.
  4. Clarke, John (1998). Un diccionario de materia médica práctica. Nueva Delhi: B. Jain Publishers. ISBN 9788170218128.
  5. Miralles Marrero, Rodrigo C.; Miralles Rull, Iris (2007). Biomecánica clínica de las patologías del aparato locomotor. Elsevier España. p. 79. ISBN 9788445816806.
  6. Lapunzina, Pablo; Aiello, Horacio (2002). Manual de antropometría normal y patología: fetal, neonatal, niños y adultos. Elsevier. pp. 215-216. ISBN 8445811223.
  7. Kapandji, I. (1900). The physiology of the joints: annotated diagrams of the mechanics of the human joints (Ed. ing. de la 5.ª edición). Edinburo, Nueva York: Churchill Livingstone. ISBN 9780443036187. Archivado desde el original el 14 de abril de 2015. Consultado el 31 de enero de 2011.
  8. Meunier, Gérard; Piednoir, François; Pauget, Pierre (2001). La bicicleta: descubre y practica el cicloturismo. Inde. ISBN 8495114313.
  9. Barreto, Silvia (2006). Diseño de calzado urbano. Buenos Aires: Nobuko; Centro Metropolitano de Diseño; Plan Nacional de Diseño. ISBN 9789875840416.
  10. Kuhn H, Gerdes-Kuhn R, Küster H.-H (noviembre de 2003). «Zur Historie der Civinini-Durlacher-Neuropathie, genannt Morton Metatarsalgie». Fuss & Sprunggelenk 1 (4).
  11. Zatsiorsky, Vladimir M. Kinetics of human motion. p. 587. ISBN 9780736037785.
  12. Vashist, R. Yadav, N., R.Rathee (2011). «Dankmeijer’s Index (D.I.) In Mental Retardation». The Internet Journal of Biological Anthropology 4 (2). Archivado desde el original el 13 de septiembre de 2014. Consultado el 20 de febrero de 2011.
  13. Netter, Frank Henry (2006). Atlas of human anatomy (4.ª edición). Elsevier. pp. 523 (lámina 523). ISBN 080892379X.
  14. Timothy D. White, Pieter A. Folkens (octubre de 1999). Human Osteology (2.ª edición). Academic Press. pp. 257-61. ISBN 0127466126.
  15. Viladot, A. (2000). Quince lecciones sobre patología del pie. Springer. p. 4. ISBN 8407001910.
  16. Chevrot, A. (2000). Diagnóstico por imagen de las afecciones del pie. Elsevier. pp. 193-4. ISBN 8445808966.
  17. Michel Dufour, Michel Pillu (2006). Biomecánica funcional: miembros, cabeza, tronco. Elsevier. p. 244. ISBN 8445816454.
  18. León Chaitow, Leon Chaitow Judith Walter DeLany (2007). Aplicación clínica de las técnicas neuromusculares 2. Paidotribo. p. 541. ISBN 8480198699.
  19. Dauber, Wolfgang; Feneis, Heinz (2006). Nomenclatura anatómica ilustrada (5.ª edición). Elsevier. p. 126. ISBN 844581642X.
  20. Llanos-Acebes (1997). El pie. Monografías médico-quirúrgicas del aparato locomotor. Elsevier. ISBN 8445806572.
  21. Chummy S. Sinnatamby, R. J. Last (2003). Anatomía de Last. Paidotribo. p. 149. ISBN 9788480196703.
  22. «The plantar venous pump: Anatomy and physiological hypotheses». Phlebolymphology 68 (17). 2010. Archivado desde el original el 18 de febrero de 2012.
  23. Izquierdo, Joaquin O (2006). Cirugía podológica. Elsevier. p. 232. ISBN 9788481749151.
  24. Ardila Buitrago, Kinsthmena Andrea; Vergara Amador, Enrique Manuel. «Anatomía de la inervación del dedo gordo: nervio cutáneo dorsal interno y plantar interno». Rev. Col. de Or. Tra. 19 (2): 85-93. Consultado el 20 de noviembre de 2009.
  25. Ruben, J.; Schwiemann J., Deuchert M., Meyer R., Krause T., Curio G., Villringer K., Kurth R., Villringer A. (mayo de 2001). «Somatotopic organization of human secondary somatosensory cortex». Cereb. Cortex (en inglés) 11 (5): 463-73. ISSN 1460-2199. PMID 11313298. Consultado el 6 de octubre de 2009.
  26. Newman, Marian (2004). The Complete Nail Technician (2.ª edición). Cengage Learning EMEA. p. 134. ISBN 184480139X.
  27. MedlinePlus (abril de 2007). «Uña del pie encarnada». Enciclopedia médica en español. Consultado el 9 de noviembre de 2009.
  28. Alonso Peña, David (2007). Atlas de dermatología del pie. Madrid: Editorial Médica Panamericana. ISBN 9788498350623.
  29. Dandy, David J.; Dennis J. Edwards (2009). Essential Orthopaedics and Trauma (5.ª edición). Elsevier Health Sciences. p. 435. ISBN 044306718X.
  30. Barel, A. O.; Paye, M.; Maibach, H. I. (2001). Handbook of cosmetic science and technology. Informa Health Care. p. 29. ISBN 0824702921.
  31. Lawrence, Clifford (2002). An introduction to dermatological surgery (2.ª edición). Edimburgo, Nueva York: Churchill Livingstone. p. 115. ISBN 9780443072000. Archivado desde el original el 17 de septiembre de 2011. Consultado el 27 de febrero de 2011.
  32. Aguilar (2002). Tratado de Enfermería Pediátrica (5.ª edición). Elsevier. p. 732. ISBN 8481745588.
  33. Céspedes Céspedes, Tomás (1996). Pie diabético: conceptos actuales y bases de actuación. Madrid: Díaz de Santos. p. 544. ISBN 9788479782771.
  34. Jeremy Rich, Dorothy E. Dean, Robert H. Powers (2005). Forensic medicine of the lower extremity: human identification and trauma analysis of the thigh, leg, and foot. Human Press. p. 376. ISBN 9781588292698.
  35. Warren A. Turner, Linda M. Merriman (2007). Habilidades clínicas para el tratamiento del pie. Elsevier. p. 277. ISBN 8480862084.
  36. Montavon, T.; Le Garrec J.-F., Kerszberg M., Duboule D. (2008). «Modeling Hox gene regulation in digits: reverse collinearity and the molecular origin of thumbness». Genes & Development 22 (3): 346-359. ISSN 0890-9369. doi:10.1101/gad.1631708.
  37. Butterfield, NC; Metzis V, McGlinn E, Bruce SJ, Wainwright BJ, Wicking C. (octubre de 2009). «Patched 1 is a crucial determinant of asymmetry and digit number in the vertebrate limb». Development 136 (20): 3515-24. PMID 19783740.
  38. Fernández-Terán, Marian; Ros, María A. (2008). «The Apical Ectodermal Ridge: morphological aspects and signaling pathways». Int J Dev Biol. (en inglés) 52 (7): 857-71. PMID 18956316. doi:10.1387/ijdb.072416mf.
  39. Mariano Núñez-Samper, Luis Fernando Llanos Alcázar (2007). Biomecánica, medicina y cirugía del pie (2.ª edición). Elsevier. p. 17. ISBN 9788445816844.
  40. «The Carnegie stages». Archivado desde el original el 31 de agosto de 2018. Consultado el 6 de octubre de 2009.
  41. La posición característica del dedo gordo del feto de 34-37 mm puede verse en Núñez-Samper, p. 18, fig. 3-4 (op. cit.)
  42. Gillis, J. A.; R. D. Dahn, N. H. Shubin (2009). «Shared developmental mechanisms pattern the vertebrate gill arch and paired fin skeletons». Proceedings of the National Academy of Sciences 106 (14): 5720-4. ISSN 0027-8424. doi:10.1073/pnas.0810959106.
  43. Woltering, Joost M; Denis Duboule (20 de abril de 2010). «The origin of digits: expression patterns versus regulatory mechanisms». Developmental Cell 18 (4): 526-532. ISSN 1878-1551. doi:10.1016/j.devcel.2010.04.002.
  44. Boisvert, Catherine A; Elga Mark-Kurik, Per E Ahlberg (4 de diciembre de 2008). «The pectoral fin of Panderichthys and the origin of digits». Nature 456 (7222): 636-8. ISSN 1476-4687. doi:10.1038/nature07339.
  45. Niedźwiedzki, Grzegorz; Piotr Szrek, Katarzyna Narkiewicz, Marek Narkiewicz, Per E. Ahlberg (2010). «Tetrapod trackways from the early Middle Devonian period of Poland». Nature 463 (7277): 43-8. ISSN 0028-0836. doi:10.1038/nature08623.
  46. Zhang, Jing; Purva Wagh, Danielle Guay, Luis Sanchez-Pulido, Bhaja K Padhi, Vladimir Korzh, Miguel A Andrade-Navarro, Marie-Andrée Akimenko (8 de julio de 2010). «Loss of fish actinotrichia proteins and the fin-to-limb transition». Nature 466 (7303): 234-7. ISSN 1476-4687. doi:10.1038/nature09137.
  47. Dennis C. Murphy (17 de junio de 2006). «Devoniantimes.org-Tetrapods Answer». Consultado el 31 de enero de 2011.
  48. Helfman, Gene (2009). The diversity of fishes : biology, evolution, and ecology (2nd ed. edición). Chichester, Hoboken: Blackwell. ISBN 9781405124942.
  49. Benson, Michael (2010). Children's orthopaedics and fractures. Nueva York, Londres: Springer. ISBN 9781848826113.
  50. Monahan, JJ (1920). «The Human Pre-Hallux». The American Journal of the Medical Sciences.
  51. Schünke, Michael (2006). Thieme atlas of anatomy: Latin nomenclature: general anatomy and musculoskeletal system. Stuttgart, Nueva York: Thieme. p. 19. ISBN 9781588904195.
  52. Pennycuick, C. (2008). Modelling the flying bird. Ámsterdam, Londres: Academic. p. 151. ISBN 9780123742995.
  53. Chatterjee, Sankar (2004). Posture, locomotion, and paleoecology of pterosaurs. Boulder: Geological Society of America. ISBN 9780813723761.
  54. Benton, M. (2005). Vertebrate palaeontology (3.ª edición). Malden: Blackwell Science. p. 191. ISBN 9780632056378.
  55. Schultze, Hans-Peter (1991). Origins of the higher groups of tetrapods: controversy and consensus. Ithaca: Comstock Pub. Associates. p. 566. ISBN 9780801424977.
  56. E. N. Kurochkin, I. A. Bogdanovich (2010). Origin of feathered flight 44 (12). pp. 1570-88. doi:10.1134/S0031030110120129.
  57. Schodde, Richard (1997). Aves. Collingwood: CSIRO. p. 330. ISBN 9780643060371.
  58. Nicholson, Henry Alleyne (1870). A Manual of Zoology for the Use of Studens. R. Hardwicke. p. 433.
  59. Hall, Brian (2007). Fins into limbs: evolution, development, and transformation. Chicago: University of Chicago Press. p. 265. ISBN 9780226313375.
  60. Ciochon, Russell (1987). Primate evolution and human origins. Nueva York: Aldine de Gruyter. p. 13. ISBN 9780202011752.
  61. Vaughan, Terry (2011). Mammalogy (5.ª edición). Sudbury: Jones and Bartlett Publishers. ISBN 9780763762995.
  62. Puede verse un diagrama completo del esquema evolutivo del pie en marsupiales en Vaugha, Terry (2011). Mammalogy (5.ª edición). Sudbury: Jones and Bartlett Publishers. p. 86. ISBN 9780763762995.
  63. Ji, Qiang; Zhe-Xi Luo, Chong-Xi Yuan, John R. Wible, Jian-Ping Zhang, Justin A. Georgi (2002). «The earliest known eutherian mammal». Nature 416 (6883): 816-22. ISSN 0028-0836. doi:10.1038/416816a.
  64. Rose, Kenneth (2006). The rise of placental mammals: origins and relationships of the Major Extant Clades. Baltimore: Johns Hopkins University Press. p. 28. ISBN 9780801884726.
  65. Tomar y Sing. Evolutionary Biology. Rastolgi Publications. p. 146.
  66. Endō, Hideki (2008). Anatomical imaging: towards a new morphology. Tokio, Nueva York: Springer. ISBN 9784431769323.
  67. Reynolds, Sidney. Vertebrate skeleton. Cambridge University Press. ISBN 9781402158445.
  68. Bulletin of the American Museum of Natural History 35. 1916. p. 335.
  69. Nancy B. Simmons y Tenley Conway. «Morphological Synapomorphies of Chiroptera».
  70. Ravosa, Matthew (2007). Primate origins: adaptations and evolution. Nueva York: Springer. ISBN 9780387303352.
  71. Klenerman, Leslie (2005). The human foot: a companion to clinical studies. Londres: Springer. p. 13. ISBN 9781852339258.
  72. Lovejoy, CO; Latimer B, Suwa G, Asfaw B, White TD. (octubre de 2009). «Combining prehension and propulsion: the foot of Ardipithecus ramidus». Science (en inglés) 326 (5949): 72e1-8. ISSN 1095-9203. PMID 19810198. doi:10.1126/science.1175832. Resumen divulgativo Ardi: el esqueleto más antiguo de un homínido. El Mundo (1 de octubre de 2009).
  73. Young, J. Z. (1977). La vida de los vertebrados. Barcelona: Omega. ISBN 8428202060.
  74. Kivell, TL; Schmitt D. (agosto de 2009). «Independent evolution of knuckle-walking in African apes shows that humans did not evolve from a knuckle-walking ancestor». Proc. Natl. Acad. Sci. USA (en inglés) 106 (34): 14241-6. PMID 19667206. doi:10.1073/pnas.0901280106. Resumen divulgativo ScienceDaily (11 de agosto de 2009).
  75. Thorpe, SK; Holder RL, Crompton RH (junio de 2007). «Origin of human bipedalism as an adaptation for locomotion on flexible branches». Science 16 (5829): 1328-31. PMID 17540902. doi:10.1126/science.1140799.
  76. Johanson, D. y Edey, M. (1982). El primer antepasado del hombre. Barcelona: Planeta. ISBN 8432047295.
  77. Arsuaga, J.L. & Martínez, I. (1997). La especie elegida: la larga marcha de la evolución humana. Temas de Hoy. ISBN 9788478809097.
  78. Ward, C. V.; W. H. Kimbel, D. C. Johanson (2011). «Complete Fourth Metatarsal and Arches in the Foot of Australopithecus afarensis». Science 331 (6018): 750-3. ISSN 0036-8075. doi:10.1126/science.1201463.
  79. «The Arched Metatarsal of Australopithecus afarensis». Consultado el 17 de febrero de 2011.
  80. MedlinePlus. «Reflejo de Babinski».
  81. Kumar, SP (enero de 2003). «The Babinski sign—a critical review». J. Assoc. Physicians India (51): 53-7. PMID 12693456.
  82. Kumar SP; Ramasubramanian D (diciembre de 2000). «The Babinski sign—a reappraisal». Neurol. India 48 (4): 314-8. PMID 11146592.
  83. Squillace, G (enero-marzo de 2008). «Inscriptions of Sanationes from Sanctuaries of god Asclepius. Miraculous recoveries of rheuma diseases». Reumatismo (en italiano) 60 (1): 64-72. PMID 18432328.
  84. O'Connor, Daniel J (2002). Pathology (2.ª edición). Elsevier Health Sciences. p. 258. ISBN 9780723432746.
  85. Norberto Gómez Rodríguez, Inmaculada Castro Burón (2004). Manual del enfermo con espondiloartritis. Ediciones Díaz de Santos. p. 56. ISBN 9788479786519.
  86. Anwar, R; S Anjum, J Nicholl (2005). «Sesamoids of the foot». Current Orthopaedics 19 (1): 40-8. ISSN 0268-0890. doi:10.1016/j.cuor.2005.01.001.
  87. Ferrández Portal, L.(2008); Actualizaciones en cirugia ortopedica y traumatología. Elsevier España, pág. 143 ISBN 978-84-458-1931-9
  88. Duró Pujol, Juan (2010). Reumatología clínica. Barcelona: Elsevier. ISBN 9788480866453.
  89. Viladot Pericé, A. (2001). Patología del antepié (4.ª edición). Barcelona: Springer Verlag Ibérica. ISBN 9788407001714.
  90. Surós Batlló, Antonio (2001). Semiología médica y técnica exploratoria (8.ª edición). Barcelona: Masson. ISBN 9788445810804.
  91. Rutherford, Robert (2006). Cirugía vascular (6.ª edición). Madrid: Elsevier. ISBN 9788481749342.
  92. Elorza, Julián (1997). Medicina del dolor. Barcelona: MASSON. ISBN 9788445805619.
  93. Kinoshita, G; M Matsumoto, T Maruoka, T Shiraki, K Tsunemi, H Futani, S Maruo (diciembre de 2002). «Bone and soft tissue tumours of the foot: review of 83 cases». Journal of Orthopaedic Surgery (Hong Kong) 10 (2): 173-8. ISSN 1022-5536. Archivado desde el original el 3 de enero de 2011. Consultado el 21 de febrero de 2011.
  94. Kline, Al (2 de febrero de 2010). «Subungual Osteochondroma or Exostosis Cartilaginea of the Hallux: A case report of recurrent bone tumor one year later». The Foot and Ankle Online Journal 3 (2). doi:10.3827/faoj.2010.0302.0003.
  95. Butler, T; Reed, MG (abril de 1984). «Dermatoglyphic features in Prader-Willi syndrome with respect to chromosomal findings». Clin Genet 25 (4): 341-6. PMID 6713710. doi:10.1111/j.1399-0004.1984.tb02001.x.
  96. B Monteagudo Sánchez, E León Muiños, M Cabanillas González, J Labandeira García, AI Novo Rodríguez. «Desviación ungueal congénita del primer dedo del pie». Anales de Pediatría (Barcelona: Elsevier) 68 (6): 623-4. ISSN 1695-4033.
  97. Mahiques, Arturo. «Metatarsalgia». Consultado el 22 de febrero de 2011.
  98. Moreno de la Fuente, Jose Luis (2003). Podología general y biomecánica. Elsevier. p. 140. ISBN 8445812149.
  99. Kirk A Koepsel. «Cocked Up Big Toe - Hallux Hammer Toe». Archivado desde el original el 17 de abril de 2009. Consultado el 14 de octubre de 2009.
  100. Hollis, Minoo Hadjari (septiembre de 2007). «Hallux Rigidus». Orthopedic Surgery: Foot & Ankle (en inglés) (eMedicine.com). Consultado el 16 de octubre de 2009.
  101. Roddy, E; Zhang W, Doherty M. (junio de 2008). «Prevalence and associations of hallux valgus in a primary care population». Arthritis Rheum 59 (6): 857-62. ISSN 1529-0131. PMID 18512715. doi:10.1002/art.23709.
  102. Miller, Mark (2009). Ortopedia y traumatología : revisión sistemática (5a. ed. edición). Barcelona: Elsevier. ISBN 9788480864770.
  103. Joan Minguella Solá, J Minguella (2003). Malformaciones del pie. Elsevier. p. 43. ISBN 8445812947.
  104. Stalin, A; Balagopal R Varma (2006). «Rubinstein Taybi syndrome». Journal of the Indian Society of Pedodontics and Preventive Dentistry 24 (2 Supl): S27-30. ISSN 0970-4388.
  105. Monkowski, Daniel P. «Anestesia regional para cirugía del tobillo y pie». Archivado desde el original el 27 de marzo de 2010. Consultado el 16 de octubre de 2009.
  106. Ferrer Gómez, C; y col. (2006). «Analgesia postoperatoria en la intervención abierta de hallux valgus en CMA. Comparación entre analgesia oral y bloqueo perineural continuo del nervio tibial posterior». Rev. Esp. Anestesiol. Reanim 53 (4): 220-5.
  107. Torres Morera, Luis Miguel (2002). Tratado de cuidados críticos y emergencias. Arán Ediciones. p. 218. ISBN 9788495913029.
  108. Arvinte, Dan y colaboradores (2006). «Surgical treatment of hallux valgus: The Gibson-Piggott technique revisited». Bélgica. Archivado desde el original el 4 de marzo de 2016. Consultado el 25 de octubre de 2009.
  109. Pera, Cristóbal (1996). Cirugía : fundamentos, indicaciones y opciones técnicas : tomo II 2 (1a. reimpr. edición). Barcelona [etc.]: Masson. p. 548. ISBN 9788445803776.
  110. Bueno, Reuben A; Wilhelmi, Brandon J (29 de noviembre de 2007). «Thumb Reconstruction». eMedicine. Consultado el 23 de octubre de 2009.
  111. Komatsu S, Tarnai S. (1968). «Successful replantation of a completely cut off thumb: Case report». Plast Reconstr Surg 42: 374-7.
  112. Cobbett, JR (noviembre de 1969). «Free digital transfer. Report of a case of transfer of a great toe to replace an amputated thumb». J. Bone Joint Surg. Br. 51 (4): 677-9. PMID 5371970.
  113. Ti-Sheng Chang,Sheng-hsiu Chu (1986). Principles, techniques, and applications in microsurgery. World scientific. p. 250. ISBN 9789971978082.
  114. Fagan, Brian (2010). People of the earth : an introduction to world prehistory (13th ed. edición). Upper Saddle River NJ: Prentice Hall/Pearson. p. 19. ISBN 9780205735679.
  115. Molleson, T y Andrews, P (1996). «ÇATALHÖYÜK 1996 ARCHIVE REPORT». Consultado el 1 de marzo de 2011.
  116. Glassé, Cyril (2002). The new encyclopedia of Islam (ed. rev.). Walnut Creek: AltaMira Press. ISBN 9780759101906.
  117. Langmead, Donald (2001). Encyclopedia of architectural and engineering feats. Santa Barbara: ABC-CLIO. ISBN 9781576071120.
  118. Kinnard, Jacob (2006). The emergence of Buddhism. Westport: Greenwood Press. ISBN 9780313328381.
  119. Kunz, George F (1917). Rings for the finger, from the earlieast known times to the present....
  120. What is Hinduism? : modern adventures into a profound global faith (1st ed. edición). Kapaa Hawaii: Himalayan Academy. 2007. ISBN 9781934145012.
  121. Wilkins, WJ. Hindu Mythology. p. 247.
  122. Burghart, Richard (1987). Hinduism in Great Britain: the perpetuation of religion in an alien cultural milieu. Londres, Nueva York: Tavistock. ISBN 9780422609104.
  123. Rossi, William A (agosto de 2008). The sex life of the foot and shoe. Krieger. pp. 4, 11 y 39. ISBN 9780894645730.
  124. Jeffreys, Sheila (2005). Beauty and misogyny: harmful cultural practices in the West. Women and Psychology. Routledge. p. 131. ISBN 9780415351836.
  125. Kell, CA; von Kriegstein K, Rösler A, Kleinschmidt A, Laufs H. (junio de 2005). «The sensory cortical representation of the human penis: revisiting somatotopy in the male homunculus». J. Neurosci. 25 (25): 5984-7. PMID 15976087. doi:10.1523/JNEUROSCI.0712-05.2005.
  126. Kringelbach, Morten. «Bodily Illusions». Archivado desde el original el 17 de mayo de 2013. Consultado el septiembre de 2006.
  127. Bataille, George; Stoekl, Allan. Visions of excess: selected writings, 1927-1939. University of Minnesota Press. ISBN 9780816612833.
  128. Lim, S (febrero de 2009). «WHO Standard Acupuncture Point Locations». Evid. Based Complement. Alternat. Med. PMID 19204011. doi:10.1093/ecam/nep006.
  129. Yoga Journal. septiembre-octubre de 1978. p. 26.
  130. Peter A. Mackereth; Denise Tiran (2002). Clinical reflexology: a guide for health professionals. Elsevier Health Sciences. p. 39. ISBN 9780443071201. Archivado desde el original el 17 de septiembre de 2011. Consultado el 16 de octubre de 2009.
  131. Valerie Voner (2006). El libro de la reflexologia: Manipule zonas en manos y pies para aliviar el dolor. AMAT. pp. 140-5. ISBN 849735155X.
  132. Beatriz Marchelli (2006). Reflexología de pies y manos. Albatros. pp. 113-9. ISBN 9871088078.
  133. Para ver un esquema de las diversas áreas consideradas en la reflexología, consultar Núñez-Samper, pág. 6, fig. 1-3 (op. cit.)
  134. Zambudio, R. Prótesis, ortesis y ayudas técnicas. Elsevier. pp. 34, 71. ISBN 8445819690.
  135. «Science steps in to discover wonders of Toe-tankhamun». UniLife (Universidad de Manchester) 5 (1): 7. octubre de 2007. Consultado el 24 de febrero de 2011.
  136. Finch, Jacqueline (2011). «The ancient origins of prosthetic medicine». The Lancet 377 (9765): 548-549. ISSN 0140-6736. doi:10.1016/S0140-6736(11)60190-6.
  137. Clavel Paloma, Salvador (1999). Extremidad inferior: parálisis, fracturas, lesiones ligamentosas de rodilla y tobillo, amputaciones y protetización. Elsevier. pp. 210-2. ISBN 8445806769.

Enlaces externos

Los siguientes vídeos están en inglés.

Vídeos de anatomía
Vídeos de cirugía
  • Lista de reproducción (8 vídeos) que muestran los fundamentos quirúrgicos y procedimientos reales en Hallux valgus (juanetes), dedo en martillo y hallux rigidus. En hallux valgus se muestran las infiltraciones y diverso material quirúrgico, así como una segunda intervención en el quinto metatarso para corregir las deformidades derivadas.
Este artículo ha sido escrito por Wikipedia. El texto está disponible bajo la licencia Creative Commons - Atribución - CompartirIgual. Pueden aplicarse cláusulas adicionales a los archivos multimedia.