Granuloma
En medicina, un granuloma es una masa más o menos esférica de células inmunes que se forma cuando el sistema inmunológico intenta aislar sustancias extrañas que ha sido incapaz de eliminar. Dichas sustancias incluyen organismos infecciosos como bacterias y hongos, así como otros materiales tales como la queratina y suturas.[1][2][3] Un granuloma es, por tanto, un tipo especial de inflamación que puede ocurrir en una amplia variedad de enfermedades. El adjetivo granulomatosa significa caracterizada por granulomas. También se deben a procesos de inflamación crónica.
| Granuloma | ||
|---|---|---|
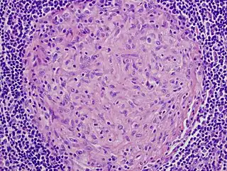
![]() Imagen microscópica de un granuloma (sin necrosis) en ganglio linfático. H-E. | ||
| Especialidad | dermatología | |
Aunque en ocasiones el término granuloma se utiliza genéricamente para designar "pequeños nódulos" que pueden abarcar desde nevus a tumores, la utilización correcta es la que se hace en patología, siendo una agrupación organizada de macrófagos,[4] donde estas células suelen estar tan cercanas entre sí, que los bordes de las células individuales son difíciles de apreciar formando una estructura cerrada, de bola. Las agrupaciones de macrófagos dispersos no son considerados como granulomas.
Al fracasar la fagocitosis del cuerpo extraño, se produce una activación de linfocitos T, que a su vez activan a los macrófagos o histiocitos que son los componentes principales del granuloma. A menudo, aunque no siempre, se fusionan para formar células gigantes multinucleadas.[5] A estos macrófagos que forman el granuloma se les suele denominar "epitelioides", debido a su cierto parecido con las células epiteliales. Estos se diferencian de los macrófagos normales en que poseen un núcleo mayor y alargado, además de presentar una coloración más eosinófila cuando se tiñe con eosina. Todos los granulomas, independientemente de la causa, pueden contener células adicionales y una matriz, como linfocitos, neutrófilos, eosinófilos, células gigantes multinucleadas, fibroblastos y colágeno (en fibrosis, típica de la sarcoidosis) y estar rodeados por leucocitos mononucleares, sobre todo linfocitos y en ocasiones células plasmáticas. Las células adicionales son a veces una pista de la etiología del granuloma.
Una característica importante de los granulomas es si contienen o no necrosis. La necrosis se refiere a células muertas que, bajo el microscopio, aparecen como una masa de escombros sin forma, sin presentar núcleos. Un término relacionado, "caseificación" (literalmente: convertir en queso) se refiere a una forma de necrosis que, a simple vista (es decir, sin un microscopio), parece similar al queso ("caseosa"), y por lo general (pero no únicamente) una característica de los granulomas de la tuberculosis. La identificación de la necrosis en los granulomas es importante porque granulomas con necrosis suelen tener causas infecciosas. Hay varias excepciones a esta regla general, pero no deja de ser útil para el día a día de los diagnósticos.
Los granulomas se observan en una amplia variedad de enfermedades, tanto infecciosas como no infecciosas.[1] Las infecciones que se caracterizan por granulomas incluyen la tuberculosis, la lepra, histoplasmosis, criptococosis, coccidioidomicosis, blastomicosis y la enfermedad por arañazo de gato. Ejemplos de enfermedades no infecciosas granulomatosas son la sarcoidosis, la enfermedad de Crohn, beriliosis, granulomatosis de Wegener, síndrome de Churg-Strauss, nódulos pulmonares reumatoides y la aspiración de alimentos y otros materiales en el pulmón.
Referencias
- Woodard BH, Rosenberg SI, Farnham R, Adams DO (1982). «Incidence and nature of primary granulomatous inflammation in surgically removed material». American Journal of Surgical Pathology 6 (2): 119-129. PMID 7102892. doi:10.1097/00000478-198203000-00004.
- Hunter DC, Logie JR (1988). «Suture granuloma». British Journal of Surgery 75 (11): 1149-1150. PMID 3208057. doi:10.1002/bjs.1800751140.
- Chen KT, Kostich ND, Rosai J (1978). «Peritoneal foreign body granulomas to keratin in uterine adenocanthoma». Archives of Pathology and Laboratory Medicine 102 (4): 174-177. PMID 580709.
- Adams DO (1976). «The granulomatous inflammatory response. A review». American Journal of Pathology 84 (1): 164-191. PMC 2032357. PMID 937513.
- Paul Travers; Mark Walport (2008). Janeway's Immunobiology. Garland Science. p. 372.
