Glándulas olfatorias
Las glándulas olfatorias, también llamadas glándulas de Bowman, en honor al inglés William Bowman; son un tipo de glándulas nasales situadas en la mucosa , por debajo del epitelio olfatorio.
| Glándulas olfatorias | ||
|---|---|---|
| Nombre y clasificación | ||
| Sinónimos |
| |
| Latín | Glandulae olfactoriae | |
| TA | A15.1.00.003 | |
| TH | H3.05.00.0.00026 | |
| TH | H3.05.00.0.00026 | |
| Información anatómica | ||
| Sistema | Respiratorio | |
|
| ||

Estructura

Las glándulas "olfatorias" o de Bowman se encuentran dentro de las fosas nasales, en el espesor de la lámina propia, debajo del epitelio olfativo.
La lámina propia, es el tejido conectivo que también contiene fibroblastos, vasos sanguíneos y haces de finos axones de las neuronas olfatorias.[1]
Microarquitectura

Una glándula "olfatoria" consta de: un acino glandular situado en el espesor de la lámina propia y de un conducto secretorio que se desarrolla hacia la superficie saliendo a través del epitelio olfatorio.

Las células ubicadas tanto en los acinos compactos como en los conductos, expresaron citoqueratina CK8; y unas pocas células negativas para CK8 ubicadas en la capa externa de las glándulas de Bowman expresaron positivos dobles para citoqueratina CK5 y p63. La proteína de unión al calcio S100, es un marcador que se demostró que se expresaba en las glándulas.[2]
Ultraestructura
Estudios de microscopía electrónica muestran que las glándulas olfatorias contienen células con grandes vesículas secretorias.[3]
Fisiología
El moco secretado por estas glándulas tubuloalveolares es transportado hacia la superficie del OE por conductos estrechos que pasan a través del epitelio.
Las glándulas olfatorias secretan la mucina formadora de gel MUC5AC.[4] Podrían secretar proteínas como lisozima, amilasa e inmunoglobulina A, como glándulas serosas.
La composición exacta de las secreciones de las glándulas olfatorias es poco clara, pero hay evidencia que producen proteína de unión a sustancia odorífera.[5][6]
Recambio celular de Bowman
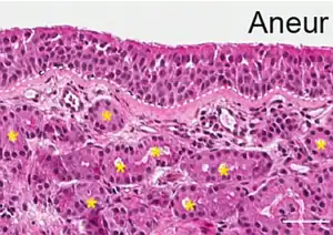
Las células de las glándulas de Bowman están "ciclando" como se demostró en núcleos dispersos marcados para Ki67. Ki67 es una proteína nuclear expresada en todas las fases del ciclo celular, excepto durante la fase de reposo y el comienzo de la fase G1. Fuera del epitelio, células Ki67 positivas están presentes en la parte externa de las glándulas de Bowman subepiteliales de la lámina propia.[2]
Recambio celular en la glándula de Bowman.
Véase también
Enlaces externos
Referencias
- Moran, David T.; Rowley Jc, 3rd; Jafek, BW; Lovell, MA (1982), «The fine structure of the olfactory mucosa in man», Journal of Neurocytology 11 (5): 721-746, PMID 7143026, doi:10.1007/BF01153516.
- Tanos T., Saibene A.M., Pipolo C., Battaglia P., Felisati G., Rubio A. (2017). «Isolation of putative stem cells present in human adult olfactory mucosa.». PLoS ONE 12 (7): e0181151. doi:10.1371/journal.pone.0181151. Consultado el 26 de junio de 2020.
- Frisch, Donald (1967), «Ultrastructure of mouse olfactory mucosa.», The American Journal of Anatomy 121 (1): 87-120, PMID 6052394, doi:10.1002/aja.1001210107.
- Solbu, T. T.; Holen, T. (2012), «Aquaporin pathways and mucin secretion of olfactory glands might protect the olfactory mucosa.», Chemical Senses 37 (1): 35-46, PMID 21745799, doi:10.1093/chemse/bjr063.
- Gartner, Leslie P.; Hiatt, James L. (2007). Color Textbook of Histology (en inglés). Saunders/Elsevier. p. 349. ISBN 978-1-4160-2945-8.
- Tegoni, Mariella; Pelosi, P; Vincent, F; Spinelli, S; Campanacci, V; Grolli, S; Ramoni, R; Cambillau, C (1967), «Mammalian odorant binding proteins», Biochimica et Biophysica Acta (BBA) - Protein Structure and Molecular Enzymology 1482 (1–2): 229-240, PMID 11058764, doi:10.1016/S0167-4838(00)00167-9.
