Contusión cerebral
La contusión cerebral, un tipo de daño cerebral adquirido, es un trauma en el tejido cerebral.[1] Al igual que los moretones en otros tejidos, una contusión cerebral puede estar asociada con microhemorragias múltiples, pequeños vasos sanguíneos con fugas en el tejido cerebral. Estos traumas se produce en el 20-30% de los golpes fuertes en la cabeza.[2] Una laceración cerebral es una lesión similar en la que las membranas aracnoides se rompen por desgarro en el lugar de la lesión.[3] La lesión puede provocar una disminución en la función mental a largo plazo y puede dar lugar a una hernia cerebral, una condición que amenaza la vida en la que las partes del cerebro se comprimen contra el cráneo. El tratamiento tiene como objetivo evitar que se eleve la presión intracraneal.
| Contusión cerebral | ||
|---|---|---|
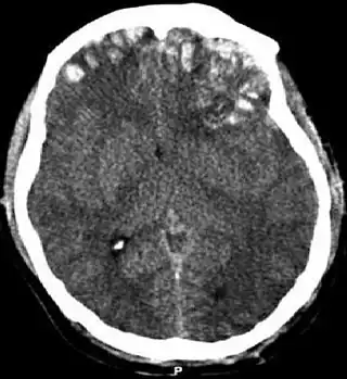
![]() TAC que muestra contusiones cerebrales, hemorragia entre los hemisferios, hematoma subdural en la izquierda y fracturas del cráneo. | ||
| Especialidad | medicina de emergencia | |
Es probable que estas contusiones sanen por sí solas sin intervención médica.[4]
Signos y síntomas
Los síntomas dependen de la gravedad de la lesión y van desde leves a muy graves. Se puede presentar debilidad, dolor de cabeza, falta de coordinación motora, adormecimiento, afasia, amnesia, problemas cognitivos, pérdida de conciencia, náuseas, vómitos y ataques.[5] Los signos dependen de la ubicación de la contusión en el cerebro.
Causas

A menudo causadas por un golpe en la cabeza, las contusiones ocurren comúnmente durante un golpe o contragolpe. En las lesiones de golpe, el cerebro se lesiona directamente bajo la zona de impacto, mientras que en el contragolpe la zona se lesiona en el lado opuesto al impacto.
Las contusiones se producen principalmente en la corteza del tejido, especialmente en el sitio de impacto o en las zonas del cerebro situado cerca de las crestas afiladas en el interior del cráneo. El cerebro puede ser dañado cuando choca con las protuberancias óseas en la superficie interior del cráneo.[6] Las protuberancias se encuentran en el interior del cráneo, en el frontal y los lóbulos temporales y en el techo de la órbita ocular.[7] Las puntas de los lóbulos frontal y temporal ubicado cerca de las crestas óseas en el cráneo son áreas en las que las contusiones se producen con frecuencia y son más graves.[8] Por esta razón, la atención, la memoria y los problemas emocionales, que están asociados con daños en el frontal y los lóbulos temporales, son mucho más comunes en el trauma en la cabeza.[9]
Características

Las contusiones, que se asocian con frecuencia con edema, son especialmente susceptibles de causar el aumento de la presión intracraneal (PIC) y concomitante aplastamiento de los tejidos cerebrales blandos.
Las contusiones se forman típicamente en una forma de cuña con la parte más ancha en la parte más externa del cerebro.[10] La distinción entre una contusión y hemorragia intracerebral es borrosa debido a que ambos involucran sangrado en el tejido cerebral. Existe un punto de corte arbitrario que determina que la lesión es una contusión si dos tercios o menos del tejido afectado es sangre y una hemorragia si no alcanza esa proporción.
La contusión puede causar inflamación del tejido cerebral circundante, que puede ser irritado por las toxinas liberadas en la contusión. La hinchazón es más grave entre los cuatro y seis días después de la lesión. Las contusiones extensas que están asociadas con hematoma subdural se conocen como explosión del lóbulo. Los casos de explosión del lóbulo temporal o del frontal tienen una alta mortalidad y morbilidad.
Las contusiones antiguas o remotas están asociados con la reabsorción del tejido lesionado, dando lugar a diversos grados de cavitación, además de la presencia de una coloración amarilla dorada, debido a hemosiderina residual. Estas contusiones remotas se conocen como placa amarilla.[11]
Hemorragias petequiales múltiples
Las numerosas contusiones producidas en los capilares rotos en la materia gris bajo la corteza se denominan múltiples hemorragias petequiales o contusión hemorrágica multifocal. Son causadas por lesiones de corte en el momento del impacto, las contusiones se producen sobre todo en la unión entre la materia gris y la materia blanca y en la parte superior del tronco cerebral, ganglios basales, el tálamo y las áreas cercanas al tercer ventrículo. Las hemorragias pueden ocurrir como resultado de una hernia cerebral, que puede causar que las arterias se rompan y sangren.[12] Un tipo de lesión cerebral difusa con múltiples hemorragias petequiales no siempre son visibles mediante las técnicas actuales como la Tomografía Axial Computerizada (TAC) y la imagen por Resonancia Magnética Nuclear (RMN). Se puede dar el caso, incluso si la lesión es muy grave, de presentarse días después de la lesión. Si la lesión es muy grave las hemorragias pueden ser más grandes que en las contusiones normales. Este tipo de lesión tiene mal pronóstico si el paciente está en estado de coma o comatoso.[13]
Tratamiento
Dado que la inflamación cerebral presenta un peligro para el paciente, el tratamiento de la contusión cerebral tiene como objetivo evitar la hinchazón. Medidas para evitar la hinchazón incluyen la prevención de la hipotensión (presión arterial baja), hiponatremia (sodio insuficiente), y la hipocapnia (disminución del dióxido de carbono en la sangre). Debido al peligro del aumento de la presión intracraneal puede ser necesaria la cirugía para reducirla. Las personas con contusión cerebral pueden requerir de cuidados intensivos y un seguimiento continuado.
En el deporte
Está bien documentada una alta incidencia de la contusión cerebral en los deportes de contacto. Según el CDC (Centers for Disease Control and Prevention), aproximadamente cada año se producen en Estados Unidos 300 000 contusiones cerebrales relacionadas con el deporte. Publicaciones recientes apuntan a las consecuencias negativas y secuelas a largo plazo de las contusiones cerebrales repetidas en el deporte.[14]
En 2003 varios estudios epidemiológicos y de prospectiva clínica calculaban que entre el 3% y el 8% de los jugadores de fútbol americano en institutos (high school) y universidades (colleges) sufrían una contusión cerebral cada año.[15]
En 2013 se llegó a un acuerdo entre la NFL y unos 5000 jugadores de fútbol americano retirados por el que cada jugador podría llegar a cobrar hasta 5 millones de USD si padeciera Alzheimer, A.L.S., Parkinson, demencia severa o se determinara que padecía CTE (encefalopatía traumática crónica) antes de 2013.[16]
La CTE (encefalopatía traumática crónica) es una enfermedad degenarativa del cerebro causada por repetidos golpes en la cabeza. En la actualidad sólo se puede diagnosticar en cadáveres. En 2016 se había diagnosticado en unos 100 antiguos jugadores de fútbol americano de la NFL que habían fallecido.[17]
Películas

En 2015 se lanzó la película «Concussion» (La verdad duele) dirigida por Peter Landesman. Will Smith interpreta la historia real del inmigrante Doctor Bennet Omalu, un brillante neuropatólogo forense que descubrió la CTE (encefalopatía traumática crónica) en un jugador de fútbol americano profesional y luchó para que se conociera la verdad. Fue una lucha de David contra Goliat, la poderosa NFL (National Football League).[18]
Referencias
- Patología de traumatismo craneoencefálico. JM Hardman, Manoukian Un. http://www.ncbi.nlm.nih.gov/pubmed/12391630
- S Khoshyomn, Tranmer BI (mayo de 2004). "Diagnóstico y tratamiento de lesiones en la cabeza cerrada pediátrica". Seminarios en Cirugía Pediátrica http://www.ncbi.nlm.nih.gov/pubmed/15362277
- Granacher RP (2007). Lesión Cerebral Traumática: Métodos para la Evaluación de Neuropsiquiatría Forense y Clínica, Segunda edición. Boca Raton: CRC. pp 26
- Sanders MJ y McKenna K. 2001. paramédico de libros de texto de Mosby, segunda edición revisada. Capítulo 22, "la cabeza y traumatismo facial." Mosby.
- "Lesión cerebral traumática leve: hacia la comprensión de manifestaciones y tratamiento". Archives of Internal Medicine 158 (15): 1617-1624. doi:10.1001/archinte.158.15.1617 http://www.ncbi.nlm.nih.gov/pubmed/9701095
- V Rao, Lyketsos C (2000). "Las secuelas neuropsiquiátricas de la lesión cerebral traumática". Psicosomática 41 (2): 95-103. doi:10.1176/appi.psy.41.2.95 http://www.ncbi.nlm.nih.gov/pubmed/10749946
- Pastor S. 2004. "Traumatismo en la cabeza." Emedicine.com. Consultado el 01/10/2008.
- Graham DI y Gennareli TA. Capítulo 5, "Patología de daño cerebral después de lesión en la cabeza" P Cooper y Golfinos G. 2000. Lesión en la cabeza, 4 ª ed. Morgan Hill, Nueva York
- Bigler, ED. 2000. La lesión (s) en la lesión cerebral traumática: Implicaciones para la Neuropsicología Clínica. Acceder a través de archivo web. Consultado el 01/17/2008
- iñas Pilitsis J. 2006 y FC. "traumatismo craneal penetrante." Emedicine.com. Consultado el 01/10/2008
- «Copia archivada». Archivado desde el original el 9 de noviembre de 2010. Consultado el 21 de noviembre de 2010.
- vi_1/b/BRAIN_INJURY_TRAUMATIC artículo en GE's Medcyclopaedia
- Downie A. 2001. "Tutorial: TC en el traumatismo craneal". Consultado el 08 de mayo 2008 https://web.archive.org/web/20051106231525/http://www.radiology.co.uk/srs-x/tutors/cttrauma/tutor.htm
- McCrea, Michael (19 de noviembre de 2003). «Cumulative Effects Associated With Recurrent Concussion in Collegiate Football Players». JAMA (en inglés). Consultado el 6 de julio de 2016.
- McCrea, Michael (19 de noviembre de 2003). «Acute Effects and Recovery Time Following Concussion in Collegiate Football Players». JAMA (en inglés). Consultado el 6 de julio de 2016.
- Belson, Ken (18 de abril de 2016). «Appeals Court Affirms Landmark N.F.L. Concussion Settlement». The New York Times (en inglés). Consultado el 6 de julio de 2016.
- Branch, John (23 de mayo de 2016). «N.F.L. Tried to Influence Concussion Research, Congressional Study Finds». The New York Times (en inglés). Consultado el 6 de julio de 2016.
- «Concussion». IMDB. Consultado el 6 de julio de 2016.
